Submit manuscript...
MOJ
eISSN: 2379-6383

Public Health

Case Report Volume 10 Issue 2

Importance of differential diagnosis of pulmonary and oral infections in times of COVID 19: a clinical case report

Giovani Antonio Rodrigues,1 Plauto Christopher Aranha Watanabe2

1Department of Stomatology, School of Dentistry, University of São Paulo, Brazil
2Department of Stomatology, Public Oral Healthy and Forensic Dentistry, Riberião Preto School of Dentistry, University of São Paulo, Brazil

Correspondence: Plauto Christopher Aranha Watanabe, Ribeirão Preto School of Dentistry, Department of Stomatology, Public Health and Forensic Dentistry, University of São Paulo, Av. do Café, s/n, CEP: 14040-904, Ribeirão Preto, SP, Brazil, Tel +551633153993

Received: January 20, 2021 | Published: September 24, 2021

Citation: Rodrigues GA, Watanabe PCA. Importance of differential diagnosis of pulmonary and oral infections in times of COVID 19: a clinical case report. MOJ Public Health. 2021;10(2):48-50. DOI: 10.15406/mojph.2021.10.00359

Download PDF

Abstract

Diseases that affect the lungs and the oral cavity can have similar clinical manifestations and require a thorough clinical examination for a correct diagnosis. Currently, the coronavirus pandemic has caused doctors to increase their chances of diagnosis, since SARS-COV-2 also affects the lungs. This work presents the case of a 58-year-old black man with the human immunodeficiency virus who was diagnosed with paracoccidioidomycosis through the aid of oral lesions after the hypothesis of COVID-19 and tuberculosis being ruled out by clinical and laboratory tests. Thus, this case report seeks to draw the attention of clinicians, both doctors and dentists who work in oral diagnosis to the other possibilities and hypotheses of diagnosing injuries that affect the upper airways and may have clinical manifestations similar to SARS- COV-2.

Keywords: paracoccidioidomycosis, HIV, COVID-19, oral lesions

Introduction

Paracoccidioidomycosis is one of the most relevant endemic mycoses in Latin American countries with a significant impact on public health, affecting mainly the rural male population between the fourth and fifth decades of life. Travelers from these endemic areas can also contract the fungus whose main entrance is the lungs and develop clinical manifestations years after contact with the fungus.1

Initially described in 1908 by Adolfo Lutz in Brazil, paracoccidioidomycosis is caused by a fungus with thermal dimorphism present in regions of agricultural activity. The primary infection occurs mainly in the lungs and most people will not develop the clinical manifestations of the disease that can occur months or even years after the fungus is acquired, conditions such as smoking, poor nutritional status and low immunity favor the progress of the disease.2-4

Oral manifestations occur due to the hematogenous spread of the fungus and are characterized mainly by moriform stomatitis described by Aguiar Pupo, being a stomatological condition of slow evolution with the presence of fine erythematous granulations affecting mainly the lips, jugal mucosa, tongue and palate.4-7

Due to the coronavirus pandemic (COVID-19), images suggestive of pulmonary involvement have caused doctors to have this disease among their main diagnostic hypotheses, however, a thorough clinical examination must be performed so that other pathological conditions that also affect the lungs are diagnosed and treated.8

Case report

A 58-year-old black man attended a medical consultation with complaints of skin lesions with a three-month evolution time. Upon medical examination, multiple erythematous plaques were found throughout the integument and on the palms of the hands, the patient was referred to a dermatologist who ordered serological tests for hepatitis, HIV and syphilis, the result of which was a reagent for human immunodeficiency syndrome. From then on, the patient was referred for treatment by the infectious disease physician at a referral service for infectious diseases in the interior of the state of São Paulo - Brazil.

Two weeks after the start of treatment, the patient returned to the doctor's office complaining of pain in the chest area and difficulty breathing, denied smoking or using illicit drugs. On physical examination, he presented dyspnea on small efforts and pulmonary auscultation with wheezing and diffuse snoring, then an X-ray examination of the chest was requested, which showed diffuse involvement of the lung parenchyma. The diagnostic hypothesis was that of SARS-COV-2 infection and a real-time PCR exam was performed with a negative result.

After ten days, the patient evolved with worsening of the pulmonary condition and a new real-time PCR test and serological test (IgM and IgG) for COVID-19 were requested showing a negative result, with that, the investigation for tuberculosis and the bacilloscopy test started ( three samples) was requested, however, Mycobacterium tuberculosis bacilli were not found in the sputum, a counter-test was requested with the tuberculin test, both of which were negative.

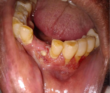
In the course of medical care, the patient also complained of pain in teeth and was referred to the dentistry service. Upon dental examination, it was possible to notice a moriform aspect lesion in the gingiva and alveolar ridge of the mandible (region corresponding to teeth 33 to 36) with diagnostic hypotheses of paracoccidioidomycosis, histoplasmosis and oral squamous cell carcinoma and an incisional biopsy of the lesion was performed (Figure 1).

Figure 1 Clinical aspect of the oral lesion.

The anatomopathological examination report showed a fragment of the oral mucosa showing parakeratosis and hyperplasia without atypia, in the submucosa there was an intense exudative chronic inflammatory process with the presence of multinucleated giant cells and rounded structures compatible with fungi, alterations suggestive of paracoccidioidomycosis. PAS staining (Periodic Acid Schiff) was performed to confirm the presence of fungal structures.

The final diagnosis was paracoccidioidomycosis and the patient was referred to the infectious disease physician responsible for treating HIV / AIDS, informing the diagnosis of the oral lesion and suggesting pulmonary evaluation. Finally, the patient was examined by the doctors who diagnosed the presence of oral and pulmonary infection by Paracoccidioides brasiliensis, beginning the systemic treatment of this patient.

