Submit manuscript...
MOJ
eISSN: 2374-6939

Orthopedics & Rheumatology

Case Report Volume 16 Issue 4

Morphological changes of the upper maxilla produced by the hyrax type circuit breaker in early age: case report

Johanna Valdez, Guillermo De Vicente

Cínica Odontológica “Agustín Hombach” en el Campus Sagrado Corazón de Jesús de la UNICAH, Honduras

Correspondence: Johanna Valdez, Cínica Agustín Hombach, Dental Clinic at the Sacred Heart of Jesus Campus of UNICAH, Tegucigalpa, Honduras

Received: August 20, 2024 | Published: September 6, 2024

Citation: Valdez J, Vicente GD. Morphological changes of the upper maxilla produced by the hyrax type circuit breaker in early age: case report. MOJ Orthop Rheumatol 2024;16(5):126-128. DOI: 10.15406/mojor.2024.16.00675

Download PDF

Abstract

The case report of a 11 years old boy, with transversal micrognathism is described, who attended the “Agustín Hombach” Dental Clinic at the Sacred Heart of Jesus Campus of UNICAH, Tegucigalpa Honduras due to having crowded upper incisors, so It was decided to use the Hyrax expansion screw, with which it was possible to improve the patient's facial aesthetics and smile. This is an effective therapeutic procedure, as it allows a rapid widening of the airways, bone bases of the jaw, while increasing the length of the dental arch and the space necessary for the alignment of the teeth.

Keywords: mandibular retrognathism, hyrax type brace, palatal expansion technique, compressed airways.

Introduction

The palatal disjunctor is placed during the growth stage, taking advantage of the plasticity of the maxillary bones in early stages and the fact that the mid-palatal suture has not yet closed.1 Transverse malocclusions are considered alterations of occlusion in the horizontal or transverse plane and are independent of the relationship that exists in the sagittal and vertical planes.2 Rapid maxillary disjunction is an impressive orthopedic procedure for patients with transverse micrognathism of the maxilla; a clinical entity of difficult diagnosis, but with a high incidence in patients with negative discrepancy and, therefore, with severe malocclusions.3 On the other hand, orthopedic palatal expansion is indicated in case of contraction of the transverse diameter of the upper arch in children and young people aged 15-16 years, where a transverse discrepancy of more than 5 mm needs to be corrected.4 The reduction in symptoms of TRS could be related to the downward and forward movement of the jaws caused by ERM, leading to an increase in nasal chambers and improved airflow. The orthopedic effect it produces leads to an increase in both the nasopharyngeal space and a benefit in the position of the tongue. This enlargement of the maxillary bone is generated through distraction osteogenesis, which is favored by the fact that this region is composed of compact bone laterally and fibrous tissue with collagen fibers, fibroblasts and blood vessels in the center.5

Clinical case

Male patient 11 years old with permanent dentition, skeletal class II, straight profile, compressed airway, cervical bone maturation stage CS2, presents compression of the upper arch and deep palate, mandibular retrogantism, with an upper model discrepancy -7.5mm, Bolton analysis shows anterior discrepancy of 5.4mm, the Pont analysis shows a transverse length deficit of -9.20mm, severe crowding in the upper jaw, moderate crowding in the lower jaw, facial biotype is mild Dolicofacial, in the periodontal examination aberrant lingual and labial frenulum was observed; the lower one limits the lingual movement. The indicated examinations included: intraoral photography, panoramic and lateral skull radiographs. When evaluating the results it was corroborated the existence of a transverse micrognathism of the maxilla (Figure 1).

Figure 1.

The treatment plan was discussed and it was decided to use the 9mm Hyrax type expansion screw, bands were made in the first molars, which were not cemented to be removed with an impression and to obtain a working model, in which this screw was adapted (Figure 2&3). The labial frenectomy was performed by the specialty of Periodontics using the classic rhomboidal technique, then on October 23rd, 2023 the cementation of the 9mm. hyrax type disjunctor was performed, applying two daily activations until the formation of the diastema (Figure 4). Applying two daily activations until the formation of the diastema (Figure 4). The appliance was activated ¼ turn in the morning and ¼ turn at night (0.5/day) for a total of 18 activations. Maxillary expansion was chosen instead of premolar extractions due to oral respiration. He is a patient with a restricted airway, therefore extractions would accentuate this condition; on the contrary, expanding the airway would be advantageous for his breathing, on the other hand, by providing the necessary space for the correct location of the tongue, it favors the stability of the upper arch.6 At all times, both the patient and the mother were told in detail how the hyrax-type circuit breaker works and that they could feel slight discomfort, as well as pain and tingling sensations. After 18 days, separation of the median suture was observed. Then, acrylic was added to the screw with the disjunctor to be used as a containment appliance for 3 months to allow time for the bone neoformation of the suture, while the 0.018 royh brackets were placed to align her teeth (Figure 5).

Figure 2.

Figure 3.

Figure 4.

Figure 5 Comparative radiographic analysis.

Orthodontic phase

Roth 18 brackets were cemented to align and level both upper and lower arches with a sequence of niti cooper archwires. Subsequently, a drag impression was taken to fabricate a transpalatal archwire and the hyrax type disjunctor was removed.

