Submit manuscript...
Journal of
eISSN: 2373-4426

Pediatrics & Neonatal Care

Case Report Volume 1 Issue 4

Encephalic Form of Fetal Cytomegalovirus: About Two Moroccan Cases

Radouani MA, Azzaoui S, Amina Barkat

Department of Medicine and Neonatal Resuscitation, National Center for Neonatology and Nutrition, Morocco

Correspondence: Amina Barkat, Department of Medicine and Neonatal Resuscitation, National Center for Neonatology and Nutrition, Children’s Hospital, Ibn Sina hospital, Ibn Rushd bd, 10100 Souissi, Rabat, Morocco, Tel 661385108

Received: June 18, 2014 | Published: July 22, 2014

Citation: Radouani MA, Azzaoui S, Kabiri M, Barkat A (2014) Encephalic Form of Fetal Cytomegalovirus: About Two Moroccan Cases. J Pediatr Neonatal Care 1(4): 00019. DOI: 10.15406/jpnc.2014.01.00019

Download PDF

Abstract

We report two cases of cytomegalovirus fetopathy in encephalic form. The diagnosis was made before the existence of post-infectious neurological signs, brain damages in magnetic resonance imaging and demonstration of virus by polymerase chain reaction. The outcome was favorable after treatment by ganciclovir. This case highlights the need for the prevention of cytomegalovirus infections in pregnant women with clear information practitioner women at risk on the epidemiology and transmission of this infection.

Keywords: fetopathy, cytomegalovirus, encephalic

Introduction

The Human Cytomegalovirus (HCMV) is the most common congenital viral infection. It is the leading cause of acquired sensory-neural deficit. Cytomegalovirus CMV is a virus of the herpes group, typically implicated in the occurrence of embryo fetopathy with malformation syndrome at birth. We report two infants hospitalized fetopathy HCMV in its cerebral form.

Observation

Case report 1

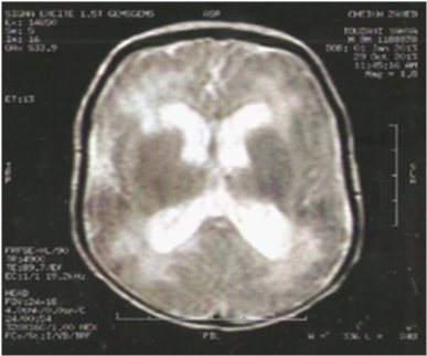
It was a 2 month old admitted to our department for hydrocephalus and brain calcifications. Following a well-attended term pregnancy of non-consanguineous parents. The mother was aged 25 years without significant history. Maternal serologies (toxoplasmosis, mumps, rubella, syphilis, hepatitis B, C) were negative. Morphological antenatal ultrasound was demonstrated, moreover, a triventricular hydrocephalus and diffuse cerebral calcifications. Childbirth was normal. Birth weight was 2770g, with a size of 50cm and a head circumference HC of 36.5 cm. The patient had consulted 15days of life; transfontanellar ultrasound had objectified triventricular hydrocephalus with periventricular calcifications. A brain magnetic resonance imaging MRI revealed calcifications in the white matter and active triventricular hydrocephalus (Figure 1). On admission, the newborn was pink toned, responsive and a febrile, the weight was 4300g (-1 SD), the size of 55Ccm (normal), with a PC to 41cm (+2 SD). Neurological examination noted axial hypotonia. The remainder of the physical examination was unremarkable. Biologically, there was an inflammatory syndrome with increased C-reactive protein (CRP) plasma at 47mg/L, normochromic - normocytic anemia, a hemoglobin concentration of 9g/dL and ferritin increased to 600mcg/L, white blood cells and 10054/mm3 to a normal platelet count. Renal and hepatic functions were correct. Cytomegalovirus, rubella and toxoplasmosis serology were negative. Polymerase Chain Reaction PCR CMV was positive (3000 copies/105 L). Antiviral treatment had proposed by ganciclovir 10mg/kg/24h for 6weeks, we obtained a good outcome. Neurological monitoring (electroencephalogram EEG, evoked auditory and visual) and hematological outcome 3 months later was averted complications medium term. The patient had an external ventricular drainage (EVD) at 6 months. The evolution was favorable.

Figure 1 MRI brain: Triventricular expansion with periventricular lesions.

