Submit manuscript...
MOJ
eISSN: 2374-6939

Orthopedics & Rheumatology

Case Report Volume 10 Issue 1

Lytic Lesion in the Femoral Epiphysis of a Young Patient with Anorexia: A Case Report

González Buesa E, Antón Capitán B, Malillos Torán M

Department of Trauma and Orthopaedic Surgery, Hospital San Pedro, Spain

Correspondence: Eduardo Gonzalez Buesa, Trauma and Orthopaedic Surgery Department, Hospital San Pedro, C/ Piqueras 98, 26006 Logrono, La Rioja, Spain

Received: August 12, 2017 | Published: January 17, 2018

Citation: González BE, Antón CB, Malillos TM (2018) Lytic Lesion in the Femoral Epiphysis of a Young Patient with Anorexia: A Case Report. MOJ Orthop Rheumatol 10(1): 00379. DOI: 10.15406/mojor.2018.10.00379

Download PDF

Abstract

Chondroblastoma is an uncommon, benign though locally aggressive tumour, which is usually found in the proximal portion of the tibia or femur and tends to affect individuals between 15 and 25 years of age. Here, we present the case report of a 15-year-old female patient whose main presenting symptom was pain accompanied by a red flag symptom, anorexia. The detailed physical and psychiatric examination excluded any other cause for this symptom, which is extremely rare in the literature associated with chondroblastoma. The treatment of choice for these tumours is surgical resection, curettage and filling of the lesion with a bone graft. The result after two years’ follow-up was satisfactory, with the disappearance of all symptoms.

Keywords: Chondroblastoma, Anorexia, Epiphyseal bone tumour, Adolescence

Introduction

Epiphyseal tumours in young patients are a diagnostic challenge, largely due to their rarity. The differential diagnosis for a lytic lesion with well-defined margins at the epiphysis of a long bone in a young patient should fundamentally include three lesions typically found at the epiphysis: chondroblastoma, giant-cell tumour of bone and clear cell chondrosarcoma. Other conditions to consider include osteomyelitis, eosinophilic granuloma and osteochondral lesions of traumatic origin. Chondroblastoma accounts for less than 1% of total primary bone tumours and it is the third most common tumour within the cartilaginous lineage with benign histology, after enchondroma and osteochondroma, both of which have a much greater incidence, and the only tumour of lesser incidence is the chondromyxoid fibroma. Typically, it is found at the epiphysis of long bones in the lower limbs, especially the proximal humerus, the distal femur and the proximal tibia. In the case series published, 72% of the lesions are located in the lower limbs and 30% around the knee. At the proximal end of the femur, it is found at the femoral epiphysis or at the greater trochanter in a third of cases. In a few cases, as is also true with the giant-cell tumour of bone, the development of pulmonary metastases has been described. These lung lesions are histologically benign and, as such, can be considered pulmonary disease deposits whose development is promoted by surgery on the primary tumour or recurrent lesions.1,2 The following case report is of interest due to the presentation with the symptom of anorexia, which is suggestive of malignancy and is to be interpreted with caution.

Case report

15-year-old female patient with isolated inflammatory-type pain in the region of the right greater trochanter having developed over 3 months with no history of trauma. Initially, this symptom was associated with the wearing of a Cheneau brace for thoracolumbar scoliosis. Weeks later, the patient developed dramatic weight loss due to the anorexia that she related to the pain in the right lower limb.

Physical examination

The patient was severely malnourished with a BMI of 13.8. The general examination was unremarkable. The systematic review did not reveal any details of interest and the cardiac and respiratory auscultation were normal. There was tenderness to palpation over the right trochanteric region which was accentuated on passive mobilisation of the joint in flexion, extension, abduction and in the different rotations. Thomas’ and Trendelenburg’s tests were negative and active mobility was preserved with a normal range of movement, although this was painful.

On palpation, there was no soft tissue tumour or prominence of the ilio-tibial band. The patient received an exhaustive psychiatric assessment that excluded anorexia nervosa.

Diagnostic tests

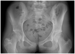
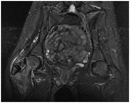
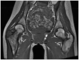
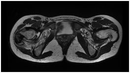
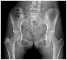
The simple x-ray showed a lytic lesion of the right greater trochanter with well-defined borders and no calcifications within it (Figure 1). The laboratory findings were characteristic of severe protein calorie malnutrition with a normal full blood count and CRP. The magnetic resonance imaging showed signal alteration at the right greater trochanter measuring 3.3 cm in diameter and triangular in morphology, with low signal in T1 and T2. It was well demarcated by a hypointense line and associated with bone marrow oedema of practically the whole of the right neck of femur. We also visualised significant signal changes with acute inflammatory characteristics of the tendons inserting into the right greater trochanter, related to acute tendinopathy in that region (Figure 2).

