Submit manuscript...
Journal of
eISSN: 2373-4426

Pediatrics & Neonatal Care

Case Report Volume 10 Issue 6

Foreign body aspiration in an 11-month-old child; the importance of anamnesis and respiratory examination

Muhammet Mesut Nezir ENGİN,1 Fatih ERDOĞAN,1 Özlem KÜÇÜK,2 Murat KAYA3

1Department of Child Health and Diseases, Düzce University Faculty of Medicine, Turkey
2Düzce University Medical Faculty Hospital, Turkey
3Department of Pediatric Surgery, Düzce University Faculty of Medicine, Turkey

Correspondence: Muhammet Mesut Nezir ENGİN, Düzce Üniversitesi Tıp Fakültesi, Çocuk Hastalıkları Servisi Düzce/ Merkez, Turkey, Tel +90 (0380) 542 13 90

Received: September 03, 2020 | Published: November 11, 2020

Citation: Muhammet MNE, Fatih E, Özlem K, et al. Foreign body aspiration in an 11-month-old child; the importance of anamnesis and respiratory examination. J Pediatr Neonatal Care. 2020;10(6):156-157. DOI: 10.15406/jpnc.2020.10.00429

Download PDF

Abstract

Foreign body aspiration (FBA) is common in children. Especially in children, the majority of accidental deaths occur due to FBA. Morbidity and mortality rates increase, especially in children between the ages of one and four, and as a result of delay in diagnosis. The most common symptoms in patients with FBA are cough, dyspnea, hemoptysis, stridor and wheezing. In this case report, a patient who presented with sudden respiratory distress in the Pediatric Emergency Department was presented and the importance of anamnesis and respiratory examination in the diagnosis of FBA was emphasized.

Keywords: Child, Examination, Foreign Body Aspiration, Anamnesis

Introduction

Foreign body aspiration (FBA) is common in children. Especially in children, the majority of accidental deaths occur due to FBA. Morbidity and mortality rates increase, especially in children between the ages of one and four, and as a result of delay in diagnosis.1,2 The most common location of the foreign body is the right main and distal bronchi, but it is also related to the structure of the patient's tracheobronchial tree and the person's posture during aspiration.3-5 The most common symptoms in patients with FBA are cough, dyspnea, hemoptysis, stridor and wheezing. With auscultation, a decrease in respiratory sounds, ral and rhoncus can be heard in the diseased area.5 In addition, aspirated and forgotten foreign bodies can cause chronic cough, bronchiectasis and recurrent pneumonia. Rigid bronchoscopy is generally used in children to remove foreign bodies.4

In this case report, a patient who presented with sudden respiratory distress in the Pediatric Emergency Department was presented and the importance of anamnesis and respiratory examination in the diagnosis of FBA was emphasized.

Case report

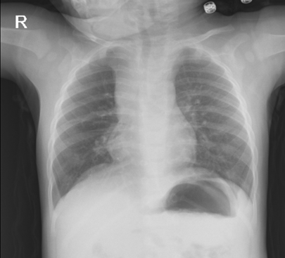
An 11-month-old boy applied to the Pediatric Emergency Service due to sudden respiratory distress. The patient's anamnesis was taken, and it was learned that he started to cough after eating cucumber. He had no respiratory complaints or other health problems in the last month. In the respiratory examination of the patient, rhoncus was heard in the bilateral lungs, other system examinations were normal. Chest radiography was not evaluated in favor of FBA in the first evaluation (Figure 1). Pneumonia was considered in the differential diagnosis because of bilateral infiltration on chest radiography and bilateral rhoncus on examination. The COVID-19 PCR test was negative. The patient was given inhaled salbutamol treatment, and respiratory distress did not regress after salbutamol treatment. When the chest radiography of the patient was examined in more detail, an area compatible with air trapping was observed in the right upper lobe (Figure 1). Bronchoscopy was performed on the patient, and a piece of cucumber with a size of 1X0.5 cm was removed (Figure 2). The patient whose complaints regressed after bronchoscopy was discharged with full recovery.

Figure 1 Chest X-ray of the case.

Figure 2 The view of aspirated cucumber piece with a size of 1X0,5 cm in a 20 cc syringe.

Discussion

Foreign body aspiration is one of the main causes of fatal home accidents in children aged between one and four years between 2000 and 2006, according to the report of the Center for Disease Control (CDC).1 In this age group, children are constantly in motion to explore their surroundings, and as their fine motor movements begin to develop, they bring everything they find to their mouths, but since their molar teeth are not developed, they cannot fully chew. However, starting hard-grained foods early, eating habits on the move, playing with small toy parts, and small airways increase the risk of foreign body aspiration in children.6

The most frequently aspirated objects include nutrients, especially nuts, core, peanuts, other nuts and popcorn. Food items are followed by inorganic objects such as toy pieces, money, needles and pen caps.7,8 Our case had aspirated a piece of cucumber, cucumber aspiration is rarely observed in children.

