Submit manuscript...
Advances in
eISSN: 2377-4290

Ophthalmology & Visual System

Case Report Volume 6 Issue 3

A Case of Simultaneous Bilateral Penetrating Keratoplasty

Vipul Bhandari

Department of ophthalmology Swastik eye hospital India

Correspondence: Vipul Bhandari Department of ophthalmology Swastik eye hospital Basavanagudi Bengaluru Karnataka 560004 India, Tel 9901815342

Received: December 08, 2016 | Published: February 13, 2017

Citation: Bhandari V (2017) A Case of Simultaneous Bilateral Penetrating Keratoplasty. Adv Ophthalmol Vis Syst 6(3): 00177. DOI: 10.15406/aovs.2017.06.00177

Download PDF

Abstract

A 77year old Female patient who underwent Penetrating Keratoplasty (PK) in the left eye 1year ago, for Pseudophakic Bullous Keratopathy (PBK) presented to us with gradual diminution of vision in both eyes. Her best corrected visual acuity was +1.30 LOGMAR in the right eye and +1.77LOGMAR in the left eye. Slit lamp biomicroscopy, revealed corneal edema with epithelial bullae in the right eye consistent with PBK and the left eye showed Corneal graft rejection. She was taken up for simultaneous bilateral PK and post operatively her vision improved to +0.6 LOGMAR in the right eye and +1.00 LOGMAR in the left eye, 1year after the surgery and the graft remained clear in both eyes.

Abbreviations

PK, penetrating keratoplasty; PBK, pseudophakic bullous keratopathy; BCVA, best corrected visual acuity

Introduction

In recent times, simultaneous bilateral cataract surgeries have become very common. With the advent of newer techniques of cataract surgery like Phacoemulsification under topical anaesthesia, incidence of post operative infections and inflammation have drastically reduced with hastening of post operative recovery. But there still exists some hesitancy amongst eye surgeons to perform simultaneous bilateral Penetrating Keratoplasty (PK). It is yet to gain popularity due to increased risk of post operative infections and graft rejections [1,2]. But these complications can be combated with strict operation theatre asepsis, good and efficient sterilization techniques and under the cover of potent antibiotics. In this case, we planned to take up the patient for a simultaneous bilateral PK on the patient’s request as the donor was her own twin sister.

Case history

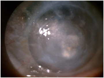
A 77year old Female patient presented to us with gradual diminution of vision in both eyes. One year back, she underwent left eye Penetrating Keratoplasty (PK) for Pseudophakic Bullous Keratopathy (PBK) but her vision failed to improve. Her Best corrected visual acuity (BCVA) was +1.30 LOGMAR in the right eye and +1.77 LOGMAR in the left eye. Slit lamp biomicroscopy revealed PBK in the right eye (Figure 1), and Graft failure in the left eye (Figure 2). We planned for corneal re-grafting in the left eye and primary PK for the right eye under guarded Prognosis. On patient’s request as the donor was her twin sister, she was taken up for simultaneous bilateral PK. A written informed consent was taken from the patient and attenders after explaining the risks, complications and prognosis of the surgical procedure. Donor corneal buttons with endothelial count of 2982 cells/mm2 and 3108cells/mm2 were harvested from both eyes of her twin sister and bilateral PK was done successfully. Intraoperative period was uneventful. It was bilateral surgery with scrub in between with two different instruments.

Figure 1 Re-showing PBK.

Figure 2 LE- showing failed graft.

Post operatively she was started on Topical Corticosteroid Prednisolone Acetate (ALCON LAB, USA) eye drops 6times/day and topical Vigamox eye drops (Moxifloxacin, ALCON LAB, USA) 4times a day for 15days. She was started on systemic Methotrexate (tablets) 10mg once a week along with Folinic acid tablets and she is maintained on this dose. Prednisolone acetate eye drops were tapered to 4times in the second month and 2times/day in the third month. At the end of third month, Lotepred eye drops (loteprednol, SUN PHARMA, INDIA) was started at 4 times/day and tapered to one time at the end of 1 year in the right eye and left eye was maintained with Prednisolone acetate eye drops once a day as it was a re-graft. Her BCVA improved to +0.6LOGMAR in the right eye and +1.00LOGMAR in the left eye at the end of 1year. Slit Lamp biomicroscopy showed that the both grafts were clear (Figures 3&4).

Figure 3 Showing clear graft.

Figure 4 Showing clear graft.

Discussion

With recent advances in the surgical techniques like phacoemulsification, simultaneous bilateral cataract surgeries are commonly done worldwide. The use of topical anaesthesia and minimal tissue damage in these new techniques has aided in early visual recovery and reduced incidence of post operative infections and complications in patients undergoing simultaneous cataract surgeries. But simultaneous bilateral PK hasn’t gained much acceptance due to increased risk of graft rejections and post operative complications, leading to visual morbidity.1,2 But strict operation theatre asepsis and efficient sterilization techniques can aid in preventing these complications. The only other case of simultaneous PK for bilateral corneal perforation was reported by Raster A GH and Manaviat M.3

On patient’s insistence for getting simultaneous PK in both the eyes since the donor was her twin sister, pros and cons of the surgery were assessed and the patient was taken up for simultaneous PK in both eyes under guarded prognosis with maintenance of strict asepsis intra operatively. Donor being her twin sister the chances of rejection would be reduced. This was supplemented with post operative wide spectrum topical antibiotics and systemic immunosuppressant’s. Theoretically, the risk of rejection is reduced with donor being her own twin sister. The BCVA in both eyes is +0.6LOGMAR in the right eye and +1.00LOGMAR in the left eye at one year follow up, both grafts are clear and doing well. This is first case report of bilateral simultaneous PK reported and was done in view of the donor being twin sister of our patient.

Acknowledgments

None.

Conflicts of interest

The authors declare that there is no conflicts of interest.

Funding

None.

References

Creative Commons Attribution License

©2017 Bhandari. This is an open access article distributed under the terms of the, which permits unrestricted use, distribution, and build upon your work non-commercially.