Submit manuscript...
MOJ
eISSN: 2374-6939

Orthopedics & Rheumatology

Research Article Volume 14 Issue 5

Study on outcome of treatment of paediatric femoral shaft fracture by titanium elastic nails

Md Ferdous Rayhan,1 Dr Md Mazharul Rezwan,,2 Dr Md Mohoshin Sarker3

1Resident Surgeon (Orthopaedic Surgery), Sher E Bangla Medical College Hospital, Bangladesh
2Registrar (orthopaedics Surgery), Sher E Bangla Medical College Hospital, Bangladesh
3Medical Officer(OSD), DGHS, Mohakhali, Bangladesh

Correspondence: Md Ferdous Rayhan, Resident Surgeon (Orthopaedic Surgery), Sher E Bangla Medical College Hospital, Bangladesh

Received: September 10, 2022 | Published: September 26, 2022

Citation: Rayhan F, Rezwan M, Sarker M. Study on outcome of treatment of paediatric femoral shaft fracture by titanium elastic nails. MOJ Orthop Rheumatol. 2022;14(5):147-150. DOI: 10.15406/mojor.2022.14.00596

Download PDF

Abstract

Background: Although the incidence of paediatric femoral shaft fractures is about 1.6%, it’s treatment is controversial, especially in children of age 6-12 years.

Materials and Methods: This prospective observational study was performed at Sher E Bangla Medical College Hospital, Barishal, Bangladesh from January 2020 to December 2020, on 7 children (n=7). There were limited number of patients included due to this study accomplished in the perphery city of Bangladesh. Both male and female children with simple transverse and short oblique fractures were included.

Results: Among the 7 cases, 6 were closed femoral shaft fracture and 1 was Gustilo Anderson type 1 open fracture. The mean age of the patients was 8.57 years, ranging from 5-13 years. 6 were male and 1 was female, with a male female ratio of 6:1. In 4 cases right side was affected and in 3, left side was affected. 5 cases were treated by closed reduction and the rest 2 cases were treated by open reduction. The average union of fracture was 9.7 (6-15) weeks. Results were evaluated using Flynn et al scoring criteria, with 4 excellent, 2 good and 1 poor outcome during the 5-11 months follow up period.

Conclusion: Titanium elastic nailing has considerably decreased the period of immobilization, ensured early return to normal life and provides psychological advantages. It provides better outcome in simple transverse of short oblique mid diaphyseal femoral fractures.

Keywords: paediatric femoral shaft fracture, titanium elastic nail

Introduction

Trauma is the leading cause of morbidity and mortality in children. In peadiatric fractures, femoral fractures have significant impact on the patients, families and their regional trauma resources.1 They account for about 1.6% of all fractures in paediatric population,2 with male female ratio being 2.6:1. These fractures have bimodal age distribution with peak at 2 and 17 years. Blacks are more affected than the whites.3 Mechanism of trauma is age dependent. In children younger than 6 years fall from height is the commonest cause; in children 6 to 9 years, motor vehicle-pedestrian accidents, and motor vehicle accidents for the teenagers. Also, birth injury, child abuse, sports injury, etc. may cause femoral fractures. Rarely, it may also be pathological.4

Femoral fractures are classified as-

  1. Transverse, spiral or oblique,
  2. Simple or comminuted.
  3. Open or close.
  4. Fractures of proximal, middle or distal third.5

Treatment of the femoral shaft fractures in children is controversial, specially, in children of age 6-12 years.6 The traditional method of treatment has been an initial period of traction followed by a spica cast until solid union occurs.7 Various methods of treatment can be used successfully depending upon the age of the patient and the type of fracture, but there is no consensus on one method as the best option.8 Ideal treatment of femoral shaft fractures in children is one that controls alignment and length, is comfortable for the child, convenient for the family, and causes the least negative psychological impact possible.9 Determination of the ideal treatment depends on the age of the child, location and type of the fracture, family environment, knowledge and ability of the surgeon, and to a less extent, financial consideration.10 In case of spica casting, the problems are patient mobility, toilet hygiene, time off work for parents, schooling, and off course, prolonged recunbancy, which may cause negative psychological impact for the patient. In this study, we treated our cases by intra-medullary titanium elastic nails.

