Submit manuscript...
MOJ
eISSN: 2374-6939

Orthopedics & Rheumatology

Mini Review Volume 3 Issue 4

Surgical Treatment of the First Carpometacarpal Joint Arthritis Using a Mini External Fixation System

Athanasios Alexandris, Georgios Varsanis, Nikolaos Tassios, Maria Sfakiotaki, Vaios Goulas

Department of Orthopedics, General Hospital of Trikala, Greece

Correspondence: Athanasios Alexandris, Department of Orthopedics, General Hospital of Trikala, Karditsis 51 Trikala 42100, Greece, Tel 00306947445950

Received: October 14, 2015 | Published: October 27, 2015

Citation: Alexandris A, Varsanis G, Tassios N, Sfakiotaki M, Goulas V (2015) Surgical Treatment of the First Carpometacarpal Joint Arthritis Using a Mini External Fixation System. MOJ Orthop Rheumatol 3(4): 00101. DOI: 10.15406/mojor.2015.03.00101

Download PDF

Purpose

Evaluation of our primary results from the use of a mini ex-fix system for the treatment of the first carpometacarpal joint arthritis1-3 (Figure1).

Figure 1 Mini ex-fix system for the treatment of the first carpometacarpal joint arthritis.

Method

We admitted in our clinic 10 patients the last 2 years. 7 females, 3 males, all of them were agriculture workers. The main age 62 was years old (55-72y).

All the patients complained for pain and tenderness to the base of the thumb more than 3 years and presented decrease grip strength.4

In all the patients the anaesthesia was axillary block.

After an open debridement of the first carpometacarpal joint (Figure 2) we apply, under x-ray control, a mini ex-fix system3,5 (Figure 3).

Figure 2 After an open debridement of the first carpometacarpal joint.

Figure 3 Under x-ray control, a mini ex-fix system.

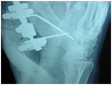
It’s very important the application of the first needle of the system to cause compression between the base of the first metacarpal and the trapezium (Figure 4 & 5).6-10

Figure 4 Under x-ray control, a mini ex-fix system.

Figure 5 Under x-ray control, a mini ex-fix system.

Results

In all the patients the system was removed after six weeks in outpatient clinic.

One patient had a pin track infection which was treated by oral antibiotics.

The post-op evaluation of the patients includes clinical examination and x-ray control.

All the patients had a short course of physical therapy post-op.11-16

All the patients had complete pain relief and most of them returned to their previous activity after 3 months postoperative.17-18

Conclusion

Even that the number of the patients and the follow up is short we believe that the above method is a safe and rigid method with satisfactory results (Figure 6).19,20

Figure 6  After treatment.

Acknowledgment

None.

Conflict of interest

None.

