Submit manuscript...
MOJ
eISSN: 2374-6939

Orthopedics & Rheumatology

Mini Review Volume 5 issue 5

Osteomyelitis: Identification and Management

Priyanka Kumari,1 Sangeeta Devi,1 Gurmeet Singh1

1Maharishi Markandeshwer University, India
2Thapar university, India

Correspondence: Priyanka Kumari, Maharishi Markandeshwer University, Mullana-Ambala, 133207 India

Received: July 19, 2016 | Published: September 14, 2016

Citation: Kumari P, Devi S, Singh G (2016) Osteomyelitis: Identification and Management. MOJ Orthop Rheumatol 5(5): 00195. DOI: 10.15406/mojor.2016.05.00195

Download PDF

Abstract

Osteomyelitis has many challenges to the doctors. Host factor involved the severity of infection by including cause of disease, effects of disease, degree of bone involvement and duration of infection. The most common agent of this infection is Staphylococcus aureus. MRI and radiograph imaging is helpful for identification of diagnose. Culture specific antibiotics are drug of choice to arresting this infection. Surgical management of osteomyelitis carry bone grafts, muscle flap and aggressive debridement. This review article focuses the basic review of etiology, clinical manifestation, diagnosis and treatment of osteomyelitis.

Keywords: Osteomyelitis, Bones, Antibiotics, Magnetic resonance imaging (MRI), Ultrasound, Debridement

Objective

Osteomyelitis is a severe inflammation within the bone, bone marrow and surrounding soft tissue, that develops secondary to infection with microbial organisms. The objective of this article is to present an over view regarding the identification and management of osteomyelitis.

Introduction

Osteomyelitis is acute and chronic inflammatory process based upon the histopathological finding rather than duration of infection. Osteomyelitis occurring primarily in children and adolescents pathogenic micro-organism cause inflammation and infection of bone, which lead to osteomyelitis and signs appears after two weeks of infection (Figure 1) In chronic osteomyelitis necrotic bone is present and signs may not appear until six weeks of infection.1 Osteomyelitis infection is based on open wound, haematogenous or direct bacterial inoculation inside bone.2 Radio nuclides imagine have improved diagnostic accuracy and better orthopaedic techniques as well as use of some prophylactic regimens which help to minimize the risk of infection among osteomyelitis patient.

Figure 1 Osteomyelitis: bone infection.

Etiology

Bacterial Staphylococcus is common infection which causes an acute and chronic haematogenous osteomyelitis. Different types of pathogens among children are Type A streptococcus, Streptococcus pneumonia, Kingella kingae and Type B streptococcal infection is mainly occur in infants.3 Streptococcus aureus is the common pathogen in bone among adults. Progressively, methicillin-resistant Staphylococcus aureus is separated from patients with osteomyelitis.4 Other persistent cases may be caused by adjacent infection, Pseudomonas aeruginosa, Escherichia coli and Staphylococcus epidermidis. Other reported cases of osteomyelitis are mycobacterial infections and fungal, these are rare and usually found in patients with weakened of body immunity.5

Pathogenesis

Osteomyelitis may be occurring direct inoculation of causative organism in bone. Normal bone is highly resistant to infection occur in case of injury, trauma, and existence of foreign bodies.6 Causative organism streptococcus aureus adhere to bone and expressing receptors for bone matrix. An insignificant skin infection emerge the serious infection such as sub-acute and acute bacterial endocarditic.7 In children and adults, osteomyelitis mainly involves metaphysis of long bone, femur, proximal radius and hummers.8,9 Penetrating injury and surgical contamination are the most common causes of direct inoculation osteomyelitis. Patent with severe vascular diseases often lead to osteomyelitis.

