Review Article Volume 15 Issue 5
Dra. en Odontología UDELAR, Especialista en Ortopedia y Ortodoncia DF IUCEDDU, Uruguay
Correspondence: Jessica Lambrechts Charreau, Dra. en Odontología UDELAR, Especialista en Ortopedia y Ortodoncia DF IUCEDDU, Uruguay
Received: June 30, 2023 | Published: September 7, 2023
Citation: Charreau JL. Distal mandibular position treatment in adolescence: use of twin blocks. MOJ Orthop Rheumatol. 2023;15(5):172-180. DOI: 10.15406/mojor.2023.15.00641
Class II malocclusion was described by Angle, a classification based on the discrepancy in the anteroposterior direction. From the therapeutic point of view, Class II malocclusion due to mandibular retrusion has been approached with different treatments. Twin blocks are functional appliances that reposition the mandible and redirect occlusal forces. A clinical case of a young Class II patient with mandibular distoposition using Twin Blocks is developed. It will be confirmed if the principles and objectives developed by Clark are evident in our patients.
Keywords: malocclusion, esthetic, Class II, mandibular retrusion, twin blocks
The various malocclusions can affect the orofacial functions, esthetics, and social behavior of patients. In the case of Class II patients, they are characterized by maxillary protrusion, mandibular retrusion or both. Class II malocclusion was described by Angle as the result of a classification based on the discrepancy in the anteroposterior direction, where the lower molar is distally related to the upper molar. Seventy percent of individuals with this malocclusion manifest mandibular deficiency.1,2 For this reason, different orthopedic propulsive appliances that reposition the mandible by means of sagittal forces have been proposed and have proven to be effective in the correction of this malocclusion.
From the therapeutic point of view, Class II malocclusion due to mandibular retrusion has been approached with different treatments such as functional appliances, orthodontics or surgical treatments, which are applied depending on the etiology and the age at the beginning of the treatment. In the case of young growing patients, the appliances of choice have been functional appliances, some fixed and others removable. They are designed to alter the mandibular position in the sagittal, vertical and transversal planes (mandibular V-shaped growth and lower intercanine, obtaining as a result skeletal, dental, functional and esthetic changes. There is scientific evidence indicating that in patients in the growth phase mandibular growth can be increased.2–5
This monograph shows clinical cases solved with the twin-block technique in young patients in whom growth had not yet been completed. Carpal radiographs were taken to verify this fact. This therapy was developed by the Scottish doctor William Clark during the 1980s. These appliances reposition the mandible and redirect the occlusal forces. They are built in a protrusive bite that allows to effectively modify the occlusal plane by means of inclined acrylic planes placed on the occlusal bite blocks.6
Currently, facial esthetics is highly valued by society in general and our profession in particular, therefore, we must keep in mind the therapeutic options we have to treat Class II malocclusions and their effect on the patient's profile. With the use of twin blocks, excellent results are achieved in the treatment of class II with mandibular retrusion in relatively short periods of time, achieving more harmonious profiles for the patient.
Mandibular growth and development
The mandible is formed by intramembranous ossification, but develops secondary cartilages that differ from the primary cartilages in their embryological origin, histological organization and mode of growth regulation. Thus, initial ossification is membranous, but later in development endochondral ossification centers are added. Both processes involve an initial condensation of mesenchymal tissue and formation of calcified bone. Membranous ossification is done directly, whereas endochondral ossification incorporates an intermediate step in which cartilage regulates the growth and pattern of bone development.7
Development of the mandible begins in two membranous ossification centers in the mesenchyme of the mandibular process at 7 weeks of development. It begins in the vicinity of the angle formed by the branches of the mental and inferior alveolar nerves as they separate from the mandibular nerve. Initially, a bony semi-ring forms around the nerve and artery and the bony trabeculae extend backward and forward. Thus, the developing bone of the mandibular body has the appearance of an upwardly open canal in which the neurovascular bundle and tooth germs are lodged. As ossification progresses, the mandibular cartilage, which guides this process, involute, except in its distal part where it ossifies to form the hamate and stapedius bones and in its medial end where it undergoes endochondral ossification at the level of the canine region The endochondral ossification of this area has similar characteristics to that which exists in the base of the skull and in the growth plates and articular cartilages of the long bones.8
This whole process is regulated by growth hormone (GH) and FGF-3 among others. Four secondary cartilages, not derived from the mandibular cartilage, influence the growth of the mandible. They appear in the condylar region, in the coronoid process, in the angle of the mandible and in the intermediate suture (mandibular symphysis). In contrast to the cartilages of the long bones and those of the skull base, the secondary cartilages of the mandible are derived from periosteal cells that are related to the adjacent jaw bone and are formed away from the mandibular cartilage (Meckel's).
