Submit manuscript...
Journal of
eISSN: 2378-3184

Aquaculture & Marine Biology

Research Article Volume 5 Issue 3

Effect of Barley on Liver Histology of Rainbow Trout, Oncorhynchus mykiss

Julia Pinedo Gil,1,2 Ana Bel n Mart n Diana,1 Mar a Jos Caballero Cansino,3 Miguel ngel Sanz Calvo,1 Miguel Jover Cerda,2 Ana Tomas Vidal2

1Subdirection of Research and Technology, Agro-Technological Institute of Castilla y Le
2Research Group of Aquaculture and Biodiversity, Institute of Animal Science and Technology, Spain
3Aquaculture Research Group, University of Las Palmas de Gran Canaria, Spain

Correspondence: Julia Pinedo Gil, Subdirection of Research and Technology, Agro-Technological Institute of Castilla y Le, Tel 34 609720461

Received: January 27, 2017 | Published: March 23, 2017

Citation: Pinedo-Gil J, Martín-Diana AB, Caballero-Cansino MJ, Sanz-Calvo MA, Jover-Cerdá M, et al. (2017) Effect of Barley on Liver Histology of Rainbow Trout, Oncorhynchus mykiss. J Aquac Mar Biol 5(3): 00123 DOI: 10.15406/jamb.2017.05.00123

Download PDF

Abstract

This study investigated the effects of the incorporation of barley instead of wheat to study fish growth and biometrics parameters, body composition, retention efficiency and liver histology of rainbow trout Oncorhynchus mykiss. Experimental diets were used containing different barley concentrations (0-16%) randomly assigned to four groups per treatment. Results showed a significant change on liver histological parameters. Liver cell vacuolization was significantly lower on fish fed with 16B diets compared to control diet and revealed some degeneration. Those fish also showed more regular hepatocytes than in control diet.

Keywords:Barley, β-glucans, Rainbow trout, Hepatocyte, Vacuolization, Lymphocyte foci

Abbrevation

Lmax, Maximum Length of Hepatocytes; Lmin, Minimum Length of Hepatocytes; H&E, Hematoxylin-Eosin; SEM, Standard Error of the Mean

Introduction

Ingredients based on vegetable crops are the most promising alternative feed ingredients, not only as a protein source also as a source of carbohydrates in aquafeeds.1 In this sense, cereal grains such as wheat, oats and corn in carnivorous fish diets is a worldwide practice.2 Cereals have a stable composition3 and are low in antinutritional factors.4 Barley has been included in feed for animal species, mainly due to its high β-glucan content. β-glucans are commonly used as a vaccine adjuvant5 and as immunostimulatory feed ingredient.6

Histological studies have been carried out using different bioactive products such as β-glucans7 howeverscarce information is available regarding the effect on diet of whole cereal grains. The aim of this study was to evaluate the effect of barley on liver morphology and histology parameters.

Materials and methods

Fish grew in a recirculation system and fed 4 experimental diets8 with increasing barley levels (0-16%) were used. Groups of 25 fish (average weight 128 g) were housed in 20 cylindrical fibreglass tanks (four per treatment). The trial lasted 78 days and was conducted in a freshwater recirculating system (RAS). At the end of the growth trial three fish livers per tank were collected. Livers were preserved in phosphate buffered formalin (4% pH 7.4). Three sections were obtained from each liver (two transversal and one longitudinal). For histological analysis, 4 μm tissue slices were stained with hematoxylin-eosin. Liver slices were evaluated for the infiltration of perpancreatic fat, hepatocytes area and length and presence of lymphocytes foci. This evaluation was carried out individually for each sample. Microphotographs were taken using a Nikon Microphot-FXA microscope and Olympus DP50 camera. Liver photographs (100X) were used to measure the area and maximum (Lmax) and minimum (Lmin) lengths of randomly selected hepatocytes passing through nucleus. For each fish, 15 hepatocytes were measured. All measurements were analysed using Image Pro® Plus software (media Cybernetics, Inc.; MD, USA).

Statistical analysis was performed using SAS version 9 (SAS Institute Inc., Cary, North Carolina, USA). When the variances were not normally distributed, the Kruskall-Wall is non-parametric test was applied to the data and the multiple comparison procedure to find non-paramentric pair differences were contrasted by Dunns test. The infiltration of perpancreatic fat and the presence of lymphocytes foci were analysed using the CATMOD procedure, and the significance was determined using a chi-square test at p<0.05.

The study complied with European Union Council Directive 2010/63/UE, which lays down minimum standards for the protection of animals and Spanish National Legislation (Spanish Royal Decree 53/2013) and approved by Animal Ethics Committee of ITACyL.