Clinical manifestation

Osteomyelitis of acute haematogenous results from bacterial growth of bone. Most of the Children are more prone to infection because of developing of meta-physeal regions of the long bones, rich in blood supply and more prone to slight trauma. Acute haematogenous osteomyelitis in children occur about one-half of all patients who are under five years.10 Children usually came with the symptom of exist fever, irritability, local erythema, swelling in soft tissues and tenderness bone within two weeks of infection11 while the chronic osteomyelitis are uncommon among children.12 Chronic osteomyelitis prone to open fractures, bacteraemia nearby soft issue infection. After an open fracture the prevalence of significant infection within three months has been reported to high as 27 percent.12 Severity of infection leads to extent of time from the injury to surgery.13 About 1-2% of prosthetic joints become infected14 Very few cases of haematogenous osteomyelitis are found among adults. The infection usually includes the long bones vertebrae, pelvis and clavicle. Various underlying medical conditions such as chronic renal disease, cancer and diabetes mellitus are associated with vertebrate osteomyelitis.15 Around half of diabetic patients lead to peripheral neuropathy that may increase the risk of unrecognized infections.16 That will reduces the body’s healing process and helps to grow the persistently soft tissue infection and open wound. These conditions may enhance the risk of osteomyelitis in all patients of diabetes. Clinical sign and symptoms of osteomyelitis not caused by specific agent difficult to recognize. They include prolonged pain, sometimes fever, poor wound healing, persistent sinus tract or malaise.17

Diagnosis

In children, diagnosis of acute osteomyelitis is mainly based on the fast onset of symptom. General finding like swelling in soft tissue , joint effusion , decrease range of motion in joint, tenderness of bone and erythema can be assessed though the physical examination among patient. There is difficulty of diagnosis for children, because the latent severity of infection. Frequent recurrence occurs among adults, and they advise for surgical intervention, consultation of orthopaedic subspecialist or plastic surgeon.18

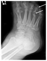
The preliminary assessment should include patient’s history of complete symptoms like, malaise, fever, and lethargy, backache along with predisposing factors like trauma or use of drugs through intravascular route. Main focus of investigation must be on finding a possible suspected locus of infection. Sterilised steel probe is useful to identify osteomyelitis in contagious infection such as diabetic foot. Lavery LA et al.19 Finding revel that the reliability of this has been found to be 89 %, whereas only 57%, positive predictive value has been noticed in a population with lower prevalence of osteomyelitis.19 It is quite difficult to specify particular curative pathogenic organism responsible for osteomyelitis. Specific culture or microbiological testing is required to identify the pathogen such as mycobacterial, fungal and anaerobic organism20 (Figure 2).

Figure 2 Radiograph showing osteomyelitis among metatarsal and phalanges.

Cultures

Blood culture is one of the diagnostic tools to make the diagnosis of osteomyelitis. Positive blood cultures often exclude the necessity for a bone biopsy, provided there is radiographic confirmations of osteomyelitis. Antibiotic treatment is administered on the basis of blood culture. Sometime positive blood culture makes it difficult to identify of infection in one half of all cases.21 In case of osteomyelitis sinus tract cultures are trustworthy for the identification of streptococcus aureus, but do not envisage the absence or presence of gram negative organism.22 Patient of acute osteomyelitis may report persistent elevated erythrocyte sedimentation rate, C-reactive protein and leucocytosis. The most preferred diagnostic criteria for osteomyelitis may be microbial culture, positive bone biopsy, culture and consent with dead tissue or necrotised area.21 

Imaging

Radiographs

In case of osteomyelitis, the previous changes seen are swelling of soft tissue and low bone density. It is difficult to make the diagnosis of osteomyelitis in adults without observing suspected clinical manifestation along with the lab findings and radio imaging.23 Radiographs will generally not indicated until at least 50 to 75% of bone matrix is devastated. Infected area usually appears black (Figure 3). In contagious focus osteomyelitis, radiograph changes are indirect and require careful clinical to have diagnostic significance. Similarly, radiographic hints of improvements may delay behind clinical recovery.24 Ultrasound also detects the feature of osteomyelitis. Chronic osteomyelitis related to tissue abscess is recognized around the bony contours as anechoic fluid collection and also appear on ultrasound (Figure 3). Image A, showing the radio graph of left femur of with increased density and obliteration of tissue planes. Indicated arrow of image B and C represent the extensive soft tissue abscesses with T1-weighted MRI scans, while C image showing displacement of the soft tissues due to a bacterial abscess nearby to an irregular femoral cortex and last image indicate the Long axis vision of the femur.

