Submit manuscript...
MOJ
eISSN: 2374-6939

Orthopedics & Rheumatology

Case Report Volume 15 Issue 4

Involvement of knee and foot pathology presenting as an accompanying sign in a soldier of synovitis, acne, pustulosis, hyperostosis, and osteitis (SAPHO) syndrome

Chia-Yuan Guo,1 Hsuan-Hsuan Hsu,1 Chia- Ying Lai,2 Shin-Tsu Chang2,3

1School of Medicine, National Defense Medical Center, Taipei, Taiwan
2Department of Physical Medicine and Rehabilitation, School of Medicine, Tri-Service General Hospital, National Defense Medical Center, Taipei, Taiwan
3Department of Physical Medicine and Rehabilitation, Kaohsiung Veterans General Hospital, Taiwan

Correspondence: Dr. Shin-Tsu Chang, MD, MS, PhD, Department of Physical Medicine and Rehabilitation, Kaohsiung Veterans General Hospital, Department of Physical Medicine and Rehabilitation, School of Medicine, Tri-Service General Hospital, National Defense Medical Center, Taiwan

Received: August 05, 2023 | Published: August 25, 2023

Citation: Chia-Yuan G, Hsuan-Hsuan H, Chia-Ying L, et al. Involvement of knee and foot pathology presenting as an accompanying sign in a soldier of synovitis, acne, pustulosis, hyperostosis, and osteitis (SAPHO) syndrome. MOJ Orthop Rheumatol. 2023;15(4):156-158. DOI: 10.15406/mojor.2023.15.00638

Download PDF

Abstract

Synovitis, acne, pustulosis, hyperostosis, and osteitis (SAPHO) syndrome is expressed as chronic multifocal osteomyelitis. There is no report to show a knee/foot lesions accompanying with SAPHO syndrome. We herein present a case of SAPHO syndrome with involvement of pathology of knee and foot, which was confirmed by obtaining the images of skeletal scintigraphy. We also described the clinical indicators and imaging features.

Keywords: single photon emission computed tomography – computed tomography, sternoclavicular joint, psoriatic arthritis, hairline fracture, scintigraphic rehabilitation

Introduction

Synovitis, acne, pustulosis, hyperostosis, and osteitis (SAPHO) syndrome is collection of symptoms and characterized by osteoarticular and cutaneous manifestation, which primarily affects female adults aged 30-50 years.1 Most patients present a relapsing-remitting disease or chronic disabling disease, while minorities of them that show a monophasic pattern tend to recover spontaneously.2–4 SAPHO syndrome is used to refer to chronic recurrent multifocal osteomyelitis or chronic nonbacterial osteomyelitis (CNO). CNO is more common in children, while SAPHO syndrome is mostly found in adults.2–4 Other than that, CNO mostly exists inflammation in the four limbs, and the SAPHO syndrome tends to appear in the axial skeleton, especially the sternoclavicular region, and is more likely to show cutaneous involvement.1 Therefore, a patient can be suspected of SAPHO syndrome when he or she has both bone pain (often in the sternoclavicular region) and cutaneous manifestation (especially palmoplantar pustulosis and severe acne).

With respect to the imaging finding in SAPHO syndrome, an initial X-ray is used as the imaging evidence, but is often hard to identify lesion(s) in the early stage of the disease. A recent article claimed that there are about 26% of patients reported with bone/joint abnormalities, and only 12% for erosions with peripheral arthritis.5 For the patients of SAPHO syndrome whose hyperostosis is not detectable on X-rays, a CT scan can be used to identify the bone hyperplasia and bone bridge formation at the costoclavicular ligament attachment point. Of them, the features of X-rays vary in different stages, which tend to be osteodestructive in the early stage and osteoproliferative in the late stage.1 A “kissing” pattern on the vertebral corner of the spine has been reported.2

However, there is never a report to show a knee/foot pathology accompanying with SAPHO syndrome. We herein present an adult man of SAPHO syndrome with observation of pathology of knee and foot by using the skeletal scintigraphy.

