Submit manuscript...
MOJ
eISSN: 2381-182X

Food Processing & Technology

Case Report Volume 11 Issue 1

Role of nutrition in wound closure: a case report

Dania Ramírez González, García Martínez Jorge Alberto, Ramírez López Valeria Karina, González González Armando Francisco

General Surgery Department, National Autonomous University of Mexico, Mexico

Correspondence: Dania Ramírez González, General Surgery Department, National Autonomous University of Mexico, Hospital Juárez de México, National Polytechnic Institute Avenue #2126, México, Tel +993-1970287

Received: March 20, 2023 | Published: April 10, 2023

Citation: González DR, Alberto GMJ, Karina RLV, et al. Role of nutrition in wound closure: a case report. MOJ Food Process Technols. 2023;11(1):31-33. DOI: 10.15406/mojfpt.2023.11.00276

Download PDF

Abstract

Malnutrition is a common risk factor in chronic wounds due to its long healing period and it should be considered in their prevention. Nutrition during the wound-healing process should be adequate for the increased demand. The objective from this study is to present a case report of the evolution of a chronic infected wound after multidisciplinary management, including surgical approach, antibiotic therapy, and nutrition for its resolution. A 43-year-old female who begins with sudden pain in the left inguinal region associated with swelling. She received analgesic treatment without improvement and decided to attend the hospital where is diagnosed with septic shock secondary to soft tissue infection. Surgical drainage was done and a vulvar abscess was found, dissecting from the mount pubis to the ischiopubic fossa with necrotic tissue and fetid purulent material. In the postoperative period, multiple surgical lavages and debridements were carried out, followed by a VAC system. Nutritional parameters were below the acceptable level, parenteral nutrition was started and enteral nutrition with arginine boluses. Admission to the nutritional support service with parenteral nutrition and subsequently switching to enteral nutrition with arginine support raised their levels according to the improvement of the wound previously reported. Nutrient deficiency has been found in patients with chronic wounds and although the role of nutrition has not been adequately established, clinical improvement can be attributed to the establishment of treatment with complementary nutrition. Due to the good clinical response of our patient, we suggest formulas supplemented with arginine as part of the complete treatment (medical and surgical). The use of arginine dietary supplements in surgical patients leads to a consistent and significant reduction in postoperative infections. 

Keywords: nutrition, wound-closure, arginine, malnutrition, chronic wound

Abbreviations

BMI, body mass index; VAC, vacuum-assisted closure

Introduction

Various factors have been identified that increase the risk of complications in chronic wounds including malnutrition, immunocompromise, decreased collagen synthesis and tensile force during the healing process.1 Chronic wounds are treated with antimicrobials, barrier protectors, and topical growth factors. As well as multiple treatments, many nutritional components also play several roles in the wound healing process.2 Malnutrition is a common factor in chronic wounds due to its long healing period and it should be considered in their prevention. There are clinical markers, such as weight loss, loss of subcutaneous cell tissue, edema, decreased strength, and biochemicals such as albumin, prealbumin, and transferrin. Nutrition during the wound-healing process should be adequate for the increased demand.2,3 Obesity, a disease characterized by excessive fat accumulation and also increases the risk of chronic-degenerative maladies such as type 2 diabetes, cancer and cardiovascular diseases; also perturbs the healing process.4 Malnutrition is a non-homeostatic state defined by the non-balance of energy, protein, and other nutrients that causes adverse effects on tissue structure and functionality. A chronic wound is a failure of the healing process, and its perpetuity is stimulated by persistent inflammation in the microenvironment.4 Arginine, a semiessential amino acid in humans is a precursor for many chemical compaunds such as proline, nitric oxide, glutamate, creatine and agmatine amoung others. Known for its important role as a regulator of immune, respiratory and endotelial function.5

Material and methods

A case report and bibliographic review was performed.

Results

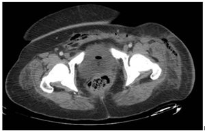
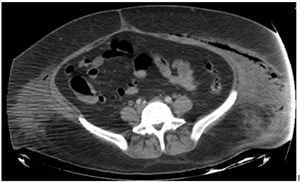
A 43-year-old female with morbid obesity (BMI 42), a history of type 2 diabetes diagnosed 12 years ago without treatment or follow-up, one cesarean section in 2011 and bilateral tubal occlusion in 2018. Who begins with sudden pain in the left inguinal region associated with swelling. She received analgesic treatment without improvement and decided to attend the hospital where is diagnosed with septic shock secondary to soft tissue infection. The results of the blood cytometry were leukocytes 21 000/mm, neutrophils 89%, lymphocytes 6%, hemoglobin 9 mg/dL, hematocrit 28%, and platelets 21 000/mm. Surgical drainage was done and a vulvar abscess was found, dissecting from the mount pubis to the ischiopubic fossa with necrotic tissue and fetid purulent material. During her postoperative period, she continued with purulent secretion outflow; a tomographic study showed the presence of fluid between the subcutaneous cell tissue and the muscular abdominal wall associated with subcutaneous emphysema (Figure 1 & 2). A reintervention was decided for surgical debridement and lavage, among the findings were: labile tissue with fetid necrotic edges, purulent secretion from the left genital area, inguinal region, abdominal subcutaneous cell tissue to the external oblique aponeurosis (Figure 3). In the postoperative period, multiple surgical lavages and debridements were carried out, followed by a VAC system. Nutritional parameters were below the acceptable level, parenteral nutrition was started and enteral nutrition with arginine boluses. A curve of nutritional parameters (albumin, prealbumin, ferritin and transferrin) was made prior to the establishment of the VAC system (Figure 4 & Table 1).

