Submit manuscript...
MOJ
eISSN: 2374-6939

Orthopedics & Rheumatology

Case Report Volume 1 Issue 4

Simultaneous rupture of the quadriceps tendon with contralateral patellar tendon in a 53 year-old male

Basel Al-Jawad,1 Naji Al-Ammari2

1Orthopaedic resident, Dammam medical complex, Saudi Arabia
2Consultant orthopaedic surgeon, King Fahad specialist hospital, Saudi Arabia

Correspondence: Basel Al-Jawad, Orthopaedic resident, Dammam medical complex, Dammam, Qatif, Zip code: 31911, P.O Box: 554, Saudi Arabia, Fax (+966) 543617777

Received: November 27, 2014 | Published: December 23, 2014

Citation: Al-Jawad B, Al-Ammari N. Simultaneous rupture of the quadriceps tendon with contralateral patellar tendon in a 53 year-old male. MOJ Orthop Rheumatol. 2014;1(4):121-123. DOI: 10.15406/mojor.2014.01.00026

Download PDF

Abstract

Simultaneous rupture of the quadriceps and patellar tendon represents a very rare injury. Very few cases reported in the literature up to current date. We report the case of a 53 year-old male, known to have chronic renal failure, with simultaneous rupture of his left patellar tendon and right quadriceps tendon.

Introduction

Ruptures of the quadriceps tendon and patellar tendon are relatively rare injury. The mechanism associated with quadriceps tendon rupture is thought to be different from that of patellar tendon rupture. Quadriceps tendon ruptures are more common over the age of 40 and are associated with tendinopathy from local or systemic factors. Patellar tendon ruptures occur more in young individuals and are usually associated with repetitive trauma. Simultaneous quadriceps and patellar tendon rupture is extremely uncommon and usually occurring secondary to chronic systemic diseases such as gout, rheumatoid arthritis or renal diseases.1,2

Case report

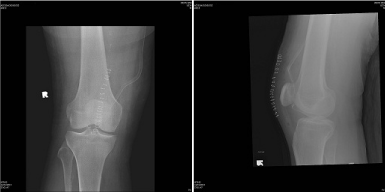
A 53 year-old male presented with history of fall down over his flexed knees while descending from stairs and complaining of bilateral knee pain, swelling and inability to bear weight. He is known to have chronic renal failure secondary to membranous glomerulonephritis for the last 15 years. He is on hemodialysis three times per week since that time. He has history of two rejected renal transplant in the last seven years. Clinical examination revealed bilateral severe effusion around the knee with tenderness to palpation. A palpable left infrapatellar and right suprapatellar gaps are detected. His knees were in 20-30 degrees of flexion with restricted active flexion due to pain and effusion. He has bilateral loss of extensor mechanism. Bilateral knee x-rays showed left knee patella alta with Insall-Salvati ratio of 0.48. Right knee x-ray showed no obvious abnormality with Insall-Salvati ratio of 1.07 (Figure 1–3).

Figure 1 Bilateral knee AP radiograph at the time of injury.
Figure 2 Lateral right knee radiograph showing normal Insall-Salvati.
Figure 3 Lateral left knee radiograph showing patella alta.

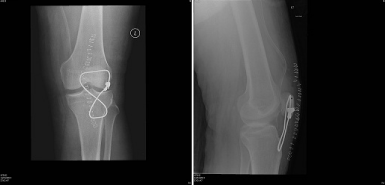
The patient underwent surgical repair of both tendons through a midline knee approach. The left patellar tendon was found avulsed from the bony attachment in the patella. Refreshment of the surface of the distal pole made. Then 2.5 mm drill used to make 3 tunnels. Ethibond suture size 5 used for the repair and augmented with figure of 8 cable. The right quadriceps tendon was repaired by the same steps but without cable augmentation (Figure 4,5). Postoperatively, the patient was kept on bilateral knee immobilizer for 3 weeks on the left knee and 6 weeks on the right knee. After that, extensive physiotherapy and rehabilitation program started. At 10 week postoperatively, the patient is mobilizing full weight bearing using axillary crutches. Active bilateral knee extension restored (Figure 6–8). No complications noted at 6,12 and 18 months follow up.

