Submit manuscript...
MOJ
eISSN: 2374-6939

Orthopedics & Rheumatology

Research Article Volume 14 Issue 4

Unstable thorax in a polytraumatized patient: Case report

Damaris Areli García Cabra,1 Daniel Adrián Villavicencio Jiménez,2 David Jerez Fidencio3

1Facultad de Medicina, Universidad Veracruzana, Campus Minatitlán, México
2Facultad de Medicina, Universidad Veracruzana, Campus Veracruz, México
3Servicio de Traumatología y Ortopedia, Hospital General de Zona No. 32 del Instituo Mexicano del Seguro Social, Mexico

Correspondence: Dra. Damaris Areli García Cabra, MD, Facultad de Medicina, Universidad Veracruzana, Campus Minatitlán, Managua, Nueva Mina, 96760, Minatitlán,Veracruz, México,

Received: July 20, 2022 | Published: August 19, 2022

Citation: Cabra DAG, Jiménez DAV, Fidencio DJ. Unstable thorax in a polytraumatized patient: Case report. MOJ Orthop Rheumatol. 2022;14(4):108-111. DOI: 10.15406/mojor.2022.14.00588

Download PDF

Abstract

Unstable thorax is a serious pathology that requires a clear and current knowledge of the principles for its management. We present the case of a male patient diagnosed with unstable/polyfractured thorax (rib, hip and metaphyseal fractures of the radius and ulna). On admission, he presented mild pulmonary contusion without respiratory failure; managed with conservative treatment to the unstable thorax and osteosynthesis of hip fracture, achieving satisfactory evolution. We present the current recommendations for the therapeutic management of unstable thorax, the indications for surgical and conservative management are defined, as well as the injury severity indexes as indicators of mortality.

Keywords: unstable thorax, polytrauma, polyfracture, pulmonary contusion

Introduction

The World Health Organization describes that five million people die annually from trauma and about 50% occur in the 15-44 age range. Severe polytrauma is a public health problem that has increased overall mortality by up to 12%. In Mexico, accidents are the fourth leading cause of death.1 ,2

A polytraumatized patient is defined as one who presents two or more severe traumatic injuries (peripheral or visceral) that have respiratory or circulatory repercussions, putting the patient's life at risk; all of the above can be aggravated by factors such as the patient's age, personal pathological history, time elapsed in prehospital management and associated injuries (head trauma, cervical spine injury, pelvic and/or extremity fractures) produced by the same mechanism, as in the case presented here.1,2 Nowadays, thoracic trauma is a frequent problem in our environment, derived from the high incidence of traffic, domestic and work-related accidents, which represent the most frequent cause of death in the economically active population and in the male sex.3,4

Chest injuries account for a quarter of traumatic injuries and 25% of deaths caused by trauma worldwide are secondary to chest trauma, either associated or not associated with other injuries.4,5 Trauma thorax can occur by penetrating or blunt mechanisms and the severity of the type of injury depends on the magnitude of the trauma. Injuries may be isolated or severe bilateral rib fractures from compressive trauma to the chest, often involving compromise of the integrity of vascular structures, heart and/or lung parenchyma.5

Among the thoracic traumas, instability of the thoracic wall (unstable thorax, flail chest or costal volet) stands out for its high morbidity, which has been reported in up to 41% of cases. Unstable thorax is defined as the fracture of three or four ribs in more than two segments of their length, causing complete dissociation of the thoracic cage; this instability is generally caused by blunt trauma, either by compression or crushing of the thorax (fall from a great height or direct blow to the thorax).5–7

Chest injuries often impair lung function and increase morbidity and mortality; in case of closed chest trauma, chest wall injuries, pulmonary contusion, disorders of respiratory dynamics, and local damage to the pulmonary parenchyma result in increased vascular permeability, which is attributed to cellular systems and humoral mediators. Intraalveolar edema and local damage alter gas exchange and decrease the ventilation area.8 Chest trauma has become a pathology constantly present in emergency departments and unstable thorax is documented as being of great severity in polytraumatized patients. For its treatment there are divergences on the conduct to be taken, that is why we present a clinical case to which conservative treatment was applied.

