Submit manuscript...
Journal of
eISSN: 2373-4426

Pediatrics & Neonatal Care

Case Report Volume 13 Issue 3

Choledochal cyst in association with agenesis of the gallbladder. What is the best diagnostic method? 

Carmen Elisa Espinosa Pereiro,1 Pilar Fernández Eire,2 Andrea Berbel Rodríguez, Ana Concheiro Guisán1

1Department of Pediatrics, University Santiago de Compostela (USC), Spain
2Department of Pediatric Surgery, University Santiago de Compostela (USC), Spain
3Department of Radiology, Hospital Alvaro Cunqueiro, University Santiago de Compostela (USC), Spain

Correspondence: Pilar Fernández Eire, Department of Pediatrics, Pediatric Surgery Hospital Alvaro Cunqueiro Estrada Clara Campoamor- 325, 36212 Vigo, Spain, Tel 34-986811111

Received: September 02, 2023 | Published: September 28, 2023

Citation: Espinosa Pereiro CE, Fernández Eire P, Berbel Rodríguez A, et al. Choledochal cyst in association with agenesis of the gallbladder. What is the best diagnostic method?. J Pediatr Neonatal Care. 2023;13(3):181-182. DOI: 10.15406/jpnc.2023.13.00513

Download PDF

Abstract

This manuscript presents the review of a clinical case late diagnosed due to the lack of symptoms and clinical signs associated with the very rare association of choledochal cyst and gallbladder agenesis. This led to multiple radiological tests being performed in an attempt to reach a correct diagnosis.

We report the case of a 9-year-old-girl with self-limited episodes of vomiting and abdominal pain for years that was finally diagnosed with gallbladder agenesis and choledochal cyst. Due to the possibility of malignancy of the choledochal cyst (especially in types I and IV of the Todani classification), she underwent surgery by performing a resection of the cyst and a hepaticojejunostomy.

Parental informed consent and ethical board clearance was obtained, although no data that could identify the patient is presented.

Keywords: Gallbladder diagnostic imaging, choledochal cyst, hepatobiliary surgery in children

Background

Gallbladder agenesis (GA) is a very rare congenital anomaly which shaded clinical and radiological features which make the preoperative diagnosis really challenging, especially when it is associated with other biliary and extrabiliary anomalies.1

The combination of GA and choledochal cyst (CC) is extremely rare, even though it has been identified biliary atresia and CC in the antenatal screening.2–4

In spite of those features, nowadays more and more cases are diagnosed thanks to great technological innovations. The most important thing is to make an adequate preoperative diagnosis, in order to avoid further surgical damage.3–5

Cholangioresonance is the most used test today. Endoscopic retrograde cholangiography can offer good anatomical images but it is a very invasive method. Its use in children of young age and weight is very limited.6 Both clinical presentation and radiological findings may mimic other biliary diseases, which can lead to misdiagnosis and improper treatment especially in children. Due to its infrequency it is not easy to think about it.5

Case presentation

A 9-year-old girl presented a history of recurrent episodes of dyspepsia, vomiting and diffuse abdominal pain. Her past medical history included short stature, heart valve disease with paroxysmal supraventricular tachycardia, vesicoureteral reflux, uterus didelphys and sellar cyst. Also she had undergone many ultra-sonographic studies, magnetic resonance cholangiography, CAT-scan and multiple medical and endoscopic treatments (for reflux) in the previous years due to all the pathologies that she had presented since her birth.

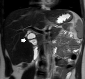
No other symptoms and signs were associated during “attacks”. Laboratory tests were always normal during the episodes. During a new episode (9 year-old) other ultrasound was performed. A cyst was observed in the hepatic hilum and the gallbladder fossa was apparently empty (Figure 1: A, B). Trying to clarify the anatomy a CT-scan was perfomed and an upper gastrointestinal contrast study to rule out a duodenal duplication cyst. Again other Magnetic Resonance Cholangiopancreatography (MRCP) was accomplished (Figure 2).

Figure 1
A: Ultrasound scans showing a Cystic formation in the hepatic hilum.
B: Gallbladder fossa apparently empty, suggestive of “atrophic gallbladder”.

Figure 2 Coronal MRCP T2 image shows a cystic ductal formation in the hepatic hilum (arrow) suggestive of a choledochal cyst.

An Endoscopic Retrograde Cholangiopancreatography (ERCP) was attempted without success, and an exploratory laparoscopy was performed where multiple adhesions in the hepatic hilum were observed which prevented a proper visualization. Finally, an exploratory laparotomy was done, finding an agenesis of the gallbladder and cystic duct as well as a type I choledochal cyst. Intraoperative cholangiopancreatography was undertaken showing intrahepatic bile ducts and confluency of hepatic ducts without any dilatation, entering then the lateral wall of the cyst. An omphalomesenteric duct was also found, which was considered to be the probable cause of the symptoms.

