Submit manuscript...
MOJ
eISSN: 2374-6939

Orthopedics & Rheumatology

Case Report Volume 4 Issue 6

Compressive Iliac Aneurysm: A Rare Case of Sciatic Nerve Palsy after Total Hip Replacement

Pedro Neves, Pedro Barreira, Pedro Serrano, Joaquim Ramos, Rafaela Coelho, RuiLemos A

Department of Orthopaedic Surgery, Centro Hospitalar do Porto, Portugal

Correspondence: Pedro Neves, Centro Hospitalar do Porto, Largo Professor Abel Salazar, 4099-001, Porto, Portugal, Tel +351 222 077 500

Received: December 21, 2015 | Published: May 9, 2016

Citation: Neves P, Barreira P, Serrano P, Ramos J, Coelho R, et al. (2016) Compressive Iliac Aneurysm: A Rare Case of Sciatic Nerve Palsy after Total Hip Replacement. MOJ Orthop Rheumatol 4(6): 00160. DOI: 10.15406/mojor.2016.04.00160

Download PDF

Abstract

 Introduction: Sciatic nerve injury is an aknowledged iatrogenic complication of total hip arthroplasty (THA), usually associated with posterior surgical approaches. Its temporal proximity with arthroplasty produce a positive causal relation between the two entities, but it is worth recalling that there may be other causes unrelated to arthroplastic procedure for neurological injury.

Case presentation: We present a case of a male patient, currently with 83yearsold, with left hip total replacement history. In 2004the patient underwent right femoral-popliteal bypass because of a popliteal thrombosed aneurysm. Right hip arthroplasty was repeatedly delayed until 2012, when he was successfully operated.
Six weeks after surgery, the patient had an episode of strong leg pain followed by paresthesia and reduction of ankle dorsiflexion strength. Electromyography was performed and showed highsciatic nerve injury. CT scan showed a mass exerting compressive effect on the sciatic notch.
Later was performed angio-CT scan which revealed aneurysm of the right internal iliac artery, being treated by endovascular approach. In later angiographic control was confirmed regression of the aneurysm. Currently the patient has no pain, but has not regained dorsiflexion capacity of the foot.

Discussion: This case alerts us to the need for complete clinical evaluation of the patient and the attention to differential diagnosis, before a situation of the sciatic nerve palsy.

Keywords: Sciatic neuropathy, Total hip replacement, Aneurysm

Introduction

The sciatic nerve injury is an acknowledged iatrogenic complication of total hip arthroplasty (THA),1,2 usually associated with posterior surgical approaches.

The incidence of this complication varies between 0.5 and 3%3 in most published series. There are several underlying causes, but in most situations it is difficult to accurately recognize the causative factor.4

Except for specific circumstances, most cases are expectantly managed. It is justified by the high rate of spontaneous recovery, (40 to 80% of partial to complete recovery),5,6 associated with little possibility of developing a productive therapeutic action in this situation.

The temporal proximity of neurological injury and arthroplasty produce a positive causal relation between the two entities, but it is worth recalling the importance of differential diagnoses.

Case presentation

We present a case that alerts us to the importance of the differential diagnosis and the complete clinical evaluation of patients.

It is a male patient, who is currently 83 years old, followed in outpatient orthopedics since 2002 because of bilateral coxarthrosis. In 2003 he underwent left total hip arthroplasty uncomplicated, with good functional outcome and regression of symptoms (Figure 1).

Figure 1 Pre-operative X-Ray.

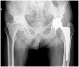
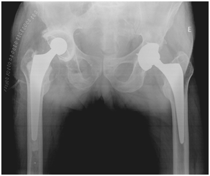
In 2004 while preparing for right THA, it was identified thrombosed aneurysm of the right popliteal artery in need of carrying out femoral-popliteal bypass. Because of this major vascular event, the right hip arthroplasty has been successively delayed until 2012. At this time, and after balancing the risks and benefits, was decided to perform a right cemented THA. The surgery and the postoperative elapsed normally without any adverse vascular, orthopedic or neurologic events (Figure 2).

Figure 2 Post-operative X-Ray.

About six weeks after surgery, the patient had an episode of strong leg pain followed by paresthesia and reduction of ankle dorsiflexion strength. Following this situation the patient was observed in physical medicine and rehabilitation consultation. On physical examination the patient had dorsiflexion strength of 2/5, 2/5 eversion, plantar flexion 4+/5 and inversion 4+/5. The patella and Achilles reflexes were symmetrical. The patient also stated an intense and constant neurogenic pain.

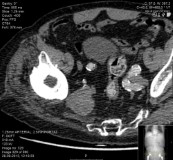
At this stage the neurological lesion was considered a complication of the arthroplastic procedure. Electromyography was performed and revealed a high injury of peroneal part of the sciatic nerve. The CT study showed a mass exerting compressive effect in the sciatic notch, which at first sight would be interpreted as surgical material.

During the clinical investigation there was worsening of motor deficits, and patient presented strength in dorsiflexion 1/5 and eversion 0/5, despite physiatric treatment.

Due to vascular background, it was requested observation by a vascular surgeon. Clinical evaluation in combination with a family history of serious vascular disease (several family members amputated) put the possibility that the identified mass was of vascular origin.

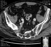
CT angiography (Figure 3) of the lower limb confirmed the aneurysmal origin of the sciatic nerve compression lesion with origin on the right internal iliac artery. It was completely occluded with a thrombosed aneurysm with approximately 4x5cm.

Figure 3 CT- angiography showing right internal iliac artery aneurysm.

It was performed the aneurysm surgical treatment by angiography with no complications. Two months after, regression of aneurysm has been confirmed remaining stable thereafter.

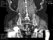
Currently the patient presents without neurogenic pain, not having yet recovered dorsiflexion capacity and eversion of the foot, maintaining strength in dorsiflexion and eversion of 1/5. The patient will be evaluated over time, not being able yet to predict the regression of the lesion (Figure 4-6).

Figure 4 Iliac aneurysm.

Figure 5 Right iliac aneurysm.

Figure 6 Sacral roots.

Discussion

The sciatic nerve injury associated with hip arthroplasty is a well-known complication. The frequency of this iatrogenic injury in this context, leads the surgeon and the whole therapeutic group to an immediately intuitive and causal reasoning but, as in the case described above, it can be precipitated and incorrect.

The progressive medical and surgical specialization is occasionally limiting, leading to a narrowing in the range of explanatory possibilities for a phenomenon apparently well known, and that only in appearance does not require additional investigation.

Acknowledgment

None.

Conflicts of interest

None.

References

Creative Commons Attribution License

©2016 Neves, et al. This is an open access article distributed under the terms of the, which permits unrestricted use, distribution, and build upon your work non-commercially.