Case presentation

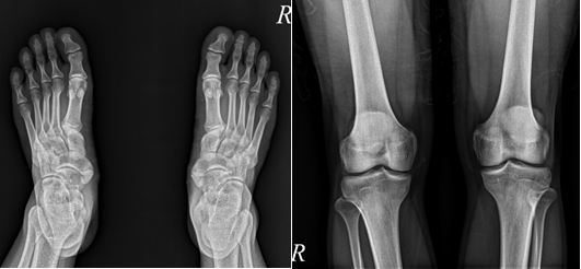
A 23-year-old soldier visit Outpatient Department of Rehabilitation of our hospital for the pain in the bottom of his feet. The patient said that once he exercised the feet hurt a lot, and the pain would relieve after rest. He has been troubled by such a situation since high school. Recently, the situation worsened due to intense training in military service. He mentioned that he had been suffering from chronic knee pain for a long time. The knees were burning and looked reddish, causing pain after exercise even now can be felt heat around knee. During physical examination, we found pustulosis on both palms (Figure 1A & 1B) and hyperostosis in the left sternoclavicular joint. Furthermore, the patient also had a little acne on his face. Plain films of the knee and foot/ankle joints did not show abnormality (Figure 2A). Whole body bone scan (WBBS) divulged a boosted uptake of 99mTc-methylene diphosphonate (99mTc-MDP) at the left knee and both foot/ankle joints (Figure 3). Single photon Emission Computed Tomography (SPECT) with Computed Tomography (CT), using the same tracer, revealed precise pathology at the left knee and both foot/ankle joints (Figure 4A & 4B). The initial impression for this patient was SAPHO syndrome together with enthesopathy of left knee, and both foot/ankle joints. Patient was treated with pain killer and rehabilitation modalities, and his painful episodes improved after three months.

Figure 1A Right hand.

Figure 1B Left hand.

Figure 2A The plain films of the knee joints (left panel) and feet (right panel) show negative findings.s.

Figure 3 The WBBS of the patient could see the enhancement at the left knee, which very strong uptake indicating the exact location of lesion.

Figure 4A The enhancements of the hybrid SPECT-CT at the left knee confirmed the lesions, in favor of an accompanying sign of SAPHO syndrome.

Figure 4B In the hybrid images of SPECT-CT, the enhancements of uptake exist indicating the evidence of an accompanying sign of SAPHO syndrome.

Discussion

This case report is the only one that confirms the uptake on the SPECT-CT of the knees and feet in a case of SAPHO syndrome. In this case, we noticed the enhancement of the knee and foot confirmed from SPECT-CT images. Based on the skeletal scintigraphy, despite of the enhancement on bilateral the sternoclavicular joints, the involvement of both knees (especially the left side), and both feet/ankle joints (also especially the left one) was confirmed. These kinds of signs in knee and foot/ankle joints are out of features of SAPHO syndrome. As for the SPECT-CT scan, this might be the first case using SPECT/CT to scan the knees and the feet of a person with SAPHO syndrome.2,3,5,6 As shown on the SPECT/CT, hyperostosis appears on the left knee in the axial view and lesions on bilateral knees (left >> right) in the coronal view. For the feet, we can find large area enhancement covering them.

WBBS is a sensitive test that uses radioactive tracers to track or diagnose bone diseases. The tracer would be abstracted mostly on the changing cells and tissues; therefore, it can be used to find the sources of unexplained bone pain, bone infection, bone injury, or any metabolic bone diseases. WBBS can also detect the metastasized cancer that has spread to the bone from other original locations.7 SPECT-CT has been used as a tool to find out pathologies in a case of a SAPHO syndrome, the difference is that the case was focused on the anterior chest wall, which case was expansible osteolytic, sclerotic destructive in bilateral clavicles.6 Other researchers often use PET-CT to diagnose the SAPHO syndrome, and most of them focus on the sternoclavicular joints [8 Sun et al, 2018]. However, our case is knee and foot/ankle.

