Review Article Volume 15 Issue 6
1Department of Orthopedic Surgery, Almoosa Specialist Hospital, Al-Ahsa, Kingdom of Saudi Arabia
2 Department of Orthopedic Surgery, King Fahad Hospital Hufuf, Kingdom of Saudi Arabia
Correspondence: Khalid Alkuwaity, Department of Orthopedic Surgery, Almoosa Specialist Hospital, Al-Ahsa, Kingdom of Saudi Arabia
Received: November 01, 2023 | Published: November 16, 2023
Citation: Alkuwaity K, Bureggah A, AlRadwan H, et al. Early results of total hip replacement in avascular necrosis of head of femur in patients with sickle cell disease: a retrospective observational study. MOJ Orthop Rheumatol. 2023;15(6):214-217. DOI: 10.15406/mojor.2023.15.00648
Background: Total hip arthroplasty (THA) has become the mainstay of treatment in SCD patients with symptomatic AVN that has progressed to end-stage arthritis. This patient population is often young and active at the time of surgery, potentially predisposing them to a higher risk of implant failure than those undergoing THA for primary osteoarthritis (OA).
Methods: This retrospective study included 15 patients (age, 25–45 years; 5 males and 10 females) who underwent THR. The Harris Hip Score (HHS) was used to assess functional outcomes. All patients were followed up at 6-weekly intervals then 6-monthly intervals.
Results: The mean follow-up period was 12 to 18 months. The mean preoperative HHSs was 45.22±021. Postoperatively, a subsequent increase in HHS was found, and a significant difference between pre and postoperative pain.
Conclusion: THA remains an effective treatment modality for osteonecrosis of the hip in SCD patients. However, these patients are at increased risk of medical and surgical complications. Surgeons should be aware of the unique challenges in this patient population when counseling and managing these patients in the perioperative period.
Keywords: sickle cell disease, hip joint congruency, total hip replacement, harris hip score
Sickle cell disease (SCD) is an autosomal recessive disease, caused by a point mutation in the globin chain (type b) in oxygen- carrying protein (Haemoglobin) found in red blood cells.1 This affects the shape of RBCs, and under low oxygen they become sickle like shape and hence affect the blood supply to all human body tissues.2 Sickle cell anemia has high mortality rates.3
The prevalence of the disease is higher in Africa and Middle East.4 SCD patients develop symptoms that varies based on the severity and progression of the disease. Chronic anemia and vaso-occlusive crises are the primary manifestations of SCD. Skeletal manifestations in SCD include avascular necrosis (AVN) of the head of femur, pathological fractures and infections, such as septic arthritis.5
Head of the femur is the most common site for AVN in sickle cell disease, followed by shoulder and knee joints.
AVN of the femoral head affects the hip joint and leads finally to osteoarthritis resulting in pain and limitation of movements and affect gait and movements .Treatment of AVN demands early diagnosis and prompt intervention to prevent morbidity and mortality that occur in late diagnosis.6 To improve hip function, orthopedic surgeons recommend total hip replacement.
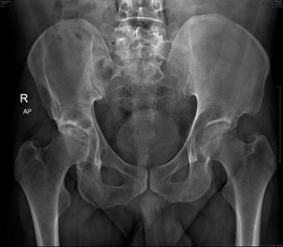
There are many skeletal abnormalities that affect hip joint and femur in sickle cell disease patients, including abnormal shape of femur metaphysis with thin cortex, decreased bone density, and medullary hyperplasia. Irregular sclerotic areas in the bone obliterate canal of the femur and finally loss of congruency of the hip joint.7 Thin femoral cortical lining inside the outer cortex sometimes gives appearance like femur within a femur (Figure 1).8
In sickle cell disease patients, AVN of the head of femur ranges from 3– 50% based on the genotype. AVN with symptoms in sickle cell patients mostly progress to hip joint ostẹoarthritis (OA), that occurs commonly in the 3 rd and 4th decade of life, bilateral AVN of the hip joint reaches 20–30%. The initial studies of total hip replacement in treatment of hip OA in sicklers showed a high failure rates.9 Recent evolutions in diagnosis, imaging and treatment of SCD give sicklers better life expectancy, also the evolution of the design of hip implant give better results.10
Total hip Replacement (THR) has become the treatment of choice in SCD patients with end-stage hip osteoarthritis resulting from symptomatic AVN. Patients are active young individuals at the time of surgery, that increase the risk of hip implant failure than those individuals having THA for primary osteoarthritis (OA).5 Rates of implant failure have been reported in early studies with arange from 30% to 60% in less than 5 years. This occurs often due to high functional demand of patients leading to failure of implant.9 More recent data showed improvement in survivorship of hip implant, but still overall complications are higher in sicklers relative to those individuals having THA for primary OA.10 Due to the skeletal abnormalities and medical conditions associated with SCD patients having THA, it is very important for the surgeon to understand the expected pre and postoperative course and also intraoperative considerations regarding these patients and how it can differ from patients having THA for primary OA (Figure 2).
