Submit manuscript...
Journal of
eISSN: 2373-4426

Pediatrics & Neonatal Care

Case Report Volume 3 Issue 3

Pontocerebellar Hypoplasia Type 1 with Ohtahara Syndrome: A Case Report

Waseem Fathalla,1 Noora Al Menhali,1 Wafa Jaber,1 Quatullah Rustum2

1Department of Pediatrics, Mafraq hospital, UAE
2Department of Radiology, Mafraq Hospital, UAE

Correspondence: Waseem Fathalla, MD, Consultant and Chief, Pediatric Neurology division, Dept. of Pediatrics, PO Box 2951, Mafraq Hospital, Abu Dhabi, UAE, Tel 972000000000, Fax 97124413784

Received: October 30, 2015 | Published: December 18, 2015

Citation: Fathalla W, Menhali NAL, Jaber W, Rustum Q (2015) Pontocerebellar Hypoplasia Type 1 with Ohtahara Syndrome: A Case Report. J Pediatr Neonatal Care 3(3): 00120. DOI: 10.15406/jpnc.2015.03.00120

Download PDF

Abstract

Pontocerebellar Hypoplasia type 1 is a very rare form of infantile spinal atrophy which has been known to be associated with seizures, however, this is the first report of Early Infantile Epileptic Encephalopathy (Ohtahara syndrome) with tonic seizures, which is an important association to recognize.

Keywords: pontocerebellar hypoplasia type 1, electroencephalography, MRI, emergency, spinal cord

Abbreviations

PCH type 1, pontocerebellar hypoplasia type 1; EEG, electroencephalography; MRI, magnetic resonance imaging; VRK1, vaccinia-related kinase 1

Introduction

We present a case of Pontocerebellar Hypoplasia type 1, a very rare form of infantile spinal atrophy, and report its association with tonic seizures and burst suppression pattern EEG.

Case presentation

A 5 day old male newborn delivered at 40 weeks gestation by emergency C-section due to fetal distress with Apgar scores of 5 and 6, at 1 and 5 minutes respectively, was noted to be hypotonic at birth with joint contractures. He required resuscitation and endotracheal intubation due to apnea at birth. On day 4 of life he developed tonic seizures and was treated with the anticonvulsant, phenobarbital with good seizure control.

The baby was the born to a Yemeni consanguinous couple, the mother was G4P3, there was a family history of 2 prior pregnancies that each resulted in death at age 4 months each with a similar clinical picture of weakness and joint contractures, while 1 prior pregnancy resulted in a male with a clinical picture of epilepsy and joint contractures who is now 9 years old.

On physical examination

The baby is being mechanically ventilated with no spontaneous respiratory effort or movements. He is normocephalic with mild micrognathia. The chest, heart and abdomen exam all were normal with no hepatosplemegaly. Spine is straight with no signs of dysraphism. Bilateral ankle contractures were present. Both testes are palpable in the scrotum. The neurological exam showed the pupils were equal and sluggishly reactive to light. The tongue showed prominent fasciculations consistent with anterior horn cell degeneration, along with profound head lag, generalized hypotonia and areflexia.

Testing

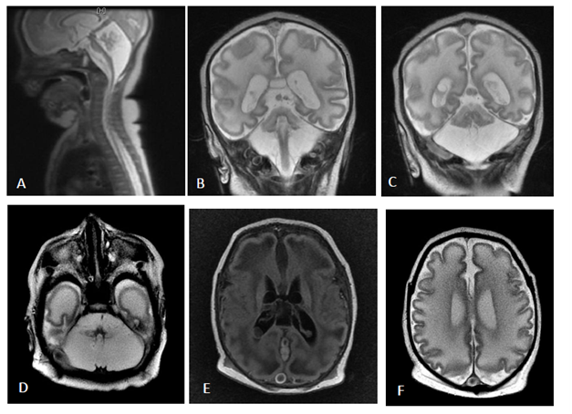
An MRI of the brain (Figure 1) showed features of poor gyration, as well as abnormal appearing white matter with a leukodystrophic appearance and profound pontocerebellar hypoplasia. An EEG was done which showed a burst suppression pattern (Figure 2); a diagnosis of Pontocerebellar hypoplasia type 1 (PCH type 1) was made and appropriate counseling provided to the parents. Genetic testing was not performed.

Figure 1 Sagittal (A), Coronal (B,C) and axial T2 MRI brain images shows profound ponto-cerebellar atrophy. Axial T1 (E) and T2 (F) show simplified gyral pattern and leukodystrophic white matter.

Figure 2 Double banana montage routine EEG showing burst suppression pattern. (compressed 30 seconds/per page).

Discussion

Pontocerebellar hypoplasia type 1 with infantile spinal atrophy (OMIM 607596) is a genetically heterogeneous rare autosomal recessive disorder. It typically has dramatic atrophy of the pontocerebellar structures readily recognizable by MRI imaging, along with a progressive course reminiscent of spinal muscular atrophy.1 The first report of this condition by Norman, after whom the condition is named, described cerebellar hypoplasia in Werding-Hoffman disease, and he hypothesized that the association may be linked to a single genetic abnormality.2 This has proven to be the case indeed, as cases of pontocerebellar hypoplasia with infantile spinal atrophy have been linked to homozygous mutations in the vaccinia-related kinase 1 (VRK1) gene3 as well as TSEN54 and RARS2 genes.1

Unlike previously reported cases, this child additionally presented with tonic seizures and a burst suppression EEG pattern that define Ottahara syndrome (Early Infantile Epileptic encephalopathy with burst-suppression).4 To our knowledge this is the first and only report of Ottahara syndrome in PCH type 1. Although the prognosis is poor in this progressive neurodegenerative disorder, it is important to recognize this possible neurological condition since visual MRI diagnosis in the context of the classic presentation is virtually diagnostic, when the majority of the cases have no genetic locus identified. Moreover, early recognition and management of seizures may help improve the overall clinical outcome, although unlikely to have an impact on long term prognosis.

Conclusion

To our knowledge this is the first reported case to show the association of Early Infantile Epileptic Encephalopathy (Ottahara Syndrome) with Pontocerebellar atrophy type 1. It is important to recognize PCH type 1 as a possible underlying etiology for Ottahara syndrome, also, the presence of Ottahara syndrome should help distinguish PCH type 1 from other types of spinal muscular atrophy.

Acknowledgments

None.

Conflicts of interest

None.

Funding

None.

References

Creative Commons Attribution License

©2015 Fathalla, et al. This is an open access article distributed under the terms of the, which permits unrestricted use, distribution, and build upon your work non-commercially.