Discussion

The main form of acquisition of the fungus P. brasileiensis is its inhalation due to contaminated soils and it is more associated with professionals who work in these regions mainly between the first three decades of life, which is verified in the case presented by this article in which the patient treated his main job was to cut sugar cane, an activity he exercised until he was forty years old2.

Smoking and alcoholism are related to this disease and unlike other systemic mycoses; paracoccidioidomycosis is not usually associated with immunosuppressive diseases. In this case, the patient denied smoking, regularly used alcoholic beverages and had AIDS, that is, with a CD4 lymphocyte count below 200 cells /mm3 of blood.1,9

The main clinical forms of the disease are juvenile (acute / sub acute) predominant in children, adolescents and young adults, chronic, responsible for most cases and affecting adults between 30 and 60 years and residual forms (sequels of the disease). As a result, the case presented fits the chronic form of the disease as it is in the age group of 58 years and no longer in agricultural activities.2

A correct and early diagnosis is important to avoid the evolution of the disease and the involvement of organs such as skin, liver, spleen and nervous system. As the clinical manifestations are not specific, a detailed clinical examination is essential, looking for different diagnostic hypotheses that may characterize the case. Tuberculosis, lymphoma, leukemia, histoplasmosis and visceral leishmaniasis are diseases that need to be considered during the diagnostic process. In the case presented, the patient had skin lesions, pulmonary and oral involvement and his clinical course occurred with HIV infection while the patient was in an immune suppressed state.2,10

For a correct diagnosis, the oral cavity must be evaluated, a stage that is often neglected during care, as the involvement of the oral mucosa occurred in 50% of the cases evaluated by the Ribeirão Preto Clinical Hospital, thus demonstrating the importance of a thorough physical examination of the patient.5

In the case presented, the patient underwent a chest X-ray examination that demonstrated imaging findings that may also occur in SARS-COV-2 infection and a CT scan was performed to confirm these findings; however, two PCR tests were performed negative for COVID-19. Tuberculosis was also considered, but it was discarded due to the negative result of bacilloscopy.8

Thus, the case presented was diagnosed as paracoccidioidomycosis through the evaluation of the oral cavity and identification of the lesion that affected the mucous membranes of the mouth, again demonstrating the importance of work among different health professionals for an early identification of diseases that affect different sites on the body.

Conclusion

An early diagnosis allows a good prognosis in several diseases and with that, a joint work between different professionals can accelerate this process. In the case presented by this article, a 58-year-old man was diagnosed with paracoccidioidomycosis through oral evaluation after having the diagnoses of COVID-19 and tuberculosis ruled out by laboratory and imaging tests, therefore, in times of a corona virus pandemic, evaluation is crucial. Complete of the patient because diseases that affect the lungs and the oral cavity can have common manifestations and require a greater effort from health professionals for their determination and identification. Finally, it is necessary to highlight the importance of other future studies that can better describe the clinical characteristics of corona virus infection in order to assist health professionals in their diagnosis hypotheses.

Acknowledgments

The authors would like to thank Ketley de Castro Monteiro, doctor of the Mais Médicos Brasil (More Doctors Brazil) program and nurse Roberta Fernandes Gonçalves Mendes for advising on the case described.

Conflicts of interest

None of the authors declares conflicts of interest.

Funding

None.

References

  1. Queiroz-Telles FV De, Peçanha Pietrobom PM, et al. New Insights on Pulmonary Paracoccidioidomycosis. Semin Respir Crit Care Med. 2020;41(1):53–68.
  2. Shikanai-Yasuda MA, Mendes RP, Colombo AL, et al. Brazilian guidelines for the clinical management of paracoccidioidomycosis. Rev Soc Bras Med Trop. 2017;50(5):715–740.
  3. De Arruda JAA, Schuch LF, Abreu LG, et al. A multicentre study of oral paracoccidioidomycosis: Analysis of 320 cases and literature review. Oral Dis. 2018;24(8):1492–1502.
  4. Guimarães MRF de SG, Cintra LTA, Durlacher RR, et al. Oral Biopsy for Early Diagnosis of Paracoccidioidomycosis. Mycopathologia. 2019;184(1):193–194.
  5. Bellissimo-Rodrigues F, Bollela VR, et al. Endemic paracoccidioidomycosis: relationship between clinical presentation and patients’ demographic features. Med Mycol. 2013;51(3):313–318.
  6. de Oliveira Gondak R, Mariano FV, et al. Single oral paracoccidioidomycosis mimicking other lesions: report of eight cases. Mycopathologia. 2012; 173(1):47–52.
  7. Pedreira R do PG, Guimarães EP, et al. Paracoccidioidomycosis mimicking squamous cell carcinoma on the dorsum of the tongue and review of published literature. Mycopathologia. 2014;177(5–6):325–329.
  8. Jacobi A, Chung M, Bernheim A, et al. Portable chest X-ray in corona virus disease-19(COVID-19): A pictorial review. Clin Imaging. 2020;64:35–42.                   
  9. Franco M. Host-parasite relationships in paracoccidioidomycosis. J Med Vet Mycol bi-monthly Publ Int Soc Hum Anim Mycol. 1987;25(1):5–18.
  10. Dutra LM, Silva THM, Falqueto A, et al. Oral paracoccidioidomycosis in a single-center retrospective analysis from a Brazilian southeastern population. J Infect Public Health. 2018;11(4):530–533.
Creative Commons Attribution License

©2021 Rodrigues, et al. This is an open access article distributed under the terms of the, which permits unrestricted use, distribution, and build upon your work non-commercially.

Citations

Media Partner & Supporters