Submit manuscript...
Journal of
eISSN: 2373-4426

Pediatrics & Neonatal Care

Case Report Volume 13 Issue 3

First case report of partial craniofacial duplication in a Lebanese patient and its functional implications

Tonia Harb, Pia Kiwan, Carla Hanna, Robert Sacy

Beirut Quarantina Governmental Hospital, Lebanon

Correspondence: Sacy Robert, Professor of Pediatrics Neonatology and Pediatric Intensive Care, Faculty of Medicine, Balamand University, Professor of Pediatrics and neonatology at SGUB, Saint George University of Beirut, Head of Pediatric Department, Beirut Quarantina Governmental Hospital, Tresurer UMEMPS, Beirut, Lebanon

Received: November 18, 2023 | Published: December 4, 2023

Citation: Tonia H, Pia K, Carla H, et al. First case report of partial craniofacial duplication in a Lebanese patient and its functional implications. J Pediatr Neonatal Care. 2023;13(3):239-240. DOI: 10.15406/jpnc.2023.13.00525

Download PDF

Abstract

Craniofacial duplication, a rare congenital anomaly, presents an intricate spectrum of clinical manifestations that can profoundly impact an individual's quality of life. This case report explores the unique presentation of partial craniofacial duplication in a Lebanese patient and sheds light on the associated functional implications. Our patient presented at day of life zero with atypical craniofacial features, including duplication of nasal structures, oral structures including the tongue and the hard palate, and fontanels. Comprehensive clinical and radiological assessments were conducted to ascertain the extent of the craniofacial involvement. The diagnostic workup revealed partial duplication. The baby is still alive with no signs of respiratory distress. The functional implications extend beyond the physical presentation, highlighting the importance of a multidisciplinary healthcare approach to address the complex needs of individuals with craniofacial anomalies. This case contributes to the limited literature on craniofacial duplications and underscores the need for continued research and specialized care in managing such rare and intricate congenital conditions.

Keywords: craniofacial duplication, diprosopus, congenital, malformations

Introduction

Craniofacial duplication, or Diprosopus, is a rare clinical entity with very few reported cases in the literature and no reported cases in Lebanon. Craniofacial duplication, a congenital anomaly of rare occurrence, continues to captivate medical professionals, researchers, and the general public due to its enigmatic nature. This complex condition, characterized by the duplication of facial and cranial structures, presents a captivating field of study with intricate anatomical, genetic, and clinical dimensions.

Case presentation

Our patient is the second-born daughter of first-born consanguineous, healthy parents. The couple had an older, healthy 2-year-old girl. During the pregnancy, the mother did not take any medications, she had no infections, and she did not smoke or drink alcohol. Note that the pregnancy was well followed with prenatal ultrasounds that were described as ‘normal’ by the gynecologist according to the parents, except for polyhydramnios noted during the third trimester. At the 38th week of gestation, a female newborn was born by an assisted vacuum delivery with APGARs 9 and 10 at 5 and 10 minutes, respectively. Baby was stable with no signs of distress; however, her facial features were shocking for the doctor and for the parents. Her head circumference was 45 cm. She had widely spaced eyes, two noses, one mouth with two tongues, and two palates. The physical examination was otherwise completely normal. Her vitals were stable; there were no oxygen requirements. We rapidly ordered a full workup.

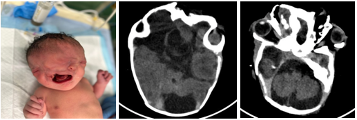
A brain CT scan (Figure 1) showed multiple facial malformations with facial multiplicity. Normal morphology of the anatomical structures in the posterior fossa multiple bilateral supra-tentorial hemispheric malformations presence of a mega cisterna magna and posterior fossa. Partial agenesis of the right cerebral hemisphere, particularly the right frontal lobe, and to a lesser degree on the left side. Agenesis of the corpus callosum asymmetry in the expansion of the lateral ventricles, primarily on the right side large arachnoid cyst in the anatomical location of the right frontal lobe.

Figure 1 Brain CT scan.