Results and discussion

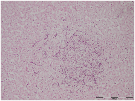
Histological analysis of the fish fed diets containing increasing barley levels exhibited morphological changes, unlike results obtained of rearing and quality parameters.8 Liver cell vacuolization was significantly lower on fish fed 16B diets than in control diet and accordingly, those fish presented the smallest hepatocytes (Table 1, Figure 1 & 2). Similar results were observed by Rusell PM et al.,9 when substituted corn starch with pea seed meal on European sea bass diets, where a lower vacuolized liver on fish fed pea seed meal than the control diet was observed, and as they said, more lipid in the livers could be associated with a slower rate of glucose uptake and hence glucose is transformed into lipids. This effect was also observed by Pereira O et al.10 feeding rainbow trout with brassica by products. Glencross B et al.11 fed rainbow trout with yellow lup in as a source of protein and also observed that fish fed with diets with 50% of this ingredient had a significant decrease on lipid vacuolization. However, under rearing conditions has been reported for other authors frequently vacuolization on livers when diets are modified.12 Figueiredo-Silva A et al.12 reported for juvenile sea bass that the accumulation of lipid in the liver could be due to a hepatocyte reaction to a new metabolic state when fish were fed with soybean in the diets, corresponding to a reactive adaptation to a new ingredient in short-term, and could lead into liver necrosis if the diet was not corrected. Figueiredo-Silva A et al.12 reported for juvenile sea bass that the accumulation of lipid in the liver could be due to an hepatocyte reaction to a new metabolic state and could lead into liver necrosis when diet is not corrected. In the present work the liver tissue examination revealed a liver degeneration, being most significant in fish fed with highest barley levels (16B) (Figure 3 & 4). This was in contrast with what was reported by Figueiredo-Silva A et al.12 because these liver alterations appeared in those livers less vacuolized. Borquez A et al.13 reported that the appearance of inflammatory cells infiltration in the lamina propria occur when carnivorous fish are fed with plant ingredients. Probably this negative effect observed on those carnivorous species was showed off through a liver degeneration as the increasing incidence of lymphocytic foci observed in the present study.

Figure 1 Hepatocytes (H&E x400) from fish fed (a) Control diets showing more cell vacuolization. (b) 16B diets with a regular morphology of the hepatocytes and lower cell vacuolization at the end of the experimental period.

Figure 2 Hepatocytes vacuolization of fish fed different experimental diets. 0B (0% barley. 0% β-glucans); 4B (4% barley, 0.14% β-glucans); 8B (8% barley, 0.223% β-glucans); 16B (16% barley, 0.53% β-glucans) are the different experimental diets. Different letters indicate significant differences (P < 0.05) between different experimental diets.

Figure 3 Livers from fish fed 16B diets showed numerous lymphocytic foci (H&E, x100).

Figure 4 Incidence of lymphocitic foci appearance in hepatocytes of fish fed different experimental diets. 0B (0% barley, 0% β-glucans); 4B (4% barley, 0.14% β-glucans); 8B (8% barley, 0.223% β-glucans); 16B (16% barley, 0.53% β-glucans) are the different experimental diets. * indicate significant differences (P < 0.05) between different experimental diets and different incidences.

 

 Diets1

 

0B

4B

8B

16B

SEM

Area

0.053a

0.064c

0.058b

0.053a

0.003

Lmax

0.293a

0.321b

0.304a

0.294a

0.008

Lmin

0.201a

0.221c

0.211b

0.201a

0.006

Table 1 Areas, maximum (LMax) and minimum (LMin) lengths (µm) of hepatocytes of fish fed different experimental diets (values are least-squares means ± SEM, n=4)
10B (0% barley. 0% β-glucans); 4B (4% barley, 0.14% β-glucans); 8B (8% barley, 0.223% β-glucans); 16B (16% barley, 0.53% β-glucans) are the different experimental diets.

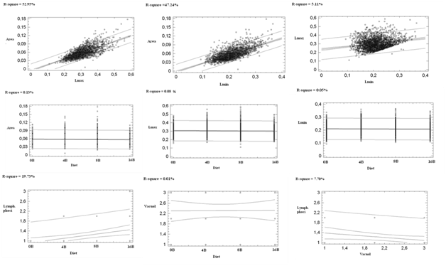
Correlations between different parameters are shown in Figure 5. Results showed that hepatocytes area, Lmax, Lmin and vacuolization were not significantly correlated with barley concentration. However, as it was expected a strong correlation was observed between area, Lmax and Lmin. In contrast, the incidence of appearance of lymphocytic foci was significantly correlated with the diet, higher barley concentration cause the appearance of more lymphocytic foci. Also a significant correlation between hepatocyte vacuolization and lymphocytic foci was observed. It was a weak negative correlation, higher hepatocytes vacuolization produced less incidence of appearance of lymphocytic foci.

