Submit manuscript...
MOJ
eISSN: 2374-6939

Orthopedics & Rheumatology

Case Report Volume 9 Issue 5

Ipsilateral Distal Humerus Intercondylar Fracture with Radial Nerve Palsy and Monteggia Fracture Dislocation in Adult

Byanjankar S, Sharma JR, Shrestha R, Panthi S, Dwivedi R, Joshi RR

Department of Orthopedics and Traumatology, Lumbini Medical College & Teaching Hospital, Nepal

Correspondence: Byanjankar Subin, Department of Orthopedics and Traumatology, Lumbini Medical College & Teaching Hospital, Palpa, Nepal, Tel 00977-9841794788, Fax 00977-75-411205

Received: December 05, 2017 | Published: December 20, 2017

Citation: Byanjankar S, Sharma JR, Shrestha R, Panthi S, Dwivedi R, et al. (2017) Ipsilateral Distal Humerus Intercondylar Fracture with Radial Nerve Palsy and Monteggia Fracture Dislocation in Adult. MOJ Orthop Rheumatol 9(5): 00368. DOI: 10.15406/mojor.2017.09.00368

Download PDF

Abstract

We present two cases, one with ipsilateral distal humerus intercondylar fracture with radial nerve palsy and Monteggia fracture dislocation and other with ipsilateral distal humerus intercondylar fracture and Monteggia lesion in adults. To our knowledge, this combination of injuries with radial nerve palsy has not been described in skeletally mature individuals. Four cases have been described in literature till date. Both cases were treated with rigid internal fixation of the fractures as well as early rehabilitation protocols. Both patients had satisfactory results, despite of severe injuries. There was complete recovery of radial nerve by nine month post operatively. Achievement of anatomic reduction of fractures and radio humeral joint and adherence to established internal fixation protocol is essential in the treatment of complex injuries of upper extremity.

Introduction

Monteggia lesion, first described by Monteggia in 1814, is defined as a fracture of ulna with a dislocation of radio-humero-ulnar joint. Monteggia fracture dislocations are rare injuries of the forearm. Four type types of Monteggia lesion and two types of equivalent lesions was described by Bado in 1967, depending upon the angulation of the ulnar fracture and displacement of radial head.1

The incidence of Monteggia lesion is only 1 to 2% of all childhood forearm injuries and even less in adults.2 Distal humerus intra-articular fractures constitute 0.5%-7% of all fractures and 30% of elbow fractures.3 Monteggia lesion have been found to be associated with wrist lesions.1,4,5 Wiley and Galey1 & Arazi et al.6 reported one case each of the ipsilateral supracondylar fracture of humerus and Monteggia lesion in skeletally immature individuals. Good results can only be obtained by early diagnosis and rigid internal fixation.7

Simultaneous occurrence of Monteggia fracture-dislocations and fracture of the distal humerus fracture is an exceedingly are injuries in adults. There are only five papers reporting this kind of lesion, one describing two adults8 and two each reporting one adult case9,10 and the other two each reporting one childhood case.6,11

To our knowledge, this combination of injuries with radial nerve palsy has not been described in skeletally mature individuals. We report an unusual case of concomitant Monteggia fracture - dislocation (type 1) and intercondylar fracture of the ipsilateral humerus with radial nerve palsy in a skeletally mature patient. The mechanism and management of this unusual injury are discussed.

Case 1

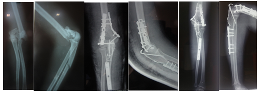
A 24-year-old teacher was injured in a high-velocity motor-vehicle accident. He sustained an ipsilateral intercondylar distal humerus fracture (AO 33 C1) and a Monteggia fracture-dislocation (Bado type II) in the left forearm (Figure 1), accompanied by an incomplete radial nerve palsy. On evaluation, head and other internal injuries were rule out. There were no other long bone fractures. The upper extremity injuries were treated two days after admission to orthopedic ward.

