Submit manuscript...
MOJ
eISSN: 2374-6939

Orthopedics & Rheumatology

Case Report Volume 14 Issue 5

Bone tuberculosis in calcaneus case report

Pedro I Carvallo, Luis Conde

Correspondence: Luis Conde, Specialist in Orthopedic Oncology, Hospital Oncology Services IVSS (Former Padre Machado Oncology Hospital),Venezuela

Received: August 19, 2022 | Published: September 7, 2022

Citation: Carvallo PI, Conde L. Bone tuberculosis in calcaneus case report. MOJ Orthop Rheumatol. 2022;14(5):113-115. DOI: 10.15406/mojor.2022.14.00589

Download PDF

Summary

Osteoarticular extrapulmonary tuberculosis is an infrequent entity (16%), with extra vertebral involvement being even more rare. We present a clinical case of a 68-year-old male patient, with systemic arterial hypertension and chronic kidney disease, who presented with pain in the left hindfoot of one year of evolution, that has evolved torpidly, worsening after infiltration with steroids, presenting volume increase, functional limitation and ulcerative lesion with purulent exudate on the medial side. It is evaluated clinically and with imaging studies by diverse physicians and surgeons. An open biopsy and bone culture were performed, reporting as diagnosis: Bone tuberculosis, superinfected, in left calcaneus. Surgical treatment was performed, and antituberculosis treatment was started, the patient evolved satisfactorily in the immediate postoperative period, recovering joint mobility, without pain and decreased hindfoot volume.

Keywords: tuberculosis, extra pulmonary tuberculosis, bone tuberculosis, extravertebral tuberculosis, calcaneal tuberculosis

Introduction

Tuberculosis is an endemic problem for public health worldwide, being difficult to diagnose in atypical, and drug resistance, mainly in patients immunosuppressed. Extra lungs presentation represented 16 % of the disease in 2019, affecting bones and joints in a low proportion among all infections.1

The most frequent extra lungs location happened at the vertebral bodies, meaning only 2 a 3% of the affectation; the disease also can be found at the knee and the hip joints. At the feet the calcaneus bone was affected most frequently.2,3 Clinically, TBC affectation of the calcaneus bone can be difficult to diagnose because the symptoms like pain, swelling, functional difficulties, can be associated to several other pathologies.

Clinical case

Male patient 68 years old, with history of controlled systemic hypertension and chronical kidney disease of 5 years of evolution (no needing dialysis), and serology for AID’s, hepatitis B and C, and VDRL negative. Environmental living conditions were adequate.

In November 2019, started feeling some mild pain at the hind foot without limitations for walking, asking for medical evaluation in December, being performed an infiltration with steroids (triamcinolone). After that, he presented some functional limitations, changing his walking pattern, being decided to send him to a rehab center where after some therapy sessions didn’t show any improvement, developing an ulcer at the medial aspect of his left hindfoot, which started producing a secretion of very bad aspect, and smelling very bad, starting antibiotic treatment in an empiric manner, reaching negative cultures by the month of march of 2020. Again, is evaluated by his treating doctor in November that same year, an MRI of his foot is performed, showing changes in its bony structure, affecting the cortical bone of the calcaneus, and an expanding growing of the lesion, being suggested a chronic neo proliferative growing vs. chronic infectious process.

The patient is referred to an orthopedic oncology surgeon, who after performing a physical examination reported finding palpable ganglia at the inguinal region of the left inferior limb, mobile, no painful; asking for x-rays, and a tomographic study of his left hindfoot, which depicted evident bone destruction, and expanding growth of the lesion of amorphic shape.

A needle biopsy (trucut) and culture of the sample is performed on the 11-18-2020, with results showing chronic granulomatous inflammation with multinucleated giant cells, focus of necrosis, an inflammation, probably due to infection, no discarding bony tuberculosis. On 12-07-2020, a positive response to PPD test (18 mm) is reported, and besides that the culture reports positive for Staphylococcus aureus, being diagnosed as: Bony tuberculosis of the left calcaneus bone, superinfected. Lab tests are performed not showing alterations, and on the chest, x-rays taken on 01-18-2021 depicted left pleural effusion without any respiratory symptoms.

