Submit manuscript...
Journal of
eISSN: 2373-4426

Pediatrics & Neonatal Care

Case Report Volume 7 Issue 4

Parotid Duct Calculi: A Report of Two Cases

Varun Hathiramani,1 Janani Krishnan,2 Rajeev G Redkar3,4

16th year Resident in the Department of Pediatric Surgery, Lilavati Hospital and Research Centre, India
2DNB Pediatric Surgery, Lilavati Hospital and Research Centre, India
3Consultant Pediatric Surgeon, Lilavati Hospital and Research Centre, India
4Honorary Consultant Pediatric Surgeon, Shushrusha Hospital, India

Correspondence: Rajeev G Redkar, Consultant Pediatric Surgeon, Lilavati Hospital and Research Centre, Mumbai, India, Tel 022-26568000

Received: October 23, 2016 | Published: December 5, 2017

Citation: Hathiramani V, Krishnan J, Redkar RG (2017) Parotid Duct Calculi: A Report of Two Cases. J Pediatr Neonatal Care 7(4): 00293. DOI: 10.15406/jpnc.2017.07.00293

Download PDF

Abstract

Sialolithiasis is mostly seen in adults and seldom develops in children. Calculi in dilated ducts can slip proximally during induction of general anaesthesia due to the supine position of the patient. A venflon of an adequate size can be used to flush out the stone after laying open the ductal opening preventing a big intra‒oral incision. Flushing of normal saline with minimal pressure can push the stone.

Keywords:Parotid calculi, Parotid fistula, Proximal duct stones

Abbreviations

CT scan, Computerized Tomography Scan; MRI, Magnetic Resonance Imaging

Introduction

Sialolithiasis is mostly seen in adults and seldom develops in children. Of all cases of sialolithiasis, only 3% are seen in the paediatric population.1,2 Submandibular gland calculi comprise 80‒90% of the salivary gland stones, 5‒10% in the parotid gland and approximately 0‒5% in the sublingual and other minor salivary glands.3,1

Case presentation

Case 1

A four year old boy presented with complaints of pain, redness and swelling in the region of the right parotid gland since 12 days. The pain and swelling was sudden in onset and gradually increasing causing difficulty in opening the mouth. There was associated low grade intermittent fever. The pain increased on eating. He was initially treated with a course of anti‒biotics and anti‒inflammatory medication, but the symptoms did not resolve.

On examination, locally there was induration and tenderness in the region of the right parotid gland. Bimanual palpation revealed a palpable stone in the distal part of the right parotid duct. No discharge was seen from the parotid duct opening. Oral hygiene was good.

The child was evaluated with an ultrasound scan which showed a 2‒3mm hyperechogenic focus in the right parotid duct with proximal duct dilatation and increased echogenic reflectivity of the parotid gland. The finding was confirmed by a CT scan which showed a 3mm calculus just proximal to the ductal opening and a 4mm calcific focus in the parotid gland.

The child’s serum amylase (47 IU/ l), serum calcium (9.4mg/dl) and routine blood tests were within normal limits.

The child was taken up for surgery to remove the calculus. Few pus flakes were seen at the opening of the right parotid duct, but the culture showed no growth. The duct opening was stenotic and it was cannulated with a 24 French venflon after which the stone was found to have slipped proximally. The duct was then laid open over the venflon and flushed with saline. The calculus was flushed out by this method. The widened ductal opening was sutured to the surrounding mucosa with 6/0 absorbable suture.

The child had an uneventful recovery with subsidence of the pain and swelling of the parotid gland.

Case 2

A three and a half year old boy presented with a parotid fistula on the external aspect of the left cheek, which intermittently discharged milky to clear fluid. This discharge was associated with bouts of pain and swelling. This pain and swelling was present since 3 weeks. It was managed conservatively without any resolution.

On examination, a small opening of the fistula was seen on the external aspect of the left cheek 3cm above the angle of the mandible in front of the ear. There was puckering and redness of the surrounding skin. Clear discharge was seen from the fistula on squeezing the gland or the duct. On bimanual palpation a calculus was felt in the left parotid duct. Cervical lymph nodes were palpable and non‒tender. Oral hygiene was poor with caries of the adjacent premolar tooth.