Material and methods

This prospective observational study was performed at Sher E Bangla Medical College Hospital, Barihal, Bangladesh from January 2020 to December 2020, on 7 children (n=7). Both male and female children of 5 to 13 years of age, with simple transverse and short oblique fractures were included. Also, closed as well as open Gustilo Anderson type 1 fractures were included. Children of less than 5 years and more than 13 years with unstable fractures (long oblique /spiral), comminuted fractures and open Gustilo Anderson type 2 and 3 fractures were excluded.

To determine the size of the titanium nails, femoral diaphyseal internal diameter was measured on both antero-posterior and lateral x-rays were divided by 2 and 0.5mm was subtracted from that calculation for the eventual nail diameter as determined by Kasser and Beaty,11

Nail size= (Internal diameter/2) - 0.5mm

So, 4 cases were treated by 3 mm diameter elastic nails and 3 cases by 2.5 mm nails.

Operative technique

Under general anaesthesia, the patient was placed supine on the fracture table and the image intensifier was used to localise the placement of skin incisions 2.5 cm above the distal femoral physis. After skin and soft tissue dissection, distal lateral femoral metaphysis was exposed and opened using an awl at a point 2.5 cm proximal to the distal femoral physis. The drill was then inclined at 10o angle with the distal metaphyseal cortex. Then the titanium elastic nail of appropriate size was then inserted through the drilled hole with bent tip and the apex of convexity to lie at the level of the fracture. When the nail reached the fracture site, the fracture was reduced by manipulation and traction under image intensifier control. After reduction the nail was pushed into the proximal fragment. Then the medial nail was inserted in a similar retrograde manner. Both the nails were then driven into the proximal end of femoral neck and the lateral one just distal to the trochanteric apophysis. Distally the nail was cut so that 1 cm of nail remains outside the cortex. The extra osseous portion of the nail was bent slightly away from the bone for easy removal after fracture union. Skin wounds were then closed.

Assessment

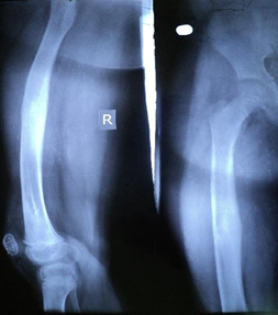
Initially, the patients were followed up at monthly intervals for the first 6 months and then at 3 monthly intervals till the completion of 1 year after operation. At each visit patients were clinically and radiologically evaluated. After union. The nail was removed in 3 cases; after 7 months after 9 months and 10 months respectively after operation. The final results were evaluated using the criteria of Flynn et al (Figures 1-6).12

Figure 1 Closed fracture right femoral shaft.

Figure 2 Immediate post-operative x ray of in a 10 year boy.

Figure 3 X ray, 3 months after surgery.

Figure 4 X ray at 9 months after surgery; nail removed.

Figure 5 Closed fracture shaft of right femur of a young child.

Figure 6 Post-operative x ray.

Results

Fall from the height was the most common mode of trauma in 5 cases. Rest of the 2 was due to road traffic accident, 2 cases were with associated injuries which were treated conservatively. 6 were closed femoral shaft fracture and 1 was Gustilo Anderson type 1 open fracture. The mean age of the patients was 8.57 years, ranging from 5-13 years. 6 were male and 1 was female, with a male female ratio of 6:1. In 4 cases right side was affected and in 3, left side was affected. All cases were treated by initial surface traction followed by titanium elastic nailing. 5 cases were treated by closed reduction and the rest 2 cases were treated by open reduction, as closed reduction was impossible (Table 1).

