Submit manuscript...
MOJ
eISSN: 2374-6939

Orthopedics & Rheumatology

Case Report Volume 13 Issue 6

Atypical presentation of septic hip arthritis with tuberculosis

Mohammad K Alsaleem,1 Mohammed Almohammed Saleh,2 Mohammed S Alarbash3

1Consultant Arthroplasty Orthopedic Surgeon, King Fahad Hospital of Hofuf, Kingdom of Saudi
2Consultant Foot and Ankle Orthopedic Surgeon, King Fahad Hospital of Hofuf, Kingdom of Saudi
3Orthopedic residence, King Fahad Hospital of Hofuf, Kingdom of Saudi Arabia

Correspondence: Mohammed S Alarbash, Orthopedic residence, King Fahad Hospital of Hofuf, Kingdom of Saudi Arabia, Tel + 966509319691,

Received: November 09, 2021 | Published: November 22, 2021

Citation: Alsaleem MK, Saleh MA, Alarbash MS. Atypical presentation of septic hip arthritis with tuberculosis. MOJ Orthop Rheumatol. 2021;13(6):144-147. DOI: 10.15406/mojor.2021.13.00565

Download PDF

Abstract

Background: Mycobacterium tuberculosis is a rare form of septic arthritis, it remains the major cause of skeletal infection in developing area. Tuberculosis mainly involves the large weight- bearing joints particularly hips, knees and ankles. We describe one of the rarest cases of isolated tuberculosis septic hip without involvement of pulmonary and other extrapulmonary manifestations.

Case report: A 15 years old Saudi girl was referred to our hospital with compline of chronic hip pain not response to regular analgesia. The patient becomes unable to bear weight in which she uses a wheelchair. There is no history of trauma. She denied any history of fevers, chills, cough, weight loss, or pulmonary symptoms. There is no history of travel, no history of contact with sick people no history of contact with people who prove to be positive with tuberculosis. She receive all vaccines since birth.

Radiological investigation with Acid Fast Bacilli and TB PCR show tuberculosis septic hip. She underwent Arthrotomy and we start Anti TB medication.

Conclusion: This case shows the importance of constant care and methodical approach to help ease the early diagnosis of tuberculosis septic arthritis. In all cases of septic arthritis, especially when there is no obvious cause, tuberculosis should be suspected and maintained. Investigations should include a chest radiograph, tuberculin test, microscopy for acid-fast bacilli, and culture for Mycobacterium tuberculosis. And to minimize the delay of diagnosis, a synovial biopsy is suggested to be taken at the initial arthroscopic washout, and request histology.

Keywords: septic arthritis, tuberculosis, osteoarticular, hip joint

Abbreviations

TB, tuberculosis; AIDS, acquired immune deficiency syndrome; US, ultrasound

Introduction

Tuberculosis (TB) is considered a serious general wellbeing concern worldwide. According to the World Health Organization, there have been 10.4 million cases of TB and 1.67 million associated deaths in 2017. Even though TB most usually impacts the lungs, it can affect various other organs, otherwise known as extrapulmonary TB.1 The anatomic structures most commonly affected by extrapulmonary TB are the lymph nodes, pleura, bone and joints, urogenital tract, and meninges. Since extrapulmonary TB can impact any organ, it exhibits a wide range of clinical manifestations that pose different challenges to effective disease diagnosis and management. Generally, extrapulmonary TB affects people with diabetes and acquired immune deficiency syndrome (AIDS), as well as younger individuals under 15 years of age and adults above 65 years of age.1,2 Moreover, TB is considered a significant reason for skeletal disease in developing countries. Recently, there has been an increase in the number of TB cases in the developed world, which might be attributed to AIDS, immigration, or overuse of intravenous medications. This increase may be attributed to immunoregulation and possibly atypical mycobacteria. In general, skeletal TB represents 10%–35% of extrapulmonary TB cases and about 2% of all TB cases.3 Skeletal TB occurs as a result of the reactivation of Mycobacterium tuberculosis that has already reached the primary infectious site through the bloodstream. In cases of TB of the peripheral joints, the disease gets either from neighboring TB osteomyelitis, which splits into the joint space, or from cultivating the synovium straightforwardly through the circulatory system.4

Tuberculous septic arthritis is part of TB infections. Although the number of cases of tuberculous septic arthritis is minimal compared to other causes of septic arthritis, it can lead to joint damage and eventually disability for the patient. Tuberculous arthropathy is a musculoskeletal manifestation of TB and is considered a typical reason for irresistible joint pain in developing countries, although it is uncommon in developed areas.5 Primary skeletal muscle or joint involvement without coexisting active skeletal or extra-skeletal TB is extremely rare. Skeletal tubercular infections that do not involve the spine or large joints are infrequently encountered. Moreover, any pathological joint lesion for which the exact diagnosis is equivocal should be considered tubercular in origin unless proven otherwise.

