Submit manuscript...
MOJ
eISSN: 2379-6383

Public Health

Clinical Case Volume 13 Issue 1

Clinical case: kinking ductus fetal report

Cristóbal Arroyo Zambrano,1 Manuel Alvarez Vaccaro,2 Alejandro Alvarez Jara3

1Medical student, Faculty of Medicine Universidad Católica Santísima Concepción, Concepción, Chile
2Medical Student, Faculty of Medicine Universidad del Desarrollo, Santiago, Chile
3Pediatrician and Pediatric Cardiologist, Fetal Exploration Unit Hospital Guillermo Grant Benavente Concepción, Chile

Correspondence: Alejandro Alvarez Jara, Pediatra y Cardiólogo Infantil, Unidad de Exploración Fetal Hospital Guillermo Grant Benavente Concepción, Chile, Tel +56991392291

Received: January 22, 2024 | Published: March 28, 2024

Citation: Zambrano CA,Vaccaro MA, Jara AA. Clinical case: kinking ductus fetal report. MOJ Public Health. 2024;13(1):53-54. DOI: 10.15406/mojph.2024.13.00438

Download PDF

Abstract

We present the case of a pregnant woman with a 35+5 week fetus referred for suspected fetal heart malformation. The fetal echocardiogram showed a dilated and tortuous ductus without signs of heart failure. It was managed conservatively. After birth, a ductal aneurysm was observed. It evolves normally, closing within the first week of life and without complications for the newborn. The course is asymptomatic and echocardiography prior to discharge showed complete closure of the ductus arteriosus at 7 days of life.

Introduction

Aneurysm of the ductus arteriosus (ADA) is an infrequent but potentially life-threatening condition characterized by saccular or fusiform dilation of the ductus arteriosus above the 95th percentile for gestational age.1 It is typically observed in fetuses in the late third trimester of pregnancy and often undergoes spontaneous resolution. However, complications such as spontaneous rupture of the aneurysm and thromboembolic complications have been described. Surgical intervention is only performed in specific situations, as mentioned previously.1,2 ADA has also been associated with genetic anomalies (trisomy 21, 13, Smith-Lemli-Opitz syndrome) and connective tissue disorders (Marfan syndrome, Ehlers-Danlos syndrome, Larsen syndrome).3,4 We believe it is interesting to show our experience in this rare pathology.

Clinical case

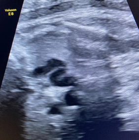
This concerns a 27 year old woman, feat 2, birth 0, abortion 1, with no significant medical history, currently at 35+5 weeks of gestation under obstetric care. She was referred to the fetal exploration unit due to suspicion of fetal cardiac malformation and tricuspid regurgitation. The fetal echocardiogram showed a structurally normal heart with mild tricuspid regurgitation, and no signs of heart failure were detected. Both ventricles exhibited good function. A dilated ductus arteriosus with an "S" shape measuring 10mm in length was observed, with a pulmonary end diameter of 3.2mm and an aortic origin diameter of 3mm (Figure 1 & 2). Ductal velocity was measured at 160cm/s. At the 37+6 weeks’ gestation evaluation, no significant changes were found compared to the previous fetal echocardiogram, with normal umbilical Doppler. The mother had a history of taking paracetamol at 29 weeks of gestation, every 8 hours for two days, due to a viral illness.

Figure 1 Dilated and tortuous “S” shaped ductus arteriosus in fetus of 35+5 gestational weeks.

Figure 2 Image of ductus arteriosus arising from the aorta and with a 10mm tortuous course reaching the origin of the left pulmonary artery.

