Submit manuscript...
MOJ
eISSN: 2374-6939

Orthopedics & Rheumatology

Review Article Volume 9 Issue 3

A Review of the Diagnosis and Management of Index through Fifth Carpometacarpal Dislocations

Chikate A,1 Mthethwa J2

1Specialty Registrar, North West England Orthopaedics, UK
2Senior Registrar, Hairmyres Hospital, UK

Correspondence: Mthethwa J, MBChB (hons), FRCSEd, FRCS (Tr & Orth), Senior Registrar, Hairmyres Hospital, East Kilbride, Glasgow, G75 8RGc, UK

Received: September 10, 2017 | Published: October 23, 2017

Citation: Chikate A, Mthethwa J (2017) A Review of the Diagnosis and Management of Index through Fifth Carpometacarpal Dislocations. MOJ Orthop Rheumatol 9(2): 00354. DOI: 10.15406/mojor.2017.09.00354

Download PDF

Abstract

Dislocation of all four ulna-sided carpometacarpal (CMC) joints (index through to 5th) is a rare injury pattern in the hand. Diagnosis is often delayed due to the attending health care practitioner’s unfamiliarity of the anatomy, pathology and radiological interpretation at initial assessment. A timely diagnosis is often met with a relatively straight-forward reduction whereas delays lead to great management difficulties and poor patient functional outcomes. There are arguments for and against various approaches in management of this injury spectrum however there is consensus that early diagnosis, treatment and rehabilitation yields good results for majority of the patients. Salvage procedures for delayed treatment tend to have poorer prognosis, thus further emphasising the need for diagnosis at the earliest possible point. The rarity explains the relative underrepresentation of this injury spectrum in medical literature. This review aims to educate the reader on various aspects that could lead to better understanding and aid an earlier diagnosis and options for management of this rare injury spectrum.

Introduction

Traumatic dislocations of the second (index) to the fifth (little finger) carpometacarpal (CMC) joints are uncommon injuries accounting for less than 1% of all hand injuries.1 These injuries often elude the unsuspecting attending clinician with as many as 70% of dislocations being missed completely or misdiagnosed at initial presentation.2 Inexperienced practitioners right through to experienced orthopaedic surgeons can miss these injuries unless care is taken to get a history, examine the patient and to evaluate the radiographs diligently.2 A high index of suspicion based on energy of precipitating trauma through to physical findings is of essence in reaching an accurate diagnosis. There is general consensus on the difficulty of diagnosing this injury whilst acknowledging the excellent prognosis of such injuries when treated early.3 As many as 4 out of 10 patients with a CMC dislocation that has been missed or misdiagnosed will experience chronic pain and/or impaired function.1 With early appropriate management however, full return to gainful employment and sports is to be expected in almost 9 out of 10 of patients with CMC joint injuries.1 As the motion at the CMC joints is crucial for grasping and palmar cupping in normal hand functioning, it follows that the restoration of the articular function of these joints after dislocations is critical for normal hand function.

Anatomy

CMC joints are modified saddle joints formed by the articulation between the distal row of carpal bones and the bases of the metacarpals.1 The congruity of the corresponding joint surfaces creates a complex, irregular structure of interlocking bony articulations that confer static stability to the CMC joints. The third CMC joint occupies a central position in a slightly more proximal position compared to the adjacent joints in a manner that produces the stable keystone phenomenon, very much like the base of the second metatarsal at the tarso-metatarsal (Lisfranc) articulation.4 The buttressing effect created by the side-to-side articulation of the metacarpal bases provides additional stability, particularly to the middle and ring finger CMC joints.4 Adding stability to the inherent bony “lock in” are volar, dorsal and intermetacarpal ligaments. The dorsal ligaments are reinforced by the insertion of the extensor carpi radialis longus and brevis on the second and third metacarpals respectively. On the palmer aspect, flexor carpi radialis inserts on the second and third metacarpal bases via its bifurcated tendon. On the little finger metacarpal base the flexor carpi ulnaris, via the pisometacarpal ligament on the volar, and the extensor carpi ulnaris on the dorsal surfaces, further add dynamic stability in a manner comparable to guy-ropes on a mast.5 As in the foot, the hand has a transverse arch and longitudinal arches which help in conferring dexterity while maintaining stability of the hand.6 The second and third carpometacarpal form a relatively rigid pillar while the fourth and fifth carpometacarpal complexes make up a more mobile arch. The increased mobility at the fourth and fifth carpometacarpal joints leads to increased frequency of dislocations at the fourth and fifth carpometacarpal joints.7

