Submit manuscript...
Journal of
eISSN: 2373-4426

Pediatrics & Neonatal Care

Case Report Volume 9 Issue 5

Gastric volvolus with wandering spleen and pancreatic torsion in a 5years old girl

Daniela Codrich, Edoardo Guida, Scarpa Maria Grazia, Federica Pederiva, Daniela Sanabor, Juergen Schleef

Department of Pediatric Surgery, Hospital for maternal and child health IRCCS Burlo Garofolo, Italy

Correspondence: Juergen Schleef, Department of Pediatric Surgery, Hospital for maternal and child health IRCCS Burlo Garofolo, Italy

Received: July 17, 2019 | Published: October 14, 2019

Citation: Codrich D, Guida E, Grazia SM, et al. Gastric volvolus with wandering spleen and pancreatic torsion in a 5years old girl. J Pediatr Neonatal Care.2019;9(5):139-140. DOI: 10.15406/jpnc.2019.09.00395

Download PDF

Keywords

hyperlaxity, gastric volvolus, longitudinal axis, mesenteroaxial, diaphragmatic hernia

Abbreviations

CT, computed tomography; US, ultrasound

Background

Gastric volvolus associated to a wandering spleen and a pancreatic torsion is a rare condition due to absence or hyperlaxity of splenic suspensory ligaments.1 There are three types of gastric volvolus described in literature: the organoaxial type, counting for about 60% of cases, which is more frequent in adult patients and consists of a twisting around the mayor longitudinal axis; in the mesenteroaxial type the stomach rotates around the transgastric axis and is more frequent in children. In few cases the volvolus is a combination of the two.2 Gastric volvolus can also associate to diaphragmatic hernia or diaphragmatic eventration.3 The organoaxial type is the one usually associated with diaphragmatic hernia, while the mesentericoaxial type is thought to associate with abnormal fixation and wandering spleen. In this type of volvolus, the cardia and the gastro-pyloric junction lay nearer than usual, favouring the rotation on the transversal axis.3

Case report

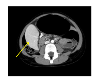
A five years old girl was taken to our emergency department with a history of few hours of acute abdominal pain in the upper quadrants and non biliary vomiting, followed by retching. The patient was afebrile, with a huge distended abdomen, without tenderness. The rest of the physical examination was unremarkable. A nasogastric tube was passed with some difficulty, a venous access was secured and blood tests were taken: WBC were 12.050U/uL, RCP was 8,8mg/L, pancreatic amylase were elevated at 430U/L. Serum electrolytes, liver and renal function, haemostasis were normal. An abdominal ultrasound (US) revealed a spleen localized in the right flank, below the liver and an abdominal computed tomography (CT) scan was performed (Figures 1-2). The exam showed a well vascularised spleen in the right flank below the liver, a dislocation to the right of the pancreatic tail and body and a huge distended stomach with a the nasogastric tube inside. The diagnosis was gastric volvolus associated with wandering spleen and pancreatic torsion. Fluid resuscitation and antibiotic therapy were started. The girl spontaneously lied on the left flank as her preferred decubitus and after a while the spleen was palpated not in the right flank but in mesogastrium. She was taken to the operatory theatre as soon as fluid resuscitation was secured an emergency and an open laparotomy was performed. A gastric mesenteroaxial volvolus was found associated to uncomplete torsion of the spleen and pancreatic tail. There were no legaments of fixation between spleen and stomach, nor between spleen and kidney, nor between spleen and abdominal wall. There were no signs of severe gastric ischemia. The stomach was derotated and the spleen restored to its normal position since the tissue was completely viable. An omental patch associated to splenopexy was performed to keep the spleen in place and a diaphragmatic and anterior gastropexy was performed. The recovery was uneventful, the amylases returned to normal values within two days and the girl was discharged on postoperative day 4th. At 24months the girl is asymptomatic and a follow-up ultrasound revealed a spleen and stomach in its normal position.

Figure 1 Axial section of abdominal CT scan, yellow arrow points to the spleen in the right flank.

Figure 2 Coronal section of abdominal CT scan.

Discussion

Gastric volvolus with wandering spleen and pancreatic torsion is an emergent condition which must be promptly recognized and immediately taken to the operatory theatre. Imaging by CT scan is mandatory when ultrasound fails to visualize the spleen in its normal position or when an abdominal x-Ray shows an abnormally distended stomach.

Rarely, the pancreatic tail or pancreatic body can be entrapped in the twisting of the splenic pedicle and thus give way to acute pancreatitis complicating the splenic and gastric torsion.2 In our case, amylases rose to 400 IU, thus confirming pancreatic injury but no clear saponification or pancreatic ischemia was seen at laparotomy.

As described in literature, onset of symptoms is acute and a distinctive sign is the presence of a distension and tenderness of the superior abdomen, reflecting the distension of the rotated stomach. Vomiting is usually non bilious since the obstruction occurs at pyloric level and sometimes it is difficult or impossible to pass a nasogastric tube.1–3 The diagnosis of this entity can be often difficult, but a delayed or misleading diagnosis may have serious consequences (strangulation, perforation, hemorrhage, ischemia, gastric necrosis) with high rates of mortality, up to 30-50%.1

Our case was not associated with any diaphragmatic defect and it was of the mesetericoaxial type, which is the most frequent type in infancy. A common embryological origin, occurring when dorsal mesogastrium and posterior peritoneum fail to fuse during fetal life leading to absence or abnormality of one or more of gastrosplenic, splenoocolic or splenorenal ligaments, is the reason to explain the association of wandering spleen and mobile stomach. Gastric derotation and gastropexy associated to splenopexy is the procedure of choice. A laparoscopic approach can be considered in stable situations and in the hands of experienced surgeons,4,5 which is not always the most common setting when this condition may happen. Splenectomy must be considered when ischemic injury with infarction is verified in the spleen.

Acknowledgments

None.

Conflicts of interest

The authors declared there is no conflict of interest.

Funding

None.

References

Creative Commons Attribution License

©2019 Codrich, et al. This is an open access article distributed under the terms of the, which permits unrestricted use, distribution, and build upon your work non-commercially.