References

  1. Beckmann J, Rader C, Lüring C, et al. Endoprothetische Gelenkversorgung bei Hüftkopfnekrose. Osteologie. 2010;47‒52.
  2. Beckmann J, Tingart M, Perlick L, et al. Navigierte Anbohrung der Femurkopfnekrose. Der Orthopäd. 2007;36(5):458‒465.
  3. Tang TT, Lu B, Yue B, et al. Treatment of osteonecrosis of the femoral head with hBMP‒2‒gene‒modified tissue‒engineered bone in goats. J Bone Joint Surg Br. 2008;89(1):127‒129.
  4. Nickel F, Maierhöfner C. aktuelle Erkenntnisse zur Pathophysiologie des CRPS I. Handchir Mikrochir Plast Chir. 2010;42(1):8‒14.
  5. Lieberman J, Berry D, Montv M, et al. Osteonecrosis of the Hip: Management in the Twenty‒first Century. Instr Course Lect. 2002;52:337‒355.
  6. Ficat R. Idiopathic Bone Necrosis of the Femoral Head. J Bone Joint Surg B. 1985;67(1):3‒9.
  7. von Stechow D, Drees P. Operative Therapiekonzepte der Hüftkopfnekrose. Der Orthopäde. 2007;36(5):451‒457.
  8. Aigner N, Petje G, Schneider W, et al. Bone marrow edema syndrome of the femoral head: treatment with the prostacyclin analogue iloprost vs. Core decompression: an MRI‒controlles study. Wien Klin Wochenschr. 2005;117(4):130‒135.
  9. Symptomatic multifocal osteonecrosis. A multicenter study. Collaborative Osteonecrosis Group. Clin Orthop Relat Res. 1999;369:312‒326.
  10. Guerra JJ, Steinberg ME. Distinguishing Transient Osteoporosis from Avascular Necrosis of the Hip. J Bone Joint Surg Am. 1995;77(4):616‒624.
  11. Min Hong J, Kim TH, Chae SC, et al. Kim S.‒Y. Association study of hypoxia inducible factor 1 Alpha (HIF1Alpha) with osteonecrosis of femoral head in a Korean population. OsteoArthritis and Cartilage. 2007;15(6):688‒694.
  12. Zirong Li. Scientific diagnosis and treatment of femoral head necrosis. Chinese J Reparative and Reconstructive Surgery. 2005;19(9):685‒686.
  13. Lieberman J, Conduah A, Urist M. Treatment of Osteonecrosis of the Femoral Head with Core Decompression and Human Bone Morphogenetic Protein. Clin Orthop Relat Res. 2004;429:139‒145.
  14. Petrigliano F, Lieberman J. Osteonecrosis of the hip: novel approaches to evaluation and treatment. Clin Orthop Relat Res. 2007;465:53‒62.
  15. Yamamoto T, Irisa T, Sugioka Y, et al. Effects of pulse methylprednisolone on bone and marrow tissues: corticosteroid‒induced osteonecrosis in rabbits. Arthritis Rheum. 1997;40(11):2055‒2064.
  16. Intema F, DeGroot J, Elshof B, et al. The canine bilateral groove model of osteoarthritis. J Orthop Res. 2008;26(11):1471‒147.
  17. Atsumi T, Kuroki Y, Yamano K, et al. Revascularization in Nontraumatic Osteonecrosis of the Femoral Head. Clin Orthop Relat Res. 1996;325:168‒173.
  18. Sevitt S, Thompson R. The Distribution and Anastomoses of Arteries supplying the Head and Neck of the Femur. J Bone Joint Surg Br. 1965;47:560‒573.
  19. Straub R, Cutolo M. Involvement of the hypothalamic‒‒pituitary‒‒ adrenal/gonadal axis and the peripheral nervous system in rheumatoid arthritis: viewpoint based on a systemic pathogenetic role. Arthritis Rheum. 2001;44(3):493‒507.
  20. Straub R, Wiest R, Strauch U, et al. The role of the sympathetic nervous system in intestinal inflammation. Gut. 2006;55(11):1640‒1649.
  21. Straub R, Günzler C, Miller L, et al. Anti‒ inflammatory cooperativity of corticosteroids and norepinephrine in rheumatoid arthritis synovial tissue in vivo and in vitro. The FASEB J. 2002;16(9):993‒1000.
  22. Drescher W, Li H, Lundgaard A, et al. Endothelin‒1‒ induced Femoral Head Epiphyseal Artery Constriction is Enhanced by Long‒ Term Corticosteroid Treatment. J Bone Joint Surg Am. 2006;88(Suppl 3):173‒179.
  23. Drescher W, Varoga D, Liebs T, et al. Femoral Artery Constriction by Norepinephrine Is Enhanced by Methylprednisolon in a Rat Model, J Bone Joint Surg Am. 2006;88Suppl3:162‒166.
Creative Commons Attribution License

©2015 Alexandris, et al. This is an open access article distributed under the terms of the, which permits unrestricted use, distribution, and build upon your work non-commercially.