Submit manuscript...
Journal of
eISSN: 2373-4426

Pediatrics & Neonatal Care

Research Article Volume 8 Issue 5

Novel mutation in SPTA 1 gene associated with severe hemolytic anemia

James Polega,1 Jennifer Stumph,2 Archana Agarwal,3 Chi L Braunreiter4

1Department of Pediatrics, Spectrum Health Graduate Medical Education, USA
2Department of Pathology, Spectrum Health Hospitals, USA
3Department of Pathology/ARUP Laboratories, University of Utah, USA
4Division of Pediatrics Hematologyand Oncology, Helen De Vos Children's Hospital, USA

Correspondence: Chi L Braunreiter, Division of Pediatrics Hematology and Oncology, Helen De Vos Children’s Hospital, 100 Michigan Street NE, Grand Rapids, Michigan, USA, Tel (616)3912086, Fax (616)3919430

Received: January 29, 2018 | Published: October 29, 2018

Citation: Polega J, Stumph J, Agarwal A, et al. Novel mutation in spta1 gene associated with severe hemolytic anemia. J Pediatr Neonatal Care. 2018;8(5):250-253. DOI: 10.15406/jpnc.2018.08.00351

Download PDF

Abstract

Hereditary spherocytosis (HS), elliptocytosis (HE), and pyropoikilocytosis (HPP) are caused by mutations in the genes which encode erythrocyte cytoskeletal proteins. We report a patient with severe hemolytic anemia with a complex set of mutations, including a novel mutation predicted to cause abnormal splicing of SPTA1 gene, highlighting the utility of molecular diagnostics in patients with no identifiable family history of erythrocyte cytoskeletal disorders.

Keywords: spectrin, anemia, spherocytosis, elliptocytosis, hereditary

Introduction

Hereditary spherocytosis (HS), hereditary elliptocytosis (HE), and hereditary pyropoikilocytosis (HPP) are caused by mutations in five genes ANK1, SLC4A1, SPTA1, SPTB and EPB4 which encode for the erythrocyte cytoskeletal proteins, ankyrin, band 3, α-spectrin, β-spectrin and protein 4.2, respectively.1 These mutations and the resultant defective proteins lead to loss of red cell membrane surface area and reduced red cell deformity.2 Approximately 25% of patients will not have a clear family history.3 These autosomal recessive or de novo cases of severe hemolytic anemia pose a diagnostic challenge. We report a pediatric case of hemolytic anemia without a family history, where molecular diagnostics provided a definitive diagnosis of a red cell membrane disorder. The results of the molecular diagnostics demonstrated a complex set of mutations, including a novel mutation in the SPTA1 gene, which assisted in counseling his parents that childhood immunizations and splenectomy would be the appropriate treatment.

Case presentation

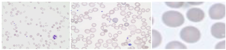
The patient, of Caucasian ethnicity and lacking regular pediatric visits, presented at 3.5years of age with microcytic anemia, indirect hyperbilirubinemia, reticulocytosis, and splenomegaly (Table 1). The history was significant for hyperbilirubinemia in the newborn period. Workup included iron studies, liver function tests, chemistry panel, Coombs test, and flow cytometry for paroxysmal nocturnal hemoglobinuria, all of which were normal. The peripheral blood smear showed marked poikilocytosis of erythrocytes (Figure 1A‒1C). Hemoglobin electrophoresis demonstrated 90.4% hemoglobin A (reference range 95.0 – 98.0%), 2.7% hemoglobin A2 (reference range 2.0 – 3.3%), 6.9% hemoglobin F (reference range 0.0–2.0%). No unstable variant was detected. Alpha-globin gene analysis was negative for deletions within the gene cluster. Osmotic fragility (OF) testing, prior to any packed red blood cell (PRBC) transfusions, was abnormal with increased red blood cell lysis suggesting the presence of spherocytes. However, the eosin-5-maleimide (EMA) binding test showed a normal staining pattern. Red blood cell enzyme levels, evaluated prior to any PRBC transfusions, of glucose-6-phosphate dehydrogenase, pyruvate kinase, glucose phosphate isomerase, hexokinase, glutathione, adenosine deaminase, adenylate kinase, phosphofructokinase, phosphoglycerate kinase, and triosephosphate isomerase were normal or elevated. Parents, who are non-consanguineous and asymptomatic, declined to have blood work of their own drawn. A younger female sibling had normal complete blood count, reticulocyte count, and bilirubin level. Parents declined all childhood immunizations for their children. The patient’s hemoglobin intermittently decreased, coinciding with febrile episodes and temporary increase lysis. The parents consented to PRBC transfusions during these episodes (Figure 2A & Figure 2B). Over the course of 5years, the patient’s spleen continued to enlarge. Prior to packed red cell transfusions, serum ferritin levels were slightly increased, maximum 299mcg/L (reference 7–142mcg/L). MRI imaging to monitor for potential iron overload demonstrated a slight increase of average liver iron content over time, but not beyond the threshold that required iron chelation. Surveillance echocardiograms, which were initially normal, demonstrated dilated cardiomyopathy at 9years of age. Family permitted molecular diagnostic testing and chronic transfusions after cardiomyopathy developed.