Case report

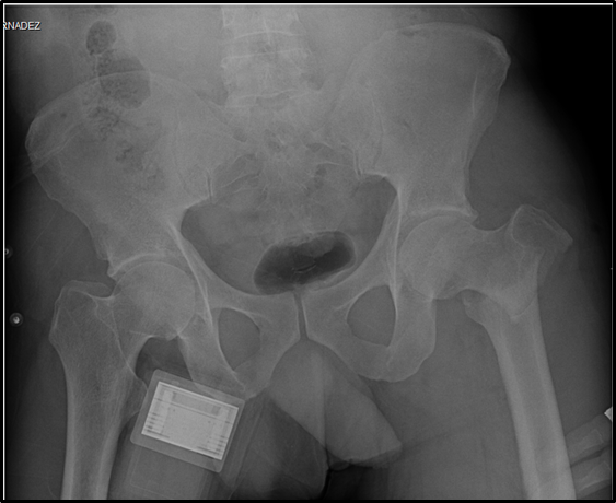
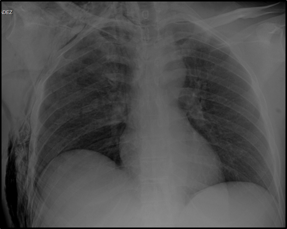
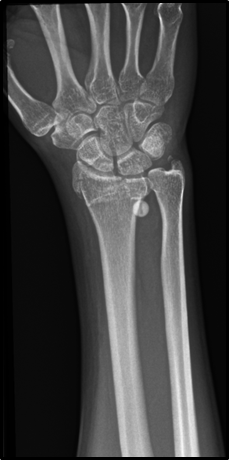
This is a 41-year-old male patient, provided his written informed consent, from and resident of Minatitlán, Veracruz with a history of apparent good health, who was transferred by Red Cross paramedics on July 05, 2019 to the Emergency Department, after suffering a fall from a height of 4 meters in his work area. The diagnosis of polyconcussion was established and the evaluation of cabinet studies identified: distal metaphyseal fracture of the right radius and ulna, intertroncantal fracture of the left femur and costal fractures from the second to the seventh right costal arch; at this time, he was diagnosed as polytrauma/unstable thorax (Figure 1–3).

Figure 1 Rx of Thorax AP. Multiple fracture strokes are observed in 2nd, 3rd, 4th, 5th, 6th and 7th right rib arches. No lung involvement.

Figure 2 Rx of Pelvis AP. Intertrochanteric fracture of the left femur is observed.

Figure 3 Rx of radiocarpal articulation AP. Loss of continuity is observed in styloid processes of ulna and proximal fracture stroke of radius.

On physical examination on admission, the patient was awake, calm, without alteration of the level of consciousness and oriented in his three neurological spheres, Glasgow of 13. There was slight pallor of the integuments, isochoric pupils, normoreflexic, photoreactive, neck with evidence of subcutaneous emphysema and on inspection of the chest there was deformity and bulging in the right costal angles. Palpation showed evidence of subcutaneous emphysema and bone crepitus in the right hemithorax, bilateral thoracic expansion with difficulty due to pain but more marked in the right hemithorax, subdued on percussion and pain on digital pressure in the same hemithorax, as well as a slight decrease in vesicular murmur. Left hemithorax without alterations and with adequate ventilatory mechanics. Cardiovascular sphere and abdomen without alterations. Right upper extremity with hematoma in the shoulder and left lower extremity with external rotation and deformity. Vital signs: respiratory rate 24 rpm, heart rate 94 bpm, blood pressure 140 / 70 mmHg and oxygen saturation of 96%.

Laboratory tests showed glucose 152 mg/dL, creatine phosphokinase MB 73 IU/L and total creatine phosphokinase 833 IU/L; hemoglobin 15.1 g/dL, hematocrit 47%, leukocytes 16 800 per mm3, neutrophilia (86%), platelets 234 000 per mm3, PT 13.9 sec, serum electrolytes normal, potassium 3.5 mEq/L and sodium 35 mEq/L. Management with supplemental oxygen is started and a pelvipodal immobilization splint and right brachipalmar splint are placed. Hydric replacement with physiological solution 0.9% 1000 CC p/8 hrs, analgesic treatment with ketorolac 30 mg IV c/8 hrs, dexamethasone 8 mg IV every 8 hrs, nalbuphine 10 mg c/6 hrs, nadroparin 0.3 ml sc c/24 hrs and prophylactic antibiotic therapy. Abdominal ultrasonography and cranial computed tomography were performed, both without alterations. Surgery and traumatology were requested for unstable thorax, who determined that the patient did not require surgical management of the thorax.

When the general conditions improved, orthopedic surgery was scheduled for August 13; in the postoperative period he evolved favorably, he was found without cardiopulmonary compromise, with no data of respiratory distress, he only reported pain when coughing or sneezing; at the laboratory update, blood biometry was found with erythrocytes 3 870 000 per mm3, hemoglobin 12. 1 g/dL, hematocrit 38.8%, leukocytes 14 400 per mm3, neutrophilia (90%), platelets 279 000; four days later he was discharged with treatment with dicloxacillin 1 g every 24 hrs for 8 days, diclofenac 100 mg every 12 hrs for 5 days and rest was recommended for two weeks with satisfactory evolution.

