Submit manuscript...
International Journal of
eISSN: 2470-9980

Vaccines & Vaccination

Research Article Volume 2 Issue 2

Development of Experimental Oil based Inactivated HS Vaccine from field Isolates of Pasteurella multocida from Cattle in Bangladesh

MH Rahman,1 ANM Shahiduzzaman,2 ME Haque,2,3 KHMNH Nazir,2 MB Rahman2

1Animal health Research Division, Bangladesh Livestock Research Institute, Bangladesh
2Department of Microbiology and Hygiene, Bangladesh Agricultural University, Bangladesh
3Department of Biochemistry and Cell biology, Kyungpook National University, South Korea

Correspondence: Md Hafizur Rahman, Scientific Officer, Animal Health Research Division, Bangladesh Livestock Research Institute, Savar, Dhaka-1341, Bangladesh, Tel +88-01558-626719, Fax +88-02-7791674

Received: February 25, 2016 | Published: April 19, 2016

Citation: Rahman MH, Shahiduzzaman ANM, Haque ME, Nazir KHMNH, Rahman MB (2016) Oral Epithelial Cytokines. Int J Vaccines Vaccin 2(2): 00027. DOI: 10.15406/ijvv.2016.02.00027

Download PDF

Abstract

The present research work was conducted to developed oil based inactivated HS vaccine from fields isolates of Pasteurella multocida from cattle in Bangladesh and determination of antibody titers following vaccination in bovines. For this purpose, a total of 26 samples were collected where 16 blood samples were from Bogra and 6 blood samples from Mymensingh in clinical cases and 4 morbid materials such aslung, liver, and heart were collected from suspected cases of hemorrhagic septicemia (HS) in cattle of Rajshahi. The samples were processed for demonstration of bipolar organisms and isolation of Pasteurella multocida. There were 9 samples were isolated as P. multocida in which 3 samples from Bogra, 2 samples from Mymensingh and 4 samples from Rajshahi. The isolates were identified by cultural and morphological characteristics, biochemical characteristics, serological and pathogenicity tests. The dense culture of the organism was achieved in a blood agar by incubation. The formalin inactivated HSvaccines (oil adjuvanated) was prepared and administered in cattle at the dose rate of 2ml (1.5 OD600 = ≥7.5×108 CFU/ml) through subcutaneous (SC) route in each selected Group (A, and B) in the field of Gouripur Upazilla, Mymensingh and Nokla Upazilla, Sherpur respectively. Blood was collected from each group A and B before and after 28 days of primary vaccination and pre-vaccinated sera was kept as control. The mean PHA titers were 134.86, 169.14 and <4±0.00 in Group A and B and control group respectively. The PHA titers were analyzed by t-test to determine the immune level of vaccinated cattle. The vaccine produced better immune response in post vaccinated groups of cattle as compared to pre-vaccinated groups of cattle. So, it may be concluded that oil based inactivated HS vaccine induced high level of passive haemagglutinating (PHA) antibodies in the vaccinated cattle.

Keywords: pasteurella multocida, isolation, HS vaccine, oil adjuvant, passive haemagglutination, cattle

Abbreviations

PHA, passive haemagglutinating; HS, hemorrhagic septicemia; SC, subcutaneous; MDR, multi drug resistant

Introduction

Hemorrhagic septicemia is an economically important bacterial disease of cattle and buffaloes.6 The disease remains a significant obstacle to sustainable livestock production in most parts of tropical Asia and Africa. It is caused by Pasteurella multocidaa natural inhabitant of the mucosal surfaces of upper part of the respiratory tract of ruminants, and under predisposing environmental or management conditions which constitute stress for the animals such as transport (shipping fever), marketing, change of feed, climate or ventilation.1 The disease is per acute, having a short clinical course, involving severe depression, pyrexia, submandibular edema, and dyspnea, followed by recumbency and responsible for 70% above bovine mortality.2