Diagnosis of joint TB is often delayed because of the lack of awareness, insidious onset, lack of characteristic early radiographic findings, and often lack of constitutional or pulmonary involvement.5,6 The factors that are considered a high risk for acquiring TB include an immunocompromised host, a local joint, and bone tissue factors, such as trauma.4 In this article, we report one of the rarest cases of an adolescent who has been complaining from a chronic hip pain and inability to bear weight for several months and has been diagnosed with muscular pain in various hospitals. Our investigation shows an isolated primary septic TB hip without pulmonary or extrapulmonary manifestations.

Case

A 15-year-old Saudi female initially presented to the orthopedic clinic of King Fahad Hospital Hofuf, Saudi Arabia, with a several-month history of left-hip pain and inability to bear weight. The patient had made multiple visits to different hospitals and was diagnosed with muscular pain. Her pain, however, progressed over a year, and she reported that this pain increased while walking long distances and decreased while at rest. She also reported being unable to bear weight, which required her to use a wheelchair. The patient had no history of trauma, and she denied any history of fevers, chills, cough, weight loss, or pulmonary symptoms. She also had no history of travel, contact with sick individuals, or contact with individuals who have tested positive for TB. She had also received all of her vaccinations at birth, had no medical or surgical history, and had no significant family history.

On physical examination, the patient’s body mass index was around 40, and her vital signs were as follows: pulse rate, 80 bpm; respiratory rate, 16 breaths/min; and temperature, 37℃. The patient looked conscious, alert, and oriented, and her chest examination showed equal air entry with no added sound. Cardiovascular examination showed an S1-S2 status with no murmur.

Local examination of the pelvic area revealed tenderness in the left hip with minimal swelling but no open wound, change in color, or hotness. No obvious deformity was observed. A decreased range of motion (ROM) was observed in the left hip at flexion, extension, and internal/external rotation. Upon admission, the patient underwent several laboratory investigations, along with X-ray, computed tomography (CT), and magnetic resonance imaging (MRI) of the pelvic area. The findings of these investigations were as follows: white blood cell (WBC) count, 6.33; hemoglobin (Hb), 10.22 q/dL; platelets, 320; erythrocyte sedimentation rate (ESR), 99mm/hr; C-reactive protein (CRP), 19 mq/dl; Na, 137 mmol/L; K, 4.30 mmol/L, rheumatoid factor, less than 20; antinuclear antibodies, positive; sickle cell test, negative; Hb electrophoresis, negative; blood culture, negative; and urine culture, negative.

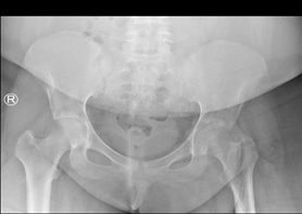
The X-ray test revealed focal cortical thickening involving the medial aspect of the femur’s proximal diaphysis, along with no definite fracture or bone lesion (Figure 1). The CT test revealed medial focal cortical thickening involving the proximal third of the femoral shaft (Figure 2).

Figure 1 X-ray pelvis with both hips anteroposterior view show focal cortical thickening involving the medial aspect of the proximal diaphysis of the femur, there is narrowing of the left hip joint. No definite fracture or bone lesion.

Figure 2 CT scan of the left hip and femur show a medial focal cortical thickening involving the proximal third of the femoral shaft with loss of joint space of the hip joint.

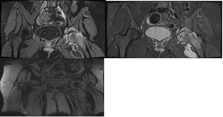
The MRI test revealed diffuse heterogeneous high-T2/low-T1 signal intensity involving the head and neck of the left femur and left acetabulum, with a surrounding thick synovium and enhancement postcontrast with joint effusion. Multiloculated high-T2-signal-intensity lesions were also observed medial and inferior to the left femur’s neck with ring enhancement, along with multiple reactive femoral lymph nodes. These findings are in line with septic arthritis of the left-hip joint (Figure 3).

Figure 3 MRI of the pelvic and proximal femurs show diffuse heterogeneous high T2 low T1 signal intensity involving the head and neck of the left femur as well as the left acetabulum with surrounding thick synovium with joint effusion. There are also multiloculated high T2 signal intensity lesions noted medial and inferior to the neck of the left femur with ring enhancement.

Given these findings, we concluded that this case is a septic hip, a case that has no typical presentation. Therefore, we decided to follow the US recommendations and perform aspiration. Synovial fluid analysis revealed 65% polymorphs, a WBC count of 16,500 cells/cumm, 35% monocytes, and negative Giemsa stain of the synovial fluid. Tissue and synovial fluid cultures also revealed a negative result (Figure 4).

