Submit manuscript...
MOJ
eISSN: 2374-6939

Orthopedics & Rheumatology

Case Report Volume 5 issue 5

Treatment of Pipkin Type II Fracture Caused by Dislocation of Hip Joint

Salihodzic Nazif, Pasaga Begic, Iskra , Edis Tatlic, Alen Dervisevic, Jre Juric

Department of Orthopaedics with Traumatology, Bosnia and Herzegovina

Correspondence: Salihodzic Nazif, Specialist of orthopedic surgery at Cantonal Hospital Bihac, Bosnia and Herzegovina

Received: March 06, 2016 | Published: September 16, 2016

Citation: Nazif S, Begic P, Troha I, Tatlic E, Dervisevic A, et al. (2016) Treatment of Pipkin Type II Fracture Caused by Dislocation of Hip Joint. MOJ Orthop Rheumatol 5(5): 00197. DOI: 10.15406/mojor.2016.05.00197

Download PDF

Introduction

Femoral head fractures are rare, but can be associated with hip dislocation, difficult femoral fractures, and with good or poor functional outcome in the future.1 These injuries, in six of fifteen cases of traumatic hip dislocation, are found as complicated.2-9 Location is more posterior than anterior.10,11 Depending on different type of fracture, comminution seems to be very good predictor in osteoarthritis prognosis.1 Dislocations that cannot be reduced are very rare, and often are resulted with possible serious effects to hip function. The main causes of these injuries are road traffic accidents.12-14 Posterior dislocation occurs as shearing injuries as the flexed hip, during dislocation, is driven across the posterior wall of the acetabulum.15,16 Management o femoral head fracture remains controversial. If operative treatment is chosen, discussion on the question, “Whether the approach should be anterior, posterior or medial?” will be brought.5,17-22 There is also no consensus should the fracture be fixed or removed from the joint. Total hip arthroplasty as a reasonable option would be applied in elderly patients. Arthroscopy is new in this field, but soon will be best treatment option for some cases.

Prognosis of osteoarthritis, due to small numbers of cases reported, still remains uncertain. Two commonly used classifications are Pipkin old classification, and new Chiron, assessing reproducibility and prognostic value. Pipkin type I and type II “fractures are treated by excision of fragment in case of small osteochondral piece, but large ones are internally fixed.

Type III: Type I or II fracture with a fracture of the femoral neck, has an increased risk of avascular necrosis. In the case of associated acetabular posterior wall fractures (Pipkin type IV), management depends on their size and location. Commonly for these types of fractures posterior approach is used, which allows for simultaneous fixation of both fractures.

Case presentation

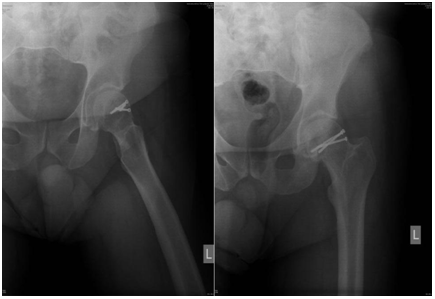
The patient at the age of 34 and 150kg of body weight suffered left hip posterior dislocation with femoral head fracture in car crash accident. The patient had been admitted to hospital after midnight. The mechanism of injury goes as follows: axial force and flexion in the hip caused by impact of the car. The left leg clinically observed is in painful extension, with minimal movement, strong pain and shortened leg. X-rays shows posterior hip joint dislocation and fracture of the femoral head. Closed reduction under anesthesia was unsuccessful. 3D CT reconstruction that had been taken before proceeding to open procedure shows posterior hip dislocation with femoral head fracture above fovea involving weight bearing portion- Pipkin type II fracture dislocation.

After six to seven hours from the injury it has been decided to approach to surgery through lateral approach. After inspection of acetabulum, attached fragment of femoral head to ligamentum capitis femoris has been found. The hip joint was cleaned and washed in order to remove any remains of debris.

