Submit manuscript...
MOJ
eISSN: 2374-6939

Orthopedics & Rheumatology

Case Report Volume 14 Issue 5

Post-traumatic thoracic kyphosis and complications after arthrodesis: Case report

Anderson Fellipe Matos de Souza

Department of Neurosurgery, Monsenhor Walfredo Gurgel Hospital/Regional Tarcisio de Vasconcelos Maia Hospital, Brazil

Correspondence: Anderson Fellipe Matos de Souza, Department of Neurosurgery, Monsenhor Walfredo Gurgel Hospital/Regional Tarcisio de Vasconcelos Maia Hospital, Brazil

Received: May 18, 2022 | Published: September 12, 2022

Citation: de Souza AFM. Post-traumatic thoracic kyphosis and complications after arthrodesis: Case report. MOJ Orthop Rheumatol. 2022;14(5):126-127. DOI: 10.15406/mojor.2022.14.00592

Download PDF

Abstract

Spinal fractures most common causes are automobile accidents, accounting for approximately 40 to 45% of the injuries, followed by falls from height (20%), sports practice (15%), consequences of violence (15%), and other activities (5%). The thoracic spine, for instance, is the region most frequently affected in motorcycle accidents. Moreover, epidemiology points out that the incidence is more common in the male population (ratio 4:1), and that the type of fracture and its complications may be related to both the anatomical characteristics dependent on trauma's biomechanics and the type of surgical intervention these patients undergo. This report presents the case of a 32 years old female patient diagnosed with a compression fracture of T6 with kyphotization due to automobile trauma, without deficits, who was surgically treated but developed complications.

Keywords: vertebral column, thoracic fracture, kyphosis

Introduction

Kyphosis is a common long-term effect of neglected or inadequately treated thoracolumbar fractures. Post-traumatic kyphosis can become progressive as the line of gravity shifts forward and the posterior erector muscles weaken.1 Patients with kyphotic deformity of 30° or more than that are at increased risk of having chronic pain in their kyphotic region2–4 and may occasionally develop progressive neurological deficit. When treatment is initially conservative, or the disease is a pseudarthrosis, or if it is severe disc degeneration at the traumatized level, and there is the presence of slowly progressive neurological deficit associated with spinal cord compression at the apex of the deformity, then surgical treatment may be considered. Late post-traumatic kyphosis is often seen to some degree after a spinal fracture; the entrapment of the vertebral body, whether or not associated with an damaged intervertebral disc and a torn posterior osseous-ligamentous complex, causes the deformity.5 The objective of this report is to describe a case of a patient victim of high thoracic trauma with compression fracture that worsened after arthrodesis surgery; having in mind the nature of the fracture, its location, the atypical anatomy of the vertebrae and the mechanical complications resulting from the fusion failure.

Case report

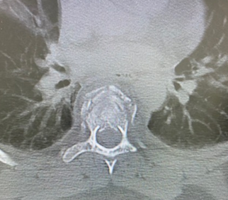
M.L.S.S, 32 years old, female, from Mossoró-RN (State of Rio Grande do Norte), Brazil, was admitted to Regional Tarciso Maia Hospital, with a case of high-speed fall from motorcycle, with head and spine trauma, and a report of loss of consciousness.The physical and neurological examination on admission showed that the patient was conscious and oriented in time and space, without focal neurological deficits, with abrasions on the dorsal region and pain on the T5-T6-T7 vertebrae. She had a CT scan of the skull, that showed no abnormalities, and also a CT scan of the neuroaxis region, in which the CT scan showed the fracture seen below at the dorsal spine (Figure 1).

Figure 1 Compression fracture with indentation of the vertebral posterior wall

The patient underwent decompression by a posterior approach, and arthrodesis was performed with short instrumentation at T5-T6 (fractured vertebra - instrumented) -T7. The procedure presented some technical difficulty due to atypical bone anatomy with the presence of hypoplastic pedicles. The in-out-in technique was used to position the screws in the pedicles with smaller diameter (Figure 2). The patient progressed well in the immediate postoperative period, and she presented no complaints, no deficits, and good postoperative wound healing after the 3 and 6 month follow-ups. However, radiological control showed fusion failure, worsening of kyphotization, and instrumentation with an anomalous pathway (Figure 3). After analyzing the images, a surgical re-approach with expansion of the levels of arthrodesis was chosen.

Figure 2 Fractured vertebra with slight recoil of posterior wall and demonstrating hypoplastic pedicles.

Figure 3 Kyphotization with instrumentation failure.

