Submit manuscript...
Advances in
eISSN: 2573-2862

Cytology & Pathology

Case Report Volume 3 Issue 3

Distant cutaneous metastasis of endometrial carcinoma - unusual presentation

Rajeev Sen, Namita Bhutani

P.T. B. D. Sharma Institute of Medical Sciences, PGIMS, India

Correspondence: Namita Bhutani, P.T. B. D. Sharma Institute of Medical Sciences, PGIMS, Rohtak, India, Tel 9873 1013 93

Received: July 20, 2018 | Published: August 23, 2018

Citation: Sen R, Bhutani N. Distant cutaneous metastasis of endometrial carcinoma - unusual presentation. Adv Cytol Pathol. 2018;3(3):74-76 DOI: 10.15406/acp.2018.03.00057

Download PDF

Abstract

Metastases to the skin from internal carcinoma are relatively rare and cutaneous metastasis from endometrial adenocarcinoma is rarer with poor prognosis. In the reported cases, metastasis from endometrial cancer has been most commonly noted at the site of initial surgery and radiotherapy. More rarely, distant cutaneous sites, including scalp, toes and trunk have been reported. We report a case of unusual presentation of distant cutaneous metastasis of endometrial adenocarcinoma to left anterior shoulder diagnosed on fine needle aspiration cytology (FNAC). FNAC can be used rather than biopsy in such patients with cutaneous involvement at terminal stage.

Keywords: cutaneous metastasis, endometrial carcinoma, FNAC

Introduction

Cutaneous metastasis from cancer is relatively uncommon and from uterine adenocarcinoma only a few cases have been reported in literature.1 Primary tumours most often metastasizing to skin are melanoma (18%), lymphoma (14%), breast cancer (12%), gastrointestinal tract including stomach & colon (10.7%), pulmonary (8.9%), urinary tumour (7%) & others (17%). Skin sites involved by endometrial cancer are abdominal wall, vulva & anterior chest wall.2 Here we report a case of unusual presentation of distant cutaneous metastasis of endometrial adenocarcinoma to left anterior shoulder diagnosed on Fine Needle Aspiration Cytology (FNAC) and Liquid Based Cytology (LBC) with clinical & histopathological correlation. The aim of our study is to highlight that FNAC could be used as first line of investigation and is a better alternate to biopsy in terminally ill patients for early diagnosis & management.

Case report

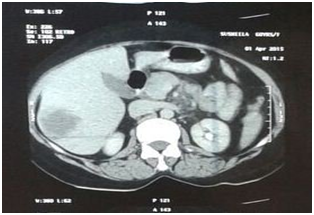
We report a case of 62 years female menopausal for 17 years operated for endometrial adenocarcinoma grade II (moderately differentiated). She underwent total abdominal hysterectomy & bilateral salpingoopherectomy. Then she received 35 cycles of brachytherapy. One year later she consulted for a cutaneous mass measuring 4x4cm, firm too hard, fixed at anterior left shoulder. FNAC was performed along with Liquid based cytology. Smears examined were cellular comprising neoplastic cells arranged in groups, sheets, acinar structures and dispersed singly having round to oval, moderately pleomorphic nuclei coarse nuclear chromatin, prominent nucleoli and moderately abundant cytoplasm which is vacuolated at places. Keeping in view previous histopathological diagnosis of endometrioid adenocarcinoma diagnosis of metastasis possibly from endometrial adenocarcinoma was made. Liquid based cytology also reveals groups, clusters & acini of these neoplastic cells in a relatively clean background. Immunocytochemistry (ICC) for Progesterone Receptor (PR) was negative on LBC smears suggesting poor prognosis. Then patient was further investigated and Ultrasonography (USG) abdomen, Contrast enhanced chest tomography (CECT) chest, abdomen & pelvis & haematological tests were performed. USG show hypoechoiclesion with areas of cavitation right lobe revealing metastasis. CECT show multiple heterogeneously enhancing hypodense lesion in right lobe of liver (metastasis), mediastinal & retroperitoneal lymphadenopathy, metastasis right lobe of lung & enhancing mass pre & paraaortic region. Based on FNAC report and clinical investigatory correlation patient was started with chemotherapy & radiotherapy (Figures 1-5).

