Case Report Volume 11 Issue 5
1Department of Orthopaedic Surgery, Collage of Medicine, King Abdulaziz University, Kingdom of Saudi Arabia
2Division of Orthopaedic Surgery, Department of Surgery, McGill University, Canada
Correspondence: Amre Sami Hamdi, Assistant Professor, Department Head - Orthopedic Surgery, Collage of Medicine, King Abdulaziz University, Jeddah, Kingdom of Saudi Arabia, P.O Box 80215, Jeddah 21589, Kingdom of Saudi Arabia
Received: January 22, 2019 | Published: October 8, 2019
Citation: Ghalimah B, Hamdi A. Brucellosis of knee prosthesis: a case report and review of the literature. MOJ Orthop Rheumatol. 2019;11(5):169?172. DOI: 10.15406/mojor.2019.11.00496
Case: We report the case of a 73-year-old woman who developed Brucella a periprosthetic infection of the right knee following bilateral total knee arthroplasty. The infection was successfully treated with a course of antibiotics and revision surgery.
Conclusion: Brucella prosthetic joint infection is an uncommon condition that poses a diagnostic challenge due to its rarity and subtle clinical presentation.
Keywords: infection, brucellosis, joint replacement, arthroplasty, knee
Infection of joint implants after arthroplasty is a serious complication in orthopaedic surgery.1 These infections are usually caused by bacteria, which sometimes are difficult to eradicate and may cause the implant to loosen, requiring revision surgery.1 Brucellosis infection represents an important public health problem in many countries around the world.2 Until now, only seventeen cases of knee joint arthroplasty due to Brucella have been described in the English language medical literature.
We report an uncommon case of a 73-year-old woman who developed Brucella prosthetic infection of the right knee following an episode of brucellosis, which was treated two years ago with antibiotics before presenting with the knee infection.
The patient was a 73-year-old Saudi female who was treated for diabetes mellitus and hypertension. Her surgical history was remarkable for bilateral total knee replacement, which was performed 12years ago, a lumbar fusion surgery performed two years ago and a right total hip replacement performed a year ago. She presented to our hospital in November 2014 complaining of right knee pain and swelling of three months’ duration. She reported a history of on/off fever for more than six months associated with weight loss. She had contracted brucellosis infection two years prior to presentation after ingesting unpasteurized goat cheese. It was successfully treated with antibiotics: doxycycline for six months plus rifampicin and streptomycin for one year.
On general examination, she was vitally stable; systemic examination was unremarkable. Local examination showed right knee tenderness, swelling, and limited range of motion with no signs of hotness or redness and no visible sinuses or discharge.
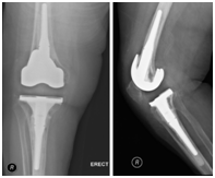
A provisional diagnosis was made for prosthetic joint infection (PJI) of the right knee and she was admitted for two-stage total knee replacement revision surgery. Her routine laboratory investigations were normal except for the erythrocyte sedimentation rate (112mm) and C-reactive protein level (44.3mg/L), which were both elevated. An analysis of knee synovial fluid aspirate indicated a normal white cell count and was negative for organisms after staining. Plain radiological investigations of the right knee showed signs of component loosening (Figure 1).
During the first-stage operation, the old prosthesis was removed and a spacer, which was filled with antibiotics, was inserted in its place. Intraoperative specimens were obtained from wound margins and sent for culture and histopathology. The results were positive for Brucella species.
The patient was started on antibiotic treatment with doxycycline for six months plus rifampicin and streptomycin for three weeks. After two months, the patient had a second-stage total knee replacement (Figure 2). After surgery, she was discharged on streptomycin and rifampicin. In her three-year follow-up, the patient was doing fine, she had a full 0 degree of right knee extension and 100 degrees of flexion, walks with a cane as a baseline after her spine surgery, and had no signs of prosthetic failure (Figure 3).