Age

N (%)

5-7

3 (42.85)

8-10

3 (42.85)

11-13

1 (14.28)

Sex

Male

6 (85.71)

Female

1 (14.28)

Male: Female ratio

6:01

Mean ±SD

9±3

Injury

Right Side

4 (57.14)

Left Side

3 (42.85)

Reduction

Closed Reduction

5 (71.42)

Open Reduction

2 (28.57)

Table 1 Demograpic details, and clinical profile of the patients (N=7)

The median duration of surgery was 69 (50 - 80) minutes, and the mean hospital stay was 8.86 (5 -16) days. The average union of fracture was 9.7 (6-15) weeks. Partial weight bearing with crutches was started when external callus was visible on X-ray; at 4 - 8 weeks with at average of 4.6 weeks after operation. Full weight bearing was started at 8 -12 weeks with an average of 8.5 weeks. Nails were removed in 3 cases after bony union. All cases were available for follow up, although some of them came irregularly. One had shortening of 2 cm, 2 had angulations more than 10o. Although in initial post operative xrays 4 had mild lateral bowing, none had either re-fracture or varus or vagus malformation during the subsequent follow up. None had physeal injury or nail migration. 1 had post operative pain and infection for prolonged period but the fracture was united. Results were evaluated using Flynn et al scoring criteria (Table 2 & 3).5

Excellent

Good

Poor

Limb length discrepancy (cm)

<1

<2

>2

Angulations (degrees)

<5

10-May

>10

Pain

Absent

Absent

Absent

Complications

Absent

Mild

Extended period of resolvable morbidity

Table 2 Flynn’s criteria: TENS outcome score (N=7)

Results

Number of cases (n=7)

Excellent

4(57.14%)

Good

2 (28.57%)

Poor

1 (14.29%)

Table 3 Outcome of the study (N=7)

Discussion

Paediatric femoral shaft fractures have traditionally been treated non operatively with either early spica cast or a period of traction followed by application of hip spica cast until the time of fracture union. But the problems are malunion, joint stiffness and delay in functional recovery, especially in older children.13 During the past few decades, plate fixation, rigid intra medullary nailing, Ender nailing, Titanium nailing, etc. have been advocated, but controversy regarding the ideal implant to treat paediatric femoral fractures still exists.14 The ideal device for the treatment of most femoral fractures in children would be a simple, load sharing internal splint that allows mobilization and maintenance of alignment and limb length until bridging callus forms. Titanium elastic nail offers these features.15 In this study, 7 cases were included. All of which were treated by insertion of 2 titanium elastic nails. All the fractures were united within 3 months of fixation (average 9.7 weeks) with 1 malunion. Oh et all observed that all 31 fractures in his series healed within 12 weeks (mean 10.5 weeks).16 Singh observed that all 35 fractures in his series united within 4 months of fixation with no nonunion or delayed union.5 Houshian et al. reported median union time of 7 (5 - 9) weeks.17 In this study , full weight bearing was started at 8-12 weeks, with an average of 8.5 weeks, which is comparable with the study by Flynn et al. who observed walking without assistive devices at an average of 8.5 weeks.12 Mazda et al observed walking without assistive devices at an average of 9.5 weeks.18 Houshian et al reported partial weight bearing as early as 3 weeks, and full weight bearing after 6-8 weeks. 17In this study , 1 had angulation >10o at the fracture sites, with leg length discrepancy 2cm, for which longer time of follow up is needed, as there is the scope of remodelling. Singh observed significant shortening in 2 out of 35 cases.5 Adhering to biomechanical principles of elastic stable intramedullary nailing is recommended toavoid limb length discrepancy. Ligier et al observed 13 out of 123 cases of skin ulceration or local inflammatory reaction due to irritation by nail ends, for which nails were removed after bony union.19 In this series, 2 cases needed open reduction as closed reduction was failed due to soft tissue interposition. Singh also performed open reduction in 2 out of 35 cases.5 So, proper initial traction is recommended, if surgery is likely to be delayed. Theoretically nail removal is possible at 3 months after surgery, even as early as at 6 weeks. However, there are always chances of re-fracture with early removals. Singh recommended removal of nail after 1 year of the fracture fixation.5 In this series, in 3 out of 7 cases, nails have been removed so far at 7 months, 9 months and 10 months respectively after fracture fixation.

Conclusion

Titanium elastic nailing has considerably decreased the period of immobilization, ensured early return to normal life and provides psychological advantages. In this series, the follow up period is only 5-11 months. Longer follow-up time is recommended for school going children to avoid prolonged period of immobilization with spica casting and hence being away from school. Titanium elastic nailing provides better outcome in simple transverse of short oblique mid diaphyseal femoral fractures.