Figure 3 Osteomyelitis due to direct implantation in a patient.

Magnetic resonance imageing and computed axial tomography

Diagnosis related to musculoskeletal sepsis can be identified with the help of the magnetic resonance imaging (MRI). Although it is pricy it should be preferred when the diagnosis of osteomyelitis is in indeterminate. In case of acute osteomyelitis image appeared abnormal marrow with decreased signal intensity in affected area. MRI also help the surgeon to plan the optimal surgical management, which showing the critical adjacent structure to avoid illness and further complication (Figure 4). The MRI finding are depends up on weighted T1 or T2 pulse sequence on the disease stage. Imaging principal and different pulse sequence can be used in the evaluation of musculoskeletal system. Arrows around the Image A and b represent classic presence of an abscess image C indicated the Axial T1-weighted MRI scan showing an intramedullary lobulated lesion, with a defined outline. While image D, Indicate the T1-weighted and T2 fat-suppressed Coronal MRI scans displaying marrow involvement and image F represents the MRI scan showing hyperintense circular and precise lesion. Computed axial tomography (CAT) also have important role in diagnosis, and in early infection an increased marrow density occur and intramedullary gas has been reported in patient with osteomyelitis.25,26 CAT imaging also help to find out the involvement of soft tissue area and necrotic bone.

Figure 4 Hematogenous osteomyelitis: Brodie’s abscess.

Treatment

Antibiotic treatment

Antibiotic therapy based on vulnerability and cultures are the treatment of osteomyelitis and sometimes surgical removal of foreign material and dead tissue is also required.27,28 When culture will not help out to provide wide range of information broad spectrum, empirical antibiotics should be administer to the patient. Biopsy cultures and False-negative blood are necessary in patients who have begun antibiotic treatment. Duration and route of administer the antibiotic therapy is not clear. Clinically antibiotics can be delayed until microscopic culture and sensitivity results are not accessible.29 After the confirmation of result broad spectrum antibiotic regimen may be started. In case of long bone osteomyelitis initial antibiotic therapy may consist of either clindamycin or nafcillin, ciprofloxacin. After debridement surgery, the bone requires 4 to 4 weeks to revascularise (Table1).

Medication Type

Antibiotics

Usual Dosage

Adverse Effects

Comments

Methicillin Resistant Staphylococcus Aureus

Vancomyin

15 to 22.5 mg/kg IV Q12 hours

Red man syndrome, neutropenia, thrombcoytopenia

Slowly bactericidal

Methicillin Resistant Staphylococcus Aureus

Daptomycin

6mg/kg IV Q24 hours

Elevated CPK level

Bactericidal: con not be used in pneumonia

Methicillin Sensitive Staphylococcus Aureus

Nafcillin

2,000 mg IV Q4 hours

Neurotoxicity at high dose, bone marrow suppression

12g/24 hours in six divided dose for six or more weeks if endocarditis

Methicillin Sensitive Staphylococcus Aureus

Cefazolin

2,000 mg IV Q8 hours

Hepatitis, rash, fever, seizure, renal failure, eosinophilla, neutropenia, leukopenia, thrombocytopenia

 

Oral antibiotics

Linezolid

600 mg PO Q12 hours

Long term (>28days) neurological and bone marrow toxicity

Bacteriostatic 100% oral bioavailability

Oral antibiotics

Quinolone (levofloxacin/  

ciprofloxacin+ rifampin)

Levofloxacin 500mg PO daily/

ciprofloxacin 500mg PO daily+

rifampin 600 mg PO daily or 300 to 450 mg PO Q12 hours with other antibiotice

Quinolone: headache, nausea, diarrhea
Rifampin:
Transaminitis, diarrhea, rash

 

