Submit manuscript...
Journal of
eISSN: 2373-4396

Cardiology & Current Research

Case Report Volume 11 Issue 1

Traumatic Arterio-Venous Pulmonary Pseudoaneurism

Balakrishnan Menon,1 Arya Gopi,2 Mani Tiwari,3 Praveen Raj,2 Kunj Panwar2

1Professor, Vallabhbhai Patel Chest Institute, University of Delhi, India
2Junior Resident (MD), Vallabhbhai Patel Chest Institute, University of Delhi, India
3Senior Resident (MD), Vallabhbhai Patel Chest Institute, University of Delhi, India

Correspondence: Balakrishnan Menon, Professor, Vallabhbhai Patel Chest Institute, University of Delhi, New Delhi, India

Received: January 08, 2018 | Published: February 15, 2018

Citation: Menon B, Gopi A, Tiwari M, Raj P, Panwar K (2018) Traumatic Arterio-Venous Pulmonary Pseudoaneurism. J Cardiol Curr Res 11(2): 00371. DOI: 10.15406/jccr.2018.11.00371

Download PDF

Introduction

A 17 year old male presented with occasional hemoptysis for 1 year. It was insidious in onset, paroxysmal, bright red in color, about 2.5 ml in amount in each episode with normal intervals of weeks to months. There was no history of cough, wheezing, breathlessness, any nasal discharge, epistaxis, maleana, hematuria or easy brusibility. There was no significant drug exposure, past medical history and no similar illness in any family member. Patient was a non smoker and there was no high risk behavior. Patient gave history of non penetrating trauma to right lower chest by a cart wheel 2 years back. Clinical examination was unremarkable. There was no evidence of any mucocutaneous telenjectasias. Chest examination revealed bilateral vesicular breath sounds and rest of systemic examination was normal. Hematological investigations were within normal limits. ANA, P- ANCA and C- ANCA was negative and HIV 1 and HIV-2 was non- reactive.

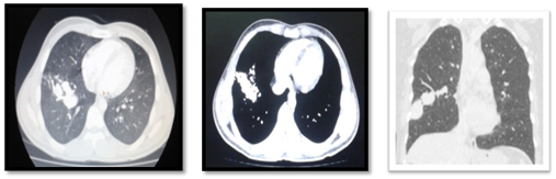
X ray chest P/A view showed a heterogeneous radio-opaque shadow in right lower zone with fluffy margins (Figure 1). CT scan showed a lobulated shadow with a feeding vessel (Figure 2a-2c). A CT Pulmonary angiogram was than performed which showed a pulmonary arterio-venous pseudoaneurism in the right lower lobe (Figure 3a-3c). Patient underwent wedge resection as the pseudoaneurism was large and coiling was not possible. Post surgery the patient has no fresh episodes of hemoptysis and is doing well.

Figure 1 Chest X ray showing heterogeneous radio-opaque shadow in right lower zone with fluffy margins.

Figure 2a-2c CT scan showed a lobulated shadow with a feeding vessel in the right lower lobe.

Figure 3a-3c CT Pulmonary angiogram showing a pulmonary arteriovenous pseudoaneurism in the right lower lobe.

Discussion

A pseudoaneurysm, sometimes called a false aneurysm, occurs when a blood vessel wall is injured, and the blood is contained by the surrounding tissues. In a true aneurysm, the artery or vessel is dilated, sometimes causing a blood-filled sac to form. In a pseudoaneurysm, there is a breach in the vessel wall such that blood leaks through the wall but is contained by the adventitia or surrounding perivascular soft tissue. A direct communication of blood flow exists between the vessel lumen and the aneurysm lumen through the hole in the vessel wall. The risk of rupture is higher than that of a true aneurysm of comparable size due to poor support of the aneurysm wall and thus false aneurysms generally require treatment.

Pulmonary artery pseudoaneurysms (PAPs) are uncommon and may be congenital or acquired. Most PAPs are acquired and associated with cardiovascular disease. Other acquired causes include infection, iatrogenic, trauma, and neoplasm. Iatrogenic PAP is most common, followed by trauma. Hemoptysis is the most frequent presenting sign and ranges from acute severe hemorrhage to incidental findings on radiographs, computed tomography (CT), or magnetic resonance (MR) imaging. Treatment of PAPs includes surgical ligation, wedge resection, lobectomy, angiographic embolization, endovascular stent graft placement, and watchful waiting.