Figure 1 Cutaneous lump at left shoulder.

Figure 2 CT revealing metastasis liver.

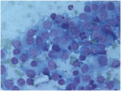
Figure 3 Malignant cells with moderate to marked cytoplasm with mitotic figure (400X).

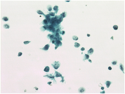
Figure 4 LBC showing gland formation (200X).

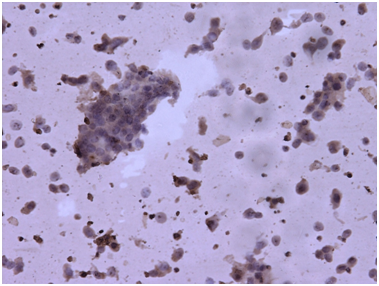
Figure 5 PR negative tumor cells On LBC (200X).

Discussion

Cutaneous metastases from internal carcinomas are relatively rare with reported incidence of 0.7-0.9%.3 Breast cancer is most common origin of skin metastasis in women & lung in men.4 Skin metastases from endometrial adenocarcinoma are extremely rare with a report prevalence of 0.8%.5 In reported cases metastasis from endometrial cancer has been most commonly noted at site of initial surgey or radiotherapy.1 But in our case it shows unusual presentation with distant involvement of skin. Metastasis to skin is usually confined to subcutaneous tissue & patient present with rapidly developing nodules or discrete movable painless masses.6 In our case patient presented with cutaneous painless mass. So in patients presenting with cutaneous lesions differential diagnosis of metastasis from underlying internal malignancy should also be kept. Carcinoma metastasize to skin by different mechanisms including direct extension, lymphatic or hematogenous spread. Direct extension involves tumour at incisional, trochar or drain site.2 Subcutaneous nodule along with lung and lymph nodes involvement suggests widespread hematogenous dissemination. Cutaneous metastasis of endometrial carcinoma reflects poor prognosis with mean life expectancy of 4month to 12 month.5 FNAC not only helps in early diagnosis & prompt initial evaluation & treatment of cutaneous metastasis with known primary but also offers an accurate & non invasive method for diagnosis of metastasis.7 Further use of LBC helps in diagnosing primary with help of ICC & in some cases prognosis of tumour.8 In most of patients subcutaneous metastasis reveals a terminal stage of illness so using a non invasive method for diagnosis or exclusion of metastasis is crucial. FNAC is preferred over biopsy for quick diagnosis especially in patients who are suffering debilitating diseases.9 Fine-needle aspiration is a diagnostic procedure used to investigate lumps or masses. In this technique, a thin (23-25 gauge), hollow needleis inserted into the mass for sampling of cells that, after being stained, will be examined under a microscope (biopsy). The sampling and biopsy considered together are called fine-needle aspiration biopsy (FNAB) or fine-needle aspiration cytology (FNAC) (the latter to emphasize that any aspiration biopsy involves cytopathology not histopathology). Fine-needle aspiration biopsies are very safe, minor surgical procedures. In our case the lady presented with cutaneous swelling was debilitated and terminally ill. So we perform FNAC. Based on FNAC, clinical findings & previous histopathology report diagnosis of metastasis from endometrial carcinoma was made. No biopsy was performed. PR status was negative on LBC smear revealing further poor prognosis. So FNAC can be used rather than biopsy in such patients’ with cutaneous involvement at terminal stage.

Conclusion

Although endometrial cancer is one of the most frequent malignancies in women, skin metastasis from endometrial cancer is extremely rare. Appearance of subcutaneous nodules at distant site is further rare and indicates widespread dissemination. FNAC could be used as first line of investigation and is a better alternate to biopsy in such terminally ill patients for early diagnosis & management. On LBC smears Immunocytochemistry can be applied and has a diagnostic & prognostic significance.

Acknowledgements

None.

Conflicts of interest

The author declares that they have no competing interests.

References

Creative Commons Attribution License

©2018 Sen, et al. This is an open access article distributed under the terms of the, which permits unrestricted use, distribution, and build upon your work non-commercially.