Submit manuscript...
MOJ
eISSN: 2374-6939

Orthopedics & Rheumatology

Case Report Volume 6 Issue 6

Fracture of Revision Modular Femoral Stem

Zoran Sulje,1 Krešimir Crnoga?a,1 Domagoj Delimar,2 Goran Bicanic2

1Department of Orthopaedic Surgery, Clinical Hospital Centre Zagreb, Croatia
2Department of Orthopaedic Surgery, University of Zagreb School of Medicine, Croatia

Correspondence: Goran Bicanic, MD PhD, Salata 6, 10000, Zagreb, Croatia, Tel 386000000000, Fax 38512379913

Received: October 26, 2016 | Published: December 21, 2016

Citation: Sulje Z, Crnogaia K, Delimar D, Bicanic G (2016) Fracture of Revision Modular Femoral Stem. MOJ Orthop Rheumatol 6(6): 00245. DOI: 10.15406/mojor.2016.06.00245

Download PDF

Abstract

Number of revision total hip arthroplasties (THA) has increased in past decade. Use of modular femoral components has followed this number because of advantage of adjustment and restoration of joint kinematics including leg lenght, femoral version and offset. Fracture of modular uncemented femoral component is rare complication after revision hip surgery. There are not many cases described in medical literature. Several factors can lead to this kind of prosthesis failure: increased BMI, high activity levels, undersized femoral component, varus stem orientation and poor proximal bone support shown by absence of the calcar. The aim of this paper is to show a case of modular tapered femoral prosthesis fracture and technical aspects of THA that may increase the risk of such complication.

Keywords: Revision total hip arthroplasty, Femoral stem fracture, Dyaphiseal fixation, Trochanteric osteotomy, Osteolysis

Introduction

The number of revision total hip arthroplasties is predicted to more than double in USA over the next 25 years from an estimated 40800 in 2005 to approximately 96700 in 2030.1 Modular femoral stems offer the advantage of adjustment and restoration of joint kinematics including leg length, femoral version and offset, regardless of the exact position of the distal part of the stem.2 Disadvantage of modularity are complications such as fretting corrosion and fatigue failure on the modular junctions.

Fracture of modular, tapered, distally fluted femoral stem is a rare complication after revision hip arthroplasty. This type of prosthesis is one of the most popular therapeutic options in femoral revision surgery, especially in the presence of proximal bone loss. There are several factors that can lead to this kind of failure. Patient-related factors include male gender, increased BMI, high activity levels and the presence of bilateral total hip replacements. Surgical factors include varus stem orientation, poor proximal fixation coupled with rigid, undersized femoral stem with dyaphiseal fixation, and poor proximal bone support shown by the absence of the calcar. Factors associated with the prosthesis include manufacturing or metallurgic defects, and design flaws leading to stress risers.2-8 On microscopic level, micro motion at the junctional interface can lead zone of corrosion and increasing to fretting and crevice corrosion, theoretically contributing to the creation of micro cracks within the the risk of dynamic fatigue failure. Both titanium and cobalt-chrome alloys form a protective oxide layer. In the stem junctions (neck-stem, neck-head) this oxide layers are disrupted thus increasing the risk.7

Here we present a case of modular tapered femoral stem fracture and some technical aspects of THA that may increase the risk of such complication.