Figure 4 The synovial fluid US guide aspiration has a color of red to yellow with opaque in clarity.

The patient underwent irrigation and debridement with arthrotomy of the left hip. Then, an incision was made in the left hip from the anterior half of the iliac crest to the anterior superior iliac spine (the Smith approach). The gap between the sartorius and tensor fasciae latae was identified, followed by dissection through the subcutaneous fat. The fascia was then incised on the medial side of the tensor fascia latae by identifying the plane between the rectus femoris and gluteus medius. Then, the rectus femoris and iliopsoas were retracted medially and the gluteus medius was retracted laterally to expose the hip capsule, followed by adduction and external rotation of the hip to place the capsule on the stretch to incise the capsule with a longitudinal or T-shaped. Next, all purulent fluid was removed, and the joint was irrigated. Figure 5 is an interoperative picture showing a necrotic, crispy-looking left femoral head. A medium amount of pus was washed from the joint capsule, and joint fluid and tissue were obtained for culture and histopathology, which showed negative results for bacterial and fungal infection. Then, acid-fast bacillus and TB PCR tests were performed, which showed positive results.  

Figure 5 Intraoperative finding shows necrotic tissue along with bone involving the femoral head. There is moderate amount of pus discharge from the capsule.

Anti-TB medication was immediately started after a positive culture, including rifampicin, isoniazid, pyrazinamide, and ethambutol. One week postoperatively, the patient started achieving a better active ROM at the affected hip and showed an improvement in some inflammatory markers (e.g., the ESR decreased to 25 mm/hr and the CRP decreased to 4 mq/dl). During the postoperative follow-up within sixth to twelve months, the patient showed a clinical improvement, wherein she tolerated ROM of the left hip and could walk without needing a wheelchair. 

Discussion

The case discussed in this article represents an important clinical issue. TB septic arthritis can occur without clear history of contact with patients who have tested positive for TB and even without clear history of travel to highly endemic areas. Moreover, patients may get infected while exposed to undiagnosed TB patients. However, this case represents an isolated primary septic TB hip without any pulmonary or extrapulmonary manifestations. In general, it is important to consider a septic TB joint diagnosis in any patient presenting with a picture of septic arthritis. Hip joints are an uncommon area of septic TB arthritis. In the recent literature, only a few cases with isolated TB of the hip and proximal femur have been reported. Musculoskeletal TB exhibits various clinical and radiological features and can mimic several other disease entities.7 Its primary symptoms are often minimal, and any delay in its diagnosis may lead to its exacerbation for months or even years until its progression and, hence, disability. Therefore, more aggressive diagnostic investigations are required. Constitutional symptoms, such as fever, night sweats, and weight loss, are typically mild or absent in patients with TB arthritis. The usual observation is monoarthritis accompanied by pain, stiffness, and gradual loss of function over weeks or months. However, septic arthritis involving TB should also be considered among the possible causes of infectious arthritis in patients with preexisting rheumatoid arthritis.5,7,8

Complete determination should be made using culture and histopathological examinations of the biopsy specimen. Radiographic abnormalities may emerge later through the course of the illness, even though the current imaging strategies have allowed earlier detection of anomalies and distinction of TB from other infections and neoplasms.3 The disease might be essentially synovial at first, with radiographic evidence of joint swelling resulting from a combination of synovial hypertrophy and effusion. Chronic synovitis leads to hyperemia and periarticular osteoporosis. The ordinarily sharp, subarticular cortical outline becomes blurred, smudged, or even invisible. Eventually, the destruction of the articular cartilage leads to the narrowing of the joint space.7,8 The Phemister triad is a radiographic feature of tuberculous arthritis involving juxta-articular osteoporosis, marginal erosions, and gradual joint space narrowing,8 linked to pyogenic joint infections, slight sclerosis, and qualified preservation of the joint space, supporting the diagnosis of tuberculous arthritis.

In 1988, Martini and Ouahes categorized the radiographic findings of TB of the bone and joint as follows:9

  1. Stage I: no bony lesions, with localized osteoporosis
  2. Stage II: one or more erosions (or cavities) in the bone, with separate diminution of the joint space
  3. Stage III: involvement and destruction of the whole joint without gross anatomic disorganization
  4. Stage IV: gross anatomic disorganization

Sung et al. pointed out that bone erosion is more usual in patients with tuberculous arthritis than in those with pyogenic arthritis. However, subchondral marrow signal intensity irregularity has been observed more regularly in patients with pyogenic arthritis than in those with tuberculous arthritis.3,4 Versveld and Solomon et al. highlighted the fact that cystic lesions in bone reproduce significant granulomatous lesions and that the material taken from this area for biopsy is more demonstrative of TB than that from the surrounding synovium, which may exhibit a nonspecific inflammatory response.3 After a diagnosis of TB is established, it is important to start a management plan immediately and to maintain this plan for a long time. In total, 90%–95% of the patients recover if treatment is started at the early stage. Several suggestions have been made to use surgical debridement in the case of severe effusion, severe pain, restriction of joint movement, or drug resistance.10 In general, the outcome of hip TB depends on the extent of the disease, and TB of the femoral head and neck may lead to various deformities.10,11

