Submit manuscript...
MOJ
eISSN: 2374-6939

Orthopedics & Rheumatology

Case Report Volume 1 Issue 4

Treating plantar fasciitis conservatively: evidence-based case report

Aamir Raoof Memon

Rotary Physical Therapy and Rehabilitation Center, Pakistan

Correspondence: Aamir Raoof Memon, Rotary Physical Therapy and Rehabilitation Center, Rotary Club International, Nawabshah, Pakistan, Tel +92 333 7050540

Received: December 02, 2014 | Published: December 23, 2014

Citation: Memon AR. Treating plantar fasciitis conservatively: evidence-based case report. MOJ Orthop Rheumatol. 2014;1(4):118-119. DOI: 10.15406/mojor.2014.01.00025

Download PDF

Abstract

A 44 year old obese female housewife had plantar fasciitis due to long-term standing and frequent high-heel use. Conservative management options for this condition are many but there is no strong evidence supporting effectiveness of any single option. This paper focused on evidence based physiotherapy treatment of a patient with plantar fasciitis. The treatment strategy included ultrasound at 1.5 watts/cm2 for 4 minutes, iontophoresis with acetic acid, taping, stretching of the plantar fascia and Achilles tendon, intrinsic foot muscle strengthening, manual therapy of myofascial chains and use of heel pads. Home exercises included myofascial release with tennis ball and tin, standing stretches to triceps surae and strengthening of intrinsic foot muscles on towel. Dietary consideration included vitamin C (1-3 g/day) and glucosamine sulphate (500mg three for times/day). The patient recovered after 6 weeks of evidence-based physiotherapy treatment.

Keywords: Heel pain, Physiotherapy, Plantar fasciitis, Risk factors, Treatment

Abbreviations

VAS, Visual Analogue Scale; BMI, Body Mass Index

Introduction

Fascia is a connective tissue type arranged in three layers that is capable of moving and alteration with tissue surrounding it.1 It is connected in chains as a single unit providing tensile strength to the body.1,2 Plantar fascia is strong and thick band of fibrous aponeurosis that stabilizes the medial longitudinal arch of the foot.3 During the propulsive phase of gait cycle, there is flattening of the arch which serves for shock absorption and accommodation to irregular surfaces through the windless effect mechanism.4 Plantar fascia originates from medial calcaneal tubercle to metatarsal heads.3,5 Plantar fasciitis, also called heel spur or heel pain syndrome is an overuse syndrome resulting from excessive tension or repeated stress on fibrous aponeurosis exceeding reparative and adaptive capability of the body.4,6 However, recent research suggests the condition being non-inflammatory degenerative process; hence the term “fasciosis” is more appropriately employed.5,7 Moreover, heel spur is forward extension of plantar tubercle and half of the plantar fasciitis victims have heel spurs. There are 15-25% people in general population with heel spurs and obesity as well as aging contributes to their increasing proportion.3 Plantar fasciitis affects approximately 2 million people annually.6 It is the most common reason for heel pain, specifically targeting calcanei.8 The condition affects sedentary as well as athletic individuals but it is more commonly seen in middle aged women who are predominantly obese and younger athletes with lack of cushioning in footwear.2,3,5 Risk factors for plantar fasciitis have frequently been documented in previous studies.3,5,6

Plantar fascistic pain is of gradual onset, sharp and diffusely located initially which later localizes to medial calcaneal tuberosity.3 Typically, the pain is most severe in the morning or after prolonged sitting (rest period) which lessens with movement but intensifies with long-standing weight-bearing.3,5–7 There may be signs of swelling and tenderness to palpation.3,5 Conservative treatment for plantar fasciitis includes rest and avoidance of causative factor, ice, non-steroidal anti-inflammatory drugs, iontophoresis with acetic acid, stretching of Achilles tendon and plantar fascia, strengthening of intrinsic muscles of the foot, therapeutic modalities including ultrasound, manual therapy, heel pads and night splints, taping, extracorporeal shockwave therapy, dry needling and corticosteroid injections.2–5,7 Dietary consideration may include use of vitamin-C and glucosamine sulphate.9 Surgical treatment for this condition is fasciotomy.5,9 This study aims to highlight effectiveness of evidence based physiotherapy treatment for plantar fasciitis.

Case report

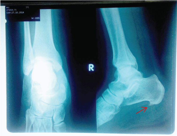
Mrs. SM who is a 44 year old female housewife visited Rotary Physical Therapy and Rehabilitation Center with complaint of severe heel pain in right foot. The pain started a year ago and was gradual and burning type. Her pain was worst in the morning and at the end of the day. However, it ceased after some movement. Moreover, her symptoms returned following prolonged standing and getting up from seated position or prolonged rest. She had history of high heel use at social gatherings and was very social. She carried out chores involving 4 hours of continuous standing and had an average 6-7 hours of standing a day. Furthermore, her height was 5 feet 1 inch and weight was 74 kilogram yielding a BMI of 30.2 kg/m2 and had no co-morbidities. Her pain was 7 on visual analogue scale (VAS) at the time of presentation. Tinnel sign for tarsal tunnel syndrome and squeeze test for calcaneal stress fracture were performed and results were negative. There was swelling and tenderness noticed at the heel and her Achilles tendon demonstrated tightness. Her X-ray showed a heel spur (Figure 1). Her treatment program included ultrasound at 1.5 watts/cm2 for 4 minutes, icing, gentle stretches to Achilles tendon for 10 times, intrinsic muscle strengthening and home exercises. Home exercises included myofascial release with tennis ball and tin, standing stretches to triceps surae and strengthening of intrinsic foot muscles on towel. After 2 weeks, she reported no significant improvement and her treatment plan were modified. After reviewing the literature, there was addition of iontophoresis with acetic acid, taping, stretching of the plantar fascia, and manual therapy of myofascial chains and use of heel pads. Emphasis was placed on manual therapy involving myofascial release and friction massage. Icing was replaced with heating modality. After 2 weeks, she had much improvement and her pain intensity was 3 on VAS. She was advised to take vitamin C (1-3 g/day) and glucosamine sulphate (500mg for thrice/day). Same treatment was continued for 2 more weeks and the patient was assessed for complaint of pain, the VAS score at this stage was 0. Duration of each treatment session lasted for 40 minutes. Patient was educated for preventing the recurrence of the problem and was emphasized to continue home exercises for further 2 weeks.