Figure 4 Post-operative radiographs of the right knee.
Figure 5 Post-operative radiographs of the left knee.
Figure 6 Clinical picture of our patient at 12 weeks post-operatively showing full bilateral knee flextion.
Figure 7 Clinical picture of our patient showing active SLR at 12 weeks post op.
Figure 8 The patient is full weight bearing at 12 weeks post op.

Discussion

Simultaneous rupture of quadriceps tendon with contralateral patellar tendon is unusual and very rare injury. Few cases has been reported in the English literature so far. Jalgaonkar et al.1 reported a case in a healthy 41 year-old lady after giving way in a flat surface. Muratli et al.2 reported a case in a 21 year-old male patient with a chronic renal failure. Munshi et al.3 reported a case in a healthy patient. Finally, Rogers et al.4 reported a case in a 47 year-old healthy male. There are different mechanisms for the rupture of each of the tendons. But no mechanism exists for simultaneous rupture of both tendons together. Quadriceps tendon rupture, usually in patients above 40 years, occurs when the quadriceps tendon is under great tensile stress. The typical mechanism of injury would be active eccentric quadriceps contraction onto a semiflexed knee and fixed foot while regaining balance to avoid a fall. McMaster reported that significant forces are required to rupture an intact quadriceps tendon and stated that 50% of the tendon needs to be damaged before rupture. Risk factors include long-term dialysis, chronic renal failure, steroid use, hyperparathyroidism, Diabetes millitus, obesity, rheumatoid arthritis, systemic lupus erythematosus, gout and advanced age. Acidemia and uremic status affects the collagen maturation and associated degeneration is thought to weaken the tendon and predispose to rupture. Hyperparathyroidism is associated with dystrophic calcification and sub-periosteal bone resorption which weaken the tendon at its insertion and lead to rupture. Diabetes is associated with fibrinous necrosis, atherosclerosis and microvascular changes that affect the vascularity of the tendon. Gout causes fibrinoid necrosis and chronic inflammatory changes that weaken the tendon. Steroids are thought to alter the structure of the collagen. Obesity predisposes to fatty changes. Advanced age decreases the strength and number of collagen fibers and predispose them to rupture.5 Patellar tendon rupture tends to occur in younger age than that for quadriceps tendon rupture. Risk factors are the same as for quadriceps tendon rupture. There are 2 theories about the pathogenesis of spontaneous tendon rupture.

Mechanical theory

The anatomy of the tendon and its vascularization may predispose a tendon to mechanical wearing and microtrauma. Traumatic bleeding into the synovial sheath of a tendon without rupture of the fibrous sheath may increase the intrasynovial pressure, obliterate the vessels, decreasing blood flow, increasing tissue hypoxemia and leading to degeneration. If this occurs in poorly vascularized areas such as in the proximal or distal attachments of the patellar tendon. The effect could be dramatic.6

Vascular theory

Without any trauma, the blood flow within tendons decrease with aging, moreover, a sedantary life style has been proposed as the main reason of poor circulation within tendons.6 There are various techniques described in the literature for repairing patellar tendon ruptures. End-to-end sutures alone or combined with a circulage wires, PDS cords, Ethibond sutures, cables and soft tissues fixed to the patella are options for repair. Repair with semitendinosus tendon, inverted quadriceps tendon or Achillis tendon with attached calcaneal bone graft are other alternatives, especially in patients who have undergone previous operations. However, it is still questionable which repair is most suitable for patellar tendon ruptures. According to Ravalin et al. augmentation of the repair decreases the frequency of gap formation at the repair site and later clinical failure with patella alta.

Conclusion

In our patient, we used Ethibond suture and augmented with figure of eight circulage wire.2 In the literature, various distinct types of treatment are described for quadriceps tendon ruptures. The most common method of treatment is transpatellar repair in which non-absorbable sutures are passed through holes drilled in the upper pole of the patella and it is the method we used in our patient.2

Acknowledgments

None.

Conflicts of interest

The author declares that there is no conflict of interest.

References

Creative Commons Attribution License

©2014 Al-Jawad, et al. This is an open access article distributed under the terms of the, which permits unrestricted use, distribution, and build upon your work non-commercially.