Submit manuscript...
MOJ
eISSN: 2374-6939

Orthopedics & Rheumatology

Case Report Volume 6 Issue 3

Neglected Fracture Dislocation Hip -Recurrent Neglected Dislocation Hip In Adult

Ahmad Haiji

King Khaled Cilivian Hospital, Saudi Arabia

Correspondence: Ahmad Haiji, Fellow of European Board of Orthopedic and Traumatology, King Khaled Cilivian Hospital, TABOUK City, Saudi Arabia, Tel 967000000000

Received: October 17, 2014 | Published: November 11, 2016

Citation: Haiji A (2016) Neglected Fracture Dislocation Hip -Recurrent Neglected Dislocation Hip In Adult. MOJ Orthop Rheumatol 6(3): 00225. DOI: 10.15406/mojor.2016.06.00225

Download PDF

Abstract

This 19 years old muscular male a case of traffic accident caused multiple injury-minored head injury, abdominal injury; musculoskeletal injury patient was treated by Splenectomy and stayed in ICU for 10 days in small periphery hospital in North West of Saudi Arabia 550 km far away from my hospital in tabooed city in Saudi Arabia. After 4weeks patient shifted to me in central hospital as neglected fracture dislocation right hip pip kin type 2 I’ve done posterior approach right hip -I found tear in posterior capsule and head out of hip and about one third of head broken avulsion of insertion of ligament terries I did fixation of head by three headless screws and reduction of head femur hip is stable after reduction in all positions post op patient is stable and neurological he is free and start non weight bearing and discharge home after 7 days -ambulance transportation is requested but he refuse and transportation is done by family car in sitting and flexion internal rotation hip 550 km during transportation patient receive trauma and fell of clicking in right hip -patient continue non weight bearing with hip pain and come to the orthopedic clinic after 7 weeks of surgery with painful hip and shorting right lower limb -neurological he is free-neglected posterior dislocation hip with false Acetabulum I did skeletal traction for 3 days then I have prepared potion for surgery through posterior approach exploration of sciatic nerve is done -intraoperative finding is crushed and loss of posterior rim and wall of Acetabulum and false Acetabulum in posterio-superior part so need reconstruction of posterior wall of Acetabulum I take graft from anterior part of iliac crest 6cm length and 3 cm width and I have shaved it to take same shape of posterior wall of Acetabulum then I have fixed it by for canulated screws which was stable after fixation after reduction hip is stable in all movement- repair of soft tissue and skeletal traction was done post op patient is stable and neurological he is free and start early range of hip movement after 3weekes skeletal traction was removed and start non weight bearing and patient is shifted to his city 550 km by ambulance after 2 months patient come to clinic doing fine and start partial weight bearing after 3 months patient come to clinic with full weight bearing and full range of movement in right hip and still no sign of avascular necrosis of head femur and I still follow up my patient

Keywords:  Acetabulum, Splenectomy, Dislocation

Introduction

19 years old male has multiple injury due to traffic accident-head injury, abdominal injury, musculoskeletal injury -patient was treated in smaller hospital in the north-west of Saudi Arabia by Splenectomy and admitted in ICU for 10 days. After 4 weeks patient transfer to me in central hospital 550 km far away from the small e hospital -patient complain of painful right hip with shortening lower limb and inability to walk-neurological he is free.

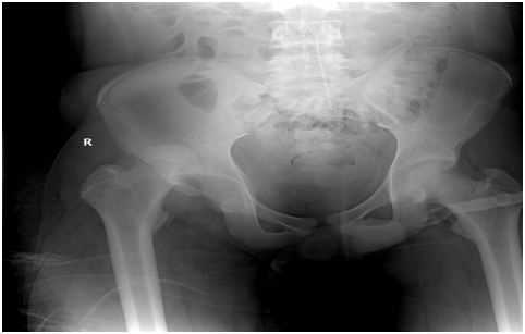
X ray

Fracture dislocation right hip -pip kin type 2

Diagnosis

Neglected fracture dislocation hip pip kin type 2

I did posterior approach right hip-intraoperative finding is  rupture of capsule  and head of femur in gluteus maximus muscle -crushed posterior rim of Acetabulum few millimeters - displaced fracture head femur about one third of the size of head femur-avulsion of ligament tears from head femur. I did fixation of head femur by 3 headless screws and reduction of head femur which was stable in all direction and there is good cover of head femur-good repair for soft tissue is done.

Post operative patient is doing fine, neurological he is free, and non weight bearing is started-after 7 days patient is discharged home and to be shifted by ambulance but he refuse and shifted against medical advice by family car in sitting position with flections and internal rotation hip 550 kms -during transportation patient get trauma and fell clicking in right hip and pain but he neglect it. After 8 weeks of surgery patient come to ortho clinic with painful hip and inability to walk-shortening lower limb-neurological he is free.

X -ray dislocation hip with false acetabulum

Diagnosis neglected dislocation hip with false articulation head femur with iliac bone. Skeletal traction is done for 3 days by 12 kg then I did posterior approach right hip with exploration and isolation sciatic nerve.

  1. Intraoperative findings are false articulation between head femur and iliac bone and lost posterior wall of acetabulum -fracture head femur start healing in good position.
  2. Debridement of acetabulum and open reduction head femur is done -there is no cover to head femur, so need posterior acetabulum wall reconstruction.
  3. I did anterior approach to right iliac bone and full thickness graft 8 cm length and 4 cm width is taken-reconstruction of posterior wall of Acetabulum is done.
  4. I have put inner concave cortex of graft towards head femur and shaving outer cortex to prevent impingement then fixation to posterior column of Acetabulum by 4 canulated screws 4mm-post fixation hip is stable in all direction and there is good cover of head femur-then skeletal traction to distal femur is done-closure in layers.
  5. Post operative patient is doing fine and neurological he is free.
  6. Skeletal traction is continued for 3 weeks and non weight bearing is started and shifted to his home by ambulance.

Results

  1. After 2 months patient is seen in clinic with full range of movement and start partial weight bearing,
  2. After 3 months patient is seen in clinic with full range of movement hip and no sign of avascular necrosis head femur and full weight bearing is started,
  3. After 4 months patient is doing fine, walked full weight bearing, and still am doing follow up to the patient (Figures 1-4).

Figure 1 Neglected fracture dislocation hip 1.

Figure 2 Neglected Fracture Dislocation Hip 2.

Figure 3 Neglected  recurrent fracture dislocation hip After 3 Months.

Figure 4 Neglected  recurrent fracture dislocation hip After 3 Monthes.

Acknowledgment

None.

Conflicts of interest

None.

Creative Commons Attribution License

©2016 Haiji. This is an open access article distributed under the terms of the, which permits unrestricted use, distribution, and build upon your work non-commercially.