Discussion

Unstable thorax is a condition resulting from blunt trauma which is characterized by causing dissociation of a portion of the thoracic cage; this pathology is difficult to treat due to the scarce existing information and the absence of a therapeutic consensus. Generally, these patients are polytraumatized, as in the case presented, an aspect that must be taken into account, since the coexistence of other injuries is a determining factor for treatment. The management of this entity is based on the control of respiratory decompensation, hemodynamic alterations, treatment of pain, pulmonary contusion, chest wall and associated injuries.1,8 It is important to mention that in the initial management of all polytraumatized patients, a systematic assessment should be performed starting with a rapid primary review, evaluation of vital functions, a more detailed secondary review and the initiation of definitive patient management under advanced life support guidelines. Assessment of respiration and clinical examination of the chest are necessary to recognize important thoracic injuries or complications such as pneumothorax, thoracic insufficiency, pulmonary contusion and massive hemothorax; inspection, palpation, percussion and especially auscultation provide very important information for diagnosis (with a sensitivity of 90% and specificity of 98%).4,9,10

In the aforementioned case, there were no major injuries or complications, there were no signs of respiratory distress and his oximetry was adequate on admission and during monitoring; taking into account the risk factors that aggravate or complicate the management of an unstable thorax, such as the number of fractures of the costal arches, comorbidities, smoking, age, and mechanism of trauma; which in this case was contusion due to a fall from height, we found a completely favorable evolution, despite the conditioning lesions in the extremities; this clinical response was the main guideline for the choice of the patient's therapeutic management.5

The central management of the unstable chest can be described in four areas: damage control, pain management, fixation selection (if required) and ventilatory rehabilitation (quality of life). In one study Voggenreiter et al. concluded that for unstable chest with pulmonary contusion, surgical stabilization increased mortality and complications, while Farquhar et al. conducted a retrospective cohort study comparing patients who were treated with surgical fixation of chest fractures and patients who were managed conservatively; the results showed that conservative treatment provided a better outcome and patients received no benefit from fixation surgery. Severe pulmonary contusion is considered a contraindication to surgery in many studies; however, convincing high-level clinical investigations are lacking to confirm the benefit of surgery in the patient with an unstable thorax.2,11,12

Ventilatory dysfunction (caused by severe pulmonary contusions) requires a comprehensive treatment of medications, respiratory monitoring, fluid replacement, respiratory treatment and respiratory physiotherapy, therefore, some studies suggest that the option of surgery can be considered as long as the pulmonary contusion has improved; Zhe et al, suggest that an adequate surgical option is to wait 48 to 72 hours after the peak of pulmonary contusion, that is why in the case presented one of the main interests was the monitoring and clinical findings since it is part of the integral treatment of unstable thorax, in addition the pulmonary contusion was evaluated as not important, due to the rapid response to analgesic treatment that improved the ventilatory mechanics from the first days.13 For patients with compound trauma, as in the present case, it is necessary to evaluate and judge the impacts of multiple injuries. According to the principle of damage control, all associated factors should be analyzed and an assessment made as to whether the patient is a candidate for internal fixation and whether this procedure will be beneficial in the short and long term.13

In a consensus on clinical indications for surgical rib fixation Ahamad et al. established the following criteria: three or more rib fractures with displacement of more than one cortical rib diameter, an unstable segment, pulmonary worsening with progressive volume loss, mechanical intubation/ventilation, intravenous narcotic use, uncontrollable pain even with the use of analgesics, open chest defect and pulmonary hernia. The surgical indications developed by several countries and organizations are similar, due to the fact that thoracic traumas are diverse, it is difficult to include all situations; however, of the mentioned criteria our patient only fulfilled one, more than three fractured costal arches; the rest were discarded due to their rapid and favorable evolution.14,15

Xin et al.16 in 2019 conducted a study comparing the benefits of surgical treatment with non-surgical treatment of unstable thorax, the results showed that patients treated non-surgically could not completely eliminate respiratory dissociation, despite mechanical ventilation and external fixation partially relieving the pathophysiological changes caused by pulmonary contusions; Therefore, there was no complete resolution of pain and mild activities caused severe pain in patients making it difficult to expel airway secretions, which in turn caused hypoxemia, severe pulmonary infections, atelectasis or other pulmonary complications. The study concluded that patients treated with surgery showed a greater decrease in the mortality rate, hospitalization time, time in the intensive care unit, mechanical ventilation time and pulmonary infection rate than patients who received conservative treatment. However, it is considered that the second level hospital where the patient presented in the case was treated does not have a cardiothoracic surgery service and the patient did not meet the clinical indications for surgical fixation and did not warrant referral to the third level.