 

(3.5 years old)

2 years postsplenectomy

Reference Range

Hemoglobin

6.9

14.5

11.5 – 14.5g/dL

MCV

74.8

83.2

80.0 – 94.0fl

MCHC

34.6

36.2

32.0 – 37.0g/dL

Platelet

221

546

140 – 400x103/μL

Reticulocyte

395

No Data

40 – 100x103/μL

Total bilirubin

2.7

0.5

0.1 – 1.0mg/dL

Indirect bilirubin

2.5

 

No Data

 

0.1 – 0.6mg/dL

Table 1 Laboratory values at diagnosis and 2years post-splenectomy At diagnosis 2years post- splenectomy reference range

      A                                                           B                                                                      C

Figure 1A‒1C Peripheral blood smears pre-splenectomy (A, 100x) and after red cell transfusion (B, 400x) show moderate to marked anisopoikilocytosis of erythrocytes with spherocytes (arrows) and reticulocytes (triangle). Post-splenectomy peripheral blood smear (C, 600x) show mild anisocytosis and polychromasia, with post-splenectomy expected findings of rare Howell Jolly bodies (HJB) and moderate Pappenheimer bodies (PB). Wright Giemsa stain.


Figure 2A & 2B Time from diagnosis vs hemoglobin levels. Boxed inset in A is shown in greater detail in B. PRBC: packed red blood cell.

Methods

Massively parallel sequencing was performed using a diagnostic panel of 28 genes encoding erythrocyte cytoskeletal proteins, enzymes, and UGT1A1 polymorphisms. Targeted gene capture and library construction was performed using Sure Select kit (Agilent Technologies, Santa Clara, USA).

Results

Three variants in SPTA1 gene were identified by massively parallel sequencing. A novel pathogenic mutation (c.7134+2T>G, p.?) was identified in addition to heterozygous low expression variants in the αLEPRA and αLELY alleles. A fourth heterozygous variant of unknown significance was found in the SPTB gene (c.4564-4G>A). Given the genetic testing results, the parents consented to immunizations, splenectomy and cholecystectomy. Four months after splenectomy, the patient’s hemoglobin improved to 15.2g/dL and echocardiogram changes were resolving.

Discussion

HS and HE are the most common red cell membrane disorders, often associated with an autosomal dominant inheritance.4 In patients with clinical features of hemolytic anemia and a family history of HS, no additional diagnostic test is required.3 Severe forms of HE, known as HPP, and autosomal recessive HS are often due to autosomal recessive inheritance or de novo mutations, and these patients may lack a clear family history of hemolytic anemia.3, 4 Autosomal dominant HS is often associated with ankyrin 3, band 3, or β spectrin gene mutations, whereas de novo mutations leading to recessive disease are associated with mutations in ankyrin and β spectrin genes.3 Alpha spectrin mutations are rare in HS. Splenectomy ameliorates the clinical symptoms associated with hemolysis in HS, HE, and HPP, but may be more beneficial in spectrin-deficient and ankyrin-deficient cases compared to band 3-deficient cases.2 In these non-dominantly inherited patients, additional laboratory testing may be necessary.

