Submit manuscript...
MOJ
eISSN: 2374-6939

Orthopedics & Rheumatology

Research Article Volume 14 Issue 5

The outcome of displaced pediatric supracondylar fractures of the elbow treated with lateral three divergent K wires

Shiva Chandra Amatya, 1 Subin Byanjankar,2 Rishi Bisht3

1Department of Orthopaedics, People’s General Hospital, Balaju, Nepal
2Department of Orthopaedics, Charak Memorial Hospital, Nepal
3Department of Orthopaedics, National Trauma Center, National Academy of Medical Sciences, Nepal

Correspondence: Dr. Shiva Chandra Amatya, Department of Orthopaedics, People’s General Hospital, Balaju, Kathmandu, Nepal, Tel +977 9851039722

Received: August 16, 2022 | Published: September 7, 2022

Citation: Amatya SC, Byanjankar S, Bisht R. The outcome of displaced pediatric supracondylar fractures of the elbow treated with lateral three divergent K wires. MOJ Orthop Rheumatol. 2022;15(5):117-120. DOI: 10.15406/mojor.2022.14.00590

Download PDF

Summary

Introduction: Supracondylar fracture of the humerus is the commonest elbow injury in children, treated with closed reduction and percutaneous fixation. Crossed K-wires fixation is more biomechanically stable than lateral K – wires only. Recent biomechanical studies have shown that 3 lateral divergent K—wire fixation is as stable as cross K-wire fixation. Furthermore, lateral divergent fixation is associated with a good clinical outcome.

Methods: A descriptive cross-sectional study was conducted in the department of orthopedics at People’s General Hospital, Kathmandu between the period of January 2018 to December 2020. Medical records of 76 supracondylar fractures of humerus Gartland type III and IV were reviewed out of which 46 patients were included in the study after meeting the inclusion criteria. Radiological assessment was done to assess fracture union and stability. Flynn's grading system was used for functional outcomes.

Results: The mean age was 7.3 years (range 4 – 13 years). The boys were 32 (70%) and girls were 14 (30%). The follow-up was 9.2 months (range 3 – 12 months). At the final follow-up, the mean range of elbow motion at final follow up was 0.86 ± 4.58° - 135.86 ± 4.078°, the mean arc of motion was 139.9 ± 6.2°, and the mean carrying angle was 13.63± 32.15°. No iatrogenic ulnar nerve injury was noted. Five patients (10.8%) had superficial pin site infection, managed with local dressings after pin removal. According to Flynn’s grading system, 41 patients (89.1%) achieved excellent results, and one patient had poor results. None of them had chronic discharge after the wire removal.

Conclusion: Closed reduction and percutaneous 3 lateral divergent K – wire fixation for type III and IV supracondylar fracture of humerus in children provides a stable configuration with good functional outcomes and avoids iatrogenic ulnar nerve injury.

Keywords: supracondylar humeral fracture, pediatric, divergent, pin fixation

Introduction

Supracondylar fracture of the humerus, is one of the most common elbow injuries in children, accounting for 50% to 70% of all elbow fractures in children in the first decade of life.1 Some of the complications associated with supracondylar fractures are neurovascular injuries, compartment syndrome, and cubitus varus deformity. The incidence of vascular injuries in displaced supracondylar fractures of the humerus has been reported as 12 -20%.2,3  The most commonly injured nerve is the anterior interosseous nerve.4 According to literature the incidence of neurological complications and malunion has been reported as 10% and 4.2% respectively.5 

Supracondylar fractures are commonly classified according to the Gartland classification.6 It is divided into three types: type I (non-displaced), type II (displaced with the posterior cortex intact), and type III (displaced without cortical contact). Type II was modified by Wilkins according to rotational deformity into type IIA (angulated, posterior cortex intact, no rotation) and type IIB (angulated, posterior cortex intact, rotational deformity).7 Types I and IIA are mainly treated in an above-elbow cast. Type IIb and III are treated with closed reduction and pinning to prevent cubitus varus deformity. Leitch et al.8 described supracondylar fracture in children with multidirectional instability due to complete tear of the periosteum classified as type IV injuries.