Case presentation

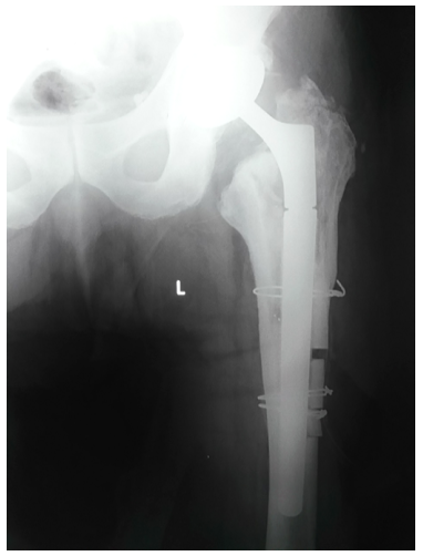
The patient is a 61-year-old, Caucasian man measuring 180cm in height and 100kg in weight, with body mass index of 30.86 (BMI). He was diagnosed with a bilateral hip osteoarthritis and admitted to our Department in November 2009 when total hip arthroplasty (Lima SPH-ST/C2, Lima International, Udine, Italy) of the right hip was performed. Subsequent total hip arthroplasty (Lima SPH-ST/C2, Lima International, Udine, Italy) of the left hip was performed in November 2010 (Figure 1). The patient underwent regular ambulatory controls with clinical and radiology examinations. Because of the aseptic loosening of femoral stem (stem subsidence) a revision surgery was made in February 2014. Revision femoral stem was implanted (Lima revision, Lima International, Udine, Italy) (Figure 2) using trans femoral approach according to Wagner in the lateral decubitus position.9 Femoral component was a cementless modular porous-coated stem made of titanium alloy with distal anchoring (tapered, fluted). Size of femoral stem was 22x140mm with the proximal part length of 70mm (total stem length 210mm). Postoperative course was without complications. Patient felt a sudden sharp pain in his left hip while walking in October 2015, 20 months after the revision procedure. Limping and the pain in left hip were increasing daily. He presented to our Department with the leg held in the external rotation and with decreased movements in hip joint. Plain radiograph showed a fracture of the revision femoral component of the left hip (Figure 3). The patient underwent a planned revision surgery procedure. Trans femoral approach according to Wagner was used again.9 Fracture was found at a junction between proximal and distal part of the stem (Figures 4 & 5). Extraction of the distal part of the stem was performed using technique developed at our Department.10 Proximal part is easy to extract without any complications. Problem is with distal part that is firmly fixed in the bone. It was removed with a special longitudinal osteotomy through the anterior cortex extending distally for 15cm. It was then followed by a transversal osteotomy 2cm below the tip of the femoral stump to allow enough space for two locking pliers. Simultaneously using a lamina spreader on the distal part, the broken stem was extracted while hammering on two locking pliers. Cementless revision femoral stem was implanted in a standard manner (Figure 6).

Figure 1 Plain radiograph of primary bilateral total hip endoprosthesis.

Figure 2 Plain radiograph of revison modular total hip endoprosthesis.

Figure 3 Plain radiograph of fractured modular femoral stem.

Figure 4 Intraoperative junction fracture.

Figure 5 Intraoperative junction fracture.

Figure 6 Plain radiograph postoperatively.

Discussion

Increase in an average life expectancy and functional requirements of the elderly has led to increased numbers of revision total hip arthroplasties. One of the reasons for revision surgery is mechanical failure of the endoprosthesis. Several risk factors have been identified, including increased BMI, deficient osseous support (result of trochanteric osteotomy, osteolysis or femoral stem under sizing), implant malposition and increased corrosion and metal ion release.2-8

