Submit manuscript...
MOJ
eISSN: 2379-6383

Public Health

Case Report Volume 11 Issue 2

Pancreas malignant rhabdoid tumour in an adult from southern of Mato Grosso state, Brazil: case report

Thiago Lara Rocha,2,3 José Spila Neto,1 Paulo Adaias Piza,2 Alyna Araújo e Marcondes,2 Matheus Henrique Sena Ursi, Juliana Helena Chávez-Pavoni,2 Luciana Marques da Silva, Claudinéia de Araújo3

1Hospital e Maternidade Santa Casa de Misericórdia de Rondonópolis, Brazil
2Universidade Federal de Mato Grosso–Curso de Medicina, Brazil
3Hospital Regional de Taquatinga–Residência em Ginecologia e Obstetricia, Brazil

Correspondence: Thiago Lara da Rocha, Universidade Federal de Mato Grosso-UFMT, Campus Rondonópolis - Curso de Medicina, Avenida dos Estudantes, 5055, Rondonópolis- Mato Grosso- Brasil, CEP 78735-901, Tel 55 14 98102-9686

Received: April 25, 2022 | Published: August 16, 2022

Citation: Rocha TL, Neto JS, Piza PA, et al. Pancreas malignant rhabdoid tumour in an adult from southern of Mato Grosso state, Brazil: case report. MOJ Public Health. 2022;11(2):130-131. DOI: 10.15406/mojph.2022.11.00388

Download PDF

Abstract

Malignant rhabdoid tumour is a very rare neoplasm with a high lethality rate. Its neoplastic cells present rhabdomyoblastic features, although those cells must be differentiated from epithelioid sarcoma, melanoma, and rhabdomyosarcoma. Therefore, this is a case report of a 21-year-old man who presented a Malignantrhabdoid tumour in the head of the pancreas. Patient was submitted to partial pancreatomy and gastrectomy in block, splenectomy, and retroperitoneal lymphadenectomy. Anatomopathological analysis revealed invasive malignant neoplasm of the pancreas, which was classified as malignant epithelioid neoplasm according to the Department of Pathology, Emory University (Atlanta, United States of América). Systemic chemotherapy protocol consisted in ifosfamide, mesna and doxorrubicin, although after the first cycle of chemotherapy, patient died due to disease complications. According to literature only seven pancreatic neoplasms were described with rhabdoid features. Extra renal Malignant rhabdoid tumours diagnosis is challenging because of immunohistochemistry characteristics. Thus, this case report may contribute to medical literature, as recording and describing anatomo pathological and immunochemistry features of one more case of this rare neoplasm, which in this case was described in an uncommon age range and organ.

Keywords: malignant rhabdoid neoplasm, extra renal malignant rhabdoid neoplasm, pancreatic neoplasm

Introduction

Malignant rhabdoid tumour (MRT) is a very rare neoplasm, initially classified as a variant of Wilms neoplasm.1 Although, in1981, histological characteristics of a distinct neoplasm were observed by researchers. The term rhabdoid was employed due to rhabdomioblastic features of neoplastic cells. Albeit myogenic origin of these cells has not been proved, this designation has been used now.2 In 1987, Biggs and cols published the first case report of a malignant rhabdoid neoplasm in central nervous system (CNS), which was named Extra renal MRT.3 This kind of neoplasm usually affects, and it is diagnosed in CNS, but it may occur in different anatomical systems. Histologically characterization of Extra renal MRT is challenging and requires differential diagnosis from epithelioid sarcoma, melanoma, and rhabdomyosarcoma with rhabdoid inclusions.4,5Briefly, we describe a case report of a rare pancreatic extra renal MRT of a young patient attended in the reference heath service in the southern region of Mato Grosso State, Brazil.