There are different treatment modalities advocated in the literature. There is still an ongoing debate regarding the best method of fixation for displaced supracondylar fractures in children. Closed reduction and Kirschner wire (K wire) fixation is the most common method of treating displaced supracondylar fractures.9 The two types of pinning methods commonly in use are cross pinning (medial and lateral K wires) and lateral divergent K wire pinning. Medial K-wire may be placed via closed, mini-open, or open techniques. Though the medial K wire increases biomechanical stability it renders the ulnar nerve at risk.10 With divergent lateral K -wires, iatrogenic injury to the ulnar nerve is avoided but the construct may be biomechanically less stable.­­­11,12 Biomechanical studies suggest that the crossed pin (medial and lateral K –wires) provides better fracture stability. The purpose of this study is to evaluate the functional outcome of patients with three lateral divergent K wire fixation in displaced supracondylar fractures along with the incidence of associated complications.

Material and methods

A descriptive cross-sectional study was conducted in the department of orthopedics at People’s General Hospital, Kathmandu between the period of January 2018 to December 2020. Ethical approval was obtained from the Institutional Review Board of People’s General Hospital before data collection (Reference no: IRC PDCH 2021 16). Medical records of 76 supracondylar fractures of humerus Gartland type III and IV were reviewed out of which 46 patients were included in the study after meeting the inclusion criteria. Closed fractures of patients between 5 to 14 years who were treated operatively with lateral three divergent K wires were included. Patients with re-fracture, congenital anomaly, pathological fractures, and neurological deficits were excluded. Fractures were classified according to Modified Gartland’s Classification.

The contact details of 46 patients included in the study were obtained from the hospital record section and following their consent regarding the study all previous relevant data during follow-ups were recorded. Clinical and radiographic examinations conducted during follow-ups at six weeks, three months, six months, and one-year post-surgery were recorded. Safety of the procedure was ascertained with the presence or absence of perioperative complications pin site infections, neurovascular injuries, elbow stiffness. Clinical outcome was assessed using Flynn's Grading System.13 Follow-up X-rays were analyzed for signs like loosening of K wires, the collapse of fracture, malunion. The data were stored and analyzed in the Statistical Package of the Social Sciences version 22.0.

Results

The mean age in our study was 7.3 years (Range: 4 – 13 years). There were 32 boys (70%) and 14 girls (30%). The left side (30, 65%) involvement was predominant compared to the right (16, 35%). According to modified Gartland classification, 24 were type IIIA, 18 were IIIB, and 4 were type IV. The average time from injury to surgery was 2 days (Range: 1 – 5 days). Visible callus was seen in all the patients at 4 weeks post-operatively (fig 3). At final follow-up, the mean range of elbow motion was 0.86±4.58° - 135.86±4.078°. The mean arc of motion and carrying angles were within normal anatomical limits as shown in Table 1.

Functional outcomes

Range of motion

Elbow ROM

0.86±4.58° - 135.86±4.078°, .

Arc of motion

139.9±6.2°,

Carrying angle

13.63± 32.15°

Table 1 Functional outcomes

All the fractures united with no loss of carrying angle or cubitus varus deformity. According to Flynn’s grading system for elbow function, 41 patients (89.1%) achieved excellent results and one patient had poor result as shown in Table 2. Five patients (10.8%) had superficial pin site infection that went to heal with local pin site dressings only. None of them had chronic discharge after the wire removal. No complications like ulnar nerve injury, vascular injury, compartment syndrome, myositis ossificans, malunion, and non-unions were noted (Figures 1-4).

Result

Flynn's Grading

Cosmetic Factor - Loss of carrying angles (degrees)

Outcome of the patient in the study

Functional factor - loss of movement (degrees)

Outcome of the patient in the study

 

Excellent

0-5

41

0-5

41

Satisfactory

Good

6-10

0

6-10

4

 

Fair

11 -15

0

11 -15

0

Unsatisfactory

Poor

>15

0

>15

1

Table 2 Flynn’s grading system and patient outcomes

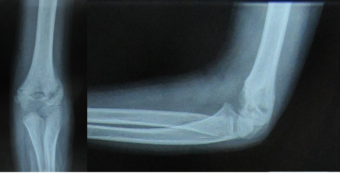
Figure 1 Pre-operative X-rays of the elbow.