Figure 1 Pre, Post operative & 3 months follow up
a. Pre op b. Post C. 3 months follow-up

The Monteggia lesion was reduced first by plating the ulna fracture with seven hole, 3.5 mm dynamic compression plate. Closed reduction of radial head was achieved. The distal humerus was approached with extended posterior approach with Chevron osteotomy. Two 3.5 mm reconstruction plate was used for the humeral fracture and one 4.0 mm cannulated screw for intercondylar extension. The two plates were oriented at 900 to each other with the medial plate lying medial surface of the humerus and the lateral plate lying posterior 900 to this. The radial nerve was explore as there was nerve palsy. Per operatively, the radial nerve was entrapped within the proximal segment of the humerus. After fixation of chevron osteotomy with K-wires and tension band wiring, the ulnar nerve was transposed anterior to the medial epicondyle of the humerus. Post operatively, a long arm posterior slab was applied. The elbow was immobilized with splint for 12 days. Suture was removed and active range of motion exercises were begun after removal (Figure 1).

At 9 months follow up, the patient did not complain of any symptoms of radial nerve palsy. The radiographs demonstrated bony union of both distal humerus and ulna with correct position of the radial head (Figure 2). The patient had full extension, flexion to 135°, supination to 90° and pronation to 90°. The final result was excellent according to the Broberg and Morrey scale.

Figure 2 9 months follow up.

Case 2

The patient is a 37 year old man involved in jumping from roof during earthquake. He sustained distal humerus intercondylar fracture of humerus (AO 33 C2) and ipsilateral Monteggia fracture dislocation (Bado type I) of his left upper extremity. On evaluation, there were no head and internal organ injuries. He was operated after 3 days of admission. Open reduction and internal fixation (ORIF) under general anesthesia was done on the next day. The extended posterior approach was used to approach both the fractures. The ulnar fracture was first fixed with 9 hole 3.5 mm limited contact dynamic compression plate. A closed stable radial head reduction was then performed. Chevron osteotomy was done to address distal humerus fracture. A seven hole reconstruction plate was used to stabilize the medial column. A ten hole reconstruction plate was placed laterally (parallel plate fixation) to fix lateral column. No intercondylar lag screw was used. Chevron osteotomy was fixed with K-wires and tension band wiring. Ulnar nerve was transposed anteriorly. An above elbow posterior slab was applied post-operatively. The elbow was immobilized for 12 days, after which the suture was removed and active exercise was started.

On evaluation 18 months postoperatively, the patient had extension lag of 25°, flexion to 130°, and supination to 900 and pronation to 90°

Discussion

Our review of the literature revealed only three articles reporting four cases of ipsilateral distal humerus fractures and Monteggia fracture dislocations.

Beredjiklian et al. reported two adult patients with AO type C1 distal humeral fractures associated with ipsilateral anterior Monteggia fracture-dislocations, occurring after high velocity trauma with other associated injuries. ORIF with 3.5 mm dynamic compression plate (DCP) and 3.5 reconstruction plate was performed for the distal humeral and ulnar fractures in both cases. Despite flexion contracture, the final results were satisfactory in both cases.8

Pankaj A et al. reported one patient with AO type C2 intercondylar fracture of the distal humerus and comminuted fractures of the proximal diaphysis of the ulna, occurring after fall from six feet height. ORIF with 3.5 mm DCP for ulnar fracture and 3.5 reconstruction plates for distal humerus fracture. Although flexion contracture was present, the final result was satisfactory.9

Wang Y et al.10 presented the case of a nineteen year old female who sustained an ipsilateral distal humerus fracture and Monteggia fracture dislocation after high energy motor vehicle accident. The patient was treated with ORIF with 3.5 mm limited contact DCP for ulnar fracture and two 3.5 mm reconstruction plates and one lag screw for the intercondylar extension. The final result was excellent without any contractures.10

Isolated Monteggia fracture dislocation is caused by hyperpronation.12 However, Tompkins reported that hyperextension of the elbow plays a major role in causing this kind of injury.9  In our case, the mechanism of injury in both cases probably involved a combination of hyperextension, hyper pronation and axial loading.13

We present two cases of intra articular distal humerus fractures associated with ipsilateral Monteggia fracture dislocations in adults. One case was the result of high energy motor vehicle accident and the other was of fall from height. The probable mechanism of injury in both cases involves a combination of elbow joint hyperextension and axial loading. The radial nerve was injured in case 1 and for this nerve was explored. In both cases, the fracture were treated through an extended posterior approach with Chevron osteotomy of ulna. Osteotomy was performed for the distal humeral fracture for better exposure of intra articular fragments.14

