Submit manuscript...
MOJ
eISSN: 2374-6939

Orthopedics & Rheumatology

Case Report Volume 12 Issue 6

Avulsion fracture of the lesser trochanter case report and systemic review

Ahmad N Bo-Eisa,1 Mohammed S Alarbash,2 Abdullah AL-Buhassah,2 Abdullah F Al Khars2

1Consultant Pediatric orthopedic Surgeon, King Fahad Hospital of Hofuf , Kingdom of Saudi Arabia
2Orthopedic Resident, King Fahad Hospital of Hofuf, Kingdom of Saudi Arabia

Correspondence: Mohammed Alarbash, Orthopedic resident, King Fahad Hospital Hofuf, Saudi Arabia, Tel 966509319691

Received: November 03, 2020 | Published: November 30, 2020

Citation: Bo-Eisa AN, Alarbash MS, AL-Buhassah A, et al. Avulsion fracture of the lesser trochanter case report and systemic review. MOJ Orthop Rheumatol. 2020;12(6):119-121. DOI: 10.15406/mojor.2020.12.00532

Download PDF

Abstract

Isolated avulsion lesser trochanteric fractures (LTF) are infrequent and happen mainly in adolescent athletes. LFT is a rare fracture the first case has been published by Schlueter et al. Avulsion fractures result when the fracture piece is pulled from its original bone by powerful contraction of a tendon or ligament. We report a case of boy patient with isolated avulsion fracture of the lesser trochanter confirmed by radiological investigation and patient underwent non-operative treatment. We present the first case diagnosed with LTF in our institution.

Keywords: lesser trochanteric, avulsion fracture, athlete

Abbreviations

LTF, lesser trochanteric fracture

Introduction

Avulsion fracture of lesser trochanteric consider as rare injury. It is representing less than 1% of hip injuries in the orthopedic surgeon's practice.1 Usually these types of fracture associated with sport activity particularly in young patient.2 Sport injury around the hip joint account for one in 10 patient's compline of hip pain predominately in young age. The commonest sites for avulsion fractures nearby hip are ischial tuberosity (avulsion of Hamstrings), anterior inferior iliac spine (avulsion of Rectus femoris), and anterior superior iliac spine (avulsion of Sartorius). Less commonly, the lesser trochanter.1,2 As it is rare the most common affected age from 7 to 16 years old, the predominant age at 14 years old.3

However, the insertion of the tendon to the cortex of the bone is stronger than that of the growth plate, the avulsion fracture caused by forceful muscle contraction. Force against resistance make the iliopsoas muscle to contract then avulse the lesser trochanteric.2,4 The symptoms associated with avulsion of lesser trochanteric fracture: pain at the region of groin with maxima tenderness usually occurred after sport activities, limitation of hip flexion and adduction, and difficulty in walking.3 The confirmatory diagnosis is made with Plain radiographs, in imaging you may found fracture fragment pulled medially and proximally by iliopsoas tendon insertion into the fragment (Table 1).3,5

Type 1

Non-displaced

Type 2

Displacement <2cm

Type 3

Displacement >2cm

Type 4

Symptomatic non-union or painful exostosis

Table 1 McKinney et al classified avulsion fractures according to displacement to guide surgical decisions.1

Regarding the treatment of avulsion fracture of lesser trochanteric is still a matter of debate. Most of the authors considered nonoperative treatment as the gold standard treatment. Consideration may be given to surgical fixation if the fragment is displaced for more than 20mm. The reported complications that might occur if the displacement is more than 20mm include nonunion, loss of muscle strength and potentially ischiofemoral impingement.2 Ruffing, Thomas, et al also suggested that surgical fixation can be consider if displacement is more then 20mm. This shows how is the subject still controversial.1

Case presentation

A 14 years old Saudi boy present to Emergency Department of King Fahad Hospital-Hufof with history sudden onset of right-side groin pain and inability to bear weight after sprinting during football practice. He experiences this when his right lower limp impact into another player with forcible extension of the hip. Patient could not bear weight on the affected limp and there was sever pain with movement of the right lower limp.

