Submit manuscript...
MOJ
eISSN: 2374-6939

Orthopedics & Rheumatology

Short Communication Volume 17 Issue 1

Multiple osteochondromatosis as a diferential diagnosis of juvenile idiopathic arthritis - case report

Caroline Graca de Paiva, Marne Rodrigues Pereira Almeida, Alanna Ferreira Alves

Department of Pediatric Rheumathology, Hospital da Criança de Brasilia, Brazil

Correspondence: Caroline Graca de Paiva, Department of Pediatric Rheumathology, Hospital da Criança de Brasilia, Brazil

Received: February 15, 2025 | Published: February 24, 2025

Citation: Paiva CG, Almeida MRP, Alves AF. Multiple osteochondromatosis as a diferential diagnosis of juvenile idiopathic arthritis - case report. MOJ Orthop Rheumatol. 2025;17(1):8-9. DOI: 10.15406/mojor.2025.17.00689

Download PDF

Keywords

multiple osteochondromatosis, juvenile idiophatic arthitis

Background

Multiple osteochondromatosis is a rare family disorder of autosomal dominant nature, which presents with the development of multiple exostoses that can cause changes in the juxta-epiphyseal region and affect the growth of long bones. It can compromise any region, being more common in knees, hips and elbows. It is a benign condition that requires rigorous clinical and radiological follow-up to rule out evolution and concomitance with chondrosarcoma, a rare type of bone cancer, and to monitor the growth of exostoses and their possible consequences on joints and bone development, allowing the adoption of appropriate interventions. The knowledge of this pathology is important for the rheumatologist due to the possible evolution to joint deformities that can be confused with joint sequelae of rheumatic diseases, like rheumatoid arthritis and juvenile idiopathic arthritis, and will avoid confusion of diseases that require distinct approaches.

Case report

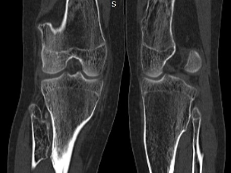
A 12-year-old girl reported pain in the lower limbs, wrists and knees 3 years ago. She evolved with leg pain when walking, edema and asymmetry of the legs and in the circumference of the knees. One year ago, a punctiform bone protuberance appeared near the right external malleolus. A maternal aunt was diagnosed with multiple osteochondromatosis. Physical examination: overall decrease in skeletal muscle strength, antalgic posture, swollen knees, painful limitation of knee movements, abdormal gait and fixed posture in valgus knees. Referred to Rheumatology due to suspicion of Juvenile Idiopathic Arthritis because she had deformities in the knees and pain in different joints; however, it was observed that there was no associated arthritis. Laboratory tests without alterations and computed tomography (CT) revealed the presence of multiple osteochondromas (Figure 1-3), indicating a bone metaplasia, compatible with the diagnosis of multiple osteochondromatosis.1,2

Figure 1 Three-dimensional CT showing multiple osteocondromas.

Figure 2 Coronal view of CT showing a sessile bony mass arising from the posterolateral aspect of the distal segment of the left fêmur (White arrow).

Figure 3 Coronal view of CT showing a osteochondroma in the distal segment of the left tíbia (White arrow) and left fíbula (blue arrows).

Conclusion

Multiple osteochondromatosis is a hereditary disease of the skeletal system characterized by the development of multiple benign tumors (osteochondromas) that form from cartilage and bone, which can lead to deformities and problems of movement, that can be confused  with rheumatic pathologies. Diagnosis is based on clinical evaluation of symptoms, family history, and imaging tests. In case of malignant transformation, the "gold standard" of diagnosis is bone biopsy. Early diagnosis and proper medical follow-up are essential to ensure the best quality of life for the patient.

Acknowledgments

None.

Conflicts of interest

The author decalres that there are no conflicts of interest.

References

Creative Commons Attribution License

©2025 Paiva, et al. This is an open access article distributed under the terms of the, which permits unrestricted use, distribution, and build upon your work non-commercially.