Mechanism of injury

It generally takes extreme trauma to disrupt this very solid anatomic construct although there are reports of such dislocations also happening with minor trauma.1,2,7 Partial dislocation implies rupture of at least the intermetacarpal ligament. Not all ligaments are torn in a partial dislocation. Complete CMC dislocations however imply the rupture of both palmar and dorsal ligaments5 thus allowing one metacarpal base to translate relative to its adjacent metacarpal.

Many cases are fracture-dislocation, or partial dislocations due to the overall strength of the numerous ligaments that maintain the integrity of the CMC joints.7 Some theories have been brought up to explain the probable mechanism of a dislocation of CMC joints: direct and indirect force theories.5 Direct force applied on the metacarpal bases may cause dislocation in the direction of the force i.e a force applied on the palmer aspect pushes the metacarpal base dorsally while a volar dislocation results from a dorsally applied force pushing the metacarpal base volarly. Axial loading through the metacarpal shaft results in an indirect force at the carpometacarpal joint, in this situation the dislocation will be palmar if the wrist is in extension during the impact, dorsal if the wrist is in flexion.5 Other mechanisms described include a transverse metacarpal crush of the arch as can happen with a motorcycle handlebar.5 The divergent dislocations could be explained either by a twisting mechanism, represented by supination of the metacarpal arch around an axis passing between the third and fourth metacarpals, or by direct impact followed by a rotatory force8 (Figure 1).

Figure 1 Dislocation of all lesser CMC.

Presentation

A high index of suspicion is key at identifying the injury. In most cases the patient presents with a painful, swollen or deformed hand after sustaining trauma to the hand. The swelling tends to be diffuse in the face of multiple dislocations, however it can be localized to the dorsal surface of the affected joints in an isolated or partial dislocation.1,5,7,9 Complete dorsal dislocations of all four ulnar metacarpophalangeal joints may present with a depression in the palm of the hand. This may be likened to a “dinner-fork” deformity which may be mistaken for a distal radius fracture (Colles).9 For patients presenting with much rarer volar dislocations of all four metacarpophalangeal joints, they may have a depression on the dorsum of the hand giving rise to what appears like a “spade type” deformity.9 Pain, and loss of function may be the only presenting features, particularly in late presentations following a missed diagnosis. A systematic look, feel and move physical examination is mandatory. This however, may be made difficult by swelling which can conceal bony prominences such that the subluxed metacarpal bases may not be easily appreciated.10 With the “Indian salutation test” shortening of any finger on the affected hand raises a high suspicion of dislocation at that CMCJ, provided there is no metacarpal fracture or other distal dislocation.11 Neurovascular status of the hand should be ascertained, as dislocations may be associated with nerve damage,12 particularly the ulna nerve with ring or little finger CMC dislocations.13 As these are high-energy injuries, associated injuries are often present and these other injuries should be explored as their presence may affect outcomes for the patient.

Radiological investigations

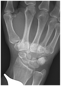
Plain x-rays remain the gold standard for diagnosis and classification of CMCJ dislocation.5 A postero-anterior (Figure 2), oblique and lateral view series is often adequate to make the diagnosis. In unclear situations other further views or specialist imaging may be warranted. A systematic examination of the whole radiograph is mandatory to pick these injuries.14

Figure 2 PA radiographs of the hand.

Parallelism

For the 2nd through 5th carpometacarpal articular surfaces, opposing surfaces on the metacarpal base and the corresponding carpal bones are parallel. Comparing the space between the carpal bones and the metacarpal bases to a capital M, or “M line” helps to identify any anomalies.14

Symmetry

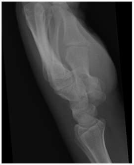
The width of the 2nd through the 5th carpometacarpal joint spaces is uniform, measuring 1-2mm. Disappearance of the CMC joint space suggest dislocation14 (Figure 3).

Figure 3 Overlapping over CMC indicates a dislocation.