After reduction regarding the size, position of fragment and indication for Pipkin type II fracture, decision has been made for fine reposition and fixation with 3 cannulated screws 3,0mm. Intraoperative x- rays confirm good position of hip joint and fixed fractured fragment.

Note

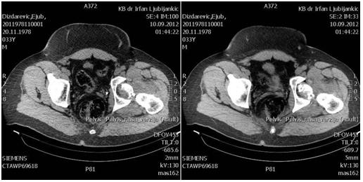
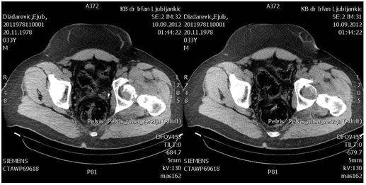
Preoperative x-rays, CT scans and 3D CT reconstructions in emergency department are presented as follows (Figure 1-5).

Five to seven days after the surgery supracondylar direct extension with traction of 10kg. Has resulted with an increase in range of motion. However this progress has happened after the withdrawal of pain. After three weeks direct extension was removed. Abduction brace and physiotherapy rehabilitation, there was no weight bearing. Weight bearing was possible three months postoperative. The patient was advised to continue follow up every six months to evaluate any progression of arthritis and the need for another operative treatment. Three years after surgery good clinical outcome has been noticed with painless and full range of hip joint motion. The patient if satisfied (Figure 6).

Figure 1 Preoperative X-ray.

Figure 2 Preoperative CT scans.

Figure 3 Preoperative CT scans.

Figure 4 Preoperative 3D reconstructions.

Figure 5  Preoperative 3D reconstructions.

Figure 6 First postoperative image.

Discussion

Pipkin fracture with dislocation is a serious injury with poor future outcome in most of the cases. Many of these cases occur as a result of car accidents in adolescence and young adult age, which were young for total hip arthroplasty. X-ray diagnosis is never enough for decision for treatment, so CT scans will reveal susceptible bone fragments or large osteochondral fragments that need to be fixed surgically.

Epstein advocated fragment excision, stating that up to one third of the non-weight-bearing portion of the femoral head can be excised without compromising the function. However, maintaining joint congruity is a prerequisite or a good outcome, which is reinforced by the more recent literature. The authors discussed Henle perception in treating such injury and mentioned that closed reduction is very difficult in Pipkin fracture dislocation. Henle could achieve only one proper closed reduction in his series of twelve cases. The remaining cases needed surgical intervention for reduction. The other authors stated that closed reduction was successful in their sixteen cases. Some cadaveric biomechanical studies indicate that excision of small part (1/3) of the non-weigh bearing surface of the femoral head, does not lead to adverse long term clinical implications. However, these cadaveric studies only consider the force acting on the hip joint but do not consider in vivo surgical morbidity, soft tissue handling and consequence of the surgical approach (Figure 7).

Figure 7 Postoperative after 3 years.

Conclusion

Surgical treatment of femoral head fracture-dislocation must not worsen existing injuries. There is high risk of femoral head fractures in Pipkin type II irreducible type dislocations during reduction. The goal is to do earlier reposition of the hip joint and to get the congruence. If it cannot be done by closed reduction, and get the desired result, it is necessary to do the surgery. The onset of intervention is important in order to decrease pain during coma period, which is regular after car accidents or high energy traumas.

Acknowledgment

None.

Conflicts of interest

None.