Prosthetic joint infections are the second most common cause of implant failure, leading to considerable morbidity and substantial health cost.3,4 The overall incidence of knee arthroplasty site infection between the second and tenth year after surgery is 2.3 per 1,000 joints annually.1,5 Specifically, the incidence of prosthetic failure due to infection is 2.5% for primary knee replacements and 5.6% for non-primary knee replacements.3,4
The most common cultured organisms associated with PJI are aerobic Gram-positive cocci, with the majority being Staphylococcus aureus, coagulase-negative staphylococci, and enterococci.2,3,5 Aerobic Gram-negative bacilli account for six percent of organisms that cause PJI, whereas anaerobes comprise four percent.5 Prosthetic joint infections of the knee due to Brucella are extremely rare, and the first case in the world was described in a Saudi woman in 1991, the patient had bilateral knee involvement, which was caused by direct spread from knee abscesses.1,2,6,7 Until now, only sixteen cases of knee joint arthroplasty due to brucellosis have been described in the English language medical literature. The characteristics of these cases and that of our patient are summarized in Table 1.
No. |
Gender |
Age (years) |
Unilateral or bilateral |
Diagnostic method |
Mode of transmission |
Year |
Country |
Reference |
1 |
Female |
24 |
Bilateral |
Culture of joint fluid aspirate |
Data not available. |
1989 |
Saudi Arabia |
Agarwal et al.10 |
2 |
Male |
74 |
Unilateral |
Data not available |
Data not available. |
1997 |
Greece |
Malizos et al.12 |
3 |
Male |
60 |
Unilateral |
Culture of joint fluid aspirate |
Contact with goats |
1997 |
Spain |
Orti et al.13 |
4 |
Male |
61 |
Unilateral |
Intra-operative cultures |
Non-pasteurized dairy products. |
2002 |
Israel |
Weil et al.5 |
5 |
Male |
67 |
Unilateral |
Culture of joint fluid aspirate. |
Non-pasteurized dairy products. |
2002 |
Israel |
Weil et al.5 |
6 |
Male |
68 |
Unilateral |
Culture of joint fluid aspirate. |
Data not available. |
2007 |
Italy |
Tassinari et al.1 |
7 |
Female |
65 |
Bilateral |
Synovial membrane biopsy. |
Non-pasteurized dairy products. |
2009 |
France |
Dauty et al.6 |
8 |
Female |
63 |
Unilateral |
Culture of joint fluid aspirate. |
Non-pasteurized dairy products. |
2010 |
Turkey |
Erdogan et al.11 |
10 |
Female |
68 |
Unilateral |
Intra-operative culture + joint fluid aspirate. |
Data not available. |
2016 |
Iran |
Jabalameli et al.17 |
11 |
Male |
62 |
Unilateral |
Culture of joint fluid aspirate. |
Data not available. |
2014 |
Turkey |
Karaaslan et al.16 |
12 |
Male |
79 |
Unilateral |
Intra-operative cultures. |
Contact with cattle |
2016 |
Israel/Argentina |
Klassov et al.18 |
13 |
Male |
51 |
Unilateral |
Culture of joint fluid aspirate. |
Contact with goats |
2016 |
Thailand |
Lewis et al.19 |
14 |
Male |
74 |
Unilateral |
Intra-operative cultures. |
Non-pasteurized dairy products. |
2006 |
Italy |
Marchese et al.14 |
15 |
Female |
65 |
Bilateral |
Culture of joint fluid aspirate. |
Data not available. |
2012 |
Turkey |
Oner et al.15 |
16 |
Male |
75 |
Unilateral |
Intra-operative culture + joint fluid aspirate. |
Non-pasteurized dairy products. |
2017 |
Turkey |
Domenica et al. |
17 |
Male |
28 |
Unilateral |
Culture of joint fluid aspirate. |
Non-pasteurized dairy products. |
2017 |
Iran |
Seyed et al. |
18 |
Male |
78 |
Unilateral |
Intra-operative cultures. |
Data not available. |
2016 |
Iran |
Sazegari et al.20 |
19 |
Female |
73 |
Unilateral |
Intra-operative cultures. |
Non-pasteurized dairy products. |
2018 |
Saudi Arabia |
Hamdi et al. |
Table 1 Summary of reported cases of prosthetic knee infection in the English literature
In this study, we report an uncommon case of a 73-year-old woman who developed Brucella infection of the right knee prosthesis following a history of brucellosis, which was treated two years ago with antibiotics. Brucellosis is a zoonotic disease caused by Gram-negative coccobacilli belonging to the genus Brucella.1,5,7 The infection can be either acute or chronic.5 Brucellosis is prevalent worldwide, but it is predominant in Mediterranean countries, Middle Eastern countries, India, South America and Central Asia. This report describes the second case of Brucella joint infection in the Kingdom of Saudi Arabia.1,7 Brucellosis bacteria infect different types of animals, such as goats, sheep and cows and can then be transmitted to humans through direct contact or by ingestion of contaminated animal products, which is the most common mode of transmission.1 As for our patient, she had a history of unpasteurized goat cheese ingestion in the past. The genus Brucella includes six different species of small Gram-negative bacteria, and only four of these can infect humans: Brucella melitensis, B. abortus, B. suis, and B. canis.1,8