Overlapping surfaces

Overlap seen at two normally parallel joint margins indicates subluxation or dislocation.14

Distinct cortical rim

When carpometacarpal joints are viewed in profile, a fine cortical rim is visualized at the opposing margins. Tilting and angulation of the carpometacarpal elements causes blurring or loss of definition of one of the opposing surfaces.14

The ‘metacarpal cascade lines’15 refers to lines drawn along the central longitudinal axis of each finger metacarpal on a PA radiograph which should all focus to a common point two centimetres proximal to the articular surface of the distal radius if the hand is in neutral.

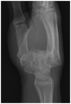
A severely angulated fracture of a metacarpal, avulsion of the metacarpal base or fracture of the hamate should also suggest the possibility of a carpometacarpal dislocation9 (Figure 4).

Figure 4 Lateral radiograph showing malalignment of the metacarpal bases suggestive of a dislocation.

Trauma lateral view radiographs of the hand can be difficult to interpret because of interposition of the carpal bones14,16 Compounding to this is the fact that the radiographer may not be able to position the patient for a true lateral view in a trauma setting due to pain or associated injuries.

On a true lateral radiograph with dislocation of carpometacarpal joints, the longitudinal axis of the involved metacarpal(s) does not parallel the axis of uninvolved metacarpals.2,17

After identifying the long finger metacarpal on lateral hand radiographs, the inter-metacarpal angle as described by McDonald et al can be calculated.18 This technique is particularly useful when screening for ulnar-sided CMC fracture-dislocations.

Potini et al.19 advanced another technique to calculate the relative angle between the longitudinal axis of the capitate and the fourth and fifth metacarpals. According to Potini et al an increase in this angle on plain radiographs provides an effective screening method for 4th and 5th carpometacarpal dislocations which may warrant further advanced imaging.

Other X-ray views

Supination oblique view is obtained by placing the wrist in a lateral position, then supinating 30-40 degrees for the fourth and fifth finger carpometacarpal joints.20 Pronation oblique view is obtained with 30 to 45 degrees of pronation and allow excellent visualization of the second and third carpometacarpal joints.20 Poor interpretation or omission of these oblique views has been reported to lead to majority of undiagnosed subtle dislocations.21 Brewerton22 (originally described for rheumatoid arthritis) and Bora23 described special oblique views of the hand useful for assessing suspected fracture-dislocations of the fourth or fifth CMC joint, which are difficult to delineate on standard PA radiographs.

Further imaging

The use of CT and MRI in the acute setting may be essential to confirm dislocations which may be unclear on plain radiographs.19,24 These modalities allow for the assessment of the joint articular surfaces25 and in the case of MRI the soft tissues are also delineated as well. The information thus obtained may influence the surgical approach. Open procedures may be preferable to closed reductions in the face of concomitant ligament ruptures requiring repair for CMC stability.20 Since the wrist is a peripheral joint, the radiation dose of a CT is minimal26 thus justifying use of this modality when clinically indicated.

MRI has been shown to be superior to CT in the detection of purely trabecular fractures and in delineating other injuries such as ligament rapture which may play a crucial role in the selection of the best way to treat these dislocations.27

CT scanning may be superior in achieving a clearer picture of the articular surface relationships.21,25  Moreover, new CT imaging techniques use significantly reduced patient doses of radiation and allow for 3D reconstructions which aid diagnosis and surgical planning25 (Figure 5).

Figure 5 CT images and 3D reconstructions demonstrates relationship of articular surfaces better than plain radiographs.

Classification

Carpometacarpal dislocations are classified according to direction of displacement in relation to the carpus and the rays affected. Dorsal dislocations are the most common at 71%, palmar dislocations are next most frequent.27 Lateral dislocations, particularly of the fifth ray, more so in a radiopalmar than ulnar-palmar configuration is also well represented.27 It is rare however to have dislocations affecting all four metacarpophalangeal joints, particularly in the palmar direction.28 Divergent dislocations are even rarer.5 When looking at the individual rays, the ulnar CMC joints dislocations are more commonly dislocated than the second and third CMCJs due to the increased mobility at the ring and little finger MCP joints which renders these joints relatively less stable.1,4,27 These dislocations tend to be more common in young males.7 Isolated third metacarpal, fourth metacarpal or third–fourth metacarpal dislocations are very rare because they are protected by their central position, and the “keystone” effect of the third CMCJ.1  By occupying a border position, second metacarpal and second and third metacarpal dislocations are relatively common as they are more exposed to trauma.1