Case report 2

This newborn term eutrophic, female, was admitted to our service H2 life for perinatal asphyxia. It was not followed after a pregnancy. The mother was 25years old, without significant history, it was her 2nd delivery. There is no parental consanguinity. Infectious history was marked by vaginal infection untreated seven days before. The birth was by labor delivery. The Apgar score was 21,65,810 birth weight was 3100g. On admission, she presented with generalized hypertonic movements, she was hypothermic (35.58C) with a capillary refill time of 4 seconds and elongated veins of the extremities. Cutaneous pallor was also observed. TA blood pressure was 50/32mm Hg, Capillary blood glucose was 0.7g/L, the size 49 cm (normal) and HC 34cm (normal). The patient was very present, restless, with extended limbs with hypotonia. The pupils were tight miosis, breathing was regular and reflexes were present. The remainder of the examination was unremarkable. The patient was intubated, ventilated, anticonvulsant therapy was administrated (Phenobarbital) and antibiotics (3rd generation cephalosporin, aminoglycoside and ampicillin) were administered. A cardio respiratory, neurological, metabolic and thermal monitoring was implemented. The initial paraclinical results showed transaminases multiplied by 10, high levels of creatine phosphokinase CPK (6860 IU/L) and lactate dehydrogenase (1315IU/L), metabolic acidosis (pH 7.16), a base deficit 11mmol/l lactate and to 6 mmol. The blood count, renal function and C-reactive protein were normal. Chest and abdominal X-rey were normal. The transfontanellar ultrasound made after hemodynamic stabilization was normal. The electroencephalogram EEG revealed an asymmetrical layout. Brain MRI was objectified calcification of the basal ganglia (Figure 2). Given the persistence of seizures, treatment chained by midazolam, levetiracetam and by pyridoxine combination, biotin and folic acid did not stop the seizures. Serological tests (toxoplasmosis, rubella, CMV) were negative. CMV PCR was positive (9000 copies/105L.) The newborn was treated by ganciclovir with an early neurological and hematological monitoring. The evolution was marked by the cessation of seizures. Auditory evoked potentials, visual and brain MRI at the age of 6 months had revealed the existence of significant sensory-neural sequelae.

Figure 2 MRI: Calcifications of the basal ganglia.

Discussion

Human cytomegalovirus (HCMV) belongs to the family Herpesviridae (HHV type 5). Morphologically, it is a spherical enveloped virus with an icosahedral capsid containing a double-stranded DNA. Like all Herpesviridae. Congenital HCMV infection occurs after maternal primary infection, but it can also result from a secondary maternal infection. The risk of primary infection in seronegative pregnant women ranges from 0.5 to 2% depending on the study. Seroprevalence in the world ranges from 35 to 100% depending on the population.1 In Morocco, the infection is common but we have no national data on the incidence of this infection.

The prevalence of anti-CMV antibodies in women of childbearing age varies by socioeconomic characteristics. It is high (90-100%) in disadvantaged populations. In Western Europe, it is generally 50%. The incidence of seroconversion is estimated between 1-3% of HIV-negative pregnancies.1,2 On ethiopathological plan, virus transmission is through blood and placenta and secondary to maternal viremia. The risk of transmission is much more important in the case of maternal primary infection (30 - 40%) where viremia is more intense and prolonged in case of secondary maternal infection (0.1 to 3%).3 The most vulnerable women to contamination are a group called “at risk” are those in frequent contact with subjects excreting virus (immunocompromised, young children.). Modes of contamination are various, oropharyngeal transmission, hand borne, from saliva or urine of infected patients or through sexual contact.3,4 The mothers of our patients belong to the group called “at risk”, as they presented no clinical signs of primary infection. Primary infection most often goes completely unnoticed. It can occur by nonspecific clinical signs associated with moderate elevation of transaminases and sometimes mononucleosis reaction Paul-Bunnell-Davidsohn negative.