Clinically the patient was conscious, alert, oriented. Vitally stable. Local examination showed that there is no open wound, no deformity, no swelling. There was a localized tenderness at the medial side of the upper part of the right thigh. Patient can do passive movement with mild pain, but he could not do active movement of the right hip, especially flexion of the hip. Ludl-off sign was negative. Distal neurovascular status of the limb was normal.

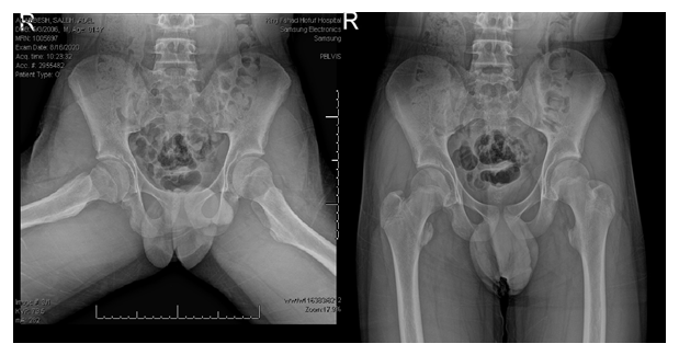
The anterior- posterior view of pelvis X ray show avulsion fracture of right lesser trochanteric (Figure 1 & 2). We suggested non-operative treatment for the patient which include analgesics and non-weight bearing for 4 weeks with use of axillary crutches followed by partial weight bearing as tolerated. The patient was discharged and was followed up regularly in clinic with repeat plane pelvic x-rays.

Figure 1 X-ray taking for the pelvis in anterior-posterior view shows displaced right isolated lesser trochanter fracture.

Figure 2X-ray taking for the pelvis in anterior-posterior view shows callus formation and complete healing of right lesser trochanter. (This x ray taking after 16 weeks of the time of injury).

Discussion

Lesser trochanter fracture is not a usual presentation of hip fracture.6 The first case of LFT was documented in 1925, the second case reported in 1932.7,8 It was documented that LTF has an association with malignancy and suspecting of malignancy increase if the LTF happen without history of trauma.9 LTF injury is most likely to occur as a sports-related trauma. Avulsion fractures typically occur during adolescence age.10

The treatment for avulsion LTF is individually tailored from being conservative with observation and follow up to surgical interventions whenever as needed. However, most of the LTF managed non-operatively with bed rest for 6 weeks, use of crutches, non-steroid anti-inflammatory treatment. Followed by tolerant weight bearing period for 6 weeks to 3months. Patient can return to sport activity after 4-5months of the time of injury

We report a case of LTF where the patient underwent bed rest for 6 weeks with use of axillary crutches. Pain was managed by anti-inflammatory medication. After 6 weeks of injury, patient start progressive weight bearing period. After 12 weeks of the injury, the patient was walking and running without limitation nor pain. After 16 weeks from the time of injury the x-ray shows complete healing of the fracture with formation of good callus. The patient returned to non- contact sport by 16 weeks and to full sport activities by 20 weeks.

The majority of patients with this kind of injury ultimately become asymptomatic and are competent to return to original occupation levels.10–12

In addition to that, we review all literatures that have been published in pap-med and Google scholar. Totals numbers of cases 22 patients from different nationality. Most of the papers have reported that the mechanism of injury is related to sport activity.1 However, there is only one case which was the cause related to rood traffic accident.6 On the other hand, the median age of LTF between 13 years to 15 years. Moreover, we found a case with age of 40 years this is mostly related to rood traffic accident.6 We found most of the studies report the conservative treatment is sufficient for patient return to sport activity. However, some studies reported few complications like non-union and chronic pain.2,13–15