It is important to mention that pain relief is transcendental, since it allows adequate ventilation, effective coughing and adequate respiratory physiotherapy.3,16

Management planning for unstable thorax emphasizes the combination of surgical and non-surgical treatment, rather than a choice between one or the other; however, conservative management with analgesia should be considered to avoid resorting to ventilatory support or to shorten the duration of ventilatory support. Oral or intravenous analgesia with NSAIDs and/or narcotics can be used for mild or moderate cases as in the case presented, where the patient did not present respiratory distress, and those with indication to undergo the surgical procedure are patients who present severe unstable thorax, in whom an evident deformity of the thoracic wall is found, older than 45 years, who continue with pain despite analgesic management or who have any other indication for thoracotomy.5,10

For the analysis of this case, the severity of the trauma was evaluated with the Injury Severity Scale (ISS) (Table 1), which divides the sections of a trauma into 6 systems (respiratory, nervous, cardiovascular, abdominal, musculoskeletal and skin) with variability of 5 or 6 points for each system; The score is the sum of the squares of the highest scores of the three most affected body regions, obtaining a critical index; this result is known as a prognostic factor of mortality, in our case the patient's ISS was 18 which is classified with a mortality of less than 5%. Similarly, the Revised Trauma Score (RTS) was evaluated (Table 2), another indicator of severity of thoracic trauma, which evaluates the Glasgow scale, systolic blood pressure and respiratory frequency, and a result of 12 was obtained, which is equal to 0.4% mortality. It has been shown that these scales are indicators for the treatment guideline to be followed.1,17,18

Respiratory

1

Chest pain

2

Contusion or simple fracture

3

Fracture of the first or multiple rib, hemothorax or pneumothorax

4

Open wound, tension pneumothorax, unilateral pulmonary contusion

5

Acute respiratory failure, aspiration, bilateral pulmonary contusion, diaphragmatic laceration.

Nervous system

1

Head trauma without loss of alertness

2

Cranial fracture, loss of consciousness, Glasgow 15

3

Brain injury, depressed cranial fracture, depressed facial fracture, Glasgow <15

4

Loss of consciousness, Glasgow <6, cervical fracture with paraplegia

5

Coma for more than 24 h., cervical fracture with quadriplegia

6

Coma, dilated and fixed pupils

Cardiovascular

1

Blood loss <10%

2

Blood loss of 10 to 20%, myocardial contusion

3

Blood loss of 40 to 50%, TAM < 80 mmHg

4

Blood loss of 40 to 50%, coma, agitation

5

Blood loss > 50%, coma, cardiac arrest

Abdominal

1

Moderate tenderness in the abdomen, peritoneal signs.

2

Rib fracture 7 to 12, moderate abdominal pain

3

A single lesion, liver, spleen, kidney, intestine, ureter or pancreas.

4

Two injuries

5

Two severe lesions: liver crush, major vascular injury

Musculoskeletal

1

Sprain or fracture without affecting the long spindle

2

Simple fracture, humerus, clavicle, radius, cube, tibia and fibula

3

Multiple fracture, single femur, stable pelvic, major dislocation

4

Two major fractures, femur complex, unstable pelvis, amputation

5

Two severe fractures: multiple major fractures

Skin

1

Burns <5%, lacerations, abrasions, bruises

2

Burns 5-15%, extensive bruises, avulsions

3

Burns of 15-30%, severe avulsions

4

Burns of 30-45%

5

Burns of 45-60%

6

Burns >60%

Table 1 Parameters for Assessing Injury Severity (ISS) (Injury Score Severity)
The score is the sum of the squares of the highest ratings of the three most affected body regions.

GCS

PAS (mmHg)

FR (respiraciones/min)

RTS

13-15

>89

10-29

4

9-12

76-89

>29

3

6-8

50-75

6-9

2

4-5

1-49

1-5

1

3

0

0

0

Table 2 Parameters to evaluate Revised Trauma Score (RTS)
GCS, glasgow scale, SBP, systolic blood pressure, RF, respiratory rate.