Diagnosis of the Pasteurellosis has been traditionally based on history, clinical signs, necropsy findings and isolation of the causative organismThe organism can be identified by classical microbiological tests particularly biochemical tests.3 Blood smears and impression smears of the organs stained by Leishman’s stain can be used for diagnosis by demonstration of bipolar organisms. The infected animals are treated with a variety of therapeutic agents such as antibiotics are used to a large extent for treatment of hemorrhagic septicemia. However, the prolonged and indiscriminate use of antibiotics has resulted in organism and even multi drug resistant (MDR) forms of P. multocidahave emerged.4 Therefore, an effective control of disease could only be achieved by vaccination. Formalin-killed, alum-precipitated vaccine of Pasteurella multocidais presently the most widely used vaccine for preventing HS. However, immunity lasts for 4 to 5months and protective efficacy is only 60%. Water-in-oil adjuvant vaccines of P. multocidausing mineral oil and lanoline have been developed and used in some countries. The oil based vaccine which persisted for more than six months due to viscosity of the adjuvants was low (easily injectable) and the oil phase did not separate upon centrifugation at 1,000g for 30minutes or standing at room temperature for 30days.5‒7 Keeping in view the above facts, the present study has been undertaken to developed oil based inactivated HS vaccine from the field isolates ofPasteurella multocida in cattle in Bangladesh and determination of PHA titres of the experimentally prepared oil based inactivated HS vaccine in bovines.

Material and methods

Collection of samples

Samples (blood, heart, liver, lung) were collected from cattle of different ages and sex group suffering from clinically suspected cases of HS and apparently healthy cattle suspected to be infected with P. multocidafrom different selected areas of Mymensingh, Rajshahi and Bogra. The samples were processed for isolation and identification of suspected pathogen by standard method.8

Cultural examination of the samples

The collected samples were cultured according to the standard method described by Cowan.9 The collected organisms were inoculated in blood agar, nutrient agar, MacConkey agar, eosine methylene blue agar, salmonella shigella agar and nutrient broth enriched with yeast extract and beef extract for better growth. The inoculating media was incubated at 37○C in bacteriological incubator for characteristic colony formation. Biochemical tests were also performed for confirmation of the organism according to the methods described by Chessbrough & Cown.9,10

Preparation of stock culture

The two different isolate of P. multocida organisms were inoculated separately in blood agar, nutrient agar media and nutrient broth enriched with yeast extract and beef extract. The inoculating media were incubated at 37°C in bacteriological incubator for characteristic colony formation. Subsequent subcultures were done for getting pure culture.

Maintenance of stock culture

Blood agar slants were used to maintain the stock culture. The P. multocidaorganisms were inoculated in slant by streaking and were incubated at 37°C for 24hours. Finally, sterile mineral oil was overlaid and kept the slant at 4°C or room temperature. Equal volume (0.5ml) of overnight culture of P. multocida in nutrient both and 80% sterile glycerin are taken in eppendorf tubes, mixed well and stored at -80°C.

Inoculation of bacterial isolates into mice

P. multocidaisolates (0.5ml) were inoculated in mice through subcutaneous route. The mice were observed at 2hours interval up to 24hours post inoculation and those died or sick were necropsed. The heart blood was smeared, stained by Leishman's stain and finally observed under microscope.

Staining method

The smears were prepared from representative colonies and microbes were characterized microscopically by using the Gram's staining, Leishman's staining and Methylene blue staining technique or method. These staining were performed according to the method described by Merchant & Packer.11 Motility of bacteria was performed by hanging drop slide preparation as described by Merchant & Packer.11 The organism can be identified by classical microbiological tests particularly biochemical tests.3

Biochemical tests

Biochemical tests for all the isolates were performed. Peptone water grown culture of each isolate was inoculated in 1% glucose, sucrose, sorbitol, manitol, fructose, dulcitol, lactose, silicin, and arabinose, incubated aerobically at 37°C for 72hours. Indol, oxidase, catalase, urease production and nitrate reduction tests were carried out according to their standard bacteriological procedure.12