In the cases of septic TB mentioned above, the authors emphasized that any delay in the diagnosis makes surgical intervention needed. Such a delay may be due to the lack of pathognomonic findings specific for osteoarticular TB and the probability of it mimicking other acute and chronic diseases, such as malignant bone or soft-tissue tumors, pyogenic infections, and inflammatory arthritis.11 Regular follow-up using a protracted management course with both orthopedic and infectious diseases is obligatory to confirm treatment efficacy and recognize treatment failures or complications in their initial phases.12 Tuli et al.13 suggested insightfully regular weight bearing at four to six months of treatment and allowed unsupported weight bearing at 18 months to two years.13 We believe that early ambulation can be achieved after the pain diminishes and after it becomes possible to bear weight. Our planned rehabilitation program aims to enhance the patients’ confidence and activity level.

Conclusion

Isolated septic TB joint is considered a diagnostic challenge because of its rare presentation. Diagnosis is often delayed because of the lack of specific clinical and radiological signs and nonconfirmatory biopsy reports. Such a delay may further complicate the condition of the disease. As synovial fluid aspiration may not lead to a definitive diagnosis, bone biopsy and tissue culture should preferably be performed for histopathological examination. A high level of suspicion and inclusion of TB in the differential diagnosis of inflammatory arthritis are needed to achieve early diagnosis of the disease and, hence, appropriate treatment. Therefore, we recommend considering septic TB joint in the diagnosis of monoarthritis. In patients with antibiotic-resistant septic arthritis, acid-resistant staining and Mycobacterium culture should be performed. The most important step is to take tuberculous arthritis into consideration. Most patients with pyogenic TB arthritis improve with surgical arthrotomy.

Acknowledgments

None.

Conflicts of interest

All authors declare that there is no conflict of interest.

References

  1. Pang Y, An J, Shu W, et al. Epidemiology of extrapulmonary tuberculosis among inpatients, China, 2008–2017. Emerging infectious diseases. 2019;25(3):457.              
  2. Te Beek LA, Van Der Werf MJ, Richter C, et al. Extrapulmonary tuberculosis by nationality, The Netherlands, 1993–2001. Emerging infectious diseases. 2006;12(9):1375.
  3. Mohideen MAF, Rasool MN. Tuberculosis of the hip joint region in children. SA Orthopaedic Journal. 2013;12(1):38–43.
  4. Malaviya AN, Kotwal PP. Arthritis associated with tuberculosis. Best Practice & Research Clinical Rheumatology. 2003;17(2):319–343.
  5. Dojode CMR, Joseph G, Shah NN. A deceptive presentation of Tuberculosis hip as Staphylococcal infection, its successful management and literature review. Case Reports. 2018;2018:bcr-2018.
  6. Swarup MS, Bhatt S, Rawal R, et al. Tuberculosis, a great masquerader: A case series unveiling rare sites of musculoskeletal involvement through imaging. SA Journal of Radiology. 2020;24(1):1–6.
  7. Moriyama Y, Sono Y, Nishioka H. Tuberculous arthritis of the hip with Staphylococcus aureus superinfection. Journal of Infection and Chemotherapy. 2016;22(11):752–754.
  8. Hamijoyo Laniyati. Tuberculous arthritis: an overview. Indonesian Journal of Rheumatology. 2010;2(2).
  9. Martini M, Ouahes M. Bone and joint tuberculosis: a review of 652 cases. Orthopedics. 1988;11(6):861–866.
  10. Yazıcı A, Kayan G, Yaylacı S, et al. Tuberculous arthritis of the elbow joint: A case report. European journal of rheumatology. 2016;3(3):142.
  11. Natsis K, Grammatikopoulou D, Kokkinos P, et al. Isolated tuberculous arthritis of the ankle: a case report and review of the literature. Hippokratia. 2017;21(2):97.
  12. Carender CN, Akoh CC, Kowalski HR. Mycobacterium tuberculosis monoarthritis of the knee in children: A case report. The Iowa orthopaedic journal. 2018;38:17.
  13. Moon MS, Kim SS, Lee SR, et al. Tuberculosis of hip in children: A retrospective analysis. Indian journal of orthopaedics. 2012;46(2):191–199.
Creative Commons Attribution License

©2021 Alsaleem, et al. This is an open access article distributed under the terms of the, which permits unrestricted use, distribution, and build upon your work non-commercially.