The majority of aspirated foreign bodies settle in the bronchi. It occurs less frequently in the larynx and trachea. Due to the anatomical location of the right bronchus, it is frequentlylocated in the right bronchus.7 In our case, the cucumber piece was located in the right bronchus. The properties of the aspirated object are important in determining the degree of damage. As organic bodies absorb fluid, they swell, increasing the risk of airway obstruction. Symptoms and signs related to the respiratory system are more severe in children who aspirate fatty foods such as hazelnuts and peanuts and require urgent treatment.9,10

Diagnosis requires a good history, physical examination, radiological examination and bronchoscopy. Although there is generally a history of aspiration, classical findings suggesting foreign body aspiration accompanied by a sudden onset of cough, wheezing and decreased respiratory sounds have been reported in only 40-57% of the cases. Patients may be completely asymptomatic, and may present with different degrees of respiratory distress, atelectasis, chronic cough and recurrent pneumonia, or even death within minutes. Complaints begin within seconds and sometimes minutes after aspiration. After a while, these complaints may regress completely, which leads to a late diagnosis.11-15 When our case came with sudden respiratory distress, it was learned that it happened after eating cucumber as a result of the story. FBA was suspected, as she had bilateral rhonchi in her respiratory examination. In our case, there was no clear FBA finding on chest radiography.

The first diagnostic method used in cases with suspected foreign body is chest radiography and chest radiography is reported as normal in 10-40% of cases. For radiopaque bodies, chest radiography is very important in the diagnosis, while radiolucent bodies are seen as segmental or lobar collapse, increased localized aeration, atelectasis, infiltration and bronchiectasis.8 In our case, first FBA finding was not considered on chest radiography, detailed examination was considered to be compatible with air trapping in the right upper lobe. Although it is inexpensive and easily accessible, chest radiography should not be considered reliable in the diagnosis of foreign body aspiration. In our case, chest radiography findings alone were not sufficient for diagnosis.

Patients with a history of aspiration, life-threatening severe respiratory failure, cyanosis and change in consciousness should be intervened immediately and the foreign body should be removed with rigid bronchoscopy. Rigid bronchoscopy is the most reliable method for definitive diagnosis and removal of foreign body when performed with an experienced team.13,14 By performing rigid bronchoscopy, the diagnosis of FBA was made definite and the cucumber piece was removed and treated in our patient.

Conclusion

Foreign body aspirationin children may present with many different clinical symptoms. It is important to take a detailed anamnesis in terms of FBA and to perform respiratory examination in patients presenting with sudden respiratory distress. Mortality and morbidity can be prevented to a great extent with early diagnosis and treatment. It should be kept in mind that cucumber aspiration may also occur, as in our case. Also, when the diagnosis cannot be made clearly in patients presenting with sudden respiratory distress, FBA may be considered in the foreground if their complaints do not regress after giving bronchodilator, as in our case.

References

  1. Centers for Disease Control and Prevention. CDC Childhood Injury Report: Patterns of Unintentional Injuries Among 0–19 Years Old in The United States, 2000–2006.Atlanta: National Center for Injury Prevention and Control, Centers for Disease Control and Prevention; 2008. p.1–109.
  2. Elhassani NB. Tracheobronchial foreign bodies in the Middle East. A Baghdad study. J Thorac Cardiovasc Surg. 1988; 96(4):621–625.
  3. Rafanan AL, Mehta AC. Adult airway foreign body removal. What's new? Clin Chest Med. 2001; 22(2):319–330.
  4. Sünnetçioğlu A, Karadaş S, Ebinç S. Aspiration of a sharp foreign body: A case report. Van Medical Journal. 2013; 20(3):183–185.
  5. Meteroğlu F, Onat S, Birak A.Three cases of interesting foreign body aspiration. Dicle Medical Journal. 2014; 41 (3): 587–590.
  6. Committee on Injury, Violence, and PoisonPrevention. Prevention of choking among children. Pediatrics. 2010;125(3):601–7.
  7. Eren S, Balci AE, Dikici B, et al. Foreign body aspiration in children: experience of 1160 cases. Ann Trop Paediatr. 2003;23(1):31–7.
  8. Özdoğan Ş, Çakır E, Usta M, et al. Foreign Body Apiration in Chidren: A Report of Four Cases. Turkiye Klinikleri J Pediatr. 2013;22(2):96–101.ü
  9. Tander B, Kirdar B, Aritürk E, et al. Why nut? The aspiration of hazelnuts has become a public health problem among small children in the central and eastern Black Sea regions of Turkey. Pediatr Surg Int. 2004; 20(7):502–4.
  10. Zhijun C, Fugao Z, Niankai Z, et al. Therapeutic experience from 1428 patients with pediatric tracheobronchial foreign body. J Pediatr Surg. 2008;43(4):718–21.
  11. Melek H, Gebitekin C. Foreign body aspiration. Turkiye Klinikleri J Thor Surg–Special Topics. 2011;4(2):35–42.
  12. Tan HK, Brown K, McGill T, et al. Airway foreign bodies (FB): a 10–year review. Int J Pediatr Otorhinolaryngol. 2000;56(2):91–9
  13. Bittencourt PF, Camargos PA, Scheinmann P, et al. Foreign body aspiration: clinical, radiological findings and factors associated with its late removal. Int J Pediatr Otorhinolaryngol. 2006;70(5):879–84.
  14. Cohen S, Avital A, Godfrey S, et al. Suspected foreign body inhalation in children: what are the indications for bronchoscopy? J Pediatr. 2009;155(2):276– 80.
  15. Fitzpatrick PC, Guarisco JL. Pediatric airway foreign bodies. 1998;150(4):138–141.
Creative Commons Attribution License

©2020 Muhammet, et al. This is an open access article distributed under the terms of the, which permits unrestricted use, distribution, and build upon your work non-commercially.