Submit manuscript...
Journal of
eISSN: 2373-4426

Pediatrics & Neonatal Care

Case Report Volume 4 Issue 2

Pyogenic Granuloma in an 8 Year Old Boy - A Rare Case Report

SVSG Nirmala, Ramesh Vallepu, Minor Babu, Rupak Kumar Dasarraju

Department of Paedodontics & Preventive Dentistry, Narayana Dental College and Hospital, India

Correspondence: SVSG Nirmala, Professor, Department of Paedodontics & Preventive Dentistry, Narayana Dental College & Hospital, Nellore, Andhra Pradesh, India

Received: January 06, 2015 | Published: February 24, 2016

Citation: Nirmala SVSG, Vallepu R, Babu M, Dasarraju RK (2016) Pyogenic Granuloma in an 8 Year Old Boy - A Rare Case Report. J Pediatr Neonatal Care 4(2): 00135. DOI: 10.15406/jpnc.2016.04.00135

Download PDF

Abstract

Pyogenic Granuloma is one of the inflammatory hyperplasias seen in the oral cavity, majority are found on the marginal gingiva with only 15% of the tumors on the alveolar part. It predominantly occurs in the second decade of life in young females, male to female ratio is 1:99, and size of lesion varies in diameter from few millimeters to several centimeters, but rarely exceeds 2.5cm. This article presents a case of pyogenic granuloma in an 8year old boy who presented with a gingival overgrowth in his maxillary left buccal surface region starting from primary canine to the second primary molars of the attached gingiva. He had discomfort during mastication, interferes with occlusion there was a bleeding during brushing. The lesion was excised and histopathological report confirmed the diagnosis. Case was followed up for six months and no recurrence of the lesion. Etiological factors, clinical features, differential diagnosis and different treatment options are discussed based on the review of current literature available.

Keywords: maxilla, pyogenic granuloma, posterior teeth, reactive hyperplasia, trauma

Introduction

Pyogenic granuloma (PG) is a prudently common, tumor like growth in the oral cavity. It is neither granulomatous nor contains pus, hence the name misnomer is suitable for this condition.1,2 Two French Surgeons Poncet and Dor were initially named this lesion as a Botryomycosis Hominis in 1897.3 Hartzell in 1904 introduced term pyogenic granuloma or granuloma pyogenicum. Other name used for this is Crocker and Hartzell’s disease.4 Histologically described it as a hemangiomatous granuloma” due to the occurrence of abundant blood vessels and the inflammatory nature of the lesion5 and other name used for this is granuloma telangiectacticum”.3

Based on the vascularity of the lesion color can be different from reddish to pink. More than alveolar mucosa, marginal gingival is more prevalent. Apart from the gingiva pyogenic granuloma can occur on the buccal mucosa, lips and tongue and palate. Comparatively maxilla is commonly affected than mandible.

Buccal surfaces of the posterior teeth are more common rather than lingual surfaces anterior teeth. Initially, the lesion starts with a small growth, growing slowly from a few millimeters to centimeters, asymptomatic, painless unless there is an infection. Occasionally, the size of the lesion increases rapidly.

The lesion starts with small, exophytic growth, it has a smooth or lobulated surface, erythematous papule with red in color and it can be pedunculated or sometimes sessile base. Only 15% of the lesions occur on the alveolar part but majority of them establish on the marginal gingiva and at times it causes significant bone loss.6 Although PG may occur in all the ages, it is predominant in the second decade of life, females are more commonly effected than males due to hormonal changes.7

Case report

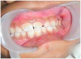
A 8year old boy complaints of over growth in the mouth pertaining to upper left anterior region which bleeds frequently and interfered with eating and brushing. His mother gives a history of trauma during tooth brushing. He noticed the growth two months back which started as a size of peanut and gradually increased to reach the present size. His medical history and family history was non-contributory. No abnormality detected on extra oral examination and intra oral examination revealed a single growing exophytic, lesion was pedunculated with stalk, which was measuring 2.8×2.8×0.9cms in the left upper anterior to the posterior region, and it was attached to the marginal gingival in between the left primary canine to the first and second primary molars (Figure 1). It was oval in shape, has a smooth surface , reddish in color, pedunculated, bleeds on probing and it covers buccal surfaces of the teeth. These findings were confirmed by palpation of the lesion. Furthermore, there was no caries and absence of mobility of the involved teeth and he was in mixed dentition period. Oral hygiene status was seems to be poor. Blood picture shows all the values are within the normal level. Based on the history and intra oral findings, provisionaliy it was diagnosed it as a pyogenic granuloma.