Aneurysms of the pulmonary arteries (PAA) and trunk are a rare entity. In the year 1947, Deterling and Clagett.1 published a review of proximal PAAs over an extended period of 100 years. They reviewed 92,026 autopsy studies and added 17,545 of their own (total of 109,571 cases) and concluded that only 8 cases of PAA had been documented. That translates that the reported incidence was 0.0073%. PAAs can be classified into proximal (or central) PAAs and peripheral PAAs. Proximal PAAs involve the pulmonary trunk and the main right and left PAs. Proximal PAAs are defined as a diameter of over 4 cm in the PA trunk.2 The peripheral PAAs encompass the aneurysms located in the intrapulmonary arteries.

The causes can be congenital (most common cause) or acquired. The acquired causes includes infections (tuberculosis, pyogenic infection, syphilis, and mucormycosis) traumatic causes and vasculitis. Pulmonary aneurhysms due to traumatic causes is even rarer. Till date there are only 13 cases of traumatic pulmonary artery aneurhysms are reported in the literature out of these, 3 were from blunt and 10 were from penetrating trauma.3,4 Iatrogenic causes of PAP include complications of pulmonary artery catheters, right cardiac catheterization, chest tube insertion, and biopsies. A 0.2% incidence of pulmonary artery rupture due to pulmonary artery catheters is reported, with mortality as high as 50%. Acute hemorrhage occurred within 3 days of catheter placement in 90% of patients in one series. PAPs may be silent and regress without treatment but may also continue to hemorrhage for days or months despite removal of an inciting catheter.

Trauma can be divided into extravascular and endovascular. Both blunt and penetrating trauma account for the extravascular causes of PAA, penetrating stab wounds being the most frequent.5 Endovascular trauma is mainly iatrogenically induced. Malpositioned Swan-Ganz catheters are the most common cause. This complication occurs when the catheter has been inserted too far into a pulmonary arterial branch. The pathogenesis is erosion of the tip of the catheter into the wall of the artery, causing weakening and dilatation. In a prospective study on 500 patients, it was proven that the incidence of rupture and hemorrhage after the Swan-Ganzcatheter is 0.2%.6

PN Symbas et al.7 performed pulmonary arteriography in 22 patients with penetrating injury of the lung(s) within the first 72 post- injury hours found no vascular lesion directly attributable to the injury. They suggested that the penetrating pulmonary vascular injury, once the bleeding stops, usually heals without residual abnormality and only in extremely rare cases, pulmonary arterio venous fistula or pulmonary artery aneurysm develops. This may be due, to the physiologically low pressure differential between the pulmonary artery and vein and the low pulmonary artery pressure.

Presentations include dyspnea, chest pain, and hypoxia with hemoptysis, which is most common. Sometimes the patients can be asymptomatic also. The time from injury to presentation ranged from few days to a number of years.8,9 The most catastrophic outcome of PAA of the main PA is aneurysmal rupture or dissection. Laplace law dictates that wall stress, which constitutes the most important factor for progression to rupture, is directly proportional to the pressure and radius of a vessel wall and is inversely proportional to the wall thickness.10

Chest radiographs may show nonspecific focal lung consolidation, a solitary pulmonary nodule, or early consolidation evolving to a nodule or mass.11 Although occurrence is rare it should always be considered in a patient with a penetrating wound of the lung and a persistent well circumscribed radiodensity in the lung at the site of injury.7 The gold standard for the diagnosis of PAAs has been pulmonary angiography. Angiography is invasive and identifies only the interior of the aneurysm, the segment that has active flow. With recent technical advances, other modalities have largely supplanted angiography for diagnosis of PAA. Spiral CT is an excellent diagnostic modality, as it can demonstrate the patent lumen as well as any mural thrombus or other abnormalities of the vessel wall. CT is more definitive when there is central enhancement within a hematoma or lung consolidation. Other findings include an enhancing mass next to a pulmonary artery, thrombus within a dilated pulmonary artery, and an enhancing nodule with a low attenuation halo. Spiral CT also has the ability of multiplanar reconstruction that can provide very useful information to the surgeon for planning surgery. For optimal imaging in the workup, echocardiography and MRI should be included.12

Conservative treatment is recommended for patients who do not experience symptoms of PAAs and have aneurysms less than 6 cm in diameter. Surgical repair is recommended if the aneurysms are large, > 6 cm, or if they are symptomatic, regardless of the size, because the risk of rupture or dissection is high in the case of symptoms.13 These criteria for intervention are based on limited natural history data.