According to Rabie, local mechanical factors and muscle activity strongly influence condylar cartilage growth.9 (3). Severe restriction of jaw movement due to intermaxillary fixation results in progressive loss of hypertrophic chondrocytes, reduction of the proteoglycan content of the matrix, reduction of cartilage thickness and transformation of cartilage to bone. These changes are reversible when the mandible is mobilized. Experimental evidence in animals has shown that the size and shape of the mandible is affected by resection of different masticatory muscles, including suprahyoid muscles. Similarly, a soft diet that decreases muscle work or uni- or bilateral condylectomy has the same effect on mandibular growth.9
For Planas, the starting point of neural excitation of the development of the stomatognathic system is found in the posterior part of the TMJ, since it functions from birth, in the absence of teeth and without the excitation they produce. The first excitation occurs with the movement of the TMJ during the physiological act of suckling. During suckling, the sliding movement and postero anterior traction of the meniscus is performed simultaneously producing a developmental response in toto, but from the moment chewing begins, only the swinging side is excited producing a developmental response of the mandibular half of this side. For example, left unilateral chewing provides an excitation that will have as a response the postero anterior development of the right mandibular side and the outward and forward development of the left maxilla. And if we are in a normal case, in an alternated unilateral chewing with the same effort and time, the growth will be symmetrical. In this way our system develops postero anteriorly and transversely, but let us not forget that for these phenomena to occur there must be an occlusal equilibrium with extensive lateral movements (not centric tapping). The excitation is received and transmitted through the paradontal innervations and the tractions of the articular meniscus, only if there is such equilibrium and occlusal rubbing there will be a developmental response. If the mandible only develops opening and closing movements, we will not obtain widening or development.
According to Planas, the movement of mandibular laterality and occlusal rubbing is essential for normal phenotypic development.10 During mandibular growth there are several growth peaks that occur at the same time as general growth. The last growth peak (circumpuberal) occurs close to puberty and is not necessarily related to chronological age, although some authors associate it with an average age of 11 to 12 years in females and 14 to 15 years in males. This last growth peak is the period of maximum acceleration of bone development and coincides with the appearance of secondary sexual characteristics. The mandible continues to lengthen 2 years after the maxilla slows its growth and on average grows a total of 24 to 33.5 mm.11 The growth potential between males and females differs in that males have a greater growth potential than females between the ages of 10 and 14 years. Males tend to have a straight or more protrusive facial profile while females show a more convex profile.12
Growth pattern in class ii patients
Facial growth is a phenomenon that requires close morphogenic interrelationships between all its growing, changing and functioning hard or soft tissue parts. No element is self-sufficient and independent in terms of development; this is a fundamental and very important principle of growth. As emphasized, the process of growth is directed towards a continuous state of composite structural and functional equilibrium; however, the evolutionary plan of the human head is such that certain regional "imbalances" are unavoidable and normal; for example, the links established by variations in cephalic shape, differences between males and females, etc. As a reaction, the phenomenon of growth presents certain regional imbalances, all of which serve to make adjustments to correct the other imbalances. The Class I face is an ordinary result in which the basic factors that otherwise cause exaggerated Class II or III malocclusion are still present but which growth itself "compensates", that is, the imbalances are offset, with the net effect of an overall composite "balance".13
In the class 2 individual, the lower arch is short with respect to the upper arch (Figure 1).13 The middle cranial fossa of the class II subject presents anterior alignment with descending inclination. In the class III patient this fossa is aligned backwards and upwards, this places the naso maxillary complex in a more retrusive direction in the class III subject and in a more protrusive way in a class II subject; it also favors mandibular rotations.