Conclusion

The case and literature review presented here which offers evidence that the LTF is a rare fracture. Non-operative management has been the highest preferred treatment modality. Non- union or chronic pain would be the furthermost usual complications of non-operative management which may lead to surgical fixation or resection. We found out that the outcome non-operative treatment in minimally displaced avulsion that is less than 20mm is superior to the operative treatment. We recommend non-operative treatment for all LTF avulsion less than 20mm. we also recommend a period of non-weight bearing for 4 to 6 weeks followed by protected weight bearing with crutches for another 4 to 6 weeks. Return to sport in 16 to 20 weeks. We also recommend surgical fixation of large fragments that are displaced more than 20mm. More studies are needed to evaluate the outcome of surgical fixation and compare long- term outcomes with non-operative treatment.

Acknowledgments

None.

Conflicts of interest

The authors declare there are no conflicts of interest.

Funding

None.

References

  1. Thomas R, Rückauer T, Bludau F, et al. Avulsion fracture of the lesser trochanter in adolescents. Injury. 2018;4(7):1278–1281.
  2. Homma Y, Baba T, Ishii S, et al. Avulsion fracture of the lesser trochanter in a skeletally immature freestyle footballer. Journal of Pediatric Orthopaedics B. 2015;24(4):304–307.
  3. Leite ML, Temponi EF, Lazzarini RS. Lesser Trochanter Avulsion Fracture: A Case Report. MOJ Orthop Rheumatol. 2008;10(1):00375.
  4. Abeysekera WYM, Ubayawansa DHB, De Almeida M, et al. Avulsion fracture of the lesser trochanter apophysis. Sri Lanka Journal of Surgery. 2015;33(3):22–24.
  5. Dimon JH. Isolated fractures of the lesser trochanter of the femur. Clin Orthop Relat Res. 1972;82:144–148.
  6. Pritish Singh, Ashok Kumar, Vishal Shekhawat, et al. Nonpathological lesser trochanter fracture in adult: Case report and brief review of literature. J Clin Diagn Res. 2015;9(11):RD04–RD05.
  7. Schlueter SA. Avulsion of the lesser trochanter. JBJS. 1926;8(4):766–768.
  8. Ynqve K. A case of isolated fracture of the lesser trochanter. Acta Orthopaedica Scandinavica. 1932;2(1-4):160–165.
  9. Theologis TN, Epps H, Latz K, et al. Isolated fractures of the lesser trochanter in children. Injury. 1997;28(5-6):363–364.
  10. Mohamed H Grissa, Nasri Bzeouich, Makram Zrig, et al. Avulsion of the Lesser Trochanter Following a Shot Put Sport Session. Clin Pract Cases Emerg Med. 2017;1(2):87–88.
  11. Fernbach SK, Wilkinson RH. Avulsion injuries of the pelvis and proximal femur. AJR Am J Roentgenol. 1981;137(3):581–584.
  12. Eugenio Vazquez, Tommy Y Kim, Timothy P Young. Avulsion fracture of the lesser trochanter: an unusual cause of hip pain in an adolescent. CJEM. 2013;15(2):124–126.
  13. James G, John K. Avulsion fracture of the lesser trochanter in a preadolescent athlete. Journal of Pediatric Orthopaedics B. 1993;2(2):188–190.
  14. Yasuhiro Homma, Tomonori Baba, Seiya Ishii, et al. Avulsion fracture of the lesser trochanter in a skeletally immature freestyle footballer. J Pediatr Orthop B. 2015;24(4):304–307.
  15. Tabish Tahir, Qazi Waris Manzoor, Irfan Andleeb Gul, et al. Isolated Avulsion Fractures of Lesser Trochanter in Adolescents-A Case Series and Brief Literature Review. J Orthop Case Rep. 2019;9(1):11–14.
Creative Commons Attribution License

©2020 Bo-Eisa, et al. This is an open access article distributed under the terms of the, which permits unrestricted use, distribution, and build upon your work non-commercially.