SPECT is a test that provides the functional changes, which can bind the free calcium during remodeling to show the active areas of the skeleton and even the parts that are affected by inflammation.9 SPECT can make out inflammatory arthropathy of facet joint either in the lumbar spine or cervical spine, which would be a boosted uptake on the facet joint.10 There was a patient of psoriatic arthritis who suffered from joint pain and neck pain with a swollen bump of the right sternoclavicular joint, SPECT-CT scan confirmed the inflammation in sternoclavicular joint with flare-up.11 SPECT-CT has also been used to show increased uptake of MDP.12 Also, SPECT-CT can be used to detect bone marrow edema, and the sensitivity is higher than the MRI.13 Recently, we used SPECT-CT to diagnose some tough situations. Such as, an early detection of a DISH patient,14 and the diagnosis of a hairline fracture of the ribs after a car accident.15

Conclusion

This is a case of SAPHO syndrome with accompanying sign involving knee and foot pathology. With the help of this case, we can bring to a close that SPECT/CT provides precious intelligence for the detection and further diagnosis of exact site(s) joint pain and associated enthesopathy. In undiagnosed cases with multiple complaints and without determined focus, a radiograph of plain films is often insufficient, hence obtaining information from skeletal bone scan and SPECT/CT will help yield the exact diagnosis, both which play an important role in the discipline of scintigraphic rehabilitation.

Acknowledgments

None.

Conflicts of interest

The authors declare no conflicts of interest.

References

  1. Liu S, Tang M, Cao Y, et al. Synovitis, acne, pustulosis, hyperostosis, and osteitis syndrome: review and update. The Advr Musculoskelet Dis. 2020.
  2. Kishimoto M, Taniguchi Y, Tsuji S, et al. SAPHO syndrome and pustulotic arthro-osteitis. Modern Rheumatology. 2022;32(4):665–674.
  3. Rukavina I. SAPHO syndrome: a review. J Child Orthop. 2015;9(1):19–27.
  4. Hirosawa T, Kawamoto S, Shimizu T. SAPHO syndrome. BMJ Case Report. 2019;12(12).
  5. Przepiera-Będzak H, Brzosko M. SAPHO syndrome: pathogenesis, clinical presentation, imaging, comorbidities and treatment: a review. Postepy Dermatol Alergol. 2021;38(6):937–942.
  6. Gupta N, Verma R, Belho ES. Bone Scan and SPECT/CT Scan in SAPHO Syndrome. Indian J Nucl Med. 2019;34(4):349–350.
  7. Knapp BJ, Devarakonda S, Govindan R. Bone metastases in non-small cell lung cancer: a narrative review. J Thorac Dis. 2022;14(5):1696–1712.
  8. Sun X, Li C, Cao Y, et al. F-18 FDG PET/CT in 26 patients with SAPHO syndrome: a new vision of clinical and bone scintigraphy correlation. J Orthop Surg Res. 2018;13(1):120.
  9. Koppula BR, Morton KA, Al-Dulaimi R, et al. SPECT/CT in the evaluation of suspected skeletal pathology. Tomography. 2021;7(4):581–605.
  10. Chang ST, Liu CC, Yang WH. Single-photon emission computed tomography/computed tomography (hybrid imaging) in the diagnosis of unilateral facet joint arthritis after internal fixation for atlas fracture. Herald Scholarly Open Access Journal of Medicine: Study & Research. 2019.
  11. Chang ST, Tsai WY. Abrupt swollen bump of the shoulder girdle joint as the first presentation of flare-up in a case of axial spondyloarthritis. Can J Biomed Res Tech. 2020;3(5):1–5.
  12. Tsai WY, Tsai YL, Chang ST. Sudden upheaval of the sternocostoclavicular joint explicated by skeletal scintigraphy in case of psoriatic arthritis. Taiwan Journal of Physical Medicine and Rehabilitation. 2021;49(1):119–126.
  13. Su CL, Tsai YL, Cheng YY, et al. Meniscus tear presented as bone marrow edema manifested in hybrid images in skeletal scintigraphy: a case report. Archives of Rheumatology & Arthritis Research. 2021;1(3).
  14. Tee DAG, Huang TY, Lai CY, et al. The utilization of single photon emission computed tomography/computed tomography (SPECT/CT) for detecting early-phase diffuse idiopathic skeletal hyperostosis. International Jouranl of Clinical Studies & Medical Case Reports. 2023;26(4):1–4.
  15. Huang TY, Tee DAG, Lai CY, Chang ST. Subclinical rib fractures detected by SPECT/CT imaging in a patient with chest wall pain following a car accident. MOJ Orthop Rheumatol. 2023;15(2):50–55.
Creative Commons Attribution License

©2023 Chia-Yuan, et al. This is an open access article distributed under the terms of the, which permits unrestricted use, distribution, and build upon your work non-commercially.