On 01-21-2021 the patient is taken to the operating room, and a new sample is taken for biopsy and culture, apart from surgical cleaning and filling with polymethylmethacrylate (bone cement) prepared with antibiotics (gentamycin). Additionally, he started antituberculosis specific treatment with a satisfactory response after a short while, recovering mobility with no pain and diminution of the local swelling. After two months of treatment the patient died due to complications related to his disease.

Results

Toxicity

EtCNeem was shown to be toxic to A. salina nauplii (LC50=288.46μg/mL). Through the extract saponification, it was observed that none of the obtained fractions caused the mortality of 50% of the A. salina nauplii (LC50 > 1.000μg/mL), in addition to not being toxic in adult zebrafih within 96 h of analysis (LD50> 5.0 mg/mL). 

Antioxidant activity

F-EtOAc of EtCNeem showed higher antioxidant potential against DPPH (EC50 = 21.6 ± 0.07μg/mL). Pearson’s correlation coefficient (r) indicated that such antioxidant activity was correlated with the phenol (r = 0.4135) and flavonoid (r = 0.9924) contents in 41 % and 99 %, respectively. That is why this fraction was chosen for testing of anxiolytics. 

Discussion

For the clinician it becomes a challenge to make a diagnosis in a case like this. No existing typical characteristics of a patient with TBC, or facts related to the disease, nevertheless, among those cases of bony lesions in which we suspect a pseudo tumoral lesion, the explanation could be an extra lung skeletal TBC.4–6 This type of presentation of TBC is rare. Its pathogeny could be explained by hematogenous or lymphatic dissemination, or by direct inoculation. Only 27% of the patients suffer an active disease. In the adult population the axial skeleton and the pelvic bone are affected more frequently.7

The location of the disease in the feet, is more often seen in the young population and children, in which, through the hematogenous dissemination infiltrate the calcaneus bone, or any other bone of the midfoot. In this case the symptoms were inconsistent with the disease, and increased after the infiltration, like in the case published by Khan in 2015, and the description made by Giollot in 2013.8,9 It must be highlighted the importance of the multidisciplinary approach integrated by infectious doctors, orthopedic surgeons, and pathologists, making it possible to suspect about this entity, due to the pathology description, and other special studies practiced to the sample.

The image studies performed in a serial way, allow to observe the osteolytic process and the inflammatory response seen in those chronic cases. MRI, is especially useful in evaluating soft tissues, and the computed tomography, very much useful in evaluating bone destruction, worked together in these cases. It should be advice, the use of the bone scan, or PET-CT or virtual-PET, to discard polyarticular affectation. This entity is very often confused with other pathologies. Differential diagnosis has to be made with osteomyelitis, Paget’s disease, sarcomas and other pseudo tumoral lesions, which usually are the initial diagnosis, and TBC is a discard diagnosis. The adequate diagnosis is made late because of lack of pathognomonic findings (Figure 1 - 4).10

Figure 1 Thorax AP and Lateral.

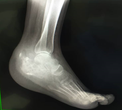
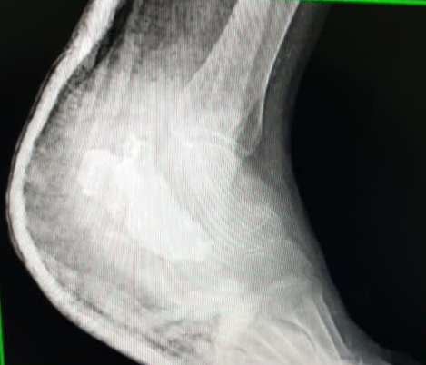
Figure 2 Both calcaneus x-ray in lateral 10-26-2019.