In the Class II patient, the naso maxillary complex is either long in the vertical direction relative to the vertical dimension of the ramus or the ramus is short in its attachment to the maxilla. The long midfacial area, together with a descending and anterior alignment of the middle cranial fossa, produces downward and posterior rotational alignment of the ramus in the Class II person.
The class II face sometimes presents a pronounced angle in the mandibular plane, therefore, it looks similar to the downward inclined mandibular body of certain class III faces, but the fundamental reasons are different. In class II, it is a rotation by displacement of the whole mandible, in class III a rotation by remodeling of the ramus to the body. The former is linked to a long midfacial portion and the latter to a short midfacial area.13 In class II individuals dolichomorphism is frequent. Therefore, the anterior cranial fossa is long and narrow. As is the pattern for the naso maxillary complex, the palate and upper arch are elongated and narrow.
The angle between the branch and the body is narrower in class II. In the Class II face the nasal region is the one that is noted to be somewhat elongated in the vertical direction, with much shorter looking vertical depth in the chin region, however, many Class II individuals exhibit a very sloping mandibular plane that produces an elongated but retrusive appearance in the anterior facial portion. This occurs when the upward and backward rotation of the entire mandible (due to the Class II relationship described between a long face, short ramus and open middle cranial fossa) is not concomitant with a closing of the gonial angle. Often a deeper compensatory curve of Spee is noted.
The combination of these features favors the joint skeletal foundation for mandibular retrusion for the Class II patient and prognathism in the Class III patient. As explained; these are compensatory features that partially counteract the other features that combine to form mandibular retrusion and protrusion. Consequently, the resulting malocclusions are less accentuated than they would be if the ramus in each had a "normal" dimension.
Therefore, most Class II individuals have a short mandibular body horizontally, a long naso maxillary complex vertically, a downward and backward aligned ramus, anterior alignment of the middle cranial fossa, a closed angle between the ramus and the body (gonion) and in exaggerated malocclusions a narrow ramus and a wide middle cranial fossa horizontally.
Every person has a natural predisposition towards mandibular retrusion or protrusion. In a certain way, there is no such thing as pure Class I. All Class I people have a tendency towards malocclusion. Most long-faced, narrow-faced Caucasian Class I individuals exhibit the same basic facial and cranial features present in Caucasian Class II subjects. The same approximate 70% of the various retrusive mandibular relationships described also occur in the Class I individual. This is the reason that a Class II tendency is often present to a greater or lesser degree. However, the difference between Class I and II malocclusion is the magnitude of the imbalances, as well as the amount and extent of the neutralizing features.
Classification of malocclusions
The first orthodontic classification of malocclusion was presented by Edward Angle in 1899, which is important to this day, since it is simple, practical and offers an immediate vision of the type of malocclusion to which it refers.
There are 3 different positions that teeth with malocclusion can occupy, which are: Class I, Class II, Class III (Figure 2).
These classes are based on the mesiodistal relationships of the teeth, dental arches and jaws, which depend primarily on the mesiodistal positions assumed by the first permanent molars in their eruption and occlusion. Angle considered primarily in the diagnosis of malocclusion the mesiodistal relationships of the jaws and dental arches indicated by the relationship of the upper and lower first permanent molars, and secondarily by the individual positions of the teeth with respect to the line of occlusion.
This classification has limitations, which are:
- It does not classify in the vertical or transverse planes.