We did a retrospective case series with all patients underwent Total hip replacement surgery at Al-Moosa Specialist Hospital during 2022. Atotal of 15 patients with sickle cell disease underwent total hip replacement. Records of patient’s hematological and radio- graphical data were obtained. X-rays and MRI have been done preoperatively to all patients and were classified by Ficat& Arlet classification.
This retrospective study included 15 patients (age, 25–45 years; 5 males and 10 females) who underwent uncemented THR. We used The Harris Hip Score (HHS) to assess functional outcomes. All patients had follow up at 6 weeks interval and then 6-month interval.
Pre-operative work up
After we confirm the diagnosis and all nonoperative management have tried and failed, the discussion of surgery (THA) should be conducted to the patient. For younger patient with SCD, higher possibility to have THA revision surgery once or more in their lifetime should be clarified, in addition other issues related to bleeding and fracture that may occur intraoperatively due to the deformity of their femur.
In our hospital, patients been admitted a day before --surgery to make sure that they’re free from any infections mainly chest infection and that they are hematologically stable. Our hematology doctors believe in either preop transfusion if needed, or intraoperative or postoperative transfusion, that will basically dilute hemoglobin A levels. As in the literature we also recommend good hydration of the patient and proper administration of antibiotics before surgery.
Peri-operative care
All patients have been evaluated by a hematologist before exchange transfusion with the aim of reaching hemoglobin level of at least 10 g/ dl before surgery. We did all operations under spinal anesthesia. Adequate hydration achieved in the patients to avoid triggering factors of sickle cell crisis such as dehydration and hypothermia before and during the surgery. Preoperative cefazolin were given before induction of anesthesia and continued for 48 hours after surgery.
Operative technique
All surgeries were done using the lateral approach to hip joint. Longitudinal incision was made 5 cm proximal to the greater trochanter of the femur centered over the trochanter’s tip and extended about 7 cm down the line of the femur.
Superficial surgical dissection done splitting the fascia lata then retracting it anteriorly exposing the tendon of the gluteus medias muscle. The fibers of the Gluteus Medius that were attached to fascia lata were detached with sharp dissection.
Deep surgical dissection done splitting the fibers of the Gluteus Medias in longitudinal manner starting at the middle of the greater trochanter that did not reach more than 3 cm above the greater trochanter to prevent the risk of injury of the superior gluteal nerve, the incision extended inferiorly through the muscle fibers of the vastus lateralis. This developed an anterior muscle flap in the Gluteus Medius from the greater trochanter with underlying gluteus minimus. Then dissection done deeply along the anterior aspect of the greater trochanter and on to the neck of the femur led to the anterior capsule, allowing easy dislocation of the hip joint. Adequate surgical exposure and fine soft-tissue handling and control of bleeding were done to avoid complications such as fracture. Extra precautions were taken in preparation of femoral stem in patients with sclerotic areas and narrowing in femoral canal to prevent perforation of femoral stem.
Intraoperative consideration
Patients with sickle cell disease usually have short stature. Therefore, we make sure that our implant stock contains small sizes including femoral stem and acetabular components with heads and liners. As all patients were young age, Ceramic heads on polyethylene liner (highly cross linked polyethylene) on cobalt chrome metal were used. Our implants were cementless acetabular and femoral components in all of our total hip replacement in SCD patients.