Figure 1 Initial simple x-ray: lytic lesion of the right greater trochanter.

  • Figure 2: MRI scan showing increased signal in the bone marrow and perilesional tendons.

Diagnosis

We therefore proposed taking a biopsy of the lesion for histopathology and culture. The report identified the lesion as being a chondroblastoma and the culture came back negative.

Treatment

On an elective basis, we surgically removed the lesion followed by curettage and filling with a bone allograft via the lateral approach. The procedure was uncomplicated (Figure 3).

  • Figure 3 Removal, curettage and insertion of bone allograft.

Clinical course

The patient progressed satisfactorily. The symptoms had disappeared 2 months after the procedure (Figure 4).

Figure 4 Simple x-ray two months after the treatment.

Discussion

The presence of anorexia as an accompanying symptom of chondroblastoma is very infrequent in the literature. In this regard, we considered it very important that a detailed general and psychiatric examination should exclude other, commoner causes of the symptom, particularly in view of the patient’s age, at which anorexia nervosa is a significant condition. The development of a palpable mass or rapid growth of the lesion are indicators of malignancy covered in more detail in the bibliography.3,4

Chondroblastoma is an uncommon, benign but locally aggressive lesion. Most cases are diagnosed in the second decade of life, predominantly in males. It is typically found at the epiphysis, particularly of the long bones of the lower limbs (the proximal portion of the tibia and femur). Left to develop freely, the lesions progressively increase in size and can extend to the metaphysic.4

Clinically, the symptoms tend to be non-specific. Pain is the most common symptom, but functional power loss and occasionally a palpable mass can also be found. Pathological fracture is another, very unusual presentation.4 In our review of the literature, anorexia does not feature as a characteristic or usual symptom.

The typical radiological presentation of a chondroblastoma is as a subcortical osteolytic lesion with well-defined margins and a diameter ranging between 2 and 4 cm. Occasionally, chondroblastomas show growth to the metaphysis, insufflation or a periosteal reaction.1

CT imaging shows chondroblastoma to be a single, often eccentric lesion, which may show calcification. On magnetic resonance imaging, the most usual finding is a lesion that is predominantly hypo- or isointense with regard to the muscle, with diffuse foci of signal hyperintensity. The development of bone or soft tissue oedema, as well as articular effusions, are very characteristic of chondroblastoma, although these reactions can also be seen with other benign tumours such as osteoid osteoma or osteoblastoma.1

The treatment for chondroblastoma consists in curettage of the lesion followed by filling of the resulting cavity using bone grafts. The treatment of these lesions can damage the growth plate and articular cartilage. Joint arthrosis is a common complication following aggressive curettage, particularly when the lesion is located in the proximal femur.5

Giant-cell tumours can also present as an epiphyseal lytic lesion accompanied by anorexia. It is a locally aggressive tumour that rarely metastasises. It is most common in the metaphyseal or epiphyseal region of long bones in women aged 30-50. It rarely occurs in immature bone and tends to present as a solitary lesion.6

The principal complication in management of the condition is recurrence following surgical treatment: up to 65% after isolated curettage, which can drop to 12-27% if associated with adjuvant therapy (phenol, liquid nitrogen or polymethyl methacrylate). En bloc resection is the most aggressive treatment option, which is normally considered second-line given the usual patient age. Other rare complications include lung metastases or malignant transformation.6

The third possible diagnosis is a clear cell chondrosarcoma, a cartilaginous tumour with a low grade of malignancy, although it is locally aggressive. It tends to appear around the third and fourth decade of life and is more common in men with a proportion of 2.4:1 with respect to women. It has a predilection for the ends of long bones (the most common location is the proximal third of the femur), usually extending from the articular cartilage.6,7

Clinically, these are slow growing tumours that manifest with a several-year history of pain in the affected area.7 The treatment for this variant of chondrosarcoma is based on curettage or extirpation. If this is incomplete, in most cases it results in recurrence and possibly metastases to the lung or other bone locations.8

Conclusion

The relationship between anorexia and chondroblastoma is certainly rare and was not associated with especially aggressive tumour behaviour in this case. The presence of anorexia, rapid tumour growth or accompanying systemic symptoms always represents a red flag for healthcare professionals. For this reason, a detailed history and general examination are of great importance to exclude more common pathologies or those with a worse prognosis.

Acknowledgement

None.

Conflict of interest

None.

References

Creative Commons Attribution License

©2018 González, et al. This is an open access article distributed under the terms of the, which permits unrestricted use, distribution, and build upon your work non-commercially.