Case report

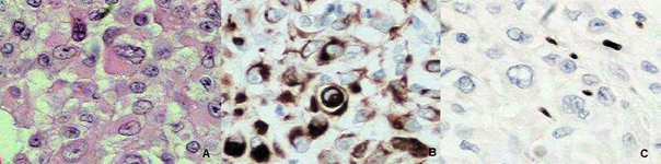
A 21-year-old man with pancreatic neoplasm was referred to Specialized Oncology Therapy Center of Santa Casa de Misericórdia de Rondonópolis Hospital. Surgical history: The patient informed that it was submitted to surgical procedures (partial pancreatomy and gastrectomy, splenectomy and retroperitoneal lymphadenectomy). Anatomopathological analyses revealed pancreatic malignant invasive neoplasm, with poor differentiated cells, necrotic lesion, with angiolymphatic infiltrate, although no peritoneal infiltrate was detected. As a rare neoplasm case, the Department of Pathology from Emory University (Atlanta, USA) was contacted and confirmatory exams indicated malignant epithelioid neoplasm. Immunohistochemistry of pancreatic tissue (Figure 1) indicated cells with rhabdoid features, positive results for cytokeratins and negative results for INI-1 and other markers, such as SMARCB1. Thus, diagnosis suggested high-grade malignant epithelioid neoplasm, compatible with extra renal MRT. Patient was submitted to image exams (abdominal and pelvic CT scan) that demonstrated the presence of multiple nodules and mass with liquefied and necrotic center in both hepatic lobes. Systemic chemotherapy scheme was initiated with ifosfamide, mesna and doxorrubicin. Although after first chemotherapy round patient died because disease complications, such as cachexia, poor general condition and hydro electrolyte disturbance. The patient denied having a relevant family and medical history.

Figure 1 A, Rhabdoid pattern of cells stained with hematoxilin; B, positive results for 40, 48, 50 and 50,6 kDacytokeratins; C, negative result for INI-1 gene product.

Discussion

Extensive research in United Kingdom showed that rhabdoid tumours are mainly diagnosed in children younger than 12-month-old with an incidence of 5 cases in one million. This incidence drops to 0.6 cases in one million considering children from 1 to 4 years old. Older children from 5 to 9 years old may be affected with an incidence rate of 0.1 in one million and this number is even lower in children from 10 to 14 years old, showing an incidence rate of 0.04 in one million.6 Researchers reinforce that MRT incidence data in adults are scarce.

Only seven pancreatic tumours with rhabdoid features have been described so far. Researcher groups have inquired the fact that similar nomenclature would be employed to tumours with distinct etiology. Agaimy and colleagues showed the results of 14 cases of pancreatic neoplasms with rhabdoid cells targeting molecular markers to define this type of neoplasm. Consequently, they have suggested two subgroups of this neoplasm type, one presenting mutations in KRAS gene and other with the loss of SMARCB1/INI-1 gene expression.7 Considering its rare incidence and cellular characteristics which are also present in other types of neoplasms, extrarenal MRT diagnosis is a multidisciplinary medical challenge.5,8,9 Many other neoplasms present cells with rhabdoid features. Thus, it is necessary to analyse histological and immunochemical pattern to reach a correct diagnosis.5 Corroborating to literature, histological results  showed epithelioid cells with rhabdoid pattern, eosinophilic and dense cytoplasm and exocentric nuclei.5,10,11

In this report, immunohistochemistry analyses revealed no SMARCB1/INI-1 staining, which corresponds to the most important oncogenetic event of MRT according to literature.12 Rorke and cols (1996), Madigan et al.,4 and Sigauke et al.,8 showed similar results about SMARCB1/INI-1. Furthermore, our results were negative for S100 protein staining as reported by Madan et al.,5 negative for CD34 staining as observed by Matsuda et al.,11 and Mazzocchi et al.,9 and finally, also negative for desmine, as described for Mazzocchi et al.,9 as well. Accordingly, it was possible to establish to the patient malignant epithelioid neoplasm diagnosis compatible to MRT with pancreatic localization, an uncommon variation of proximal or visceral epithelioid sarcoma, as suggested by Department of Pathology from Emory University, Atlanta, USA.

Clinical and pathological diagnosis distinction between proximal epithelioid sarcoma and extra renal MRT, are discussed if both represent distinct neoplasms or they are examples of cellular variety considering the same entity. Molecular, immunohistochemical and clinical findings have suggested they represent different neoplasms.  Although, it is important to reinforce that there is a limitation considering the number of cases, and profound molecular characterization would be able to elucidate this question.10

The treatment of this aggressive tumour includes early surgical intervention which would improve chemotherapy success.13 The poor and limited role of chemotherapy and the absence of standard treatment protocols have also been discussed.6,13,14 Madigan et al.,4 in a study involving 14 patients, suggest that high chemotherapy doses following hematopoietic cells transplant would benefit patients. Although no patient survived longer than 10 months and the main factor for the best prognosis was the stage of the disease at diagnosis.