Figure 1 Intra oral picture showing the lesion of the maxilla.

The differential diagnosis can be incorporated are fibroma, hemangioma, peripheral ossifying fibroma peripheral giant cell granuloma.

Histopathological examination

Macroscopic features: Received one bit of soft tissue, measuring about 2.8×2.8×0.9cms, reddish brown in colour, irregular in shape, lobulated in contour, firm in consistency (Figure 2). Tissue is grossed into A and B. A was taken for routine processing, B is retained.

Figure 2 Histopathological picture showing.

Histopathological impression

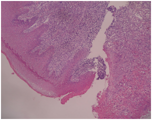
Section shows parakeratinised stratified squamous epithelium of inconsistent thickness underlying connective tissue comprising of numerous endothelial cells, budding capillaries. There are few bundles of collagen fibers along with fibroblasts. There is also presence of moderate inflammatory cell infiltration. Histopathological features are indicative of pyogenic granuloma (Figure 3). Based on the histological features diagnosis was confirmed as a pyogenic granuloma.

Figure 3 Excised lesion.

Treatment

The treatment plan in this case was oral prophylaxis followed by surgical excision of the lesion and treatment was explained to the parents. Initially oral prophylaxis was done later the lesion was excised surgically, normal saline was used to irrigate the surgical site. Post-operative instructions were given and medication was prescribed and excised lesion was sent for histopathological examination. After one week patient came for checkup and the healing site was satisfactory. Furthermore, patient was on regular follow up for six months and there were no signs of recurrence (Figure 4).

Figure 4 Intra oral picture showing uneventful healing of the lesion.

Discussion

The etiologic factors can be considered are injury to the gingival crevice,8 vigorous tooth brushing habits leads to repeated trauma to the gingival,9 improper selection of superstructure for implant cases,10 prolonged use of cyclosporine,11 and occlusal interferences12 etc. In our case tooth brush trauma may be the probable cause.

Whenever size of the lesion is increased there will be occlusal interfering while eating and brushing. Hence there will be release of endogenous and angiogenic factors leads to the increased blood supply to the affected area and tends to bleed.9,12 Estrogen and progesterone hormones levels will be increased during second decade of life especially in females. Hence they are more prone for occurrence of pyogenic granuloma rather than children,13 but it can be seen in all age groups. However, involvement of pyogenic granulomas in the gastrointestinal tract is very rare.14

It can be differentiated from other lesions like haemangioma histologically it shows proliferation of endothelial cells and lack of inflammatory cell infiltrate.15 Peripheral odontogenic fibroma is seen absolutely on the gingiva but vascular compotent is very minimal.8,16 Presence of multinucleated giant cells can be identified in case of Peripheral giant cell granuloma.8,14

Two types of pyogenic granulomas are reported in the literature as follows; lobular capillary hemangioma (LCH) and the non-lobular capillary hemangioma (non-LCH).17 Based on the biopsy report our case belongs to lobular type.

Depending upon the size of the lesion treatment varies. Presented case the size of the lesion was small hence, surgical excision was done and it is also recommended treatment in the literature. Cryosurgery, flash lamp pulsed dye Laser, sclera therapy, excision by Nd YAG Laser, injection of corticosteroid or ethanol are other treatment modalities for pyogenic granuloma.18

Pyogenic granuloma associated with Dentin Dysplasia type II have been reported by Nirmala et al.,19 but in our case it is not allied with any other problems. Exclusivity of our report is pyogenic granuloma occur in a boy which is very rare.

Conclusion

Benign lesions like pyogenic granuloma at times may grow rapidly disturbing size which causes pain and discomfort to the patient especially in children. Hence early diagnosis and prompt treatment is very important to prevent further complications Paediatricians should have a knowledge regarding these types of lesions and it should be referred to the paediatric dentist as early as possible to prevent discomfort as well as to improve quality of life of the children.