An ultrasound scan showed a dilated left parotid duct with thick walls communicating with the discharging sinus on the skin. A 3mm calculus was noted in the distal end of the duct. These findings were confirmed by a CT scan.

The child was taken up for surgery where in the left parotid duct was cannulated with a lacrimal probe. Purulent discharge was present on probing (c/s grew Leuconostoc mesentroides and Kocuriia rosea). The duct was laid open but the stone could not be flushed out as the stone had shifted proximally. Intra‒operative ultra‒sound was used to identify the stone and the duct was then laid open further to deliver the stone. The duct was sutured to the surrounding mucosa with 5/0 absorbable sutures.

The child had an uneventful recovery with no further discharge from the fistula (Figures 1‒5).

Figure 1 Clinical picture of inflammation over left parotid region.

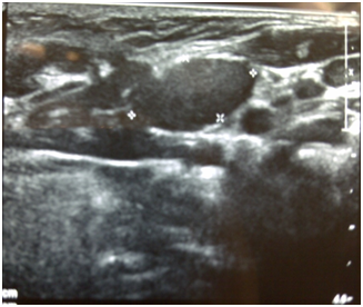
Figure 2 Ultrasound showing stone in the left parotid duct.

Figure 3 MRI showing the left parotid duct with a collection in the parotid gland.

Figure 4 Intra‒operative picture showing stone at opening of parotid duct.

Figure 5 Specimen of parotid stone.

Discussion

Sialolithiasis that is mostly seen in adults and rarely in children has aetiopathogenetic factors associated with obstruction to salivary flow, reduced salivary flow rate, change in salivary pH due to oropharyngeal sepsis and impaired crystalloid solubility. A retrograde theory for sialolithiasis has also been proposed. Retrograde migration of food, bacteria or foreign bodies from the oral cavity to the duct system may act as a nidus for stone formation by further calcification.4 Traditional theories suggest that the formation of sialoliths occur in two phases:5

  1. Formation of a central core that is formed by the precipitation of salts, which are bound by certain organic substances.
  2. A layered periphery that consists of layered deposition of organic and inorganic material.

The clinical presentation can be acute with pain, swelling, redness and discharge either from the duct or as an abscess on the cheek with enlargement of the gland. The symptoms may be aggravated by eating. Chronic stones would present as recurrent painful swellings or non‒resolving infections of the parotid gland which is usually reduced in size.

Parotid fistulas are very rare, especially in the paediatric age group and could be either congenital or arise from various causes such as trauma, operative complications, infection, malignancy and stone.6 In this case the presence of the duct calculus was possibly preventing drainage of the gland keeping the fistula patent. The fistula resolved once the stone was removed.

A variety of investigation modalities are available for diagnosis of parotid stones. Ultrasonography represents an excellent first‒level diagnostic technique because it reveals ductal and highly mineralized stones with a diameter of at least 1.5 mm with an accuracy of 99 %.7 Ultrasound can detect upto 90% of salivary duct stones. Stones appear as strongly hyperechoic lines or points with distal acoustic shadowing. Small stones (< 1.5 mm) may however not shadow.8 Ultrasound is able to visualise stones that are radiolucent. Some stones cannot be picked up on X‒ray films but can be easily seen on an ultrasound scan as 20‒40% of the stones are not radio‒opaque.9

CT scans are 10 times more sensitive than plain X‒ray films in detecting stone. They also detect abscess and ductal anatomy well. Specificity of the CT scan alone, without clinical information, was only about 75% in diagnosing focal inflammatory disease with or without calculi and 90% when combined with clinical information and laboratory findings.10 Contrast and non‒ contrast films should be obtained to avoid misidentifying artefacts as stones.