Excision of the omphalomesenteric duct and the choledochal cyst and reconstruction by hepaticojejunostomy was carried out. The patient was discharged after 7 days without complications. The pathology report confirmed the diagnosis.

The postoperative period had no incidence and after more than 2 years of evolution the patient is asymptomatic.

Conclusion

The combination of GA and choledochal cyst (CC) is extremely unusual.2,4 GA is classified into three types:

  1. Children with multiple fetal anomalies who usually die in the neonatal period,
  2. Symptomatic and
  3.  Asymptomatic.

GA maybe associated with other biliary anomalies including biliary atresia or choledochal cyst but this, is even rarer.4

When the gallbladder is not properly visualized on abdominal ultrasound, we should consider agenesis of the gallbladder. We think that in our patient the choledochal cyst was misinterpreted as the gallbladder and the all subsequent studies, for a long time, were based on that initial erroneous diagnosis.

MRCP is the preferred imaging modality given that ERCP is an invasive technique with potential risks, and it can avoid an unnecessary surgery in case of isolated agenesis of the gallbladder.3–7 If the diagnosis remains unclear, it can be clarified with laparoscopy or even perform a laparotomy if the radiological findings justify it and according to the availability and experience of the surgical team.2–5,8

This case describes an extremely rare association between gallbladder agenesis and atypical CC and the complexity of its diagnosis and surgical treatment.9,10

We believe that pathological ultrasound findings in the hepatobiliary tree should be confirmed by more sensitive and specific radiological tests such as magnetic resonance cholangiography and even exploratory laparoscopy which can become therapeutic if adequate resources are available.

Acknowledgments

None.

Contributors

All the authors approved the final version of this paper.

Ethical considerations

Parental written consent was obtained for the publication of the report.

Funding

The authors have not declared a grant for this research from any funding agency in the public, commercial or not-for-profit sectors. This investigation has not received specific contributions from public sector, commercial sector or nonprofit entities.

Conflicts of interest

The author declares no conflicts of interest.

References

  1. Bennion RS, Thompson JE Jr, Tompkins RK. Agenesis of the galbladder without extrahepatic biliary atresia. Arch Surg. 1988;123(10):1257–1260.
  2. Bedi N, Bond-Smith G, Kumar S, et al. Gallbladder agenesis with choledochal cyst- a rare association: a case report and review of possible genetic or embriological links. BMJ Case Rep. 2013;2013:bcr2012006786.
  3. Böyük A, Kirkil C, Karabulut K, et al. A choledochal cyst resulting in obstructive jaundice in a case with gallbladder agenesis: report of a case and review of the literature. Balkan Med J. 2012;29:106–108.
  4. Senthilnathan P, Patel ND, Nair AS, et al. Laparoscopic management of choledochal cyst-technical modifications and outcome analysis. World J Surg. 2015;39(10):2550–2556.
  5. Aneiros B, Cano I, Garcia A, et al. Association between gallbladder agenesis and choledochal cyst: cause or coincidence? BMJ Case Rep. 2019;12(6):e 229986.
  6. Saito T, Terui K, Mitsunaga T, et al. Role of pediatric endoscopic retrograde cholangiopancreatography in an era stressing less- invasive imaging modalities. J Pediatr Gastroenterol Nutr. 2014;59(2):204–209.
  7. Tagliaferri E, Bergmann H, Hammans S, et al. Agenesis of the gallbladder: role of clinical suspicion and magnetic resonance to avoid unnecessary surgery. Case Rep Gastroenterol. 2016;10(3):819–825.
  8. Soares KC, Goldstein SD, Ghaseb MA, et al. Pediatric choledochal cysts: diagnosis and current management. Pediatr Surg Int. 2017;33(6):637–650.
  9. Ten Hove A, de Meijer VE, Hulscher JBF, et al. Meta-analysis of risk of developing malignancy in congenital choledochal malformation. Br J Surg. 2018;105(5):482–490.
  10. Kumar S, Singla S, Kumar S, et al. Tactics, techniques, and challenges in the management of giant choledochal cyst in adolescents and adults: a retrospective cohort study. Langenbecks Arch Surg. 2021;406(6):1925–1933.
Creative Commons Attribution License

©2023 Espinosa, et al. This is an open access article distributed under the terms of the, which permits unrestricted use, distribution, and build upon your work non-commercially.