Figure 5 Correlation of the different liver histological parameters with the diet and between them.

Data in the same row not sharing a common superscripts letter are significantly different (p < 0.05).

Conclusion

Although previous studies have demonstrated that wheat can be substituted by barley without any significant detrimental effect on rearing parameters and with a positive enhancing effect on fish quality,8 histological studies indicated that concentrations higher than 8% produced significant modifications, decreasing vacuolization and increasing the incidence of appearance of lymphocytic foci.

Acknowledgments

This work has been co-funded with FEDER and INIA funds (call 2012, BOE-2012-13337).

Conflicts of interest

None.

References

  1. Martínez–Llorens S, Baeza–Ariño R, Nogales–Mérida S, Jover–Cerdá M, Tomás–Vidal A. Carob seed germ as a partial substitute in gilthead sea bream (Sparus aurata) diets: Amino acid retention, digestibility, gut and liver histology. Aquaculture. 2012;338–341:124–133.
  2. Glencross B, Blyth D, Tabrett S, et al. An assessment of cereal grains and other star sources in diets for barramundi (Lates calcarifer) – implications for nutritional and functional qualities of extruded feeds. Aquacult Nutr. 2012;18:388–399.
  3. Couto A, Peres H, Oliva–Teles A, et al. Screening of nutrient digestibility, glycaemic response and gut morphology alterations in gilthead seabream (Sparus aurata) fed whole cereal meals. Aquaculture. 2016;450:31–37.
  4. Francis G, Makkar HPS, Beckes K. Antinutritional factors present in plant–derived alternate fish feed ingredients and their effects in fish. Review article. Aquaculture. 2001;199:197–227.
  5. Rørstad G, Aajord PM, Robertsen B. Adjuvant effect of vaccines against furunculosis in Atlantic salmon (Salmo salar L.). Fish Shellfish Immunol. 1993;3:179–190.
  6. Burrels C, Williams PD, Forno PF. Dietary nucleotides: a novel supplement in fish feeds 1. Effects on resistance to disease in salmonids. Aquaculture. 2001;199:159–169.
  7. Hsiao CM, Wu YS, Nan FH, et al. Immunomodulator “mushroom beta gluca” induces Wnt/β catenin signaling and improves wound recovery in tilapia and rat skin: a histopathological study. Int Wound J. 2015;13(6):1116–1128.
  8. Pinedo–Gil J, Tomás–Almenar C, Tomás–Vidal A, et al. Effect of barley as ingredient in rainbow trout (Oncorhynchus mykiss (Walbaum) diets on productive and quality fish fillets parameters. Aquacult. 2016.
  9. Rusell PM, Davies SJ, Gouveia A, et al. Influence of dietary starch source on liver morphology in juvenile cultured European Sea bass (Dicentrarchus labrax L.). AquacultRes. 2001;32(S1):306–314.
  10. Pereira O, Rosa E, Pires MA, et al. Brassica by–products in diets of rainbow trout (Oncorhynchus mykiss) and their effects on performance, body composition, thyroid status and liver histology. Anim Feed Sci Tech. 2002;101:171–182.
  11. Glencross B, Evans D, Hawkins W, et al. Evaluation of dietary inclusion of yellow lupin (Lupinus luteus) kernel meal on the growth, feed utilization and tissue histology of rainbow trout (Oncorhynchus mykiss). Aquaculture. 2004;235:411–422.
  12. Figueiredo–Silva A, Rocha E, Dias J, et al. Partial replacement of fish oil by soybean oil on lipid distribution and liver histology in European sea bass (Dicentrarchus labrax) and rainbow trout (Oncorhynchus mykiss) juveniles. Aquacult Nutr. 2005;11:147–155.
  13. Borquez A, Serrano E, Dantagnan P, et al. Feeding high inclusion of whole grai white lupin (Lupin albus) to rainbow trout (Oncorhynchus mykiss): effects on growth, nutrient digestibility, liver and intestine histology and muscle fatty acid composition. Aquacul Res. 2011;42:1067–1078.
Creative Commons Attribution License

©2017 Pinedo-Gil, et al. This is an open access article distributed under the terms of the, which permits unrestricted use, distribution, and build upon your work non-commercially.