- There may be a class 1 molar with a class II or III growth pattern.
- In the mixed dentition there may be a straight plane at the level of the first permanent molars, which adjusts at the completion of the eruption of the permanent teeth.
In 1960, Ackerman and Proffit, via a Venn diagram, formalized a system of informal additions to Angle's classification, identifying five major features of malocclusion that should be considered. Specifically, it includes an evolution of crowding and symmetry of the dental arches and includes an evolution of incisive protrusion and recognizes the relationship between protrusion and crowding, as well as consideration of the planes of anteroposterior, vertical and transverse space and skeletal proportions in each plane.14
Classification of class II malocclusions
Class II is defined according to Edward Angle, by the sagittal relationship between the upper and lower first molars where the mesio vestibular sulcus of the lower first molar is distal to the mesio vestibular cusp of the upper first molar.
In addition, within class II there are two varieties:
When molar class II is unilateral, it is referred to as class II subdivision, either right or left.
It is very important to identify the dysplastic sagittal skeletal relationships of both jaws with each other and with the skull base, and also to study if there is also a vertical dysplasia of the lower upper jaw or both. Often transverse discrepancies can be added. Therefore, we can find variations within class II as listed below:
The severity of malocclusion is determined not only by quantifying the convexity but also by determining the number of planes affected. Class II (sagittal plane) can occur in meso, brachy or dolichofacial patients, with open bite or overbite (vertical plane) and in turn in symmetric or asymmetric patients with decreased transversal dimensions in general (transverse plane) the more planes affected the more severe the malocclusion.
Class II malocclusion is not an isolated clinical entity, but occurs as a result of combinations of skeletal and dental components. In a cephalometric study James A Mc Namara Jr evaluated the relative frequency of certain components that identify this clinical entity in order to evaluate therapeutic means. He concluded that skeletal mandibular retrusion was the most common feature. In most cases the position of the maxilla was neutral, and in those where it was abnormal, it tended to be more retrusive than protrusive. In patients with increased lower facial height and mandibular plane, both the upper and lower jaws were found to be retrusive with respect to the cranial base structures. A wide variation in the vertical component was also noted, showing that between one third and one half of the sample presented an increase in the vertical facial dimension and only 10% presented a short anterior facial height. When analyzing the upper incisors and eliminating the influence of the mandibular position in the measurement, almost half of the individuals with class II presented these pieces in normal position while 30% were retrusive. As for the lower incisors only 15% were in protrusive position and 20% were retruded.1 (10)
Cephalometric characteristics in class II patients
The natural mandibular growth of 90% of the patients with a class II division 1 malocclusion is such that an anterior rotation of the mandible is produced, which, being due to natural growth, is favorable for the patient's treatment. Self-correction is manifested cephalometrically by a gradual reduction of the ANB angle, but in severe facial colic patients, orthognathic surgery may be required.
In the class II patient, the posterior and anterior cranial base is increased, which causes a more advanced maxilla and a more retro positioned or retrognathic mandible. According to Ricketts' cephalometric analysis, the facial axis angle of the class II patient is decreased, so the mandible is more retrognathic and the BaN-A angle is increased; therefore, the maxilla is more protruded. The growth of point A forward and downward is almost 0.8 to 1mm, as well as point N grows forward and upward approximately 0.8 to 1mm per year, being the angle (Ba-N-A) a constant of growth.
In a class II division 1 patient, the length of the anterior part of the cranial base is increased, which contributes to the protrusion of the midface, while the lengthening of the posterior part will tend to place the temporomandibular joint more retrusively (characterized by a dolichofacial or brachyfacial biotype). When performing the Ricketts cephalometric analysis, it is observed that the facial depth angle is decreased, while the maxillary depth angle, facial convexity and lower facial height are increased. A deficient vertical development of the mandibular ramus can also be seen. The functional occlusal plane is inclined.