Acknowledgments

None.

Conflicts of interest

Author declares there are no conflicts of interest.

Funding

None.

References

  1. Goodman-Topper ED, Bimstein E. Pyogenic granuloma as a cause of bone loss in a twelve-year-old child: report of case. ASDC J Dent Child. 1994;61(1): 65−67.
  2. Ramirez K, Bruce G, Carpenter W. Pyogenic granuloma: case report in a 9-year-old girl. Gen Dent. 2002;50(3): 280−281.
  3. Odel EW. Lucas Pathology of tumors of oral tissues. In: Cawson RA, et al. (Eds.), Oral Oncology, (5th edn), Missouri: Mosby, USA. 1998.p. 434.
  4. Hartzell MB. Granuloma pyogenicum (Botryomycosis of French Authors). J Cutan Dis Incl Syph. 1904;22:520−525.
  5. Angelopoulos AP. Pyogenic granuloma of the oral cavity: Statistical analysis of its clinical features. J Oral Surg. 1971;29(12):840−847.
  6. Vilmann A, Vilmann P, Vilmann H. Pyogenic granuloma: evaluation of oral conditions. Br J Oral Maxillofac Surg . 1986;24(5):376−82.
  7. Neville BW, Damn DD, Allen CM, et al. Oral and Maxillofacial Pathology, (2nd edn), WB Saunders, Philadelphia, USA. 2002. p. 437−495.
  8. Regezi JA, Sciubba JJ, Jordan RC. Oral Pathology: Clinical Pathological Considerations. (4th edn), WB Saunders, Philadelphia, USA. 2003. p.115−116.
  9. Ainamo J. The effect of habitual tooth cleansing on the occurrence of periodontal disease and dental caries. Suom Hammaslaak Toim. 1971;67(1):63−70. 
  10. Bachmeyer C, Devergie A, Mansouri S, et al. Pyogenic granuloma of the tongue in chronic graft versus host disease. Ann Dermatol Venereol. 1996;123(9):552−554.
  11. Dojcinovic I, Richter M, Lombardi T. Occurrence of a pyogenic granuloma in relation to a dental implant. J Oral Maxillofac Surg. 2000;68(8):1874−1876.
  12. Widowati W, Ban T, Shareff A. Epulis and pyogenic granuloma with occlusal interference. Maj Ked Gigi . 2005;38(2):52−55. 
  13. Taira JW, Hill TL, Everett MA.. Lobular capillary hemangioma (pyogenic granuloma) with satellitosis. J Am Acad Dermatol . 1992;27(2 Pt 2):297−300.
  14. Steelman R, Holmes D. Pregnancy tumor in a 16-year-old: Case report and treatment Considerations. J Clin Pediatr Dent. 1992;16(3):217−218.
  15. Parisi E, Glick PH, Glick M. Recurrent intraoral pyogenic granuloma with satellitosis treated with corticosteroids. Oral Dis . 2006;12(1):70−72.
  16. Calonje E, Wilson-Jones E. Vascular tumors: Tumors and tumor like conditions of blood vessels and lymphatics. In: Elder D, et al. (Eds.), Lever's Histopathology of the Skin. (8th edn), Lippicott-Raven, Philadephia, USA. 1997. p.895.
  17. Ojanotko-Harri AO, Harri MP, Hurttia HM, et al. Altered tissue metabolism of progesterone in pregnancy gingivitis and granuloma. J Clin Periodontol . 1991;18(4):262−266.
  18. Bouquot JE, Nikai H. Lesions of the oral cavity. In: Gnepp DR (Ed.), Diagnostic Surgical Pathology of Head and Neck. WB Saunders, Philadelphia, USA. 2001. p. 141−233. 
  19. Nirmala SVSG, Sivakumar N, Usha K. Dentin dysplasia type I with Pyogenic Granuloma in a 12-year-old girl. J of Ind Soc of Ped and Prev Dent . 2009;27(2):131−134. 
Creative Commons Attribution License

©2016 Nirmala, et al. This is an open access article distributed under the terms of the, which permits unrestricted use, distribution, and build upon your work non-commercially.