Submit manuscript...
MOJ
eISSN: 2374-6939

Orthopedics & Rheumatology

Case Report Volume 10 Issue 1

Eccrine spiradenoma as a differential diagnosis in chronic soft tissue lesions of the foot

João Almeida, Nuno Barbosa, Jorge Ramos, João Cardoso, Samir Karmali, André Barros, Bárbara Rosa, Rui Guerreiro, Ana Lopes, Daniel Sá da Costa

Hospital Vila Franca de Xira, Portugal

Correspondence: Joao Almeida, Hospital Vila Franca de Xira, Estrada Carlos Lima Costa, Povos 2600-009 - Vila Franca de Xira, Portugal, Tel 263 006 500

Received: February 12, 2018 | Published: February 22, 2018

Citation: Almeida J, Barbosa N, Ramos J, Almeida et al. Eccrine spiradenoma as a differential diagnosis in chronic soft tissue lesions of the foot. MOJ Orthop Rheumatol. 2018;10(1):00390 DOI: 10.15406/mojor.2018.10.00390

Download PDF

Abstract

The aim of this article is to highlight the importance of Eccrine Spiradenoma (ES) in the differential diagnosis of chronic soft tissue lesions of the foot. These include a broad spectrum of non-neoplasm lesions, as well as benign and malignant neoplasms. We report a case of a 61 years old man, presenting a slow growing mass on the dorsum of his left hallux, appearing 10 years earlier. On examination it was a 4 cm tumefaction, not painful neither tender, with rubber consistence and no adherence to deep structures. X-ray images showed no bone alterations and ultrasound examination showed a cystic structure rendering synovial cyst a probable diagnosis. He was proposed for surgical excision in order to be able to use shoes without discomfort. The patient was operated under general anaesthesia and the excisional sample was sent to anatomopathological examination, revealing an Eccrine Spiradenoma with an unusual cystic pattern. ES was initially defined as a clinical pathology entity by Kersting and Helwig (1956). It is recognized as a rare skin adnexal neoplasm, exceptionally rare on foot, justifying the importance of this clinical case report. The rate of ES malignant transformation is low, but quite aggressive when it occurs (developing metastasis in about 50%), which makes early definitive diagnosis of major concern. Treatment of ES has not yet been well established; however surgical excision remains the gold standard option, with low rates of recurrence documented. ES is a rare soft tissue benign neoplasm that should be considered in the differential diagnosis of chronic soft tissue lesions of the foot and has a generally good prognosis after surgical excision.

Introduction

The aim of this article is to highlight the importance of Eccrine Spiradenoma (ES) in the differential diagnosis of chronic soft tissue lesions of the foot. These include a broad spectrum of non-neoplasm lesions, as well as benign and malignant neoplasms. Benign tumours include deep fibromatosis, neurogenic tumours, lipoma, haemangioma, synovial proliferations, and exceptionally rare on foot, skin adnexal neoplasms as the benign neoplasm Eccrine Spiradenoma. Skin adnexal tumours are a diverse group of benign and malignant neoplasms, which exhibit morphological differentiation towards one of the different types of adnexal epithelium present in normal skin: pilosebaceous unit, eccrine and apocrine.1,2

Case report

We report a case of a 61 years old man, presenting a slow growing mass on the dorsum of his left hallux, appearing 10 years earlier. He had previous history of an attempted drainage with no liquid content outflow. On examination it was a 4-cm tumefaction (Figures 1)(Figure 2), not painful neither tender, with rubber consistence and no adherence to deep structures. X-ray images showed no bone alterations and ultrasound examination showed a cystic structure rendering synovial cyst a probable diagnosis. He was proposed for surgical excision in order to be able to use shoes without discomfort.

Figure 1 Foot lesion at presentation.

Figure 2 Foot lesion at presentation.

Procedure

The patient was operated under general anaesthesia and the excisional sample (Figures 3)(Figure 4) was sent to anatomopathological examination. Macroscopy: it was 21g weight and measuring 5x4.2x2.5-cm; multi-cystic appearance, with the biggest cyst having 3.4-cm of diameter, with 1mm wall thickness.

Figure 3 Dissecting the lesion.

Figure 4 Excisional sample.

Diagnosis & histopathology

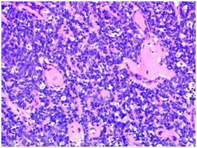
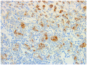
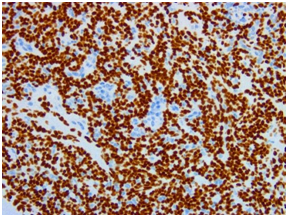
Diagnosis was a complete margin excision Eccrine Spiradenoma with an unusual cystic pattern (Figures 5)(Figure 6) having a luminal cell population, CK8/18 positive (Figure 7), and a basal and myoepithelial cells population, p63 positive (Figure 8).

Figure 5 Eccrine Spiradenoma with an unusual cystic pattern. (H&E stain, ob. x2.5).

Figure 6 Eccrine spiradenoma is a nodular tumor, constituted by small cells, with lymphoid infiltrate (H&Estain, ob. x20).

Figure 7 CK8/18 positive (ob. x20).

Figure 8 p63 positive (ob. x20).

Discussion

ES was initially defined as a clinical pathology entity by Kersting and Helwig in 1956 as a tumour of the sweat gland from eccrine differentiation. The classification of spiradenoma as eccrine in origin is so entrenched in the literature that most textbooks list spiradenoma as “eccrine spiradenoma” in their index.3 Nowadays we know that spiradenoma is not an eccrine tumor; rather it is a follicular tumour, asserting that this adnexal neoplasm derives from the hair follicle bulge and represent the least differentiated follicular tumours.4 It is recognized as a rare skin adnexal neoplasm, exceptionally rare on foot, justifying the importance of this clinical case report. ES is able to be present on any part of the body,5 with approximately 20% of the cases occurring in the extremities. 6 Lesions usually manifest as solitary, 1-cm-diameter nodules on the upper half of the ventral side of the body; but may also present as multiple tumours. ES can appear at any age, commonly arises in persons aged 15-35 years, and no gender predominance has been reported. While textbooks say spiradenomas are painful, this was not reported in most patients of one study.7 The rate of ES malignant transformation is low, but quite aggressive when it occurs (developing metastasis in about 50%), and can occur within a long-standing lesion8 which makes early definitive diagnosis of major concern. Treatment of ES has not yet been well established; however surgical excision remains the gold standard option, with low rates of recurrence documented.9

Conclusion

ES is a rare soft tissue benign neoplasm that should be considered in the differential diagnosis of chronic soft tissue lesions of the foot and has a generally good prognosis after surgical excision.

Acknowledgements

None.

Conflict of interest

The author(s) declare(s) that there is no conflict of interest regarding the publication of this paper.

References

Creative Commons Attribution License

©2018 Almeida, et al. This is an open access article distributed under the terms of the, which permits unrestricted use, distribution, and build upon your work non-commercially.