Figure 1 X-ray of the patient showing heel spur.

Discussion

In this paper, I have mentioned a case of plantar fasciitis typically affecting a middle aged sedentary woman with history of prolonged standing during household activities. Not only this but also keeping in mind, she had history of high heel use during social gatherings. However, plantar fasciitis can occur at any age but it commonly affects middle aged women.2,3,5 Obesity is present in 90% of women with plantar fasciitis.3 Dawson et al. reported 83% prevalence of foot problem in women older than 50 years who wear high-heeled shoes.10 Mrs. SM presented typical picture of plantar fasciitis concerning to her pain presentation. The exact etiology for this condition is undetermined but the risk factors have been discussed in many studies including intrinsic and extrinsic factors.5,6 A study by Caroline et al. demonstrated increased pressure on central and medial\forefoot and big-toe in those wearing high-heels.10 There are many treatment options for this condition with varying results but there is no strong evidence supporting effectiveness of any single option.2 The treatment regimen we used during first 2 weeks proved ineffective while modified treatment plan nullified the patient symptoms. Wolgin et al.6 reported pain relief in 25% patients with rest treatment. Stretching and strengthening hampered the disease and pain symptoms in this study. Similarly, 83% patients in a study got pain relief through stretching and 35% patients in a study by Martin et al. reported decline in their pain intensity with strengthening exercises.6 Gentle and sustained stretches were recommended in a study with 10 repetitions for 5-6 times a day.3 Mechanism by which iontophoresis with acetic acid relieves pain symptoms of chronic heel pain was described in a previous study.4 Manual therapy was emphasized in case of Mrs. SM and a study by Renan-Ordine et al.11 supports its effectiveness in plantar fasciitis.

Conclusion

As, fascial connective tissue works as a single unit, Nguyen recommended that treatment of plantar fasciitis should be on the pain site and remotely located suspected areas.2 Manual therapy and massage was used throughout the plantar area and triceps surae so as to treat the complete unit. The notion that the condition is degenerative rather than inflammatory was supported in a study by Lemont et al.6 For this, dietary supplements were recommended as they are effective in healing the body and degenerative disorders.9 To my best possible knowledge, this is the first study from Pakistan highlighting effectiveness of evidence based physiotherapy treatment for plantar fasciitis.

Acknowledgments

None.

Conflicts of interest

The author declares that there is no conflict of interest.

References

  1. McKenney K, Elder AS, Elder C, et al. Myofascial Release as a Treatment for Orthopaedic Conditions: A Systematic Review. J Athl Train. 2013;48(4):522–527.
  2. Behnam A, Mahyar S, Ezzati K, et al. The Use of Dry Needling and Myofascial Meridians in a Case of Plantar Fasciitis. J chiropr Med. 2014;13(1):43–48.
  3. Singh D, Angel J, Bentley G, et al. Fortnightly review. Plantar fasciitis. 1997;315(7101):172–175.
  4. Costa IA, Dyson A. The integration of acetic acid iontophoresis, orthotic therapy and physical rehabilitation for chronic plantar fasciitis: a case study. J Can Chiropr Assoc. 2007;51(3):166–174.
  5. Schwartz EN, Su J. Plantar Fasciitis: A Concise Review. Perm J. 2014;18(1):e105–e107.
  6. Dyck DD, Boyajian–O'Neill LA. Plantar fasciitis. Clin J Sport Med. 2004;14(5):305–309.
  7. Cleland JA, Abbott JH, Kidd MO, et al. Manual physical therapy and exercise versus electrophysical agents and exercise in the management of plantar heel pain: a multicenter randomized clinical trial. J Orthop Sports phys Ther. 2009;39(8):573–585.
  8. Koca T, Aydın A, Sezen D, et al. Painful plantar heel spur treatment with Co–60 teletherapy: factors influencing treatment outcome. Springer Plus. 2014;3(1):1–4.
  9. Roxas M. Plantar fasciitis: diagnosis and therapeutic considerations. Altern Med Rev. 2005;10(2):83–93.
  10. Speksnijder CM, Rieny Munckhof, Moonen SA, et al. The higher the heel the higher the forefoot–pressure in ten healthy women. The 2005;15(1):17–21.
  11. Renan–Ordine R, Alburquerque–Sendin F, Rodrigues De Souza DP, et al. Effectiveness of myofascial trigger point manual therapy combined with a self–stretching protocol for the management of plantar heel pain: a randomized controlled trial. J Orthop & Sports Phys Ther. 2011;41(2):43–50.
Creative Commons Attribution License

©2014 Memon. This is an open access article distributed under the terms of the, which permits unrestricted use, distribution, and build upon your work non-commercially.