Management

Little consensus exists in the current literature on the most appropriate treatment of these injuries. Treatment needs to be individualised by using principles drawn from authors of different cases and case series that have reported good outcomes. The selected definitive way of treatment will be influenced among other things on the experience of the attending physician, resources available, the severity and presumed stability of the CMC joints.1 The overall goal of management is achieving an exact (anatomic) and stable reduction, solid stabilisation and early rehabilitation.28 Whilst this goal may be achieved non-surgically (ie closed reduction and cast), closed reduction and temporary percutaneous k-wire fixation remains to date the gold standard for acute dislocations in the medical literature.

Closed reduction and cast alone

Closed reduction is usually obtained without difficulty if performed early particularly when performed within two days ideally, but also up to 10 days of the injury1,35 Under an appropriate anaesthetic, progressive longitudinal traction accompanied by pressure on the metacarpal bases is usually enough to reduce the dislocated joint.28 In cases of multiple dislocations, the reduction is often easier to achieve from a radial to ulna direction in a step-wise manner. Reduction of the dislocation restores the longitudinal and transverse arches of the hand and the appropriate balance of the intrinsic and extrinsic muscles, and thus maintains proper mechanics of the hand. Some authors have reported success with simple well moulded plaster casts or thermoplastic splints without surgery.29-34 The cast/splint is often applied with slight wrist extension, metacarpophalangeal joints in flexion and interphalangeal joints in extension for about 6 weeks.32 The exact duration of immobilisation has not been established.

The instability of CMC after closed reduction is well documented and it stems from the surrounding distracting forces exerted by the extensors and/or flexors of the wrist which tend to reproduce the displacement.1 The associated damage to the ligaments predisposes these joints to re-dislocation. The second and third metacarpals are particularly at risk for re-dislocation because of the contraction of the extensor carpi radialis longus and brevis.5 The fourth and fifth metacarpals tend to be more stable after reduction, though they too may re-dislocate.1,5

Closed reduction seems to be considered in case with isolated CMC dislocation1,29,32 and rarely in multiple dislocations.31,33 However, advice to manage even these dislocations in a cast is not common, in fact many advocate against it.1,5 Despite anecdotal evidence of success with this approach, swelling within the setting of acute dislocation compromises successful cast moulding and may in fact be dangerous.5 It also requires a more regular follow-up with radiologic monitoring for the first three weeks and possible cast changes necessitated by reduction in swelling and consequent loosening of the cast.35 In almost a third of cases, splintage alone for management of CMC dislocations leads to a secondary procedure which can be repeated closed reduction and casting, K-wire fixation or internal fixation.32

Closed reduction and K-wire

Stabilization of the reduced CMC joints by percutaneous k-wiring is the technique most advocated for in the literature (Figure 6).1,2,5,34,35 Reduction is achieved as described above with traction and counter pressure.1 Once achieved, the dislocated ray is stabilised with percutaneous K-wire(s) passed retrograde from the metacarpal base into the corresponding carpal bone. Oblique, intramedullary, transverse and cross wiring techniques have been described.5 The optimal positioning of K wires is crucial as stability must not be achieved at the compromise of free tendon free gliding.36 The safest corridor for pinning unstable fifth carpometacarpal injuries is 2 cm distal to the joint at an angle of 20–30 degrees to the coronal plane from 10 degrees volar to dorsal to 20 degrees dorsal to volar direction in the sagittal plane.36 In cases of isolated CMC dislocation, a single wire is often passed retrograde from the metacarpal to the corresponding carpal bone and a trans-metacarpal wire is then passed to the normal adjacent ray.5,37 In the case of complete dislocations, some authors advocate stabilization of the second and third CMC only3,5,37 as this is often sufficient to hold the reduction because of the integrity of the intermetacarpal ligaments.37 Use of multiple wires may give a stable construct, but suffers the effects of multiple K wires passing through these small joints, possibly skewering the tendons thus theoretically increasing risk of complications, most notably stiffness.38 Citing this complication with the use of multiple wires, some authors advocate for the use of the fewest necessary wires to minimise the intra-articular damage these wires may have on the small joints.

Figure 6 K wire stabilisation to hold reduction.