Figure 1 CT scan prior to second intervention that shows subcutaneous emphysema and what it seems and abscess formation.

Figure 2 CT scan that reveals the extension through the abdominal wall.

Figure 3 Infected tissue in first surgical interventions.

Figure 4 Tissue after treatment with surgery and improved nutrition.

Date

Albumin

Prealbumin

Transferrin

Ferritin

1/17/2023

1.7

3.01

7.99

6.55

1/24/2023

1.9

5.67

8.74

9.3

1/31/2023

1.6

7.66

6.72

7.2

2/7/2023

1.8

8.59

7.04

7.39

2/14/2023

2

16.7

10.6

10.76

2/21/2023

1.9

12.1

9.76

9.97

2/28/2023

2.3

13.8

12

9.87

3/7/2023

2.3

13.8

12

9.87

3/14/2023

3

20.6

11.9

8.13

Table 1 This table shows the the levels of nutritional parameters on different dates of hospital stay. Albumin levels are recorded in mg/dL, prealbumin in mg/dL, transferrin in mg/dL¹º and ferritin at ng/dL¹ºº

Discussion

Nutritional parameters were collected and plotted according to time during the hospital stay (Graph 1). Albumin levels diminish in malnutrition and states of inflammation, as well as type 2 diabetes mellitus, liver disease or trauma by a surgical event. According to Hulshoff et al. it decreases during the surgical event and increases in the postoperative period.5–7 Albumin in our patient rose slowly during her 56-day stay, the lowest being 1.6 mg/dL and the highest being the last at 3 mg/dL. Prealbumin is correlated to changes in muscle mass; prealbumin concentration is affected by proinflammatory states, infections or surgical stress. These include regulation of cytokine synthesis, extravasation, hemodilution and consumption. Prealbumin levels correlate with severity and as a prognostic factor. Its use as a nutritional marker is controversial however it can be used with other parameters for the global nutrition state examination for each patient at risk of malnutrition.7 In our graph, prealbumin shows an increase concerning its admission, with an improvement of up to 20.6 mg/dL. Admission to the nutritional support service with parenteral nutrition and subsequently switching to enteral nutrition with arginine support raised their levels according to the improvement of the wound previously reported.8

Graph 1 This graph shows the levels of nutritional parameters on different dates of hospital stay. Albumin levels are recorded in mg/dL, prealbumin in mg/dL, transferrin in mg/dL¹º and ferritin at ng/dL¹ºº.

Ferritin and transferrin are serum proteins that help determine the homeostatic status of iron and are indicators that are also affected by inflammation and liver disease however they can be affected by other mechanisms such as hypoxia, ferritin is sensitive to iron depletion but is not a marker of severity and is more affected than transferrin levels.9,10 According to our results, serum ferritin and transferrin remained at similar levels at the end of the study.11 An increasing amount of evidence has accumulated over the past 10 years to show that suppression of T-cell function may be caused by arginine depletion.12 The use of arginine dietary supplements in surgical patients leads to a consistent and significant reduction in postoperative infections.13

Conclusion

Nutrient deficiency has been found in patients with chronic wounds and although the role of nutrition has not been adequately established, clinical improvement can be attributed to the establishment of treatment with complementary nutrition. Due to the good clinical response of our patient, we suggest formulas supplemented with arginine as part of the complete treatment (medical and surgical).

Acknowledgments

We thank our department of General Surgery and the Hospital Juárez de México for their support.

Conflicts of interest

The authors declare that they don’t have any conflicts of interest.

References

  1. Munoz, N, Litchford M, Cereda E. Nutrition and wound care. Phys Med Rehabil Clin N Am. 2022;33(4):811–822.
  2. Quain AM, Khardori NM. Nutrition in wound care management: a comprehensive overview. Wounds. 2015;27(12):327–335.
  3. Molnar JA, Underdown MJ, Clark WA. Nutrition and chronic wounds. Adv Wound Care. 2014;3(11):663–681.
  4. Grada A, Phillips TJ. Nutrition and cutaneous wound healing. Clin Dermatol. 2022;40(2):103–113.
  5. Adebayo A, Varzideh F, Wilson S, et al. l-Arginine and COVID-19: an update. Nutrients. 2021;13(11):3951.
  6. Morris SM. Recent advances in arginine metabolism. Curr Opin Clin Nutr Metab Care. 2004;7(1):45–51.
  7. Don BR, Kaysen G. Serum albumin: relationship to inflammation and nutrition. Semin Dial. 2004;17(6):432–437.
  8. Ranasinghe RN, Biswas M, Vincent RP. Prealbumin: the clinical utility and analytical methodologies. Ann Clin Biochem. 2022;59(1):7–14.
  9. Marcason W. Should albumin and prealbumin be used as indicators for malnutrition?. J Acad Nutr Diet. 2017;117(7):1144.
  10. Daru J, Colman K, Stanworth SJ, et al. Serum ferritin as an indicator of iron status: what do we need to know?. Am J Clin Nutr. 2017;106(6):1634S–1639S.
  11. Briguglio M, Hrelia S, Malaguti M, et al. The central role of iron in human nutrition: from folk to contemporary medicine. Nutrients. 2020;12(6):1761.
  12. Makarenkova VP, Bansal V, Matta BM, et al. CD11b+/Gr-1+myeloid suppressor cells caused T cell dysfunction after traumatic stress. J Immunol. 2006:176(4):2085–2094.
  13. Petar J, Hebert J, Zech III, et al. Arginine and immunity. J Nutr. 2018;137(2):1681.
Creative Commons Attribution License

©2023 González, et al. This is an open access article distributed under the terms of the, which permits unrestricted use, distribution, and build upon your work non-commercially.