Having said this, we can conclude that in this severe pathology, it is sometimes necessary to combine the aforementioned methods to minimize morbidity and mortality in these patients; the satisfactory evolution of these patients depends on timely treatment, however, a percentage of patients may have an unstable thorax without associated injuries and evolve satisfactorily with pain control and respiratory physiotherapy.3,19

Acknowledgments

The authors would like to thank at Hospital General de Zona 32 of Minatitlán, Veracruz of the Instituo Mexicano del Seguro Social.

Disclousure

Drs. Damaris Areli García-Cabra, Daniel Adrián Villavicencio-Jiménez, David Jerez-Fidencio have no conflicts of interest or financial ties to disclose.

Informed consent

Informed consent was obtained from the participant included in this study.

Conflicts of interest

The authors declare no conflicts of interest.

References

  1. González-Balverde M, Ramírez-Lizardo EJ, Gardona-Muñoz EG, et al. Fatal triad in polytraumatized patients, relationship with mortality and severity. Rev Med Chile. 2013;14:1420–1426.
  2. De la Torre-Martínez D. Multidisciplinary treatment of the polytraumatized patient. Ortho-tips. 2013;1:65-73.
  3. Freixinet-Gilart J, Hernández-Rodríguez H, Martínez-Vallina P, et al. Regulations on diagnosis and treatment of thoracic trauma. Arch Bronconeumol. 2011;47:41–49.
  4. Jiménez-Fernández CA, Bautista-González S, Guzmán-Chávez OR, et al. Chest trauma. One-year experience at the Fray Antonio Alcalde Civil Hospital. Rev Med MD. 2012;3:186–190.
  5. Sibaja-Matamoros DA. Chest trauma: pathophysiology and management of unstable chest with pulmonary contusion. Rev Med Costa Rica Central America. 2015;617:687–693.
  6. Carmago H, Sarmiento D, Herazo T. Thoracic trauma: cause and complications in the I.V.S.S. Hospital "Dr Rafael Calles Sierra". Period July 1987-December 2000. Rev Venez.
  7. Mendoza-Rodríguez M, Acevedo-Tacuba JL, Gutierrez-Verdiguel D, et al. Epidemiological behavior of thoracic trauma in intensive care units of trauma hospitals. Rev Asoc Mex Med Crit and Ter Int. 2014;28:164–174.
  8. Vera-Carrasco O, Catacora-Navarro MO, Sánchez-Argandoña DM, et al. Unstable chest: about a case. Cuad Hosp Clinic. 2015;58:36–41.
  9. Pérez-Suárez O, Reyes-Domínguez Y, Leyva-Socorro A. Tórax batiente. Presentation of a case. Rev Inf Cient. 2016;95:465–472.
  10. Waydhas C, Saverland S. Pre-hospital pleural decompression and chest tube placement after blunt trauma: Asystematic review. Resuscitation. 2007;72(1):11–25.
  11. Voggenreiter G, Nuedeck F, Aufmkolk M, et al. Operative chest wall stabilization in flail chest-outcomes of patiets with or without pulmonary contusion. J Trauma. 2009;66:75–79.
  12. Farquhar J, Almahrabi Y, Slobogean G, et al. No benefit to surgical fixation of flail chest injuries compared with modern comprehensive management: results of a retrospective cohort study. Can J Surg. 2016;59(5):299–303.
  13. Zhe H, Dongsheng Z, Haiping X, et al. The ideal methods for the management of rib fractures. J Thorac Dis. 2019;11(Suppl 8):1078–1089.
  14. Ludwing C, Koryllos A. Management of Chest trauma. J Thorac Dis. 2017;9(3):172–177.
  15. Ahmad MA, Delli SE, Giannoudis PV. Assesment of severity of chest trauma: is there an ideal scoring system. Injury. 2010;41:981–983.
  16. Xin L, Kai X. Surgical management versus non-surgical management of rib fractures in chest trauma: a systematic review and meta-analysis. J Cardiothoracic Surg. 2019;14(1):45–53.
  17. Freixinet J, Beltrán J, Miguel-Rodríguez P, et al. Indicators of severity in thoracic trauma. Arch Bronconeumol. 2008;44(5):257–262.
  18. Morales-Villanueva J, Mejía-Toiber JP, Aviña-Valencia J. Damage control in orthopedics. Ortho-Tips. 2008;4:18–24.
  19. Ishara-Maduka AK, J-Lin G, Keat-Lee DJ, et al. A comprehensive analysis of traumatic rib fractures in an acute general hospital in Singapure. J Emerg Trauma Shock. 2019;12(2):145–149.
Creative Commons Attribution License

©2022 Cabra, et al. This is an open access article distributed under the terms of the, which permits unrestricted use, distribution, and build upon your work non-commercially.