The optimum time for retention of the K-wires is varied in the literature. Periods of four to 12 months are reported. The average being 6 weeks. Emphasis is once again made of individualising care to the individual patient and to follow them closely. While risking re-dislocation, early removal has the potential benefit of reducing skin and tendon complications thus improving overall outcome.39 No specific complications have specifically been attributed to prolonged retention of the k-wires.3

This surgical approach using percutaneous K-wires is without complications. Some of the reported and theoretical disadvantages of closed reduction and K-wires stabilisation of dislocated CMC joints include non-anatomic reduction, difficulty in pinning small bone fragments, risk of tendon transfixion, post traumatic arthritis and persistent pain.1,3,5 Salvage treatment for mal-reduced dislocation include repeat closed reduction, open reduction and internal fixation with or without ligament repair, arthrodesis or “stabilised arthroplasty”.1,2,39

Open reduction and percutaneous/internal fixation

Open reduction(OR) is indicated when closed reduction is unsuccessful,40 this may be the case if there is significant delay in achieving reduction or failed reduction due to the presence of a physical obstruction from interposed soft tissue.1,2 35,40 Some authors advocate for an OR primarily5,41 as this aids inspection of the joint surfaces and surrounding structures as often a chondral lesion accompanies these dislocations. Debridement of chondral fragments can be carried out at the time of reduction minimising the chances of post-operative pain.42 Through an OR, reduction of the articular surfaces under direct vision will be precise thus ensuring a congruent joint.5,41,42 In cases of soft tissue interposition OR not only removes these ligaments from preventing a reduction, but may offer an opportunity to repair such ligaments and tendons thus restoring stability and overall function of the hand.5 An OR also helps with drainage of the hematoma associated with the initial injury.41 The dorsal approach is used in most cases of an open reduction whatever the nature of the displacement of the metacarpals.1,5,42 In cases of one or two metacarpals dislocating, then an incision centred on the dislocated rays is the most practical approach to reduce these joints. When compared to palmar incisions, the dorsal incisions give sufficient visibility with less chance of inadvertent intra-operative injuries to nerves, vessels and tendons.5,41 On the other hand, when compared with dorsal transverse incisions, the dorsal longitudinal incisions help preserve the dorsal venous network, thus making them more favourable.1,5,42

Arthrodesis and arthroplasty

The extent of the articular surface damage may be such that a primary arthrodesis may be the best treatment option, and this can be best appreciated with an open approach.1,5,42,45 When considering arthrodesis, preservation bone length is critical for the resultant function of the hand and all efforts possible should be made to preserve the length of the affected ray and therefore the working length of the extrinsics.43 The fourth and especially fifth CMC should undergo arthrodesis in slight flexion to maintain the curvature of the metacarpal arch.5,43,44,45 Dubert et al.39 described a “stabilised arthroplasty” for salvaging chronic dislocation of the CMC joints. Other forms of arthroplasty of the 5th CMC are available but reports are sparse in the literature.39

Rehabilitation

The patient, therapist and attending surgeon need to strike a balance between stability and mobility when managing patients after a CMC joint dislocation. Treatment is tailored to specific patient needs, dislocation pattern, presumed stability and mode of treatment. Use of outcome measures in rehabilitating these injuries have been advocated by Toemen et al.44 to ensure patients achieve optimal results. With or without surgery, there however is no consensus in the literature on the optimum period of immobilisation. Literature is awash with cases were splints are kept for as little as 4 weeks to as long as 12 weeks, with an average splintage time of 6 weeks. Pain free return to gainful employment and play involving gripping or hand contact is expected in nearly 90% of cases diagnosed and treated early.3

Conclusion

Vigilance in diagnosing CMC joint will help to avoid missing these uncommon but significant injuries. A systematic approach to the history, physical examination and interpretation of radiological investigations is integral at reaching the diagnosis. If in doubt, further imaging may be help but a high index of clinical suspicion should lead to such a well-informed decision. Once a diagnosis is established, an early, perhaps emergent reduction, stabilisation and rehabilitation are key to optimising the long-term function of the hand. Treatment is individualised with the aim to achieving full function of the hand at the end of the rehabilitation.

Compliance with ethical standards

No funding has been received in any form towards the production of this review. This article does not contain any studies with human participants or animals performed directly the authors.

Acknowledgment

None.

Conflicts of interest

The authors declare that they have no conflict of interest.