Occlusal inclined plane
The occlusal inclined plane is the fundamental functional mechanism of the natural dentition.15 The cuspid inclined planes play a very important role in establishing the relationships between the teeth in erupting occlusion.
If the mandible is related distally to the maxilla, the occlusal forces acting on the lower teeth during normal function produce a distal component unfavorable to normal anterior development of the mandible. The inclined planes formed by the cusps of the upper and lower teeth represent a servomechanism that locks the lower jaw in a functional position of distal occlusion.
The inclined planes of the twin blocks produce a functional correction of the malocclusion thanks to the transmission of the favorable occlusal forces to the inclined planes covering the posterior teeth. The occlusal forces are used to correct the malocclusion. The lower jaw is directed forward by the artificial occlusal inclined plane of the appliance (Figure 3).
Proprioceptive stimulus to growth
Repeated tactile stimuli with neurological control establish functional balance. Occlusal forces transmitted through the dentition provide a constant proprioceptive stimulus that influences the rate of growth and the trabecular structure of the supporting bone (growth mediated by muscles, tendons, fasciae and ligaments). Malocclusion is accompanied by interarch discrepancies due to underlying skeletal and tissue factors, resulting in unfavorable cuspid orientation and defective occlusal function. The proprioceptive sensory feedback mechanism controls muscle activity and represents a functional stimulus or impediment to the full expression of mandibular bony growth. Unfavorable cuspid contacts of the distal occlusion represent an obstacle to normal anterior displacement of the lower jaw during function, thereby preventing the lower jaw from developing its optimal growth potential.15
Facial and soft tissue changes
Class II division 1 is characterized by increased protrusion and pro-inclination of the upper incisors, in which the bite is likely to be deep; the retrognathic profile and excessive overjet require the facial muscles and tongue to adapt to abnormal contraction patterns. Typically there is an overactive mentonian muscle, which contracts intensively to elevate the orbicularis oris and effect the lip seal, with a hypotonic upper lip and hypertonic lower lip. The usual posture in the most severe cases is with the upper incisors resting on the lower lip.16
According to Clark "...in all patients the facial appearance improves very rapidly, even during the first few months of treatment...", and they demonstrate the effectiveness of the twin-block appliance. Illing and collaborators carried out a study in 47 patients treated in 3 groups with 3 functional appliances: Bass, bionator and twin blocks. In this research, the group treated with the latter presented greater facial changes, one of the most significant effects found was the forward movement of the chin with the consequent correction of the profile, in a period of 9 months. The reduction of the overjet and the better lip closure achieved with the twin block treatment are also highlighted in this research.17
The nasolabial angle increased as a consequence of the lingualization that occurs in the upper incisors. These variations coincide with Clark's statement "...the lips act as a labial bow and their pressure allows effective straightening of the upper incisors".
In a cross-sectional descriptive study at the Faculty of Stomatology of the Higher Institute of Medical Sciences of Havana, it was concluded that the variations produced after 6 months of use of the appliance were favorable in all the parameters evaluated. Most of the patients who presented a convex profile achieved a straight profile. Functional bilabial closure was obtained in 92.31 % of the patients. The nasolabial angle was significantly increased and the lower lip was significantly protruded. The following tables show the results of this study (Table 1 & 2).16
|
Parameters |
Home |
6 months |
Value of p |
||
|
Media |
± of |
Media |
±de |
||
|
< naso-labial |
108 |
11.34 |
111.69 |
9.69 |
p<0.001 |
|
Lip protrusion |
0.26 |
2.86 |
1.03 |
3.19 |
p<0.001 |
Table 1 Percentage of patients according to facial clinical characteristics at baseline and at 6 months of treatment
|
Facial characteristics |
Home (N=13) |
6 months (N=13) |
|
||
|
N |
% |
N |
% |
|
|
|
Profile |
Straight |
1 |
7.69 |
12 |
92.31 |
|
Convex |
12 |
92.31 |
1 |
7.69 |
|
|
Bilabial closure |
Competent |
5 |
38.46 |
12 |
92.31 |
|
Incompetent |
8 |
61.54 |
1 |
7.69 |
|
Table 2 Cephalometric changes of soft tissues treated with twin blocks.