Acknowledgments

None.

Conflicts of interest

The authors declare no conflicts of interest.

References

S
  1. L Cuick, NW Thompson, TC Taylor, GH Cowie, et al. Paediatric Femoral Fracture- The Royal Belfast Hospital  for Sick Children Experience. Ulser Med J. 2005;74(2):98–104.
  2. T Tandon, M Shaik, N Modi. Paediatric trauma epidemiology in an urban scenario in India. J Orthop Surg. 2007;15(1):41–45.
  3. Agus H, Kalenderer O, Erynilmaz et al. Biological internal fixation of comminuted femur shaft fractures by bridge plating in children. J Pediatr Orthop. 2003;23(2):184–189.
  4. Aronson DD, Singer RM, Higgins RF. Skeletal traction for fractures of the femoral shaft in children; a long term study. J Bone Joint Surg. 1987;69A:1435–1439.
  5. S Navdeep, P Kanav, V Suhail, et al. Closed reduction and internal fixation of fractures of the shaft of the femur by the Titanium Elastic Nailing System in children. The Internet Journal of Orthopedic Surgery. 17(1).
  6. YHD Lee, KBL Lim, GX Gao, et al. Traction and spica casting for close femoral shaft fracture in children. J Orthop Surg. 2007;15(1):37–40.
  7. Burton V, Fordyce A. Immobilisation of femoral shaft fractures in children aged 2-10 years. Injury. 1972;4:47–53.
  8. A Moroz, F Launay, MS Kocher, et al. Titanium Elastic Nailing of Fracture of the Femur in children. Predictors of complication and poor outcome. J Bone Joint Surg. 2006;88(10):1361–1366.
  9. Buechsenschuetz KE, Mehlman CT, Shaw KJ, et al. Femoral shaft fractures in children: traction and casting versus elastic stable intramedullary nailing. J Trauma. 2002;53(5):914–921.
  10. Buford Jr D, Christensen K, Weatherall P.  Intramedullary nailing of femoral fractures in adolescents. Clin Orthop Relat Res. 1998;350:85.
  11. Beaty JH, Austin SM, Warner WC, et al. Interlocking a intramedullary nailing of femoral-shaft fractures in adolescents: preliminary results and complications. J Pediatr Orthop. 1994;14(2):178–183.
  12. Flynn JM, Hresko T, Reynolds RA, et al. Titanium elastic nails for pediatric femur fractures: a multicenter study of early results with analysis of complications. J Pediatr Orthop. 2001;21(1):4–8.
  13. Flynn JM, Luedtke LM, Ganley TJ, et al. Comparison of titanium elastic nails with traction and a spica cast to treat femoral fractures in children. J Bone Joint Surg Am. 2004;86(4):770.
  14. Galpin RD, Willis RB, Sabano N. Intramedullary nailing of pediatric femoral fractures. J Pediatr Orthop.1994;14(2):184–189.
  15. Saikia KC, Bhuyan SK, Bhattacharya TD, et al. Titanium elastic nailing in femoral diaphyseal fractures of children in 6–16 years of age. Indian J Orthop. 2007;41(4):381–385.
  16. Oh CW, Park BC, Kim PT, et al.  Retrograde flexible intramedullary nailing in children's femoral fractures. Int Orthop. 2002;26(1):52.
  17. Houhian S, Gothgen CB, Padersen NW, et al. Femoral shaft fractures in children. Elastic stable intramedullary nailing in 31 cases. Acta Orthop Scand. 2004;75(3):249–251.
  18. Mazda K, Khairouni A, Pennecot GF, et al. Closed flexible intramedullary nailing of femoral shaft fractures in children. J Pediatr Orthop. 1997;6(3):198–202.
  19. Ligier JN, Metaizeau JP, Prevot J, et al. Elastic stable intramedullary nailing of femoral shaft fractures in children. J Bone Joint Surg. 1988;70(1):74–77.
Creative Commons Attribution License

©2022 Rayhan, et al. This is an open access article distributed under the terms of the, which permits unrestricted use, distribution, and build upon your work non-commercially.