Preparation of oil based inactivated HS vaccine

HS vaccine was prepared in the laboratory at the dose rate of 2ml (1.5OD600 = ≥7.5×108 CFU/ml) and kept in the laboratory. For this, P. multocida isolates were cultured in BA media and kept in bacteriological incubator at 37 °C for 24hours. The purity of culture was examined and subsequently sub-cultured in the same media for 24hours. The isolated colonies were then inoculated in 500ml NB containing yeast extract and beef extract and incubated at 37°C in bacteriological shaker incubator for 24hours for massive growth. Later on formalin was added in the broth culture (1:125 ratio) and then sterility test was done according to the procedure described by Choudhury et al.,13 One milliliter of formalin added NB was inoculated in separate BA plates and kept overnight at 37°C in bacteriological incubator. The plate showing no growth indicated complete inactivation of P. multocidaorganisms and negative for any other contaminating organisms. After 24hours, precipitated potash alum (1:30.30 ratio), autoclaved Paraffin oil (1:1.7 ratio) and Arlacel (1:6.7 ratio) mixed with formalin killed broth culture by stirring for 30minutes and simultaneously Tween-80 (1:50 ratio) was added and mixed. All these activities were performed in the Hemorrhagic Septicemia vaccine production division of Livestock Research Institute (LRI), Mohakhali, Dhaka, Bangladesh. Finally, it was dispensed in crew capped vials and stored at room temperature for further use. Thus the vaccine is formalin inactivated oil adjuvant type.

Experimental immunization

A total of 32 cattle with the history of vaccination against Hemorrhagic Septicaemia disease were selected for this experiment, of which 10 cattle (group A) selected from the Muktijoddha Bazar, Gouripur Upazila under the district of Mymensingh and 22 cattle (group B) were selected from Nokla Upazila under the district of Sherpur and prevaccinated sera were considered as control group. Experimental prepared HS vaccine was administered at the dose rate of 2ml (1.5OD600 = ≥7.5×108 CFU/ml) through subcutaneous route at the neck region in each group of cattle. Sera were collected at 28days after primary vaccination.

Collection of serum from cattle blood

Blood was collected prior to vaccination, 28days after primary vaccination using sterile syringe and needle. Syringes were then held in slanted position and blood was allowed to clot at room temperature for an hour. Blood clots were detached from the wall of the syringe by pressing the piston and were kept overnight in the refrigerator at 4 °C for separation of the serum. Then serum was carefully removed and centrifuged at 2000rpm for 10minutes for clarification and then stored at -20 °C in screw capped vials until used.

Inactivation of cattle serum

The serum samples were inactivated at 56 °C for 30minutes in water bath before PHA test.

Passive haemagglutination (PHA) test

Humoral immune response was determined by the application of passive hemagglutination test (PHA). Antibody titres of the bovine animals that immununized with experimental prepared oil based inactivated HS vaccine was determined by modified passive hemagglutination (PHA) assay according to the method described by Tripathy et al.,14 with slight modification. The modification for the tests was as follows in Table 1.

Reagents/Parameters

Tripathy et al.14

Present Investigation

PBS

PH 6.4

7.2

Tannic acid solution

1:25000

1:20000

Strength of Na2HP04. 12H2O

0.15 M

0.2 M

Strength of KH2PO4. 2H2O

0.15 M

0.2 M

Table 1 Reagents/parameters for Passive haemagglutination (PHA) test

Results and discussion

TheP. multocidaorganism was characterized by using various microbiological techniques among the morphology, staining and cultural characteristics of the organism in different culture media were studied according to the procedure described by Carter & Rundell12 reported that some strains of P. multocidamight not grow in media without blood or blood serum. In the present investigation, the selected isolates were found to grow well in bovine blood and nutrient agar media producing more or less characteristic colonies of P. multocidalikesmall colonies (Figure 1 & 2). No hemolysis was noticed on BA media (Figure 2). The other characteristics of these colonies included whitish, discrete, opaque, circular and translucent in appearance. Shigidi & Lariviere et al.,12,15‒17 used bovine and sheep blood agar for the culturing of P. multocida. Culture on MacConkey agar, EMB agar, and SS agar plates yielded no colonies (Figure 3 & 4). The growth ofP. multocidain NB was characterized by diffused turbidity and in few occasions pellicle was formed.

