Submit manuscript...
Journal of
eISSN: 2373-4426

Pediatrics & Neonatal Care

Mini Review Volume 9 Issue 4

Harmful twins: the saddest small magnets force side

Nizar Sassi, Fatma Fitouri, Yasmine Houas, Nesrine Chebil, Sondes Sahli, Mourad Hamzaoui

Department of Pediatric Surgery “A”, University of El Manar, Tunisia

Correspondence: Fatma Fitouri, Medical Doctor-Department of Pediatric Surgery “A”, Children Hospital, University of El Manar, Tunisia

Received: July 27, 2019 | Published: July 16, 2019

Citation: Sassi N, Fitouri F, Houas Y, et al. Harmful twins: the saddest small magnets force side. J Pediatr Neonatal Care. 2019;9(4):97-98. DOI: 10.15406/jpnc.2019.09.00386

Download PDF

Keywords

magnetic, febrile, metallic sphere, pneumoperitoneum flank, intestinal

Introduction

Accidental ingestion of magnetic foreign bodies has become more common due to increased availability of objects and toys with magnetic elements. Frequently, they pass through the gastrointestinal system without complication. However, ingestion of multiple magnets may require surgical resolution.

Observation

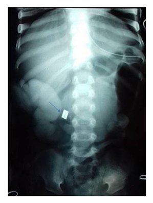
An 18-months-old- child was admitted for febrile occlusion evolving for 48 hours. The physical examination revealed a fever at 38°C, dehydration stage II and a distended with sensitive abdomen. Radiography showed metallic sphere of 5millimetersin the upper abdomen without pneumoperitoneum flank (Figure 1). After conditioning and ressisutation, a transverse laparotomy revealed generalized peritonitis with two perforations of the hail at 600 and 800millimeters from the Treitz angle (Figure 2). It was related to a necrosis of the intestinal wall between two magnets. A peritoneal toilet with a terminal ileostomy was made. The clinical evolution was favorable. Closure of the stoma was performed after one month and follow-up is about 3years.

Figure 1 Radiography: Metallic sphere of 5mm in the upper abdomen with pneumoperitoneum flank.

Figure 2 Peroperatory aspect: Two perforations of the hail at 60 and 80cm from the Treitz angle.

Discussion

In most cases, a single magnet ingested, will pass through the gastrointestinal tract and get defecated. However, when multiple magnets are ingested, they could cross at different rates and, therefore, lie in several adjacent bowel loops. Magnets attract each other. This leads to pressure ischemia and necrosis, volvulus, entero-enteric fistula and perforations.1,2 The increase of magnet ingestions requested the revision of the current pediatric algorithm.3 A careful physical examination should include an assessment for signs of symptoms of obstructions and perforations. A plain abdominal radiograph is recommended as the first-line study. Nevertheless, abdominal X-Ray and computed tomography lack the sensitivity to determine the number of magnetic objects.4 If the ingestion of a single magnet can be confirmed and the size of the magnet is smaller than 5cm, it may be managed by observation only.3‒5 However, if multiple objects are ingested or if the actual number cannot be determined, intervention is required.

If the object remains in the stomach or esophagus, it should be removed by endoscopy.6 Once multiple magnets pass beyond the pylorus, surgical intervention, either by laparoscopy or laparotomy, is required to avoid further complications.7 Most symptoms appeared between 1 and 7days after ingestion.7,8 The American Academy of Pediatrics National Conference and Exhibition Survey showed that 52% of patients who had ingested magnets, needed endoscopic intervention alone, 20% required endoscopy and surgery, while 8% required surgical removal of the magnets. Only 15% of ingestions were managed by observation alone.

Conclusion

Magnet ingestion may result in serious injuries of the gastrointestinal tract. Surgeons must look for multiple magnets and remove them either by endoscopic or surgical means as soon as they are discovered.

We believe that public awareness about this risk can decrease the incident of magnet ingested.

Funding sources

No funding was secured for this article.

Financial disclosure

The authors have no financial relationships relevant to this article to disclose.

Acknowledgments

None.

Conflicts of interest

The authors have no conflict of interest to disclose.

Funding

None.

References

Creative Commons Attribution License

©2019 Sassi, et al. This is an open access article distributed under the terms of the, which permits unrestricted use, distribution, and build upon your work non-commercially.