Case Report Volume 11 Issue 6
Department of Internal medicine, Habib Thameur Hospital, Tunis El Manar University, Tunisia
Correspondence: Imène Rachdi, Department of Internal medicine, Habib Thameur Hospital, Tunis El Manar University, Ali Ben Ayed Street, 1089 Tunis, Tunisia
Received: October 25, 2019 | Published: November 15, 2019
Citation: Khaloui M, Daoud F, Rachdi I, et al. A rare cause of lytic lesion: the brown tumors. MOJ Orthop Rheumatol. 2019;11(6):201-202. DOI: 10.15406/mojor.2019.11.00501
Introduction: Brown tumor is a tumor-like lesion that represents the terminal stage of the bone remodeling process in prolonged hyperparathyroidism and has an overall incidence of 3%. It may not be distinguishable from other osteolytic lesions of malignancy.
We illustrate a case of primary hyperparathyroidism with brown tumour which was initially mistaken for malignant disease.
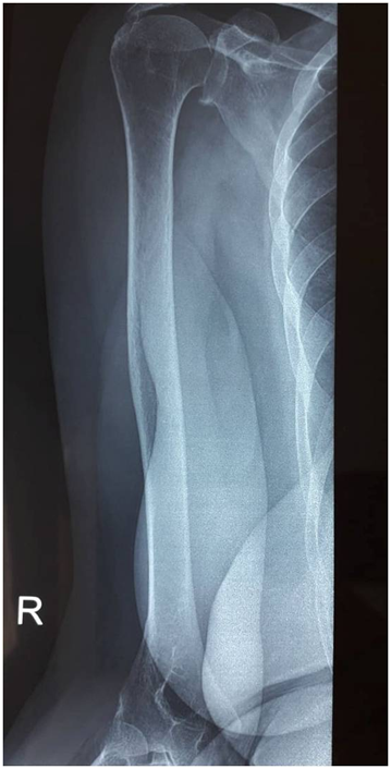
Case report: A 64-year-old female patient with a medical history of dyslipidemia repeated acute pancreatitis and retrobulbar neuritis was referred to our department for evaluation of hypercalcemia. The association with a hypogammaglobulinemia gave rise to the initial diagnosis of humoral hypercalcemia of multiple myeloma. The radiological evaluation of the skeleton showed an isolated lytic lesion on the humerus. No electrophoretic signs of monoclonal secretion in the blood or urine were found. Nevertheless, laboratory investigations revealed a constellation of primary hyperparathyroidism. Computed tomography localized a right parathyroid adenoma, which was surgically removed. Also, we concluded that the humeral lesion was in fact a Brown tumor.
Conclusion: This case reinforces the need to consider brown tumor of hyperparathyroidism in the differential diagnosis of an osteolytic lesion with hypercalcemia.
Keywords: brown tumors, hyperparathyroidism, osteolytic lesions
Primary hyperparathyroidism (PHPT) is the third most common endocrine disease after diabetes and thyroid disease with the highest incidence in postmenopausal women.1 Osteitis fibrosa cystica or Brown Tumors represent a rare clinical manifestation of hyperparathyroidism dependent bone pathology, reported in approximately 3% of patients with prolonged PHPT,2,3 and correspond to radiologically osteolytic lesions with well-defined borders in different parts of the skeleton. We illustrate a case of PHPT with brown tumor, which was initially mistaken for malignant disease.
A 64-year-old woman was referred to our department for evaluation of hypercalcemia. Her medical history was significant for dyslipidemia, repeated acute pancreatitis and retrobulbar neuritis. She had diffuse skeletal pain for which she tried analgesics and anti-inflammatory medication with minimal relief. Her physical examination was unremarkable.
The presence of hypogammaglobulinemia gave rise to the initial diagnosis of humoral hypercalcemia of multiple myeloma. Subsequently, a radiological evaluation of the skeleton was undertaken and showed a well-defined lytic lesion at the middle of the humerus. The absence of anaemia or renal insufficiency and the absence of electrophoretic signs of monoclonal secretion in the blood or urine eliminate this diagnosis. The others biochemical indices confirmed the diagnosis of PHPT: hypercalcemia at 11.9mg/dL (8.4–10.2mg/dL), serum hypophosphatemia at 1.54mg/dL (2.7–4.5mg/dL), and elevated parathyroid hormone rate at 584pg/mL (10–88pg/mL). We noted a serum 25OHD deficiency at 8.4μg/L (30-70g/L). At subsequent radiological work-up, both ultrasonography and computed tomography of her neck revealed a right parathyroid adenoma. We concluded posterior that the humeral lesion was in fact a Brown tumor (Figure 1).
Bone is a classic target organ in PHPT, and common skeletal changes involve generalized osteopenia,4 bone resorption, bone cysts and Brown tumors. The name “Brown Tumor” derives from the color, which is caused by the vascularity, haemorrhage and deposits of hemosiderin.5
They can occur in any location but are most common in the ribs, clavicle and pelvis.6,7 Our case is characterized by an atypical and unique localization in humerus. As in our observation, on radiological examination they appear as osteolytic lesions with well-defined borders.8 It is noteworthy that its radiological and histopathological features may be mistaken for other bony pathologies.3,9–12
A wrong diagnosis in such cases could lead to subjecting the patient to unnecessary radical procedures with severe and irreversible squeal.13 Distinguishing between brown tumor of primary hyperparathyroidism and malignancy is made readily by the concomitant measurement of parathyroid hormone, which in primary hyperparathyroidism will be markedly elevated.
This case emphasizes the need of considering initially primary hyperparathyroidism in the exploration of hypercalcemia even when radiographic lytic lesions are present.
None.
The authors declare there is no conflict of interest.
Khaloui M, Daoud F: Preparation of manuscript; All authors edited the manuscript and accepted its final form.
This research did not receive any specific grant from funding agencies in the public, commercial, or not-for-profit sectors.
Not required.
No data are available.
©2019 Khaloui, et al. This is an open access article distributed under the terms of the, which permits unrestricted use, distribution, and build upon your work non-commercially.