Table 1 Antibiotic regimens for patient with osteomyelitis

Surgical management

Surgery can be indicated after failure of antibiotic treatment, or in case of chronic osteomyelitis with dead soft tissue or bone.30 Surgical debridement removes the dead necrotic tissue. Some cases adequate debridement may leave a huge bone dead space and defect. Management of bone dead space is very necessary for maintenance of bone integrity and to arrest the diseases. Dead space management is replacement of dead bone and wound tissue with durable vascularized tissue.31 Vascularized bone graft and free flap also used oftenly. In case of chronic osteomyelitis, Primary surgical strategy is debridement and muscle flap. Administration of 10,000 IU of vitamin weekly for four to six week is considered as the effective treatment for nutritional osteomyelitis. Patient must be encouraged for dietary intake of low fat milk, vegetables, and eggs as well as to the exposure of sunlight

Prevention of oestomylitis

Diabetic patient need to focus on proper food care. Daily assessment of foot is very necessary for the diabetic patient. Daily washing of foot and use of soothing cream is essential to avoid breakdown of skin. Diabetic patient may also avoid fitted and barefoot to reduce the trauma. Osteomyelitis may be minimizing by preventing foot injury and foot ulcer among diabetic patient.32 

Conclusion

Osteomyelitis is a serious problem among children as well as adults in acute and chronic forms. It infected the bone and its surrounding tissue result in the form of permanent damage of bone. Due to similarity in symptoms of osteomyelitis it difficult to identify the infection at the earlier stage Board spectrum

Acknowledgment

None.

Conflicts of interest

None.