Figure 2 Intraoperative fluoroscopic views AP and lateral views.

Figure 3 Follow-up X-rays (4th week) after pin removal.

Figure 4 Follow-up X-rays – 3-month postoperative.

Discussion

A good anatomical reduction is required to obtain good results following supracondylar fractures of the humerus in children. It is also important to minimize any additional injury to the soft tissues around the traumatized elbow. Multiple attempts of closed reduction may exacerbate soft tissue injuries.14 The two main concerns while treating a supracondylar fracture of the humerus are iatrogenic ulnar nerve injury and loss of reduction leading to cubitus varus deformity. Currently, a few contested methods of treatment are cross pinning or 2 lateral parallel pins or 2 lateral divergent pins or divergent pins or 3 lateral divergent pins. The main benefit of using a crossed pin is to impart increased fracture stability. This, however, increases the possibility of an iatrogenic ulnar nerve injury. Parallel pins from the lateral side give the advantage of avoiding iatrogenic ulnar nerve injury at an expense of a less stable biomechanical construct. It has been confirmed in biomechanical12 and clinical studies15 that divergent K wire arrangements are more stable than parallel arrangements.  Adding a third K – wire during this lateral entry further increases the stability and also minimizes the risk of iatrogenic ulnar nerve injury.15 In this study, none of the patients had fracture instability and loss of fixation. Although the loss of fixation has been reported with two lateral pins19 only excellent results without no loss of fracture fixation with 3 lateral divergent K-wire had been reported by Lee YH et al.15 and Guy SP et al.17 just as in our study.

A meta-analysis of randomized controlled trials in 2021, comparing lateral entry and crossed pinning fixation for pediatric supracondylar fracture of the humerus, reported that iatrogenic ulnar nerve injuries were more common in children treated with crossed K wire (6.68%) compared to the lateral k wire (0.73%) fixation. It concluded that crossed K wire fixation has a higher risk of iatrogenic ulnar nerve injury compared to lateral entry.16  

Brauer et al.9 in a systemic review, reported that the possibility of iatrogenic ulnar nerve injury with cross pinning is 5.04 times higher than with lateral entry only. Woratanarat et al.18 in a meta-analysis also preferred lateral fixation for supracondylar fracture of humerus in children as it decreases the risk of iatrogenic ulnar nerve injury. In this study, we didn’t have iatrogenic ulnar nerve injury.

 The Flynn grading system is commonly used for the assessment of outcomes in the treatment of supracondylar fracture of the humerus in children. Lee YH et al,15 reported 56 (91.8%) excellent and 5 (8.2%) good results among 61 patients treated with 3 lateral divergent pins. In addition, Guy SP et al.17 reported, 21 (84%) excellent, 3 (12%) good and 1 (4%) poor result among 25 patients. Similar to previous studies 41 of our patients (89.1%) achieved excellent results, and one patient had poor results. The poor result was due to poor range of motion following a history of an immediate ipsilateral shoulder injury that required a prolonged immobilization. None of our cases developed varus deformity.

The disadvantage of using three lateral K –wires, is the technical challenge of putting 3 K-wires in a small area and increasing the chance of pin site infection due to overcrowding of pins.20 But we believe that the pin site infection incidence can be further decreased with meticulous pin site care We had 5 patients with superficial pin site infections that healed with pin site dressing only. Despite pin site infection, none of them had pin loosening.

Our study had a few limitations. It is a retrospective study with a small sample size and a short follow-up period. In addition, we did not have any comparative groups. We suggest a large, randomized control trial comparing different pin constructs to prove its efficacy statistically.

Conclusion

In conclusion, we recommend closed reduction and percutaneous 3 lateral divergent K – wire fixation for type III and IV supracondylar fracture of humerus in children. It provides a stable configuration with a good functional outcome and avoids iatrogenic ulnar nerve injury.

Acknowledgments

None.

Conflicts of interest

The authors declare that there are no potential conflicts of interest concerning the research, authorship, and/or publication of this article.