Most of the cases show that increased BMI is a risk factor for stem fracture especially if it is combined with high physical activity of the patient. Skendzel et al.8 presented 2 cases of modular prosthesis fracture of a ‘’long varus’’ femoral neck. That paper showed that patient obesity combined with use of a long varus modular neck increase the bending moment by 32.7% compared with the standard ‘’short varus’’ neck as well as increasing stress concentration at the modular junction.8 Kretzer et al.11 reported no increase in corrosion or metal ion release at the junctions in simulated in vivo conditions.11 Ellman et al.7 suggested that fretting and crevice corrosion are real concerns for both titanium and cobalt-chrome alloys and that harsh microenvironment created at these junctions represents a potentially causative process in the evolution of component failure.7 Wodecki et al.4 showed that cobalt-chromium stems have less risk of failure than titanium but that they can also cause pseudo tumors related to immune-allergic reactions.4 Lakstein et al.2 inspected all fracture surfaces and no etching, pitting, chloride formation, corrosion products or other possible indications of corrosion were found but all of the six patients with this kind of failure had a lack of osseous support of the modular neck-stem junction.2 Buttaro et al.6 as well reported that substantial proximal bone loss leading to fatigue fracture could explain this unusually failure mechanism and they suggest that in this cases strut allograft support should be used.6 Opposed opinion was presented by Murphy et al.12 in a series of fifty-four revisions of deficient femoral bone stock but with not a single stem fracture. It was suggested that allograft support of the proximal part of implant for bone loss is unnecessary when a distal dyaphiseal fixation modular stem is used.12 Crowninshield et al.13 analyzed femoral stems that are proximally without adequate osseous support and their result was a substantial elevation of stress that can exceed the fatigue strength of the stem.13 In our opinion that is the main reason for the stem fracture. Lack of bone support definitely increases stress on neck-stem junction so extra care for preservation of as much as possible of bone stock is highly recommended during the surgery. Bone allograft should be used in every case of inadequate bone support. In summary, the precise cause of fracture of modular femoral stems is most likely multifactorial and remains unknown. Increased BMI, fretting corrosion, long varus neck, lack of osseous support, patient activity level, all together create a local microenvironment that can cause a fracture in neck-stem junction. Our patient had all of mentioned risk factors contributing to the modular stem fracture except corrosion. Our stem was unfortunately not sent for metallurgic analysis that could point corrosion on neck stem junction as a cause of stem fracture. Because of the scarce evidence in the literature, future long-term controlled studies are necessary for better understanding the potential advantages and disadvantages of increased modularity in total hip arthroplasty.

Acknowledgment

Prof, Daniel Altaha. Critical review.

Conflicts of interest

None.

References

  1. Kurtz S, Ong K, Lau E Projections of primary and revision hip and knee arthroplasty in the United States from 2005 to 2030. J Bone Joint Surg Am. 2007;89(4):780‒785.
  2. Lakstein D, Eliaz N, Levi O et al. Fracture of cementless femoral stems at the mid‒stem junction in modular revision hip arthroplasty systems. J Bone Joint Surg Am. 2011;93(1):57‒65.
  3. Busch CA, Charles MN, Haydon CM Fractures of distally‒fixed femoral stems after revision arthroplasty. J Bone Joint Surg. 2005;87(10):1333‒1336.
  4. Wodecki P, Sabbah D, Kermarrec G et al. New type of hip arthroplasty failure related to modular femoral components: breakage at the neck‒stem junction. Orthop Traumatol Surg Res. 2013;99(6):741‒744.
  5. Wright G, Sporer S, Urban R Fracture of a modular femoral neck after total hip arthroplasty: A case report. J Bone Joint Surg Am .2010;92(6):1518‒1521.
  6. Buttaro MA, Mayor MB, Van Citters D et al. Fatigue fracture of a proximally modular, distally tapered fluted implant with diaphyseal fixation. J Arthroplasty. 2007;22(5):780‒783.
  7. Ellman M, Levine B Fracture of the modular femoral neck component in total hip arthroplasty: Case report. J Arthroplasty. 2013;28(1):196e1‒196e5.
  8. Skendzel JG, Blaha JD, Urquhart AG Total hip arthroplasty modular neck failure. J Arthroplasty 2011;26(2):338e1‒338e4.
  9. Wagner H Revision prosthesis for the hip joint in severe bone loss. Orthopade. 1987;16(4):295‒300.
  10. Bicanic G, Crnogaca K, Delimar D A simple new technique for the removal of fractured femorl stems: a case report. J Med Case Rep. 2014;19:115‒119.
  11. Kretzer JP, Jakubowitz E, Krachler M Metal release and corrosion effects of modular neck total hip arthroplasty. Int Orthop. 2009;33(6):153.
  12. Murphy SB, Rodriguez J Revision total hip arthroplasty with proximal bone loss. J Arthroplasty 2004;19:115‒119.
  13.   Crowninshield RD, Maloney WJ, Wentz DH, Levine DL The role of proximal femoral support in stress development within hip rosheses. Clin Orthop Relat Res. 2004;420:176‒180.
Creative Commons Attribution License

©2016 Sulje, et al. This is an open access article distributed under the terms of the, which permits unrestricted use, distribution, and build upon your work non-commercially.