Stable internal fixation using two reconstruction plates in medial and lateral column was used in both distal humerus fractures to allow early motion. In case 1 anatomic fixation of ulna was done, but in case 2 bridge plating was done. In both cases the radial head was able to be reduced closed. Compression of the two intra articular fragments can be best achieved with a lag screw. So, we use a lag screw for the intercondylar extension of distal humeral fracture (case 1) rather than a positional cortical screw. Beredjiklian el al.8 reported heterotopic ossification about the elbow in one case despite the indomethacin prophylaxis. No any heterotopic ossification was seen in both of our cases.8 Anatomical reduction of the distal humerus articular surface and rigid fixation of the diaphysis allowed the patient for early physiotherapy. Follow golden orthopedic principle “always do X-ray of the fracture including joint above and below” to pick up such injuries. Always do complete neurovascular examination of the extremity post operatively to pick up such injuries and to avoid medico legal problems.

Conclusion

Ipsilateral distal humeral fracture with Monteggia fracture dislocation is an exceptional injury in adults. The mechanism of injury probably involves a combination of hyperextension, hyper pronation and axial loading. Good long term outcome depends upon the anatomic reduction and rigid internal fixation as well as early functional exercises.

Acknowledgement

None.

Conflict of interest

The author(s) declare(s) that there is no conflict of interest regarding the publication of this paper.

References

  1. Bado JL. The Monteggia lesion. Clin Orthop. 1976;50:71‒86.
  2. Reckling FW, Cordell LD. Unstable fracture‒dislocations of the forearm. The Monteggia and Galeazzi lesions. Arch Surg. 1968;96(6):999‒1007.
  3. Galano GJ, Ahmad CS, Levine WN. Current treatment strategies for bicolumnar distal humerus fractures. J Am Acad Orthop Surg. 2010;18(1):20‒30.
  4. Clare DJ, Corley FG, Wirth MA. Ipsilateral combination Monteggia and Galeazzi in an adult patient: a case report. J Orthop Trauma. 2002;16(2):130‒134.
  5. Ring D, Jupiter JB, Simpson WS. Monteggia fractures in adults. J Bone Joint Surg Am. 1998;80(12):1733‒1744.
  6. Arazi M, Ogun TC, Kapicioglu MF. The Monteggia lesion and ipsilateral supracondylar humerus and distal radius fractures. J Orthop Trauma. 13(1):60‒66.
  7. Eathiraju S, Mudgal CS, Jupiter JB. Monteggia fracture dislocations. Hand Clin. 2007;23(2):165‒177.
  8. Beredjiklian PK, Bozentka DJ, Ramsey ML. Ipsilateral intercondylar distal humerus fracture and Monteggia fracture‒dislocation in adults. J Orthop Trauma. 2002;16(6):438‒440.
  9. Pankaj A, Malhotra R, Bhan S. Monteggia fracture‒dislocation with intercondylar fracture of the ipsilateral humerus: an unsual Monteggia variant. Injury Extra. 2005;36(3):51‒54.
  10. Wang Y, Han Q, Tao R, et al. Ipsilateral intercondylar distal humeral fracture and Bado type II Monteggia lesion in an adult: a case report. Orthopaedic surgery. 2010;2(2):161‒164.
  11. Wiley JJ, Galey JP. Monteggia injuries in children. J Bone Joint Surg Br. 1985;67(5):728‒731.
  12. Evans EM. Pronation injuries of the forearm with special reference to the anterior Monteggia fracture. J Bone Joint Surg Br. 1949;31(4):578‒588.
  13. Tompkins DG. The anterior Monteggia fracture: observations on etiology and treatment. J Bone Joint Surg Am. 1971;53(6):1109‒1114.
  14. Babhulkar S, Babhulkar S. Controversies in the management of intra‒articular fractures of distal humerus in adults. Indian J Orthop. 2011;45(3):216‒225.
Creative Commons Attribution License

©2017 Byanjankar, et al. This is an open access article distributed under the terms of the, which permits unrestricted use, distribution, and build upon your work non-commercially.