The surgical techniques that have been described include aneurysmorrhaphy or arterioplasty, pericardial patch reconstruction, and interposition grafting with allografts or synthetic textile grafts as treatment methods for aneurysms of the main PA.14,15 Recently, steel coil embolization has shown promising results for treatment of peripheral PAAs. Peripheral PAAs in the past were treated with lobectomy or aneurysmectomy. Percutaneous embolization is a minimally invasive alternative to surgical treatment.16 Transcatheter embolization with stainless steel coils, platinum coils, or detachable balloons is a practical, effective, and safe therapeutic option.

Acknowledgments

None.

Conflicts of interest

There were no financial interest or conflict of interest.

References

  1. Deterling RA Jr, Clagett OT. Aneurysm of the pulmonary artery; review of the literature and report of a case. Am Heart J. 1947;34(4):471-499.
  2. Barbour DJ, Roberts WC. Aneurysm of the pulmonary trunk unassociated with intracardiac or great vessel left-to-right shunting. Am J Cardiol. 1987;59(1):192-194.
  3. Donaldson B, Ngo-Nonga B. Traumatic pseudoaneurysm of the pulmonary artery: case report and review of the literature. Am Surg. 2002;68(5):414-416.
  4. Savage C, Zwischenberger JB, Ventura KC, et al. Hemoptysis secondary to pulmonary pseudoaneurysm 30 years after a gunshot wound. Ann Thorac Surg. 2001;71(3):1021-1023.
  5. Boyd LJ, Mc Gravack TH Aneurysm of pulmonary artery. AmHeart J. 1939;18:562-578.
  6. Boyd KD, Thomas SJ, Gold J, et al. A prospective study of complications of pulmonary artery catheterizations in 500 consecutive patients. Chest. 1983;84(3):245-249.
  7. Symbas PN, Goldman M, Erbesfeld MH, et al. Pulmonary Arteriovenous Fistula,Pulmonary Artery Aneurysm, and Other Vascular Changes of the Lung From Penetrating Trauma. Ann Surg. 1980;191(3):336-340.
  8. Arom KV, Lyons GW. Traumatic pulmonary arteriovenous fistula. J Thorac Cardiovasc Surg. 1975;70:918.
  9. Loebl EC, Platt MR, Mills LJ, et al. Pulmonary resection for a traumatic pulmonary arteriovenous fistula. J Thorac Cardiovasc Surg. 1979;77(5):674-676.
  10. Butto F, Lucas RV Jr, Edwards JE. Pulmonary arterial aneurysm. A pathologic study of five cases. Chest. 1987;91(2):237-241.
  11. Abreu AR, Campos MA, Krieger BP. Pulmonary artery rupture induced by a pulmonary artery catheter: a case report and review of the literature. J Intensive Care Med. 2004;19(5):291-296.
  12. Tsui EYK, Cheung YK, Chow L, et al. Idiopathic pulmonary artery aneurysm: digital subtraction pulmonary angiography grossly underestimates the size of the aneurysm. Clin Imaging. 2001;25(3):178-180.
  13. Deb SJ, Zehr KJ, Shields RC. Idiopathic pulmonary artery aneurysm. Ann Thorac Surg. 2005;80(4):1500-1502.
  14. Caralps JM, Bonnin JO, Oter R, et al. True aneurysmof the main pulmonary artery: surgical correction. Ann Thorac Surg. 1978;25(6):561-563.
  15.  Hamawy AH, Cartledge RG, Girardi LN. Graft repair of a pulmonary artery aneurysm. Heart Surg Forum. 2002;5(4):396-398.
  16. Pelage JP, El Hajjam M, Lagrange C, et al. Pulmonary artery interventions: an overview. Radiographics. 2005;25(6):1653-1667.
Creative Commons Attribution License

©2018 Menon, et al. This is an open access article distributed under the terms of the, which permits unrestricted use, distribution, and build upon your work non-commercially.