Cephalometric and occlusal changes
Coth and Mc Namara Jr evaluated twin block patients and observed that there was a significant decrease in overbite and overjet in the treated groups compared to the untreated groups, mandibular length and anterior facial height increased more in the treated groups than the control groups. In a descriptive transversal study carried out in Cuba, it was obtained that the protrusion decreased significantly from 9.4mm to 2.95mm and the obervite had a similar variation reducing its mean to 2.9 mm, which constitutes a statistically significant change. When analyzing the changes achieved in the transversal relation of the arches, there was an increase in the distance between the central fossae of the premolars and upper first molars. Regarding the cephalometric skeletal measurements, a slight decrease in the SNA angle was observed. The SNB angle showed an increase in its initial value from 75 to 77.5° thus improving the intermaxillary relation as indicated by the behavior of the ANB angle which decreased.16
Illing and collaborators in a comparative analysis with three functional appliances: Bass, Bionator and twin blocks conclude that the latter is the most effective in correcting the intermaxillary relationship followed by the Bionator (by decreasing the ANB angle).17 After treatment with the functional appliances, a relocation of point B and the pogonion was observed, as well as an increase in mandibular length (3.3±2.6 mm). The following image shows a plot of the average growth obtained after 9 months of treatment with twin blocks (Figure 4).17
Patient MR
Female patient 13 years and 9 months old. Carpal radiography was performed to know in what stage of growth she was in order to decide the treatment plan (Figure 5). The patient was in the 5th stage of skeletal maturation so it was decided to place twin blocks. She was in the time limit for this technique. But in the eventuality of leaving her for surgery, it was preferred to try this device.
Convex profile
In the study of facial esthetics, taking Spradley's Vertical as a reference, it is obtained that the Pg is at -18mm corresponding to a class II. The SN Vertical corresponds to skeletal Class II. When studying the lower cervical-facial relationship, Class II with an increased relationship and a receding chin (70/47=1.48). The increased mento-cervical angle and Legan's lower facial angle (70/47=1.48) (Figure 6).
At the beginning of the treatment the facial convexity was increased, which corresponds to a Class II pattern (5.3), and the facial depth decreased (79.4) accompanied by a decreased maxillary depth. Despite the increased convexity both maxillae were retruded with respect to the skull base (Figure 7).
Figure 7 Cephalometric studies before and after treatment with twin blocks. The different analyses performed are shown.
Facial convexity decreased to 3.5, although it is still a value that corresponds to a class II, it is closer to the average.
An increase in the inter-incisor angle is observed, which reached the norm after treatment with the twin blocks.
The overjet was 13.4 and decreased to 2.7, being within the average. The protrusion of the upper incisor also decreased, as well as the protrusion of the upper lip, these changes are clearly seen in the patient's profile, improving her esthetics.
In the Mc Namara analysis it was obtained that for a maxillary length of 82.8mm corresponds a mandibular length of 103 to 106 and an anteroinferior height of 58-59mm. The patient presented at the beginning of the treatment a decreased mandibular length (101.9) and an increased height (64.1) and the retruded position of the Pg point (the greater backward movement of the pogonion causes the increase of the convexity). Analyzing the anteroinferior facial height, we found a measurement of 64.1mm, but the composite norms assign in this case 58mm. Therefore, the patient had at the beginning a vertical excess of 6mm which causes a symphysis retrusion of the same magnitude. At the end of the treatment a decrease in facial height is observed. In the Roth-Jarabak analysis a decrease of the SNA angle and an increase of the SNB is observed. The height of the ramus is increased and also the anterior facial height.