Tests available to aide in the diagnosis of a patient with suspected defects in erythrocyte cytoskeletal proteins includes OF testing, glycerol lysis test, cryohemolysis test, osmotic gradient ektacytometry, EMA binding test, and sodium dodecyl sulfate-polyacrylamide gel electrophoresis (SDS-PAGE) (Table 2). Each test has their limitations, and a combination of tests may be necessary.5 According to the guidelines published by the British Committee for Standards in Haematology, the EMA binding test or cryohemolysis test are the recommended screening methods for the diagnosis of hereditary spherocytosis in cases that are not clear.3 SDS-PAGE can be used to detect the defective protein if screening tests are non-diagnostic.3 Confirmatory testing using molecular diagnostic technique may be warranted when tests are non-diagnostic or the role of splenectomy may be questioned.4

Spectrin deficiency is the most frequent membrane defect in HS patients diagnosed during childhood.6 Spectrin molecules, composed of α- and β-spectrin heterodimers, are critical in maintaining the erythrocyte membrane, shape, and function.7‒9 In normal erythroid cells, α-spectrin chains are produced in three to four-fold greater number than β-spectrin chains.10,11 Thus, a single mutation in β-spectrin gene is sufficient to cause a disease phenotype, whereas α - spectrin defects are clinically relevant only if they are inherited with a pathogenic allele either as homozygous or compound heterozygous.2,12

Alpha-spectrin mutations occur in 5% of HS patients.2 A α-spectrin expression reduction to less than 25% of the normal yield is necessary to cause the symptoms of spherocytosis.1 Our patient was found to have three variants in SPTA1 gene identified by massively parallel sequencing. A novel mutation (c.7134+2T>G, p.?) was identified in addition to heterozygous low expression alleles αLEPRA (LEPRA: Low Expression PRAgue)13,14 and αLELY (LELY: Low Expression LYon).15,16 αLEPRA mutation activates an alternative splice site in SPTA1, resulting in a shorter and less abundant protein product, approximately 1/5 of the full length of α-spectrin protein and 16% of the total product, compared to normal allele.11,13 The αLELY mutation, which causes partial skipping in exon 46 in 50% of the transcripts, results in chains unsuitable for dimerization with beta spectrin.11,15 Patients are clinically asymptomatic if they are heterozygote for αLEPRA or αLELY as the chain produced by the normal allele will preferentially dimerize with the beta chain.15‒18 In contrast, patients have severe hemolytic anemia when αLEPRA or αLELY are paired in trans to a pathogenic SPTA1 allele, as in our patient. This is particularly the case with αLEPRA as it is weak enough to manifest hematological disease whereas αLELY may generate a sufficient supply of α-spectrin.11 Compound heterozygotes for αLEPRA and a second defective α-spectrin allele are more severely affected than patients who are homozygous for αLEPRA allele.12,13,14

Variants in SPTB are known to cause HS through mutations which introduce mRNA transcript instability or truncation of the produced beta-spectrin protein.19 HS caused by defects in SPTB is most often autosomal dominant in nature.2 Our patient demonstrated a SPTB variant (c.4564-4G>A), that has been previously reported in an individual with HS and reduced SPTB mRNA level.20 A previously reported computational study predicted this SPTB variant would result in abnormal splicing of SPTB gene, however, to date, there have been no experimental studies which have demonstrated the effect of this mutation.21 This variant may be inherited from either of his asymptomatic parent with resultant severe disease in our patient when present with the three SPTA1 variants. Alternatively, this may be a de novo mutation.