References

  1. Woon CYL, KC Chong, CO Low. Carpometacarpal joint dislocations of the index to small finger: Three cases and a review of the literature. Injury Extra Volume. 2006;37(12):466‒472.
  2. Henderson JJ, Arafa MA. Carpometacarpal dislocation: An easily missed diagnosis. J Bone and Joint Surgery Br. 1987;69(2):212‒214.
  3. Lawlis JF, Gunther SF. Carpometacarpal dislocations. J Bone and Joint Surgery Am. 1991;73(1):52‒58.
  4. El‒Shennawy M, Nakamura K, Patterson RM, et al. Three‒dimensional kinematic analysis of the second through fifth carpometacarpal joints. J Hand Surg Am. 2001;26(6):1030‒1035.
  5. P Chardel. Dislocations and Fracture Dislocations of the Carpometacarpal Joints of the Fingers and Thumb. Emergency Surgery of the Hand. 2000;6:829.
  6.  Sangole AP, Levin MF. Arches of the hand in reach to grasp. Journal of Biomechanics. 2008;41(4):829‒837.
  7. Waugh RL, Yancey Asa G. Carpometacarpal Dislocations: With Particular Reference to Simultaneous Dislocation of the Bases of the Fourth and Fifth Metacarpals. Journal of Bone & Joint Surgery Am. 1948;30(2):397‒404.
  8. Kumar S, Arora A, Jain AK, et al. Volar dislocation of multiple carpometacarpal joints: report of four cases. J Orthop Trauma. 1998;12(7):523‒526.
  9. De Beer J. Multiple carpometacarpal dislocations. J Hand Surg 14B. 1989.
  10. Cain JE, Shepler TR, Wilson MR. Hamatometacarpal fracture dislocation: classification& treatment. J Hand Surg. 1987;12(5 Pt 1):762‒767.
  11. Iqba MJ, Saleemi AJ. Indian Salutation Test in Acute Dorsal Carpometacarpal Joint Dislocation of the Ulnar Four Fingers. American Journal of Emergency Medicine. 2003;21(1):74‒76.
  12. Kumar R. Divergent fracture‒dislocation of the second carpometacarpal joint and the three ulnar carpometacarpal joints. J Hand Surgery Am. 2001;26:123‒129.
  13. Gore DR. Carpometacarpal dislocation producing compression of the deep branch of the ulnar nerve. J Bone Joint Surgery Am. 1971;53(7):1387‒1390.
  14. Fischer MR , Rogers LF , Hendrix RW , et al. Carpometacarpal dislocations. Critical Review Diagnostic Imaging. 1984;22(2):95‒126.
  15. Hodgson PD, Shewring DJ. The 'metacarpal cascade lines'; use in the diagnosis of dislocations of the carpometacarpal joints. J Hand Surg Eur. 2007;32(3):277‒281.
  16. Fisher MR, LF Rogers, RW Hendrix. Systematic approach to identifying fourth and fifth carpometacarpal joint dislocations. American Journal of Roentgenology. 1983;140(2):319‒324.
  17. Parkinson RW, Electricwala JT. Carpometacarpal dislocation: an aid to diagnosis. Injury. 1992;23(3):187‒188.
  18. Mcdonald LS, Paul G Shupe, Nathan Hammel, et al. The intermetacarpal angle screening test for ulnar‒sided carpometacarpal fracture‒dislocations. J Hand Surgery Am. 2012;37(9):1839‒1844.
  19. Potini VC, Gibson PD, Wu K, et al. A Novel Screening Technique for Ulnar‒Sided Carpometacarpal Dislocations. Orthopedics. 2017;40(2):e352‒e356.
  20. Junnila J. Multiple carpometacarpal joint dislocation. Am J Emerg Med. 2002;20(3):264‒265.
  21. Gurland M. Carpometacarpal joint injuries of the fingers. Hand Clinics. 1992;8(4):733‒744.
  22. Brewerton DA. A tangential radiographic projection for demonstrating involvement of metacarpal heads in rheumatoid arthritis. Br J Radiol. 1976;40(471):233.
  23. Bora FW. The treatment of injuries to the carpometacarpal joint of the little finger. J Bone Joint Surgery Am. 1974;56(7):1459‒1463.
  24. Fotiadou A, Patel A, Morgan T, et al. Wrist injuries in young adults: The diagnostic impact of CT and MRI. European Journal of Radiology. 2011;77(2)235‒239.
