Submit manuscript...
Journal of
eISSN: 2373-4426

Pediatrics & Neonatal Care

Case Report Volume 2 Issue 1

Non Alcoholic Fatty Liver Disease in a Case of KABUKI Syndrome

Akshat Jain,1,2 Mary See3

1Department of pediatrics, Steven and Alexandra Cohen Children's Medical center of New York, USA
2Department of pediatrics, Hofstra Northshore LIJ School of Medicine, USA
3Pediatric Gastroenterology, New York Medical College, Metropolitan Hospital, USA

Correspondence: Akshat Jain, Faculty, Department of Pediatrics, Steven and Alexandra Cohen Children's Medical center of New York, Hofstra Northshore LIJ School of Medicine, 269-01 76th Ave New Hyde Park, NY 11040, USA, Tel 9173313216

Received: November 29, 2014 | Published: March 2, 2015

Citation: Jain A, See M (2015) Non Alcoholic Fatty Liver Disease in a Case of KABUKI Syndrome. J Pediatr Neonatal Care 2(1): 00059. DOI: 10.15406/jpnc.2015.02.00059

Download PDF

Abstract

Kabuki syndrome (KS), a rare and relatively new syndrome, has been historically associated with classical facial dysmorphisms, heart and endocrine abnormalities, but only few cases of Kabuki syndrome with GI abnormalities have been reported. Congenital hepatic abnormalities, such as biliary atresia, neonatal sclerosing cholangitis, and idiopathic hepatic fibrosis, have been observed, but no case with Non alcoholic fatty liver disease (NAFLD) has been reported in literature.

Keywordskabuki syndrome, non alcoholic fatty liver disease, fibrosis, dysmorphism

Abbreviations

KS, kabuki syndrome; NAFLD, non alcoholic fatty liver disease; FISH, floroscent in situ hybridization; NICU, neonatal intensive care unit; KMT2D, lysine (K)-specific methyltransferase 2D; AST, aspartate aminotransferase; ALT, alanine transaminase; ALP, alkaline phosphatase

Case

We present an interesting complication in an 8y/o male child who has been following with our Pediatric Gastroenterology division for asymptomatic elevation of Liver enzymes. Patient was born full term via normal vaginal delivery but with significant congenital defects, notably complete cleft lip and palate, Imperforate anus and dysmorphic facies. Long palpebral fissures, everted lower eyelids, high arching eyebrows and flattened nasal bridge were characteristically consistent with findings expected in a patient with Kabuki Syndrome. He underwent colostomy while in the NICU, surgical repair at age of 8months and Cleft repair at the age of 1year of age. His infancy was complicated by hypoglycemia induced seizures at the age of 4months, multiple ear infections and failure to thrive.

On the basis of facial dysmorphology, characteristic congenital defects a provisional diagnosis of KS was made. Floroscent in Situ Hybridization (FISH) revealed a KMT2D mutation, a genotype previously reported in literature associated with KS.1,2

Patient's blood work at the age of 2years revealed elevated Liver enzymes. Clinical exam was significant for an enlarged liver span without any other stigmata of any hepato-biliary illness. A correlating hepatic panel was significant for AST- 1070U/L, ALT - 373U/L, ALP - 484U/L, and Total Bilirubin level of - 0.21mg/dl. Other Lab work up was negative for any evidence of viral or autoimmune hepatitis. New Born screen was reviewed for Cystic fibrosis and work up for Alpha-1 Antitrypsin and Wilson's disease was negative.

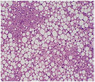
Subsequent serology trended over the next year, revealed persistently elevated Liver enzymes. Hepatic Ultrasound findings suggested an enlarged liver measuring 11.73cm at the right midclavicular line. The hepatic parenchymal echogenicity homogeneously brightly increased and coarse with no visulaization of the peripheral portal venous vasculature. There were no focal defects within the liver and there is no intra or extra hepatic biliary ductal ectasia. These findings of persistently elevated liver enzymes trended over a course of the year, specific hepatic ultrasound findings and a diagnostic Liver Biopsy was confirmatory for Fatty Liver disease, never reported in the past with kids of Kabuki Syndrome (Figure 1).

Figure 1 Livery Biopsy in the patient with KS showing fatty infiltration of the entire hepatic parenchyma.

Discussion

Kabuki "Make up" syndrome, a relatively new syndrome, first described in 1981 by 2 Japanese scientists,3−6 has been estimated to have an incidence of 1 in 32000 live births.7 The diagnosis is usually made on the by seeing any four out of the following five characteristics in a patient -Characteristic facial features, Intellectual disability , short stature and endocrine abnormalities (Growth hormone commonly), Skeletal abnormalities (brachydactyly, clinodactyly, brachymesophalangy, vertebral abnormalities etc), dermatoglyphic abnormalities.7−9

Other Multisystem abnormalities including, cardiovascular (Septal defects, Aortic arch disorders, conduction abnormalities),9−14 Ophthalmological (coloboma, refractive errors), Immune disorders (ITP, Autoimmune hemolytic anemia, immune deficiency disorders), Hearing loss (conductive and sensori-neural) with variable percentages have been seen. For the great majority (55-80 percent) of children, chromosomal studies yield normal results.7 Kabuki syndrome is caused by mutations in the KMT2D gene (also known as MLL2) or the KDM6Agene.1 Miyake et al.,2 screened 81 patients with Kabuki syndrome for mutations in the MLL2 and KDM6A genes and identified MLL2 mutations in 50 (61.7%) and KDM6A mutations in 5 (6.2%).