Comments

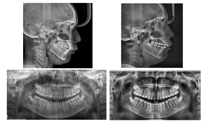
With disjunction, orthopedic expansion is performed to separate the midpalatal suture by applying forces between 3 and 10 ounces against the lateral sectors of the upper jaw. For each millimeter of posterior expansion, 0.7 mm of arch length is obtained.7 The importance of these disjunctors lies in the fact that they make it possible to correct, without surgical intervention, the contractions of the transverse diameter of the upper arch, which are related to a skeletal base defect. These can often be found associated with class I, II or III malocclusions. The use of the Hyrax expander appliance has the advantage of being more hygienic and comfortable than those with extensions or acrylic plates, besides the fact that results can be seen within days. The effectiveness of this screw in rapid maxillary expansion was demonstrated, as it contributed to improve facial esthetics and the patient's smile. Rapid maxillary expansion performed with a Hyrax type disjunctor in a patient in stage CS2 has a high probability of success. Undoubtedly, a spontaneous repositioning of the mandible to a more anterior position was obtained and changes were observed in the nostrils which were compressed and are now permeable, contributing to better breathing and cerebral oxygenation in the patient (Figure 6 & 7).

Figure 6 Comparative radiographic analysis.

Figure 7 Comparative extraoral photographic analysis.

Discussion

The treatment began in October 2023 and consisted of two phases: an initial phase of an orthopedic nature that consisted of the rapid expansion of the jaw and the second orthodontic phase for the correction of dental anomalies. In the literature, it is considered to be of multifactorial origin in the triggering of dental malocclusions. The presence of distorting oral habits such as finger sucking, mouth breathing, atypical swallowing, among others, can alter the growth of both deficit and excess of the maxilla.2 The Hyrax type expander has the advantage of being the one that causes the least inclination of the molar and premolar axes during disjunction, it is more hygienic and comfortable than those with extensions or acrylic plates such as the Hass and the Mc Namara expander, its importance lies in the fact that they correct these transverse alterations quickly and effectively avoiding costly and surgical procedures.8–10 The ERM achieves benefits such as changes in the nasal floor, widens the nasal area, returns to natural physiological function, reduces respiratory diseases and allergy symptoms, improves sleep, feeding and phonation, and changes have also been described at the level of growth hormone (pituitary gland).10 The heavy forces generated by the maxillary disjunction allow maximizing the skeletal effects and minimizing the effects on the dental tissue, at the dental level it manages to correct the transverse discrepancies of the maxilla increasing the interdental widths achieving morphological changes in the palate.7–10 The characteristic clinical sign that the disjunction was performed correctly is the formation of an important interincisor diastema, which closes naturally in a different period of time by the action of the supracrestal fibers of the periodontal ligament, this fact was verified in the evolution of the patient, which she presented after the opening of the suture. The formation of new bone tissue in the free space between the edges of the suture, being a modeling treatment of the palatal suture and other circummaxillary sutures.7–10

Conclusion

Rapid expansion of the upper jaw performed with a Hyrax type circuit breaker in a patient with stage CS2 has a high probability of success. Spontaneous replacement of the jaw to a more anterior position. Radiographic changes in the nasal passages.

Acknowledgments

None.

Conflicts of interest

The authors declare that there are no conflicts of interest.

References

  1. Sato S. Alteration of oclusal plane due to posterior discrepancy related to development of malocclusion. Introduction to denture frame analysis. J GLOBAL. 1987;15(2):115–123.
  2. Mata J, Zambrano F, Quirós O, et al. Rapid maxillary expansion in transverse malocclusions: Literature review. Latin American Journal of Orthodontics and Pediatric Dentistry. 2007.  
  3. Machado R, Bastidas M, Arias E, et al. Maxillary disjunction using the hyrax expander in patients with cleft lip and palate: literature review. Latin American Journal of Orthodontics and Pediatric Dentistry. 2012.
  4. Franco FB, Gabriela GM, Acosta OA. Maxillary expansion with modified Hyrax screw. Oral Medicine. 2007;9(1):25–28. 
  5. Flores AP, Alarcón R, Bravo L, et al. Effect of rapid expansion of the maxilla in the treatment of sleep-disordered breathing in children, literature review. Revista Nacional de Odontología. 2021;17(1):1–11.
  6. Delgado C, Rosenberg F, Keith F, et al. Rapid expansion of the maxilla and its impact on the upper airway aspect: bibliographic review. Odontol. Sanmarquina. 2019;22(4):277–282.
  7. Zamora CE. Compendium of Cephalometrics. 2nd edn. Venezuela: AMOLCA. 2010.
  8. Rabasco J, Vitelli O, Pietropaoli N, et al. Duration of obstructive sleep apnea disease is predictive of efficacy or othodontic therapy in children. European Respiratory Journal. 2014;44(Suppl 58):1143.
  9.  Schütz TCB, Dominguez GC, Hallinan MP, et al. Class II correction improves nocturnal breathing in adolescents. Angle Orthod. 2011;81(2):222–228.
  10.  Villa MP, Rizzoli A, Miano S, et al. Efficacy of rapid maxillary expansion in children with obstructive sleep apnea syndrome: 36 months of follow-up. Sleep Breath. 2011;15(2):179–184.
Creative Commons Attribution License

©2024 Valdez, et al. This is an open access article distributed under the terms of the, which permits unrestricted use, distribution, and build upon your work non-commercially.