References

  1. Epstein HC, Wiss DA, Cozen L. Posterior fracture dislocation of the hip with fractures of the femoral head. Clin Orthop Relat Res. 1985;(201):9‒17.
  2. Thompson VP, Epstein HC. Traumatic dislocation of the hip; a survey of two hundred and four cases covering a period oftwenty‒one years. J Bone Joint Surg Am. 1951;33(3):746‒778.
  3. Duquennoy A, Decoulx J, Capron JC, et al. Traumatic dislocations of the hip with fracture of the femur head. A propos of 28 cases. Rev Chir Orthop. 1975;61(3):209‒219.
  4. Garland DE, Miller G. Fractures and dislocations about the hip in head‒injured adults. Clin Orthop. 1984;186:154‒158.
  5. Stevenson LA, Getty CJ. The Pipkin fracture‒dislocation of the hip. Injury. 1987;18(4):264‒269.
  6. Hougaard K, Thomsen PB. Traumatic posterior fracture dislocation of the hip with fracture of the femoral head orneck, or both. J Bone Joint Surg Am. 1988;70(2):233‒239.
  7. Richardson P, Young JW, Porter D. CT detection of cortical fracture of the femoral head associated with posterior hip dislocation. AJR Am J Roentgenol. 1990;155(1):93‒94.
  8. Burdin G, Hulet C, Slimani S, et al. Luxation traumatique de hanche : luxations pures et fracture de tête fémoral. EMC ‒ Rhumatologie‒Orthopédie. 2004;1(6):508‒520.
  9. Clegg TE, Roberts CS, Greene JW, et al.  Hip dislocations‒epidemiology, treatment, and outcomes. Injury. 2010;41(4):329‒334.
  10. DeLee JC, Evans JA, Thomas J. Anterior dislocation of the hip and associated femoral‒head fractures. J Bone Joint Surg Am. 1980;62(6):960‒964.
  11. Dussault RG, Beauregard G, Fauteaux P, et al. Femoral head defect following anterior hip dislocation. Radiology. 1980;135(3):627‒629.
  12. Vielpeau C, Lanoe E, Delbarre JC, et al. Fracture‒luxation de la tête fémorale. Ann Orthop Ouest. 2000;32:61‒65.
  13. Duquennoy A, Decoulx J, Capron JC, et al. Traumatic dislocations of the hip with fracture of the femur head. Apropos of 28 cases. Rev Chir Orthop Reparatrice Appar Mot. 1975;61(3):209‒219.
  14. Roeder LF, Delee JC. Femoral head fractures associated with posterior hip dislocations. Clin Orthop. 1980;147:121‒130.
  15. Matsuda DK. A rare fracture, an even rarer trauma: The arthroscopic reduction and internal fixation of an isolated femoral head fracture. Arthroscopy. 2009;25(4):408‒412.
  16. Ledere S, Tauber M, Karpik S, et al. Fractures of the femoral head. A multicenter study. Unfallchirurg. 2007;110(6):513‒520.
  17. Swiontkowski MF, Thorpe M, Seiler JG, et al. Operative management of displaced femoral head fractures: casematchedcomparison of anterior versus posterior approaches for Pipkin I and II fractures. J Orthop Trauma. 1992;6(4):437‒442.
  18. Mascard E, Vinh TS, Ganz R. Indentation fractures of thefemoral head complicating the traumatic dislocation of the hip. Treatment by intertrochanteric osteotomy. Rev Chir Orthop. 1998;84(3):258‒263.
  19. Stannard JP, Harris HW, Volgas DA, et al. Functional outcome of patients with femoral head fractures associated with hip dislocations. Clin Orthop. 2000;377:44‒56.
  20. Schiedel F, Rieger H, Joosten U, et al. Not ‘‘only’’ a dislocation of the hip: functional late outcome femoral head fractures. Unfallchirurg. 2006;109:538‒544.
  21. Henle P, Kloen P, Siebenrock KA. Femoral head injuries: which treatment strategy can be recommended? Injury. 2007;38(4):478‒488.
  22. Mehta S, Routt ML. Irreducible fracture‒dislocations of the femoral head without posterior wall acetabular fractures. J Orthop Trauma. 2008;22(10):686‒692.
Creative Commons Attribution License

©2016 Nazif, et al. This is an open access article distributed under the terms of the, which permits unrestricted use, distribution, and build upon your work non-commercially.