Vertical transmission occurs through placental transfer of infected cells during a maternal viremia. The possibility of contamination of the egg by contiguity from cervical shedding is controversial.3 With maternal primary infection, the infection is transmitted to the fetus in 40-50% of cases. The fate and evolution of infected fetuses are highly variable. Early studies have shown that 90% of infected in utero with HCMV children are asymptomatic at birth, and 10% of them have a risk of developing long-term sensory-neural sequelae.5 The major form of this infection is the cytomegalic inclusion disease. It represents approximately 30% of symptomatic patients and results in multiorgan abnormalities: hepatosplenomegaly, jaundice, petechiae, microcephaly, growth retardation, chorioretinitis, anemia and thrombocytopenia. The evolution of these forms is most often fatal. Incomplete forms lead to a variety of clinical presentations, limited to one or a few organs, and cause effects more or less important.5 Our patients had an encephalic form of the disease, our first patient also had anemia blamed on the infection to a high ferritinemia and positive chain reaction protein. In our second observation, the patient had, besides the encephalic lesions, significant sensory-neural sequelae. The number of children with neurological or sensory damage associated with congenital HCMV infection was never really evaluated this objective could be achieved by prenatal screening for infection during pregnancy, detecting infection asymptomatic pregnant patient to determine if the fetus is infected and inform prospective parents to an appropriate pediatric follow. In our patients, there was no prenatal diagnosis, therefore the age of maternal-fetal transmission and type of maternal infection (primary infection or reactivation) were not known. The discovery of clinical signs had led to a diagnosis and proposes a follow-up. The specific biological diagnosis of congenital HCMV infection is twofold: the confirmation of maternal HCMV infection and research fetal contamination, the presence of virus in the blood often reflects a primary infection, viremia is very brief and weak, secondary infection in immunocompetent patients. Different tests can be used to find the virus in leukocytes from maternal blood: virus isolation by co-culture of human embryonic fibroblasts (MRC5 cells), Research pp65 antigen by Immunofluorescence, or detection of viral DNA by PCR. Indirect diagnosis in pregnant women based on specific research HCMV by immunoenzymatic techniques. The indirect ELISA used in the identification of an IgM antibody response may be responsible for false positives.6,7 Recognition of congenital HCMV infection is rarely made on the discovery of a maternal primary infection, as they are usually asymptomatic. This is usually on the occasion of the discovery of ultrasound abnormalities that arises diagnosis of congenital HCMV infection. Virus detection in amniotic fluid by viral culture is the gold standard for the diagnosis.7 The specificity of the test was 100% and sensitivity of 80-100%. Currently, there is insufficient data to determine the best time to be observed between maternal infection and amniotic puncture. IgM specific research in fetal blood after 22 weeks is positive in 20-75% of cases of fetal infection. The diagnosis of neonatal infection is made on the presence of virus in the urine before the 10th day of life.7,8 In our first case, the patient has not been consulted at the age of two months, which has not allowed a demonstration of virus in the urine, in the second, PCR positivity and lack financial resources of the parents had failed to highlighting urinary virus. The research of specific IgM in the blood gives a positive result in 70 to 80%. Cytomegalovirus was demonstrated by PCR in the cerebrospinal fluid of neonates with a symptomatic form of CMV while viral culture was negative. The presence of viral genome in the CSF seems to be a sign of poor prognosis later.8,9 In our patients, the CMV PCR was positive while frankly serological examinations were negative. Two main prognostic factors are known as probably contributing to the development of severe fetopathy of cytomegalovirus: small gestational age at maternal infection and early fetal damage in relation to maternal infection. It must have to establish the date of seroconversion, excellent location outside a systematic serological monitoring of pregnant women, which in our context is difficult but possible for the group of women “at risk”. The incidence of sequelae in these infants is generally estimated at between 5 and 15%, but we still lack accurate data.2 Deafness is the most often found disability; it is unilateral or bilateral, more or less severe, progressive or not. In our second patient, a bilateral sensory-neural deafness early was observed. Treatment of severe neonatal forms is currently based on ganciclovir, our two patients have benefited though it is still early to judge its effectiveness especially in the long term.

Conclusion

Prenatal diagnosis of fetal cytomegalovirus should be offered to all pregnant women not immunized who had contact with a subject excreting the virus. In this context, the presence of a fetal ultrasound placental hydrops, intestinal echogenicity or delayed intrauterine growth may help. The absence of those anomalies does not exclude the diagnosis. In all cases, the detection of the viral genome into the amniotic fluid or IgM of cytomegalovirus in the fetal blood confirms the diagnosis and helps to provide adequate therapeutic strategy. This work highlights the role of the prevention of cytomegalovirus infection in pregnant and the necessity of clear information about the risk, the epidemiology and transmission of this infection.

Acknowledgment

None.

Conflicts of interest

Author declares there are no conflicts of interest.

Funding

None.

References

  1. Gratacap–Cavallier B, Bosson JL, Morand P, et al. Cytomegalovirus seroprevalence in French pregnant women:parity and place of birth as major predictive factors. Eur J Epidemiol. 1998;14(2):147–152.
  2. Perol Y, Ferchal F. Les infections à Cytomégalovirus. G10 Encycl Med Chir, Maladies infectieuses, Paris. 1982.
  3. Boppana SB, Rivera LB, Fowler KB, et al. Intrauterine transmission of cytomegalovirus to infants of women with preconceptional immunity. N Engl J Med. 2001;344(18):1366–1371.
  4. Lazzarotto T, Guerra B, Spezzacatena P, et al. Prenatal diagnosis of congenital cytomegalovirus infection. J Clin Microbiol. 1998;36(12):3540–3544.
  5. Aymard M, Salle B, Gibert R (1983) Cytomegalovirus infection in infants. Ann Pediatr (Paris). 1983;30(6):393–402.
  6. Gibert R, Aymard M, Langlois M. Diagnosis of cytomegalovirus infections in newborn infants and infants:the value of indirect immunofluorescence compared with complement fixation and virus isolation. Bull World Health Organ. 1982;60(3):357–366.
  7. Gouarina S, Palmerb P, Cointec D, et al. Congenital HCMV infection:a collaborative and prospective study of virus detection in amniotic fluid by culture and by PCR. J Clin Viro. 2001;21(1):47–55.
  8. Revello MG, Zavattoni M, Sarasini A, et al. Prenatal diagnostic and prognostic value of human cytomegalovirus load and IgM antibody response in blood of congenitally infected fetuses. J Infect Dis. 1999;180(4):1320–1323.
  9. Revello MG, Gerna G. Diagnosis and management of human cytomegalovirus infection in the mother, fetus and newborn infant. Clin Microbiol Rev. 2002;15(4):680–715.
Creative Commons Attribution License

©2014 Radouani, et al. This is an open access article distributed under the terms of the, which permits unrestricted use, distribution, and build upon your work non-commercially.