References

  1. Otsuka NY, Kasser JR. Supracondylar fractures of the humerus in children. J Am Acad Orthop Surg. 1997;5(1):19–26.
  2. Shaw BA, Kasser JR, Emans JB, Rand FF. Management of vascular injuries in displaced supracondylar humerus fractures without arteriography. J Orthop Trauma. 1990;4(1):25–29.
  3. Campbell CC, Waters PM, Emans JB, et al. Neurovascular injury and displacement in type III supracondylar humerus fractures. J Pediatr Orthop. 1995;15(1):47–52.
  4. Dormans JP, Squillante R, Sharf H, Wayne F. Acute neurovascular complications with supracondylar humerus fractures in children. J Hand Surg. 1995;20(1):1–5.
  5. Blakemore LC, Cooperman LC, Thompson GH, et al. Compartment syndrome in the ipsilateral humerus and forearm fractures in children. Clin Orthop Rel Res. 2000;376:32–38.
  6. Gartland JJ. Management of Supracondylar fractures of the humerus in children.  Surg Gynecol Obstet. 1959;109(2):145–154.
  7. Wilkins KE, King RE. Fractures and dislocations of the elbow region. Rockwood and Wilkins’ Fractures in Children. 1984;13(2):540–541.
  8. Leitch KK, Kay RM, Femino JD, et al. Treatment of Multidirectionally Unstable Supracondylar Humeral Fractures in Children. J Bone Joint Surg Am. 2006;88(5):980–985.
  9. Brauer CA, Lee BM, Bae DS, et al. A systematic review of medial and lateral entry pinning versus lateral entry pinning for supracondylar fractures of the humerus. J Pediatr Orthop. 2007;27:181–186.
  10. Lyons JP, Ashley E, Hoffer MM. Ulnar nerve palsies after percutaneous cross-pinning of supracondylar fractures in children's elbows. J Pediatr Orthop. 1998;18(1):43–45.
  11. Gordon JE, Patton CM, Luhmann SJ, et al. Fracture stability after pinning of displaced supracondylar distal humerus fractures in children. J Pediatric Orthop. 2001;21(3):313–318.
  12. Lee SS, Mahar AT, Miesen D, et al. Displaced pediatric supracondylar humerus fractures: biomechanical analysis of percutaneous pinning techniques.  J Pediatric Orthop. 2002;22(4):440–443.
  13. Flynn JC, Matthews JC, Benoit RJ. Blind pinning of displaced supracondylar fracture of humerus in children: Sixteen-year experience with long-term follow-up. J Bone Joint Surg Am. 1974;56(2):263–272.
  14.  Wade FV, Batdorf J. Supracondylar Fractures of the humerus: A Twelve-Year Review with Follow-imp. J. Trauma. 1961;1:269–278.
  15. Lee YH, Lee SK, Kim BS, et al. Three lateral divergent or parallel pin fixations for the treatment of displaced supracondylar humerus fractures in children. J Pediatr Orthop. 2008;28(4):417–422.
  16. Zhao HG, Xu S, Guanyi Liu GY, et al. Comparison of lateral entry and crossed entry pinning for pediatric supracondylar humeral fractures: a meta-analysis of randomized controlled trials. J of Orthop Surg and Res. 2021;16:366.
  17.  Guy SP, Ponnuru RR, Gella S, et al. Lateral entry fixation using three divergent pins for displaced pediatric supracondylar humeral fractures. ISRN Orthop. 2011;2011:137372.
  18. Woratanarat P, Angsanuntsukh C, Rattanasiri S, et al. Meta-analysis of pinning in supracondylar fracture of the humerus in children. J Orthop Trauma. 2012;26(1):48–53.
  19. Sankar WN, Hebela NM, Skaggs DL, et al. Loss of pin fixation in displaced supracondylar humeral fractures in children: causes and prevention. JBJS Am. 2007;89(4):713–737.
  20.  Skaggs DL, Hale JM, Bassett J, et al. Operative treatment of supracondylar fractures of the humerus in children: The consequences of pin placement. J Bone Joint Surg Am. 2001;83(5):735–740.
Creative Commons Attribution License

©2022 Amatya, et al. This is an open access article distributed under the terms of the, which permits unrestricted use, distribution, and build upon your work non-commercially.