Submit manuscript...
Journal of
eISSN: 2373-4426

Pediatrics & Neonatal Care

Clinical Images Volume 6 Issue 4

Gastric Pneumatosis in a Premature Infant with Necrotizing Enterocolitis 

Saleh Al-Alaiyan, Fahad Al-Hazzani

Department of Pediatrics, Neonatology Section, King Faisal Specialist Hospital and Research Centre, Saudi Arabia

Correspondence: Saleh Al-Alaiyan, Professor of Pediatrics, College of Medicine, AlFaisal University, Consultant Neonatologist & King Faisal Specialist Hospital & Research Centre, Saudi Arabia

Received: March 27, 2017 | Published: March 28, 2017

Citation: Al-Alaiyan S, Al-Hazzani F (2017) Gastric Pneumatosis in a Premature Infant with Necrotizing Enterocolitis. J Pediatr Neonatal Care 6(4): 00254. DOI: 10.15406/jpnc.2017.06.00254

Download PDF

Keywords

gastric pneumatosis, preterm, infant, necrotizing enterocolitis

Clinical Images

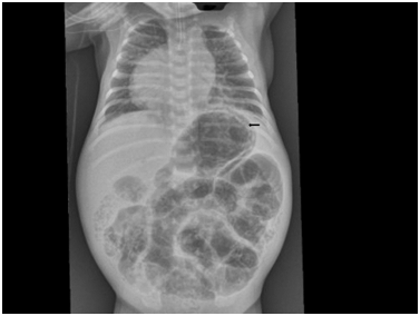
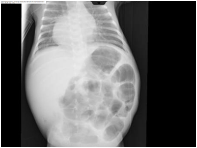
A male infant, twin B was born at 32weeks’ gestation by cesarean section due to fetal distress to a 26year old gravida 2 and Para 1 mother. The antenatal ultrasound of our patient showed congenital heart disease. The maternal history was insignificant. He weighed 1880grams and had Apgar scores of 9 and 9 at 1 and 5minutes respectively. He developed respiratory distress immediately after birth and required intubation and mechanical ventilation. There was no dysmorphic features. Echocardiogram and C.T cardiac with contrast showed dextrocardia, trunk’s arteriosus, interrupted aortic arch, large ventricular septal defect and patent ductus arteriosus. He was clinical stable and was started on enteral feeds. He had episode of gastric aspirates but they were considered insignificant. At two weeks of age he became septic with abdominal distension. He required dobutamin to restore his low blood pressure. Abdominal radiographs showed gastric and intestinal pneumatosis without any evidence of free intraperitoneal or portal venous air (Figure 1). Leukopenia and thrombocytopenia were present. He was started on antibiotics (ampicillin, gentamicin and metronidazole). He passed bloody stools with mucous. He required several platelet transfusions to correct the severe thrombocytopenia. The septic workup showed sterile blood cultures. His abdominal radiographs improved on day five of treatment (Figure 2). His head ultrasound was normal. The clinical condition of the infant significantly improved.

Figure 1 Abdominal X-ray of our patient showing gastric and intestinal pneumatosis.

Figure 2 Abdominal X-ray of our patient after 5 days of treatment showing no gastric and intestinal pneumatosis.

Discussion

Gastric pneumatosis is a rare condition and it has been found to be associated primarily with necrotizing entercolitis (NEC). It has been considered as an indicator of intestinal perforation, which was not the case in our current patient.1 Nevertheless, gastric pneumatosis has been reported in association with pyloric or duodenal stenosis,2,3 post cardiac surgery,4 and an intramural feeding catheter.5

The mechanism of gastric pneumatosis is not well understood. However, some reports attributed the occurrence of gastric pneumatosis to an increased gastric pressure from severe pyloric or bowel obstruction. Cohen et al has reported portal venous gas and gastric wall pneumatosis in 4 vomiting infants proven to have hypertrophic pyloric stenosis. All cases had prominent bright punctate echoes on sonography of the liver, portal vein lumen, and gastric wall.6 It has been reported in an infant following the use of noninvasive ventilation. The authors postulated that there was a mild damage in the gastric mucosa, due to the placement of the feeding tube or the use of indomethacin or both together. They believed that noninvasive ventilation increased the intragastric pressure that resulted in the submucosal dissection of air followed by the development of gastric pneumatosis.7 In our patient, the exact cause of gastric pneumatosis remains unclear. We postulate that cyanotic congenital heart disease caused gastrointestinal hypoperfusion and ischemia which resulted in NEC and gastric pneumatosis. A mild damage in the gastric mucosa cannot be rolled out in our case.

Lesson to clinicians

  1. Gastric pneumatosis is rare but it should be suspected in infants with cyanotic congenital heart disease, feeding intolerance and abdominal distension.
  2. Prompt recognition of this condition is important for making the diagnosis and starting the appropriate management in a timely manner, to avoid more deterioration.

Acknowledgments

None.

Conflicts of interest

Author declares there are no conflicts of interest.

Funding

None.

References

Creative Commons Attribution License

©2017 Al-Alaiyan, et al. This is an open access article distributed under the terms of the, which permits unrestricted use, distribution, and build upon your work non-commercially.