Test

Comments

Osmotic Fragility

Low sensitivity and specificity 5, 25

Glycerol Lysis Test

Limited availability in US; low sensitivity and specificity 5, 25

Cryohemolysis

Limited availability in US; conflicting sensitivities and specificities 5,6,26,27

Osmotic Gradient Ektacytometry

Limited availability; analysis must be performed within 48 hours of obtaining the blood sample 4

Eosin-5-Maleimide Binding

High sensitivity, specificity, positive and negative predictive values 3-5

SDS – PAGE

Cut-off to define abnormal is debated 4

May not classify 10% of non-splenectomized patients, particularly spectrin and ankyrin deficient patients 5, 25

 

Limited availability 29

Table 2 Laboratory tests

Conclusion

This case report is significant for two reasons: first, a new SPTA1 variant, suspected to be pathogenic is found and second, this patient harbors a complex genotype suggesting that the interactions between the variants, including SPTA1 and SPTB gene mutations, may have resulted in the severe phenotype. 22 Predictive models are available to determine the potential clinical significance of an individual genetic variant.23,24 However, the complex interactions between multiple variants may not be fully elucidated using these predictive models. Continued molecular analyses and reporting on complex, atypical patients are necessary to determine how clinically relevant these variants are to counsel patients on treatment options, including splenectomy.30 Further analyses, including spectrin content and molecular diagnostics on our patient and his family members will determine the effects of this suspected pathogenic novel SPTA1 variant and how it interacts with αLEPRA, αLELY, and SPTB variant to cause severe hemolytic anemia.

Acknowledgements

None.

Conflict of interest

 Authors declare that there is no conflict of interest.