Figure 1 Colony in NA.

Figure 2 Colony in NA.

Figure 3 No growth in McConkey agar.

Figure 4 No growth in SS agar.

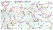
P. multocidaorganisms were Gram negative, cocco-bacillary or short rod shaped and generally arranged single or in pairs (Figure 5). Rod shaped bacteria with bipolar appearance was observed after Leishman's staining (Figure 6) of fresh culture of the organisms, which was indicative of P. multocida.Methylene blue staining technique revealed blue, cocco- bacillary shaped organisms (Figure 7). The above findings were also shown by De Alwis.18 Bergey et al.,19 also recorded similar staining characteristics ofP. multocida.All the organisms were found to be non-motile when examined under microscope by hanging drop technique.

Figure 5 Gram`s Staining.

Figure 6 Leishman's staining.

Figure 7 Methylene blue staining.

From the Table 2 it was revealed that the P. multocidaorganism fermented dextrose, sucrose and mannitol but not maltose and lactose. These fermented sugars produced acid (indicated by the change of yellow colour of the medium) without gas (Figure 8). The P. multocidaorganism also gave positive indole test and negative methyl red (MR), voges-proskauer (VP) test (Figure 9) and also gave positive catalase test (Figure 10). These biochemical reactions were closely correlated with Anupama & Topley et al.,3,17,20,21

Tests

 

Results

Fermentation reaction with five basic sugars

Dextrose/Glucose

+

Maltose

-

Lactose

-

Sucrose

+

Mannitol

+

Control

-

Indole

+

Catalase

+

MR

-

VP

 

-

Table 2 Biochemical tests and its results
(+) = Fermentation with production of acid, (-) = No fermentation / negative, MR = Methyl red, VP = VogesProskauer.

Figure 8 Sugar fermentation test of P. multocida.

Figure 9 Indole, VP, MR tests of P. multocida.

Figure 10 Catalase test of P. multocida.

Jones et al.,22 found that calf and mice died of acute septicemia after periocular and subcutaneous infection with P. multocidaisolated from acute case of hemorrhagic septicemia. In experimental inoculation of P. multocidaisolates in mice produced characteristic changes in different visceral organs. Following inoculation, mice died within 24hours and there was a marked septicaemic lesions consisting of white necrotic foci and hemorrhages in lungs, trachea, liver and spleen.

Passive haemagglutination test was conducted to determine the humoral immune response of the serum of cattle as per the method described by Tabatabaei & Muneer et al.,5,23 The pre-vaccination PHA titers of sera samples of all vaccinated and control cattle was found with a mean of <4.00±0.00. After 28days of primary vaccination the mean PHA titers were 134.86 and 169.14 in group A and B respectively. In this present study, it was observed that group B produced comparatively better immune response than group A which was similar with the result of De Alwis & Tasneem et al.,24,25 Vaccinated cattle produced the mean PHA titers were 134.86 and 169.14 in Group A and B respectively (Table 3). According to the findings of Mondal et al.,26 after vaccination sera possessing IHA titre 1: 128 or above could protect challenge but sera having IHA titre 1:64 or below failed to protect infection with P. multocida. In this present experiment, it was observed that sera from vaccinated cattle possessed higher titer than the findings of Mondal et al.,26 Vaccinated cattle did not show any clinical signs such as transient rise in rectal temperature, dullness, depression and adverse reactions at the site of inoculation which were similar to the findings of De alwis& De lafaire et al.,27‒29 . From the above study it can be assumed that PHA titers from vaccinated cattle may be protectable against hemorrhagic septicemia disease.