Figure 3 Lateral x-ray of the left foot. December 2020.

Figure 4 Post-op x-ray 01-22-2021.

Treatment in this case was proposed from the surgical point of view, due to it’s chronicity. There is no consensus about treatment of osteomyelitis of calcaneus, and even more difficult in cases like this with a chronic TBC affectation of this bone. Nevertheless, treatment is mainly medical, specific for the disease with satisfactory response, according to the literature. The prognosis depends on how well the patient follows the instructions, although the osteoarticular response is variable according to series published regarding the affected bone.11–14

Conclusion

Extra lungs TBC is a rare condition. The affectation of the calcaneus bone in this age group is uncommon. A multidisciplinary approach, discussion of the case, and the evaluation of the results allow the diagnosis and proper management, improving the prognosis in patients with this pathology. In chronic pseudotumoral entities with the presence of exudative fluid, with or without background for the disease, the diagnosis of extra lungs bony TBC, should always be considered, in order to avoid late diagnosis, preventing unreversible bony destruction.

Acknowledgments

None.

Conflicts of interest

The authors declare no conflicts of interest.

References

  1. Global tuberculosis report 2020. World Health Organization 2020. ISBN: 978-92-4-001313-1
  2. Culqui-Lévano D, Rodriguez-Valín E, Donado-Campos JM. Analysis of extrapulmonary tuberculosis in Spain: 2007-2012 National Study. Enferm Infecc Microbiol Clin. 2017;35(2):82–87.
  3. Yadav AK, G S PK, K S A, et al. Tuberculosis of Calcaneus - A Case Report and Review of Literature. J Orthop Case Rep. 2020;10(5):24–26.
  4. Palma J, Díaz E, Islas S, et al. Monoarticular tuberculosis of the wrist: a case report. Rev Chil Infectol. 2021;34(5):511–515.
  5. Eren Gök S, Kaptanoğlu E, Celikbaş A, et al. Vertebral osteomyelitis: clinical features and diagnosis. Clin Microbiol Infect. 2014;20(10):1055–1060.
  6. Magnussen A, Amirthanayagam T, Sofat R. Osteoarticular tuberculosis: The great mimicker still catches us out--a case report. Acta Orthop. 2016;87(1):83–84.
  7. Sari A, Dinçel YM, Erdogdu IH, et al. Tuberculosis osteomyelitis of the tibia mimicking Brodie abscess: A case report and review of the literature. SAGE Open Med Case Rep. 2019.
  8. Khan S, Stimec J, Kitai I. Nonresponding osteomyelitis in a two-year-old boy. CMAJ. 2015;187(12):901–904.
  9. Gillott E, Ray P. Tuberculosis of the calcaneum masquerading as Haglund's deformity: a rare case and brief literature review. BMJ Case Rep. 2013.
  10. Gursu S, Yildirim T, Ucpinar H, et al. Long-term follow-up results of foot and ankle tuberculosis in Turkey. J Foot Ankle Surg. 2014;53(5):557–561.
  11. Yadav AK, G S PK, K S A, et al. Tuberculosis of Calcaneus - A Case Report and Review of Literature. J Orthop Case Rep. 2020;10(5):24–26.
  12. Goossens SN, Sampson SL, Van Rie A. 2021. Mechanisms of drug-induced tolerance in Mycobacterium tuberculosis. Clin Microbiol Rev. 2020;34(1):e00141–e00120.
  13. Yi TI, Ha SA, Choe YR, et al. Calcaneal Osteomyelitis due to Non-tuberculous Mycobacteria: A Case Report. Ann Rehabil Med. 2016;40(1):172–176.
  14. Esteban J, Navas E. Treatment of infections caused by nontuberculous mycobacteria. Enfermedades Infecciosas y Microbiología Clínica. 2018;36(9):586–592.
Creative Commons Attribution License

©2022 Carvallo, et al. This is an open access article distributed under the terms of the, which permits unrestricted use, distribution, and build upon your work non-commercially.