Discussion

Instrumented fixation and fusion of the thoracic spine presented distinct challenges and complications that included pseudarthrosis and junctional kyphosis. When complications arise, patient morbidity can be significant and involve brain injury, failure of instrumentation constructs, as well as iatrogenic spinal deformity and the need for complex revision surgery. The causes of fusion failure are multifactorial and incompletely understood.6,7

The biomechanical properties and unique anatomical features of the thoracic spine are implicated in many post-surgical complications, including pseudarthrosis, junctional kyphosis, and junctional failure.7. Junctional kyphosis refers to a deformity of at least 10 degrees of kyphosis that occurs proximal (cranial) or distal (caudal) to an instrumented spinal construct. It is a relatively common complication, occurring in over 30% of long-building thoracic fusions.8 The risk factors can be divided into surgical factors, patient factors and radiographic factors. Surgical factors include rupture of the posterior spinal tension band, use of combined anteroposteriors approaches, and extension of the fusion construct to the sacrum or pelvis.9 Radiographic factors that may contribute to junctional kyphosis include greater preoperative junctional kyphosis as well as a high degree of sagittal misalignment as measured by SVA (Sagittal Vertical Axis).

In general, discussion of patient-specific preoperative risk factors should be optimized, especially in the case of osteoporosis, as poor bone quality can strongly contribute to the risk of fractures and screw pullout at the instrumented upper level. Other strategies include extending the fusion construct to neutral levels or with less than 5 degrees of segmental kyphosis, maintaining the greater preservation of posterior soft tissues (such as the paraspinal muscles and fascia) at the junctional during dissection, and avoiding overcorrection of the global sagittal alignment.10 Additional surgical procedures, such as ligament augmentation, which involves stabilization with wires, tethers, or Mersiline tape of the posterior elements at the superior vertebral levels, have also been described.11,12

The case presented provides us with some information about what may have caused the fusion failure and the worsening of the deformity. First of all, atypical anatomy with pedicles that is thinner than usual. This caused technical instrumentation difficulties with the in-out-in technique and consequent less fixation of the screw in the bone mass of the pedicles. The second point was to consider a short fixation in a segment with significant kyphotization leaving the system with less mechanical support. Thirdly, the posterior access itself with injury to the ligamentous structures further weakening the osteo-ligamentous complex. Another consideration is that sublaminar hooks could have been used in the proximal and/or distal regions, with good fixation and less risk in terms of instrumentation, since this is a complex deformity of unfavorable anatomy in a patient without neurological deficits. Therefore, the case shows us that good surgical planning is of utmost importance to obtain the expected results although it is known that the treatment of thoracic fractures is often considered controversial in the literature.

Acknowledgments

None.

Conflicts of interest

The author declares that there are no conflicts of interest in the publication of this case report.

References

  1. Roberson JR, Whitesides TE. Surgical reconstruction of late post-traumatic thoracolumbar kyphosis. Spine. 1985;10(4):307–312.
  2. Gertzbein SD, Harris MB. Wedge osteotomy for the correction of posttraumatic kyphosis: a new technique and a report of three cases. Spine. 1992;17:374–379.
  3. Malcolm BW, Bradford DS, Winter RB, et al. Posttraumatic kyphosis: a review of forty-eight surgically treated patients. J Bone Joint Surg Am. 1981;63(6):891–899.
  4. Kostuik JP, Matsusaki H. Anterior stabilization instrumentation, and decompression for post-traumatic kyphosis. Spine. 1989;14:379–386.
  5. Everard Munting. Surgical treatment of post-traumatic kyphosis in the thoracolumbar spine: indications and technical aspects. Eur Spine J. 2010;19(Suppl 1):S69–S73.
  6. Venkat Boddapati, Joseph M Lombardi, Lawrence G Lenke. Management of Pseudarthrosis With Implant Failure at a Multilevel Vertebral Column Resection Site: A Case Report. Neurospine. 2020;17(4):941–946.
  7. Marc Prablek, John McGinnis, Sebastian J Winocour, et al. Failures in Thoracic Spinal Fusions and Their Management. Semin Plast Surg. 2021;35(1):20–24.
  8. Liu FY, Wang T, Yang SD, et al. Incidence and risk factors for proximal junctional kyphosis: a meta-analysis. Eur Spine J. 2016;25(08):2376–2383.
  9. Kim HJ, Iyer S. Proximal junctional kyphosis. J Am Acad Orthop Surg. 2016;24(05):318–326.
  10. Kim HJ, Wang SJ, Lafage R, et al. International Spine Study Group. Recurrent proximal junctional kyphosis: incidence, risk factors, revision rates, and outcomes at 2-year minimum follow-up. Spine. 2020;45(01):E18–E24.
  11.  Safaee MM, Deviren V, Dalle Ore C, et al. Ligament augmentation for prevention of proximal junctional kyphosis and proximal junctional failure in adult spinal deformity. J Neurosurg Spine. 2018;28(05):512–519.
  12. Rodriguez-Fontan F, Reeves BJ, Noshchenko A, et al. Strap stabilization for proximal junctional kyphosis prevention in instrumented posterior spinal fusion. Eur Spine J. 2020;29(6):1287–1296.
Creative Commons Attribution License

©2022 de. This is an open access article distributed under the terms of the, which permits unrestricted use, distribution, and build upon your work non-commercially.