The intraoral photos show the great change in the patient. There is a decrease in the overjet, class 1 left canine and a slight class II right. He used the twin blocks day and night, only removing them for feeding and hygiene for 12 months. After treatment with twin blocks, orthodontics was performed to correct the slight anteroinferior crowding and to correct dental midlines. Fixed lower and removable upper containments were made. The total treatment period was 2 years (Figure 8).
Clinical case performed by Dr. Marcelo Mochó at the orthodontic clinic (Figure 9 & 10).
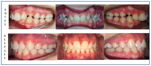
Patient 14 years old. In this case, the twin blocks were cemented, as the patient was rebellious to the continuous use of the appliance. In the aesthetic study it is highlighted: diminished lower third and protruding chin.
In the study of the smile, it is observed: discontinuous staggered smile line (lateral sector in eruption), does not coincide with the curvature of the lower lip. It also interposes the lower lip between the upper and lower incisors.
In the initial intraoral photographs we observe in a frontal view: permanent dentition, severe incisor overbite, physiological underocclusion of teeth 13 and 23, dental midlines coincide.
In the sagittal plane it stands out: Right and Left Class II molar key,
Canine key: It is not registered by physiological underocclusion 13 and 23 but if we can project a Class II. The overjet is increased. Looking at the intraoral photographs at the end of the treatment, we see the effectiveness of the twin blocks and that the achievements were significantly favorable. Let us not forget that in this case the blocks were cemented. The treatment was 1 year and 5 months. Orthodontics was also placed to correct rotations and settle the occlusion. In the study of the profile radiograph (Figure 11) we conclude that the patient is a severe brachyfacial. Her facial convexity is + 1.3mm so it is in the norm, this is due to the fact that the facial plane is used as a reference (it is supported by distant structures: B.C.A / Symphysis) of our "dentoalveolar skeletal field", these can suffer positional and/or morphological variations as in this case, of a very prominent pogonion that masks a Class II.
Skeletal Class I with tendency to Class II harmonized by hyperconvergence of its bases. His lower arch is retruded with respect to his maxilla.
It presents skeletal overbite, this value is favored by the extrusion of the lower incisor.
The lower facial height is decreased, we conclude from the Ricketts cephalometric study that the patient has a skeletal overbite. If the patient did not have such a marked hyperconvergence of her bony bases the sagittal discrepancy between the bases would be a significant Class II. Keep in mind that the changes produced by growth (in approximately 2 years) are minimal, so the changes observed should be attributed to the effect of the treatment (Figure 12).
The mechanism by which the TMJ responds to functional appliance therapy is a matter of controversy.
Histological analysis confirmed that mandibular advancement induces a mild inflammation of the periosteum, specifically in the posterior and inferior region of the glenoid cavity. Referred to as adaptive ossifying periostitis, this occurs in response to the elongation of the fibers of the posterior region of the articular disc that cause apposition of the osseous tissue on the surface of the anterior wall of the post glenoid spine.2 Remodeling of the glenoid cavity was also confirmed by magnetic resonance imaging and by a study using superimposition of computed tomography scans. In contrast, Arici et al. reported no changes in the glenoid cavity and condyle when compared to the control group, possibly because of the age of the patients in the treatment (pre-peak pubertal growth).
Histological results confirmed that mandibular advancement influences condylar cartilage growth by stimulating the mitotic velocity of chondroblasts. An increase in the size of the condyle was recorded in response to the intensification of endochondral ossification on the postero-anterior surface of the mandibular condyle.2 The increased extension of the condyle was confirmed by radiographic superimposition studies through implants. Another investigation showed the presence of a double distocranial contour of the condyle. Studies using magnetic resonance imaging showed remodeling of the posterior border of the condyle. Additionally, cephalometric studies of superimposition through implants, proved that there was a significant increase in the length of the mandible, as well as radiographic studies showed the presence of double contour on the distal surface of the mandibular ramus.