In primary total hip replacement of non-sicklers we usually rasp the femur before implanting the femoral component, in patients with sickle cell disease we did reaming the femur to avoid any femoral canal perforation. A guide wire was used to check the direction of our reaming and rasping in the femoral canal (Figure 3 & 4).
In some cases there is narrowing of femoral canal due to neocortex formation in the endosteum, so we used a straight narrow cylindrical shaped type of femoral stem. Image intensifier was used in these cases to detect any femoral perforation fracture or malposition of the femoral stem. Femoral fracture and/or acetabulum fracture have been reported in sickle cell anemia patients with THR.
Postoperative care
After surgery, all patients underwent physical therapy as total hip replacement protocol including range of motion, gait exercises, muscle strengthening exercises and pain management. Partial weight-bearing was allowed to the patients for the first 6 weeks, after that full weight-bearing allowed. Adequate hydration and good oral intake have been encouraged as well as patient education. Hospital stay range from 3 to 5 days and the patient then discharged home.
Harris Hip Score (HHS) was used for assessment of the functional outcomes. Follow up has been done to all patients after 6 weeks and then after 6 months to determine functional outcomes by clinical examination and by X-rays. Xrays were checked for any evidence of implant loosening, dislocation, or heterotopic ossification. Patients were seen by a hematology doctors and the study authors at every follow-up visits, and we documented medical and surgical complications. Failure was defined as the need for redo hip replacement surgery due to infection, dislocation, loosening, or surgical complications (Figure 5).
Statistical analysis
SPSS version 22.0 (IBM, Armonk, NY, USA) was used for data analysis. Descriptive statistics were used for calculation of the means and standard deviations for the demographic variables and outcome measures. We used Chi-squared and student’s tests as the tests of significance at a 5% level of significance.
A total of 15 patients (mean age, 33.914±8.37 years) underwent a unilateral total hip arthroplasty. All patients had follow up for a mean period of 12- 18 months. The majority of cases were right -sided total hip arthroplasty, the mean preoperative HHSs were 45.22±3.021 and 25.94±4.437, respectively, and with difference that was statistically significant (p< 0.0001*). At follow-up, we found further increase in HHS score.
Overall survival in the present study was 96.28%, three patients were admitted in the hospital for sickle cell crisis during their follow-up and were managed properly. Intra-operatively, 2 patients had a femoral bone fracture during application of femoral stem, which was managed by cerclage. One patient had superficial infection and was managed by extended use of antibiotics as per infectious disease recommendation. Two patients developed Brooker grade II heterotopic ossification.
Significant improvements in functions regarding gait and range of movements after THR which is similar to the reported data in many previous studies.5,6 We observed that 15.28% of the patients required admission after surgery due to the medical complications such as sickle cell crisis, other than postoperative complications. Superficial infection rate of 0.66% was reported and was managed properly by the use of antibiotics over an extended period as per the culture and sensitivity results.
Patients with sickle cell disease are more susceptible to infection because they have low immunity, so it is mandatory to take meticulous precautions to prevent perioperative infections in those patients. Of all our patients who had cementless total hip arthroplasty, heterotopic ossification (Brooker grade II) was found in 1.5% of them. We did not document any dislocations, aseptic loosening of femoral stem was documented in 1 case and finally treated by revision hip arthroplasty. The complication of aseptic loosening is not uncommon in cases of AVN of femoral head due to sickle cell disease as Issa et al.11 also reported a 5% revision surgery rate due to the that complication. Due to the small sample size and single-center analysis, our study has limitations and results cannot be generalized.
Total Hip Replacement is an effective treatment option for osteoarthritis resulting from AVN of the femoral head in patients with sickle cell anemia. SCD patients are at high risk of postoperative surgical and medical complications relative to patients having THR after primary hip joint osteoarthritis. Multidisciplinary team should be used in the perioperative period to medically optimize SCD patients. We should apply intraoperative meticulous techniques to maximize hip implant survivorship and postoperative outcome.
None.
The authors declare no conflicts of interest.
©2023 Alkuwaity, et al. This is an open access article distributed under the terms of the, which permits unrestricted use, distribution, and build upon your work non-commercially.