In this case report, patient died right after the first chemotherapy cycle because of illness gravity at the moment of medical intervention. Consequently, it was not possible to clearly evaluate the results of surgical intervention and chemotherapy protocol. Regarding radiotherapy benefits, they are not clear for treatment of this type of neoplasm. Some clinicians avoid this approach due to side effects, especially because of most patients affected by MRT are children and babies.4 Researchers have suggested that MRT cell lineage is sensible to pharmacological inhibition of fibroblasts grown factor. Authors have observed high expression of fibroblast grown factor in MRT cells and this may indicate that targeting receptor inhibitor could be employed as a treatment for this neoplasm. Although there is a need of additional research in this field.13

Conclusion

MRT implies in a very aggressive neoplasm, with low survival rate and high recurrence. That is why the improvement of molecular analyses is essential to better characterize this kind of tumour, enable early diagnosis and help the discovery of new chemotherapy agents. Such events will definitively benefit medical community and specially patients affected by this life-threatening tumour. As a result of the rare occurrence of extra renal MRT it is difficult to determine the better treatment by conducting randomized studies. Therefore, this case report may help clinicians around the world in diagnosis and therapeutical conduct.

Acknowledgments

None.

Conflicts of interest

The authors declare that there is no conflict of interest.

References

  1. Beckwith JB,  Palmer NF. Histopathology and prognosis of wilmstumor - results from the first national wilms’ tumor study. Cancer. 1978;41(5):1937–1948.
  2. Haas JE, Palmer NF, Weinberg AG, et al. Ultrastructure of malignant rhabdoid of the kidney tumor – a distinctive renal tumor of children. Human Pathology. 1981;12(7):646–657.
  3. Biggs PJ, Garen PD, Powers JM, et al. Malignant RhabdoidTumor of the Central Nervous System. Human Pathology. 1987;18(4):332–337.
  4. Madigan CE, Armenian SH, Malogolowkin MH, et al. Extracranial Malignant RhabdoidTumors in Childhood - The Children’s Hospital Los Angeles Experience. Cancer. 2007;110(9):2061–2066.
  5. Madan K, Bal A, Ritesh A, et al. Malignant Extra Renal Rhabdoid Tumour Presenting as Central Airway Obstruction. Case Reports in Pulmonology. 2014:950869.
  6. Brennan B, Stiller C, Bourdeaut F. Extracranial rhabdoid tumours: what we have learned so far and future directions. Lancet Oncology. 2013;14(8):e329–336.
  7. Agaimy A, Haller F, Frohnauer J, et al. Pancreatic undifferentiated rhabdoid carcinoma: KRAS alterations and SMARCB1 expression status define two subtypes. Modern Pathology. 2015;28(2):248–260.
  8. Sigauke E, Rakheja D, Maddox DL, et al. Absence of expression of SMARCB1/INI1 in malignant rhabdoidtumors of the central nervous system, kidneys and soft tissue: an immunohistochemical study with implications for diagnosis. Moderny Pathology. 2006;19(5):717–725.
  9. Mazzocchi M, Chiummariello S, Bistoni G, et al. Extrarenal Malignant Rhabdoid Tumour of the Heel - A Case Report. Anticancer Research. 2005;25(6C):4573–4576.
  10. Oda Y, Tsuneyoshi M. Extrarenalrhabdoidtumors of soft tissue: Clinicopathological and molecular genetic review and distinction from other soft-tissue sarcomas with rhabdoid features. Pathology International. 2006;56(6):287–295.
  11. Matsuda Y, Saoo K, Hosokawa K, et al. Epithelioid malignant peripheral nerve sheath tumor. Report of a case with inflammatory infiltration. Pathology Research and Practice. 2005;201(4):355–360.
  12. Attia A, Suleman M, Mosleh H. Malignant Rhabdoid Tumor of the Lung in the Young Adult: A Case Report. Case Reports in Pulmonology. 2011;2011:323584.
  13. Wöhrle S. Andreas Weiss, Moriko Ito, et al. Fibroblast Growth Factor Receptors as Novel Therapeutic Targets in SNF5-Deleted Malignant Rhabdoid Tumors. Plos One. 2013;8(10):e77652.
Creative Commons Attribution License

©2022 Rocha, et al. This is an open access article distributed under the terms of the, which permits unrestricted use, distribution, and build upon your work non-commercially.

Citations

Media Partner & Supporters