It is suggested that the ductus kinking in the asymptomatic fetus with good fetal development be managed with routine obstetric care. The female newborn, delivered vaginally at 40 weeks, weighed 3430 grs, measured 51cm in length, had a head circumference of 34cm, and had normal physical examination findings with APGAR scores of 9-9. Normal physical examination, asymptomatic evolution prior to discaharge, echocardiogram is performed where no ductus arteriosus is evident persistent and structurally normal heart.5

Discussion

Aneurysm of the ductus arteriosus (ADA) often presents as an isolated cardiac defect with an underestimated incidence rate, and its detection rate varies between 1% to 9%, with the majority being asymptomatic postnatally. Therefore, many cases go unrecognized and resolve spontaneously. ADA can be classified based on its origin as primary (spontaneous) or secondary (post-ligation of persistent ductus arteriosus after birth).1,6

Regarding its pathogenesis, the mechanism behind spontaneous dilations is unknown, though various theories attempt to explain it. One theory suggests that exposure of the vascular wall to systemic pressures, such as the physiological increase in flow through the ductus near the end of pregnancy, delays the closure of the aortic margin after birth, resulting in aneurysm formation. Other theories are based on congenital weakening of the vessel's medial layer, which, combined with increased intrauterine flow, causes dilation. Additionally, theories associate ADA with elastin abnormalities in connective tissue disorders such as Marfan syndrome, Ehlers-Danlos syndrome, or Larsen syndrome.1,6

Regarding clinical manifestations, when not asymptomatic, ADA may present with dyspnea and other respiratory symptoms, mainly due to involvement of the recurrent laryngeal or phrenic nerves. Auscultatory findings may include erosion of the bronchial or esophageal wall as a murmur.1,4,6 Its main complications are thromboembolic events and spontaneous rupture of the aneurysm, both highly complex. However, other complications, such as compression of adjacent structures, infection, or sudden death, can also occur.1

Prenatal diagnosis is typically performed in the last trimester of gestation through ultrasound evaluation and the application of ultrasound diagnostic criteria. It is crucial to visualize the three vessels and recall the normal form of the ductus arteriosus, characterized by maintaining a short tubular shape with a diameter increasing with gestational age equal to that of the descending aorta.4,6 Once the normal anatomy of the ductus arteriosus is established, we can proceed to diagnose the ductus arteriosus aneurysm using the following ultrasound diagnostic criteria:

  1. Visualization of a tortuous course with fusiform or saccular dilation, observed to the right of the aortic arch.
  2. Internal diameter of the dilated portion exceeding the 95th percentile of the normal transverse diameter for gestational age.

Differential diagnoses of Ductus Arteriosus Aneurysm (ADA) include non-vascular lesions such as a normal thymus, mediastinal tumors, and vascular lesions such as pulmonary artery aneurysm and absent pulmonary valve syndrome. The importance of considering the possible diagnosis of non-aneurysmal tortuous ductus arteriosus is emphasized, especially when associated with low cardiac output pathologies from the pulmonary artery to the aorta, such as pulmonary atresia, transposition of the great vessels, severe pulmonary artery stenosis, and ventricular septal defects, among others. Since most congenital ADA cases tend to resolve spontaneously, treatment is reserved for specific cases, with surgery being the preferred option.6,7 Indications for surgical intervention include:

  1. Persistence of the aneurysm beyond the neonatal period (4-6 weeks after birth)
  2. Rapid growth of the aneurysm diameter, with or without thrombus formation
  3. Connective tissue disorders
  4. Presence of thrombus extending into adjacent vessels
  5. Evidence of thromboembolism or extension to neigh boring thoracic structures with bronchial, esophageal obstruction, or recurrent laryngeal nerve paralysis
  6. Aneurysms with vascular extension causing compression of the pulmonary arteries and/or the aorta.

It is crucial to maintain proper cardiac follow-up for the patient, both in post-surgical cases and in those with postnatal resolution, as over 70% of postnatal cases show resolution within five weeks after birth. Follow-up should continue until the closure of the aneurysm is confirmed, especially in cases where the patient has connective tissue anomalies.1,5,6,8

Conclusion

We believe it is interesting to show our experience of this rare anomaly but currently its diagnosis is more common in the fetal period and there are few publications in the literature. It has clinical importance since the behavior and management in the fetal period is not yet well defined.

Acknowledgments

None.

Conflicts of interest

The authors declare that there is no conflict of interest.

References

Creative Commons Attribution License

©2024 Zambrano, et al. This is an open access article distributed under the terms of the, which permits unrestricted use, distribution, and build upon your work non-commercially.

Citations

Media Partner & Supporters