  25. Pullen D, Richardson M, McCullough, et al. Injuries to the ulnar CMC region: Are they being underdiagnosed? Australian and New Zealand Journal of Surgery. 1995;65(4):257‒261.
  26.  Biswas D, Bible JE, Bohan M, et al. Radiation exposure from musculoskeletal computerized tomographic scans. J Bone Joint Surgery Am. 2009;91(8):1882‒1889.
  27. Masquelet AC. À propos d'un cas de luxation antérieure des quatre derniers métacarpiens. Ann Chir Main. 1986;5:6366.
  28. Bajekal RA, PP Kotwal, D Menon. Closed volar dislocations of the four ulnar carpometacarpal joints. Injury. 1992;23(5):355‒356.
  29.  Jumeau H, Philippe Lechien, and Florence Dupriez. Conservative Treatment of Carpometacarpal Dislocation of the Three Last Fingers. Case Reports in Emergency Medicine. 2016:4962021.
  30.  Storken G, Bogie R, Jansen EJ. Acute ulnar carpometacarpal dislocations. Can it be treated conservatively? A review of four cases. Hand. 2011;6(4):420‒423.
  31.  Horneff JG, Park MJ, Steinberg DR. Acute closed dislocation of the second through fourth carpometacarpal joints: satisfactory treatment with closed reduction and immobilization. Hand. 2013;8(2):227‒231.
  32. Mueller JJ. Carpometacarpal dislocations: report of five cases and review of the literature. J Hand Surg. 1986;11(2):184‒188.
  33.  Ramirez Ruíz G, Combalía Aleu A, Valer Tito A, et al. Simultaneous subluxation of the metacarpophalangeal joints of all four fingers: A case report. The Journal of Hand Surgery. 1985;10(1):78‒80.
  34.  Zhang C, Wang H, Liang C, et al, The Effect of Timing on the Treatment and Outcome of Combined Fourth and Fifth Carpometacarpal Fracture Dislocations. J Hand Surg Am. 2015;40(11):2169‒2175.
  35. Junnila J. Multiple carpometacarpal joint dislocation. American Journal of Emergency Medicine. 2002;20(3):264‒265.
  36. Kamran Mozaffarian, Amir Reza Vosoughi, Arya Hedjazi, et al. The safest direction of percutaneous pinning for achieving firm fixing of the fifth carpometacarpal joint. J Orthopaedic Science. 2012;17(6):757‒762
  37. Breiting V. Simultaneous dislocation of the bases of the four ulnar metacarpals upon the last row of carpals. Hand. 1983;15(3):287‒289.
  38.  Cates RA, Rhee PC, Kakar S. Multiple Volar Carpometacarpal Dislocations: Case Report/Review of the Literature. J Wrist Surgery. 2016;5(3):236‒240.
  39. Dubert TP, Khalifa H. Stabilized arthroplasty for old fracture dislocations of the fifth carpometacarpal joint. Tech Hand Up Extrem Surg. 2009;13(3):134‒136.
  40. Gunther SF. The carpometacarpal joints. Orthopaedic Clin North Am. 1984;15(2):259‒277.
  41.  Pundkare GT, Patil AM. Carpometacarpal Joint Fracture Dislocation of Second to Fifth Finger. Clin Orthop Surg. 2015;7(4):430‒435.
  42. Cain JE, Shepler TR, Wilson MR. Hamatometacarpal fracturedislocation: classification and treatment. J Hand Surg. 1987;12(5 Pt 1):762‒767.
  43. Joseph RB, Linscheid RL, Dobyns JH, et al. Chronic sprains of the carpometacarpal joints. J Hand Surg. 1981;6(2):172180.
  44. Toemen A, Midgley R. Hand therapy management of metacarpal fractures: an evidence‒based patient pathway. Hand Therapy. 2010;15(4).
  45. Hanel DP. Primary Fusion of Fracture Dislocations of Central Carpometacarpal Joints. Clinical Orthopaedics & Related Research. 1996;327:85‒93.
Creative Commons Attribution License

©2017 Chikate, et al. This is an open access article distributed under the terms of the, which permits unrestricted use, distribution, and build upon your work non-commercially.