Brucellosis is a systemic illness that can affect any organ in the body with nonspecific signs and symptoms, such as fever, headache, arthralgia, lymphadenopathy, mild splenomegaly, and hepatomegaly.5-9 Osteoarticular involvement is one of the most common complications in brucellosis and has been reported in 10–85% of the cases.1,5 At first, it affects large joints, including the sacroiliac, hip, and knee joints.1,5 The most common joint complication that has been reported in the literature is sacroiliitis; other reported conditions include bursitis, tenosynovitis, and osteomyelitis.1,5
Various risk factors can predispose patients to PJI such as extreme age, immunocompromised status, diabetes mellitus, obesity, rheumatoid arthritis, chronic steroid use, previous arthroplasty, and surgical site infection.3,4 Almost all the cases of knee PJI in Table 1 were known to have underlying chronic disease. The patient in the report by Agarwal et al.10 was known to have seropositive juvenile rheumatoid arthritis, whereas the patient in Erdogan et al.11 report was diabetic, similar to our patient, who, in addition, was hypertensive.
The pathogenesis of Brucella PJI is controversial.2,7,11 Brucella can survive in phagocytic cells, especially in those that cause disease recurrence, and is difficult to eradicate with antibiotics.8 The pathological mechanism is thought to be through late homogenous spread at the time of systemic infection, leading to colonization and establishment of infection on the knee prosthesis.3,7,8,9,11
The results of common laboratory investigations are usually normal because these organisms are slow-growing in nature and they may require a special medium and high levels of carbon dioxide, making the diagnosis even more challenging. The rarity of the infection and the non-specificity of the clinical presentation add to the difficulty in establishing the diagnosis.1,2,5,8,9 In the first reported case of Brucella prosthetic knee infection, the causative organism was identified from a knee aspirate, whereas the second case, in Greece, was diagnosed using blood cultures. In our patient, the diagnosis was confirmed after a specimen was obtained from wound debridement.6,7 Brucellosis should be suspected in persons living in endemic areas who present with symptoms suggestive of brucellosis.6,8
Radiographic studies, such X-rays and technetium or gadolinium bone scans, can be used in detecting prosthetic loosening, infection, or both.2,9 Weil et al.5 reported three cases of Brucella PJIs. In two of the cases, the infection developed after total knee replacement and knee radiographs revealed mild to severe bone loss and prosthetic loosening. The patient in our report had mild mechanical loosening of her knee prosthesis as shown on radiographic examination.
To the best of our knowledge, no treatment protocol has been developed for Brucella PJI. Further, no consensus has been reached on its management.2,7 Conservative management with antibiotics alone or in combination with surgical intervention was reported in the literature, with successful patient outcomes.7 Currently, the gold standard treatment of human brucellosis is that recommended by the World Health Organization (WHO, 1986). According to these guidelines, two regimens are recommended of either rifampicin for six weeks or streptomycin for two to three weeks. Both regimens also include concomitant administration of doxycycline for six weeks.2 Prosthetic revision as a surgical intervention should be performed in patients with evidence of component loosening.2,11 In the cases of the Saudi woman and Greek man, both were treated with antibiotic therapy alone and they achieved full recovery. In our patient, two-stage prosthetic revision surgeries were offered, followed by an antibiotic course, resulting in a cure after six months.
Brucella PJI is an unusual finding, but one that should be suspected in people living in endemic countries. Patients may present with nonspecific signs and symptoms and osteoarticular involvement. The condition might be challenging to diagnose due to the non-specificity of clinical signs and the rarity of the infection. No standard treatment has been established for its treatment and only a few therapeutic options are currently available, including antibiotic treatment alone or in combination with surgery. However, proper management and treatment of the infection might lead to a favorable outcome.
Informed consent was obtained through independent discussion with the patient for publication.
None.
The authors declare there are no conflicts of interest.
©2019 Ghalimah, et al. This is an open access article distributed under the terms of the, which permits unrestricted use, distribution, and build upon your work non-commercially.