According to histological studies, from the sixth week of APMF use, it is possible to observe significant bone deposition. Consequently, the mandible is dislocated, promoting an anterior positioning, generating a new functional and structural relationship of the condyle with the temporal bone. Magnetic resonance imaging and computed tomography studies confirmed this relationship.4
Treatment with a mandibular propulsive device leads to an increase in blood flow in the bilaminar area, leading to an increase in the growth rate of the condylar cartilage (Moro and Urias). Martins-Ortiz reported that condylar transfer with the mandibular propulsive apparatus causes viscoelastic alterations in the retrodiscal soft tissues, causing bone neoformation in the mandibular fossa and condyle. Voudiuris and Kutinec also reported that the strength of the retrodiscal viscoelastic tissues can affect the growth of the condyle.18
Chintakanon in studying the effects of the appliance on the TMJ in patients with class II div 1 malocclusion, through the use of magnetic resonance imaging, concluded that the therapy alters the direction of condylar growth. For them, the condyle that was initially positioned in the upper part of the articular eminence with the twin blocks, at the end of 6 months of therapy returned to the glenoid fossa. Furthermore, no evidence of remodeling of the glenoid fossa and articular eminence was found. The authors verified through the images that no positive or negative effect was found in the position of the articular disc with the use of the twin block and that the number of children who presented disc displacement was the same at the beginning and at the end of the treatment.
In 2013, Yilddrim and Karacay conducted a retrospective study, studied the response of the condyle to twin block treatment with cone-beam computed tomography in 30 patients. In all patients treated in an average time of 7.4 months, canine key and overjet reduction were achieved. In the 30 cases studied, an increase in the volume of the condyle was obtained on both the right and left sides, the SNA angle decreased, and the SNB increased. The distance between one condyle and the other increased significantly. These changes revealed a forward and backward growth stimulus in the condyle.3
Animal and human studies show that the remodeling of the glenoid cavity and the condyle respond compensatorily to the continuous anterior displacement of the mandible and the response is more rapid in individuals at the peak of growth. MRI, CT and cephalometric studies have shown that the condyle to glenoid cavity ratio initially altered during appliance installation is restored at the end of treatment.
At IUCEDDU, in addition to the final cephalometrics corresponding to each case, we are starting to perform CONE BEAM CT scans of the TMJs to evaluate the effects of the twin blocks. These examinations are performed by means of single cone beam x-ray acquisition with the patient's mouth slightly open and subsequent axial slices of 0.2mm thickness. So far, no pathological changes have been observed in the condyles or glenoid cavities of patients treated with twin blocks; on the contrary, adaptive changes such as flattening of the condyles have been observed. All treated patients are symptom-free several years after the end of the treatment.
Following are images of the right and left TMJs of Dr. Marcelo Mochó's patient A.A. as an example of the studies performed at the Institute, where no particularities were observed in the TMJs (Figure 13). Also shown is the control tomography of patient M.R. after 5 years of treatment. The condyles are slightly flattened (Figure 14).
These blocks reposition the mandible and redirect the occlusal forces. They allow rapid functional correction of malocclusion by transmitting favorable occlusal forces to the occlusal inclined planes covering the posterior teeth. The occlusal forces are used as the functional mechanism to correct the malocclusion. When I met M.R. and her mother at the Orthodontics course at the Iuceddu clinic, I was confronted with her need to find an esthetic solution for her. Both were very concerned about her profile and smile. With the coordinating professor, Dr. Jorge Chaves of the course, we concluded after studying the case the use of twin blocks for the correction of the patient's malocclusion. As the months went by we saw a remarkable change in her profile and also in her self-esteem.
In all cases treated at Iuceddu the facial appearance improved very rapidly during the first months of appliance use. These changes are characterized by the development of lip closure, and an appreciable improvement in facial balance and harmony. They are accompanied very soon by occlusal changes, and we recall that orthodontics was only used for the correction (in all cases) of details such as slight rotations.
None.
The authors declare no conflicts of interest.
©2023 Charreau. This is an open access article distributed under the terms of the, which permits unrestricted use, distribution, and build upon your work non-commercially.