Groups    

Route of vaccination    

Sera collection interval (days)    

PHA titer of pre-vaccinated and  control    

PHA titer

P-value by t test

 

 

 

(Mean±SD)

(Mean±SD)

at 28 DPV

A

SC

28

<4±0.00

134.86±114.582

B

SC

28

<4±0.00

169.14±88.052    

0.095

Table 3 Mean PHA titers of sera of cattle pre-vaccinated and post-vaccinated with HS vaccine through SC route as determined by t-test
PHA: Passive Haemagglutination; DPV: Days post vaccination; SC: Subcutaneous route; Mean: Geometric mean of cattle; SD: Standard Deviation; NS: Non significant Level of significance: NS (P>0.01)

Conclusion

The present research work was carried out with a view to isolation and characterization of P. multocida from cattle, preparation of vaccine and determination of its efficacy. The isolates were identified by cultural and staining characteristics, morphological and biochemical characters, pathogenicity test. Demonstration and isolation of bipolar organisms (P. multocida) from blood, heart, liver, spleen and lungs of cattle were quite good. The experimentally produced oil-based inactivated haemorrhagic septicaemia (HS) vaccine induced high level of passive haemagglutinating (PHA) antibodies in the vaccinated animals. From the above study it can be assumed that PHA titers from vaccinated cattle may be protectable against hemorrhagic septicemia disease.

Acknowledgments

Higher Education Quality Enhancement Project (HEQEP) of World Bank for providing fund to conduct this research. Livestock Research Institute (LRI), Mohakhali, Dhaka for giving space to preparing vaccine.

Conflicts of interest

Author declares there are no conflicts of interest.

Funding

None.