References

  1. Mylona E, Samarkos M, Kakalou E, et al. Pyogenic vertebral osteomyelitis: a systematic review of clinical characteristics. Semin Arthritis Rheum. 2009;39(1):10‒17.
  2. Waldvogel FA, Medoff G, Swartz MN. Osteomyelitis: a review of clinical features, therapeutic considerations and unusual aspects. N Engl J Med. 1970;282(4):198‒206.
  3. Kaplan SL. Osteomyelitis in children. Infect Dis Clin North Am. 2005;19(4):787‒797.
  4. Aragón‒Sánchez J, Lázaro‒Martínez JL, Quintana‒Mar‒rero Y, et al. Are diabetic foot ulcers complicated by MRSA osteomyelitis associated with worse prognosis? Outcomes of a surgical series. Diabet Med. 2009;26(5):552‒555.
  5. Kohli R, Hadley S. Fungal arthritis and osteomyelitis. Infect Dis Clin North Am. 2005;19(4):831‒851.
  6. Treves S, Khettry J, Broker FH, et al. Osteomyelitis: early scintigraphic detection in children Pediatrics. 1976;57(2):173‒218.
  7. Belmatoug N, Crémieux AC, Bleton R, et al. A new model of experimental prosthetic joint infection due to methicillin‒resistant Staphylococcus aureus: a microbiologic, histopathologic, and magnetic resonance imaging characterization. J Infect Dis. 1996;174(2):414‒417.
  8. Zimmerli W, Lew PD, Waldvogel FA. Pathogenesis of foreign body infection: evidence for a local granulocyte defect. J Clin Invest. 1984;73(4):1191‒1200.
  9. Hermann M, Vaudaux PE, Pittet D Auckenthaler R, et al. Fibronectin, fibrinogen and laminin act as mediators of adherence of clinical staphylococcal isolates to foreign material. J Infect Dis. 1988;158(4):693‒701.
  10. Gutierrez K. Bone and joint infections in children. Pediatr Clin North Am. 2005;52(3):779‒794.
  11. Saavedra‒Lozano J, Mejías A, Ahmad N, et al. Changing trendsin acute osteomyelitis In children: impact of methicillin‒resistant Staphylococcus aureus infections. J Pediatr Orthop. 2008;28(5):569 ‒575.
  12. Auh JS, Binns HJ, Katz BZ. Retrospective assessment of subacute or chronic osteomyelitis in children and young adults. Clin Pediatr (Phila). 2004;43(6):549‒555.
  13. Pollak AN, Jones AL, Castillo RC, et al. LEAP Study Group. The relationship between time to surgical debridement and incidence of infection after open high‒energy lower extremity trauma. J Bone Joint Surg Am. 2010;92(1):7‒15.
  14. Kurtz SM, Lau E, Schmier J, et al. Infection burden for hip and knee arthroplasty in the United States. J Arthroplasty. 2008;23(7):984‒991.
  15. Zimmerli W. Clinical practice. Vertebral osteomyelitis. N Engl J Med. 2010;362(11):1022‒1029.
  16. Barrett AM, Lucero MA, Le T, et al. Epidemiology, public health burden, and treatment of diabetic peripheral neuropathic pain: a review. Pain Med. 2007;8(Suppl 2):S50‒S62.
  17. Abdulrazak A, Bitar ZI, Al‒Shamali AA, et al. Bacteriological study of diabetic foot infections. J Diabetes Complications. 2005;19(3):138‒141.
  18. Bayam L, Bruce CE, Sampath J, et al. Importance of communication between medical specialties: a case series. Injury. 200839(5):623‒626.
  19. Lavery LA, Armstrong DG, Peters EJ, et al. Probe‒to‒bone test for diagnosing diabetic foot osteomyelitis: reliable or relic? Diabetes Care. 2007;30(2):270‒274.
  20. Chen WL, Chang WN, Chen YS, et al. Acute community‒acquired osteoarticular infections in children: high incidence of concomitant bone and joint involvement. J Microbiol Immunol Infect. 2010;43(4):332‒338.
  21. Pääkkönen M, Kallio MJ, Kallio PE, et al. Sensitivity of erythrocyte sedimentation rate and C‒reactive protein In childhood bone and joint infections. Clin Orthop Relat Res. 2010;468(3):861‒866.
  22. Russin LD, Staab EV. Unusual bone‒scan findings in acuteosteomyelitis: case report. J Nucl Med. 1976;17(7):617‒619.
  23. Charkes ND, Sklaroff DM. Early diagnosis of metastatic bone cancer by photo scanning with strontium‒85. J Nucl Med. 1964;5:168‒179.
  24. Butt WP. The radiology of infection. Clin Orthop Relat Res. 1973;96:20‒30.
  25. Kuhn JP, Berger PE. Computed tomographic diagnosis of osteomyelitis. Radiology. 1979;130(2):503‒506.
  26. Proctor SL, Dillingham MF, McDougall IR, et al. The white blood cell scan in orthopedics. Clin Orthop Relat Res. 1982;168:157‒165.
  27. Roblot F, Besnier JM, Juhel L, et al. Optimal duration of antibiotic therapy in vertebral osteomyelitis. Semin rthritis Rheum. 2007;36(5):269‒277.
  28. Karamanis EM, Matthaiou DK, Moraitis LI, et al. Fluoroquinolones versus beta‒lactam based regimens for the treatment of osteomyelitis: a meta‒analysis of randomized controlled trials. Spine (Phila Pa 1976). 2008;33(10):E297‒E304.
  29. Conterno LO, da Silva Filho CR. Antibiotics for treating chronic osteomyelitis in adults. Cochrane Database Syst Rev. 2009 ;(3):CD004439.
  30. Davis JS. Management of bone and joint infections due to Staphylococcus aureus. Intern Med J. 2005;35(Suppl 2):S79‒S96.
  31. Papagelopoulos PJ, Mavrogenis AF, Tsiodras S, et al. Calcium sulphate delivery system with tobramycin for the treatment of chronic calcaneal osteomyelitis. J Int Med Res. 2006;34(6):704‒712.
  32. Calhoun JH, Cantrell J, Cobos J, et al. Treatment of diabetic foot infections: Wagner classification, therapy, and outcome. Foot Ankle. 1988;9(3):101‒106.
Creative Commons Attribution License

©2016 Kumari, et al. This is an open access article distributed under the terms of the, which permits unrestricted use, distribution, and build upon your work non-commercially.