Ultrasound of the abdomen and pelvis showed that the liver was normal in size and texture, no cystic masses were seen, the gallbladder was adequately distended, and both kidneys were normal in size and position with no hydronephrosis. Both the spleen and pancreas appear normal. The urinary bladder appeared normal.

Cardiac ultrasound was also normal, with an adequate ejection fraction and no pulmonary hypertension.

Discussion

Craniofacial duplication typically manifests as the presence of two facial profiles on a single head. The extent of duplication can vary significantly, ranging from partial duplication affecting specific facial features to total duplication, where virtually all craniofacial structures are duplicated. There is a predominance of females over males (2:1).1 It is a rare form of conjoined twins, with a reported incidence of 1 case per 180,000 to 15 million births.2 Advanced maternal age, polyhydramnios, and consanguineous marriage are considered high-risk factors for diprosopus.3

In milder cases, one may observe duplication of the eyes, nose, or mouth, while more extensive forms involve duplicated brain structures, skulls, and even orofacial tissues. A complete duplication, or dicephalus, is associated with a high incidence of anomalies in the Central Nervous System (CNS), Cardiovascular System (CVS), Gastrointestinal System (GI), and Respiratory Systems (RS), as well as cleft lip and palate.4 Such profound variation in presentation poses a diagnostic and management challenge. A pre-natal diagnosis is possible with ultrasound findings such as anencephaly, a partially duplicated CNS, neural tube defects, a wide vertebral column, a bifid cranial vault, polyhydramnios, and raised AFP levels.4

The complex anatomy of craniofacial duplication raises questions about embryological development and the underlying genetic factors. The most accepted theory presently is that conjoined twins result from an embryological disturbance in the separation of the twins during the 2nd week of pregnancy (12–13 days) as a result of the abnormal splitting of the post-implantation blastocyte.5 This condition's exact etiology remains elusive, but it is thought to arise during early embryonic development, where an abnormality disrupts the process of facial fusion. Consequently, affected individuals may face challenges associated with vision, breathing, feeding, and craniofacial function. The complexity of these anatomical variations necessitates a multidisciplinary approach to medical management, involving craniofacial surgeons, neurosurgeons, ophthalmologists, and other specialists.

Understanding craniofacial duplication extends beyond anatomical curiosity. It delves into the functional implications and quality of life for those affected. Depending on the degree of duplication and the presence of associated anomalies, individuals may experience a spectrum of difficulties. Vision impairment, respiratory issues, and oral intake challenges are not uncommon, necessitating early diagnosis and intervention. Probably because diprosopus is rare, few management options, including corrective surgeries, have been documented.6

The pursuit of improved surgical techniques and therapeutic strategies plays a pivotal role in enhancing the functional aspects and overall well-being of affected individuals. The prognosis is poor for infants with a complete duplication, although treatment options such as excision of the duplicated parts, which give a normal appearance in partial diprosopus, have been variably successful.4 Prenatal diagnosis using ultrasonography, computed tomography (CT) scans, and magnetic resonance imaging (MRI) is possible. If a diagnosis is made early in pregnancy, termination of pregnancy is sometimes considered an option. Usually, diprosopus patients are stillborn; if not, the prognosis is poor.3

Craniofacial duplication cases remain scarce, and, as such, comprehensive literature on the subject is limited. There are only about 35 reported cases in the literature.1 Each new case report contributes valuable insights into this condition, shedding light on its intricacies and pushing the boundaries of our medical understanding. Moreover, the management of craniofacial duplication necessitates continuous research and the sharing of best practices to optimize patient outcomes.

Conclusion

Craniofacial duplication represents a captivating and challenging anomaly that showcases the resilience of individuals affected by rare medical conditions. Through multidisciplinary care, a better understanding of its functional implications, and the continuous pursuit of knowledge, we can provide these individuals with the support and care they need to thrive and break the boundaries of medical understanding.

Acknowledgments

Thanks to ASSAMEH BIRTH AND BEYOND to their support to Pediatric Department at Beirut Quarantina Governmental Hospital.

Funding

None.

Conflicts of interest

The authors declare that there are no conflicts of interest.

References

Creative Commons Attribution License

©2023 Tonia, et al. This is an open access article distributed under the terms of the, which permits unrestricted use, distribution, and build upon your work non-commercially.