References

  1. Radostits OM, Blood DC, Gay CC, et al. Veterinary Medicine: A Textbook of the Diseases of Cattle, Sheep, Pigs, Goats and Horses. J of Eqn Vetern Sci. 2000; 20(10):625.
  2. Horadagoda NU, Hodgson JC, Moon GM, et al. Role of endotoxin in the pathogenesis of haemorrhagic septicaemia in the buffalo. Microb Pathog. 2001;30(3):171‒178.
  3. Anupama M, Venkatesha MD, Yasmeen N, et al. Evaluation of polymerase chain reaction (PCR) for identification of virulent Pasteurella multocida and its comparison with animal inoculation test. Indian Journal of Animal Science. 2005;73(2):166‒167.
  4. Arora AK, Virmani SKJ, Oberoi MS. Isolation, characterization and antibiogram of Pasteurella multocida isolates from different animal species. Indian Journal of Animal Science. 2005;75(7):749‒752.
  5. Muneer R, Afzal M. Preliminary studies on improved oil-adjuvant vaccine for haemorrhagic septicaemia in buffalo calves. Reviews Science and Technology of International Epizootics. 1989; 8(4):999‒1004.
  6. Rutkowska JI, Borkowska OB. Biochemcial properties of Pasteurella multocida strains isolated from poultry. Bulletin of the Veterinary Institute in Pulawy. 2000;44(2):161‒167.
  7. Zulfiqar A, Khushi M, Irshad H, et al. Antibody Response of Buffaloes to Haemorrhagic Septicaemia Vaccine. International Journal of Agriculture & Biology. 2000;2(3):183‒186.
  8. Carter GR, Subronto P. Identification of type D strains of P. multocida with acriflavin. Am J Vet Res. 1973;34(2):293‒294.
  9. Cowan ST. Cowan and Steels Manual for Identification of Medical Bacteria. (2nd edn), Cambridge University Press, Cambridge, London. 1985.
  10. Chessbrough M. Medical Laboratory Manual for Tropical countries. (1st edn), Volume II, ELBS edn, UK. 1985. P.28‒32,50‒56.
  11. Merchant IA, Packer RA. Veterinary bacteriology and Virology. (7th edn), The lowa State University Press, Ames, USA. 1967. p.211‒305.
  12. Carter GR, Rundell SW. Identification of type A strains of P. multocida using staphylococcal hyaluronidase. Vet Rec. 1975;96(15):343.
  13. Chowdhury KA, Amin AA, Rahman A and Ali MR. Immunization of chickens against fowl cholera with oil adjuvaneted broth culture vaccine. Bangladesh Veterinary Journal. 1987;21(1‒2):63‒69.
  14. Tripathy DN, Hanson LE, Myers WL. Passive haemagglutination test with fowl pox virus. Avian Dis. 1970;14(1):29‒38.
  15. Lariviere S, Leblanc L, Mittal KR, et al. Characterization of Pasteurella multocida from nasal cavities of piglets from farms with or without atrophic rhinitis. J Clin Microbiol . 1992;30(6):1398‒1401.
  16. MacFaddin JF. Biochemical Tests for Identification of Medical Bacteria. (3rd edn), Lippincott Williams & Wilkins, Philadelphia, Pennsylvania, USA. 2000. p.318‒345.
  17. Shigidi MTA, Mustufa AA. Biochemical and serological studies on Pasteurella multocida isolated from cattle in the Sudan. Cornell Veterinarian Journal. 1979;69(1):77‒84.
  18. De Alwis. Haemorrhagic septicaemia: Clinical and epidemiological features of the disease. International workshop on diagnosis and control of H.S. Bali, Indonesia. 1966.
  19. Bergey DH, Harrison FC, Breed RS, et al. Bergey’s Manual of determinative bacteriology. 1923;1:66.
  20. Chandrasekaran S, Yeap PC, Chuink BH. Biochemical and serological studies of Pasteurella multocida isolated from cattle and buffaloes in Malaysia. Br Vet J. 1981;137:361‒367.
  21. Topley WWC, Wilson GS. The principles of bacteriology and immunity. The Journal of Immunology. 1929;(1st edn),1:43‒56.
  22. Jones TO, Minns M, Rimler RB. Isolation of P.multocida F-3, 4 from a calf in the UK. Vet Rec . 1988;123(13):354.
  23. Tabatabaei M, Moazzeni Jula GR, Jabbari AR, et al. Vaccine efficacy in cattle against hemorrhagic septicemia with live attenuated aroA mutant of Pasteurella multocida B:2 strain. Journal of Cell and Animal Biology. 2007;1(4):062‒065.
  24. De Alwis. Haemorrhagic septicaemia in cattle and buffaloes. Reviews Science and Technology of International Epizotics. 1984;3(4):707‒730.
  25. Tasneem K, Zamir B, Ali S, et al. Haemorrhagic septicaemia: A review. Pakistan Journal of Science. 2009;61(1):10‒14.
  26. Mondal SK, Choudhury KA, Amin MM, et al. Immune response in chicken induced by alum precipitated fowl cholera vaccine. I. humoral immune response. Bangladesh Veterinary Journal. 1988;23:63‒69.
  27. De alwis. Mortality among cattle and buffaloes in Sri Lanka due to haemorrhagic septicaemia. Tropical Animal Health and Production. 1981;13(1):195‒202.
  28. De lafaire P, Brancq B. Improvement in the technology of adjuvants for oil vaccines. In Advances in carriers and adjuvants for veterinary biologics. 1986;4:185.
  29. Mckercher PD, Graves JH. A review of the current status of oil adjuvants in foot and mouth disease vaccines. International symposium on foot and mouth disease. Development of Biological Standard. 1977;35:107‒112.
Creative Commons Attribution License

©2016 Rahman, et al. This is an open access article distributed under the terms of the, which permits unrestricted use, distribution, and build upon your work non-commercially.