Sialography is a good modality to delineate ductal anatomy but is difficult to perform in children and is contraindicated in acute settings. Sialography excels at delineating the exact size and location of stones within salivary gland ducts. The stone will be visualised as a filling defect within the duct. In some cases contrast will not be able to pass beyond the stone.8

MRI is also another mode of imaging which can be used to reduce exposure to radiation. MRI enables to visualise larger stones, map the ductal anatomy and to assess the gland. Stones appear as low signal regions (on all sequences) outlined by high signal saliva on T2 weighted images.8 MRI is able to distinguish acute from chronic obstruction as well as glands with incomplete obstruction due to superior tissue discrimination.11 Sialo‒MRI is a diagnostic, non‒invasive, method recently introduced, with promising results, in the evaluation of salivary gland disease.12

Treatment modalities could be conservative in the form of good hydration, hot compresses, sialagogues, anti‒inflammatories and antibiotics. Anti‒biotics and anti‒inflammatories are useful in the acute setting but complete resolution does not take place if a calculus is obstructing the ductal opening. Stones less than 2mm may pass out on their own in adults but rarely do so in children due to the smaller size of the ductal opening.13

Invasive modalities include trans‒oral approach for distal duct stones. The ductal opening is laid open or an incision is directly taken over the stone for its removal. The ductal opening can also be sutured to the surrounding mucosa to facilitate better drainage of the gland. Other modalities include parotidectomy which is required when the stones are larger, proximal and have caused chronic inflammatory changes of the involved gland.

During induction of general anaesthesia the stone can slip proximally due to the supine position of the patient. Therefore a venflon of an adequate size can be used to flush out the stone after laying open the ductal opening preventing a big intra‒oral incision. Flushing of normal saline with minimal pressure can push the stone out as was observed in the above mentioned case. This flushing technique can be useful in distal duct stones which have migrated proximally in a dilated duct.

Extracorporeal shock wave lithotripsy, endoscopic procedures of stone removal have also been described but their role in paediatric cases are still to be looked into.

Acknowledgments

None.

Conflicts of interest

None.

References

  1. Lustman J, Regev E, Melamed Y. Sialolithiasis:a survey on 245 patients and review of the literature. Int J Oral Maxillofac Surg. 1990;19(3):135‒138.
  2. Bodner L, Fliss D. Parotid and submandibular calculi in children. Int J Pediatr Otorhinolaryngol. 1995;31(1):35‒42.
  3. Bonder L. Compendium. Salivary gland calculi:Diagnostic imaging and surgical management. 1993;14(5):572‒576.
  4. P Capaccio, S Torretta, F Ottaviani. Modern management of obstructive salivary diseases. Acta Otorhinolaryngol Ital. 2007;27(4):161‒172.
  5. Oka T, Nomura J, Matsumura Y, et al. A case of sialolithiasis in a child. J Clin Pediatr Dent. 2006;31(2):139‒141.
  6. Ugeskr Laeger. Salivary stone in parotid gland with a cutaneous fistula. 2003;175(2):55‒56.
  7. Maresh A, Kutler Kacker A. Sialoendoscopy in the diagnosis and management of obstructive sialadenitis. The Laryngoscope. 2011;121(3):495‒500.
  8. Jäger L, Menauer F, Holzknecht N. MR sialography of the submandibular duct‒‒an alternative to conventional sialography and US. Radiology. 2000;216(3):665‒671.
  9. Gritzmann. Sialolithiasis:Radiological diagnosis and treatment. European Radiology. 2003;13(5):964‒75.
  10. R Nick Bryan, Robert H Miller, Roque I Ferreyro, et al. Computed Tomography of the Major Salivary Glands. AJR September. 1982;139(1):547‒554.
  11. Sumi M, Izumi M, Yonetsu K. The MR imaging assessment of submandibular gland sialoadenitis secondary to sialolithiasis:correlation with CT and histopathologic findings. AJNR Am J Neuroradiol. 1999;20(9):1737‒1743
  12. M Andretta, A Tregnaghi, V Prosenikliev, et al. Current opinions in sialolithiasis diagnosis and treatment. Acta Otorhinolaryngol Ital. 2015;25(3):145‒149.
  13. GV Murali Gopika Manoharan, B Saravanan, P Vijayachandar, S Kuzhali. Giant sialoliths in the parotid duct‒ a case report. Int J Dent Case Reports. 2013;3(1):118‒128.
Creative Commons Attribution License

©2017 Hathiramani, et al. This is an open access article distributed under the terms of the, which permits unrestricted use, distribution, and build upon your work non-commercially.

Citations