References

  1. Da Costa L, Galimand J, Fenneteau O, et al. Hereditary spherocytosis, elliptocytosis, and other red cell membrane disorders. Blood Rev. 2013;27(4):167‒178.
  2. Bolton‒Maggs PH, Langer JC, Iolascon A, et al. Guidelines for the diagnosis and management of hereditary spherocytosis‒2011 update. Br J Haematol. 2012;156(1):37‒49.
  3. Perrotta S, Gallagher PG, Mohandas N. Hereditary spherocytosis. Lancet. 2008;372:1411‒1426.
  4. Bianchi P, Fermo E, Vercellati C, et al. Diagnostic power of laboratory tests for hereditary spherocytosis: a comparison study in 150 patients grouped according to molecular and clinical characteristics. Haematologica. 2012;97(4):516‒523.
  5. Mariani M, Barcellini W, Vercellati C, et al. Clinical and hematologic features of 300 patients affected by hereditary spherocytosis grouped according to the type of the membrane protein defect. Haematologica. 2008;93(9):1310‒1317.
  6. Gaetani M, Mootien S, Harper S, et al. Structural and functional effects of hereditary hemolytic anemia‒associated point mutations in the alpha spectrin tetramer site. Blood. 2008;111(12):5712‒5720.
  7. Ipsaro JJ, Harper SL, Messick TE, et al. Crystal structure and functional interpretation of the erythrocyte spectrin tetramerization domain complex. Blood. 2010;115(23):4843‒4852.
  8. Morrow J, Rimm D, Kennedy S, et al. Of membrane stability and mosaics: the spectrin cytoskeleton. In: Hoffman J, editor. Compr Physiol. 2011.
  9. Handbook of Physiology. Cell Physiology. London: Oxford: American Physiological Society; 1997. p. 485‒540.
  10. Wong EY, Lin J, Forget BG, et al. Sequences downstream of the erythroid promoter are required for high level expression of the human alpha‒spectrin gene. J Biol Chem. 2004;279(53):55024‒55033.
  11. Delaunay J, Nouyrigat V, Proust A, et al. Different impacts of alleles alphaLEPRA and alphaLELY as assessed versus a novel, virtually null allele of the SPTA1 gene in trans. Br J Haematol. 2004;127(1):118‒122.
  12. Tse WT, Gallagher PG, Jenkins PB, et al. Amino‒acid substitution in alpha‒spectrin commonly coinherited with nondominant hereditary spherocytosis. Am J Hematol. 1997;54(3):233‒241.
  13. He BJ, Liao L, Deng ZF, et al. Molecular Genetic Mechanisms of Hereditary Spherocytosis: Current Perspectives. Acta Haematol. 2018;139(1):60‒66.
  14. Wichterle H, Hanspal M, Palek J, et al. Combination of two mutant alpha spectrin alleles underlies a severe spherocytic hemolytic anemia. J Clin Invest. 1996;98(10):2300‒2307.
  15. Jarolim P, Wichterle H, Palek J, et al. The low expression α‒spectrin LEPRA is frequently associated with autosomal recessive/non‒dominant hereditary spherocytosis. Blood. 1996:4.
  16. Wilmotte R, Marechal J, Morle L, et al. Low expression allele alpha LELY of red cell spectrin is associated with mutations in exon 40 (alpha V/41 polymorphism) and intron 45 and with partial skipping of exon 46. J Clin Invest. 1993;91(5):2091‒2096.
  17. Alloisio N, Morle L, Marechal J, et al. Sp alpha V/41: a common spectrin polymorphism at the alpha IV‒alpha V domain junction. Relevance to the expression level of hereditary elliptocytosis due to alpha‒spectrin variants located in trans. J Clin Invest. 1991;87(6):2169‒2177.
  18. Wilmotte R, Marechal J, Delaunay J. Mutation at position ‒12 of intron 45 (c‒‒>t) plays a prevalent role in the partial skipping of exon 46 from the transcript of allele alphaLELY in erythroid cells. Br J Haematol. 1999;104(4):855‒859.
  19. Marechal J, Wilmotte R, Kanzaki A, et al. Ethnic distribution of allele alpha LELY, a low‒expression allele of red‒cell spectrin alpha‒gene. Br J Haematol. 1995;90(3):553‒556.
  20. Hassoun H, Palek J. Hereditary spherocytosis: a review of the clinical and molecular aspects of the disease. Blood Rev. 1996;10(3):129‒147.
  21. Maciag M, Plochocka D, Adamowicz‒Salach A, et al. Novel beta-spectrin mutations in hereditary spherocytosis associated with decreased levels of mRNA. Br J Haematol. 2009;146(3):326‒332.
  22. Xiong HY, Alipanahi B, Lee LJ, et al. RNA splicing. The human splicing code reveals new insights into the genetic determinants of disease. Science. 2015;347(6218):1254806.
  23. Bolton‒Maggs PH, Stevens RF, Dodd NJ, et al. Guidelines for the diagnosis and management of hereditary spherocytosis. Br J Haematol. 2012;156(1):37‒49.
  24. Iglauer A, Reinhardt D, Schroter W, et al. Cryohemolysis test as a diagnostic tool for hereditary spherocytosis. Ann Hematol. 1999;78(12):555‒557.
  25. Park SH, Park CJ, Lee BR, et al. Comparison study of the eosin‒5'‒maleimide binding test, flow cytometric osmotic fragility test, and cryohemolysis test in the diagnosis of hereditary spherocytosis. Am J Clin Pathol. 2014;142(4):474‒484.
  26. Miraglia del Giudice E, Iolascon A, Pinto L, et al. Erythrocyte membrane protein alterations underlying clinical heterogeneity in hereditary spherocytosis. Br J Haematol. 1994;88:52‒55.
  27. Gallagher PG. Abnormalities of the erythrocyte membrane. Pediatr Clin North Am. 2013;60(6):1349‒1362.
  28. Christensen RD, Nussenzveig RH, Reading NS, et al. Variations in both alpha‒spectrin (SPTA1) and beta‒spectrin ( SPTB ) in a neonate with prolonged jaundice in a family where nine individuals had hereditary elliptocytosis. Neonatology. 2014;105(1):1‒4.
  29. Schwarz JM, Cooper DN, Schuelke M, et al. MutationTaster2: mutation prediction for the deep‒sequencing age. Nat Methods. 2014;11(4):361‒362.
  30. Christensen RD, Agarwal AM, Yaish HM, et al. Three Novel Spectrin Variants in Jaundiced Neonates. Clin Pediatr (Phila). 2018;57(1):19‒26.
Creative Commons Attribution License

©2018 Polega, et al. This is an open access article distributed under the terms of the, which permits unrestricted use, distribution, and build upon your work non-commercially.