GI abnormalities although in a small number, significantly contribute to the morbidity in these children. Biliary Artesia and gastro esophageal reflux are the most commonly reported gastrointestinal manifestations in this cohort.15−17 NAFLD (non alcoholic fatty liver disease) which is currently a growing epidemic in the pediatric population can adversely affect the quality of life of such patients in addition to multiple health affecting a child with Kabuki Syndrome. Till date this phenotypic gastrointestinal manifestation of patients with KS has not been reported. Causation of elevated liver enzymes secondary to the MLL or KMT2D gene needs to be researched further. The child continued to have clinically silent elevated liver enzymes and evidence of fatty infiltration on abdominal imaging , all this while thriving well , until the last follow up when the child was lost to follow up.

Acknowledgments

None.

Conflicts of interest

Author declares there are no conflicts of interest.

Funding

None.

References

  1. Niikawa N, Kuroki Y, Kajii T, et al. Kabuki make-up (Niikawa-Kuroki) syndrome: a study of 62 patients. Am J Med Genet. 1998;31(3):565−589.
  2. Kuroki Y, Suzuki Y, Chyo H, et al. A new malformation syndrome of long palpebral fissures, large ears, depressed nasal tip, and skeletal anomalies associated with postnatal dwarfism and mental retardation. J Pediatr. 1981;99(4):570−573.  
  3. Philip N, Meinecke P, David A, et al. Kabuki make-up (Niikawa-Kuroki) syndrome: a study of 16 non-Japanese cases. Clin Dysmorphol. 1992;1(2):63−77.
  4. Hughes HE, Davies SJ. Coarctation of the aorta in Kabuki syndrome. Arch Dis Child . 1994;70(6):512−514.
  5. Adam MP, Hudgins L. Kabuki syndrome: a review. Clin Genet . 2005;67(3):209−219.
  6. Peterson-Falzone SJ, Golabi M, Lalwani AK. Otolaryngologic manifestations of Kabuki syndrome. Int J Pediatr Otorhinolaryngol . 1997;38(3):227−236.  
  7. Wilson GN. Thirteen cases of Niikawa-Kuroki syndrome: report and review with emphasis on medical complications and preventive management. Am J Med Genet. 1998;79(2):112−120.
  8. Chrzanowska KH, Krajewska-Walasek M, Kus J, et al. Kabuki (Niikawa-Kuroki) syndrome associated with immunodeficiency. Clin Genet. 1998;53(4):308−312.
  9. Matsumura M, Yamada R, Kitani Y, et al. Anorectal anomalies associated with Kabuki make-up syndrome. J Pediatr Surg. 1992;27(12):1600−1602.
  10. Ikegawa S, Sakaguchi R, Kimizuka M, et al. Recurrent dislocation of the patella in Kabuki make-up syndrome. J Pediatr Orthop. 1993;13(2):265−267.
  11. Sando I, Takahashi H. Otitis media in association with various congenital disease. Preliminary study. Ann Otol Rhinol Laryngol Suppl. 1990;148:13−16.  
  12. Ogawa A, Shimakura Y, Takeuchi M. Kabuki make-up syndrome associated with ASD and renal anomaly [Japanese]. Shyonika . 1989;30: 689−92.
  13. Li M, Zackai EH, Niikawa N, et al. Kabuki syndrome is not caused by a microdeletion in the DiGeorge/velocardiofacial chromosomal region within 22q11.2. Am J Med Genet. 1996;65(2):101−103.
  14. Miyake N, Koshimizu E, Okamoto N, et al. MLL2 and KDM6A mutations in patients with Kabuki syndrome. Am J Med Genet A. 2013;161A(9):2234−2243.
  15.  Wieckowska A, Feldstein AE. Nonalcoholic fatty liver disease in the pediatric population: a review. Curr Opin Pediatr Volume. 2005;17(5):636−641.
  16.  McGaughran JM, Donnai D, Clayton-Smith J. Biliary atresia in Kabuki syndrome. Am J Med Genet. 2000;91(2):157−158.
  17. Adam MP, Hudgins L, Hannibal M. Kabuki Syndrome. In: Pagon RA et al. (Eds.), GeneReviews®, University of Washington, Seattle, Washington, USA. 2013.
Creative Commons Attribution License

©2015 Jain, et al. This is an open access article distributed under the terms of the, which permits unrestricted use, distribution, and build upon your work non-commercially.