Case Report Volume 14 Issue 2
1Dr. Eduardo Paulino Eye Institute, Brazil
2Institute of Medical Assistance to Public Servants of the State of São Paulo, Brazil
3Suel Abujamra Institute, Brazil
Correspondence: Letícia Aranha Williams de Castro, Instituto de olhos Dr. Eduardo Paulino, Rua Washington Luiz, 451- Santos, São Paulo, Brazil, Tel +5513997729881
Received: June 25, 2024 | Published: July 11, 2024
Citation: de Castro LAW, de Castro RW, de Castro AAW, et al. Case report: Retinal alterations in a young patient without comorbidities using injectable testosterone for aesthetic purposes. Adv Ophthalmol Vis Syst. 2024;14(2):56-58. DOI: 10.15406/aovs.2024.14.00464
After the significant decision by the Federal Council of Medicine to veto the prescription of testosterone by doctors for aesthetic purposes, the major discussion revolves around the competence of users and other healthcare professionals regarding the monitoring of side effects that impact the patients' quality of life. This is because these individuals may potentially seek other ways to use the anabolic agent. In this case report, we present the case of a young, healthy patient without previous comorbidities, who exhibited significant ophthalmological changes during a routine check-up, consistent with systemic arterial hypertension, which had not been identified during their follow-up consultations with an endocrinologist.
Keywords: hypertensive retinopathy, retina, testosterone
The use of anabolic androgenic steroids for aesthetic purposes is currently being strongly discussed in Brazil. In recent years, the utopian search for the "ideal" body imposed by society and disseminated by social networks, has created an exaggerated importance about physical appearance and the need to perform physical exercises, especially bodybuilding.1 Anabolic steroids are synthetic substances similar to the testosterone hormone produced by the human body, whose purpose is to increase protein synthesis and musculature, and also to develop secondary sexual characteristics, such as thickening of the voice, hirsutism and aggressive behavior.2
Nowadays, these steroids are used to treat various conditions, such as hypogonadism, testosterone deficiency, to control menopause and andropause, obesity, to masculinize transsexuals and as a saturation dose in patients with a history of prostate cancer.1,3 However, due to dissatisfaction with their own bodies, people who don't feel comfortable are using these drugs to improve their physical performance and gain muscle mass,1,2 which is worrying because according to the data, most of these individuals are young people, teenagers, recreational athletes, who use them unconsciously due to the importance given to aesthetics.4,5 In any case, there is still insufficient data on the use of anabolic steroids in individuals solely and exclusively for aesthetic purposes, not only because admitting the use of these drugs still has moral and social repercussions, but also because most studies present various biases,5 thus making it difficult to analyze these data in depth.
The most prevalent side effects of androgenic steroid use are well described in the world literature, and are associated with various systems, such as the liver, cardiovascular and endocrine systems, as well as physical, psychological and social changes. The most prevalent physical effects are those mentioned above, but it is important to add the psychological and social effects that anabolic steroids cause, which are related to changes in libido, potency, sexual behavior and aggressive behavior.6 For ophthalmology, the most important side effects are cardiovascular, which are reported as increased blood pressure, decreased systolic and diastolic function, increased LDL levels, cardiac hypertrophy and, according to data collected from bibliographic reviews, anabolic users have a 4.7% higher risk of death than the general population, with acute myocardial infarction being one of the main causes.7
Given the importance of highlighting and studying cases of patients using anabolic androgenic steroids in Brazil, this case report aims to present a young patient, using anabolic steroids for aesthetic purposes, who presented with significant retinal alterations compatible with increased systemic arterial pressure during a routine consultation, and with no previous personal history of systemic arterial hypertension.
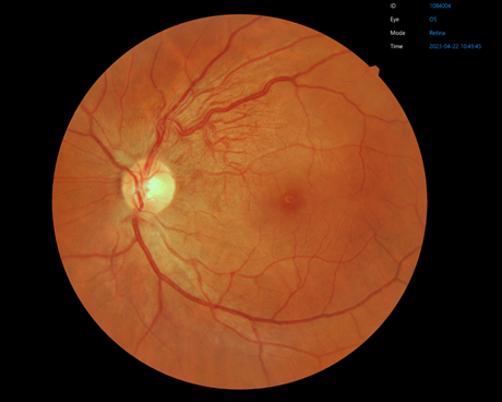
Patient A. F. P, 39 years old, from Guarulhos, comes to the Institute for a routine assessment, reporting a diagnosis of myopia and that he needs a new assessment to change his glasses, denies systemic arterial hypertension, diabetes mellitus and the use of other medications. He reports that he has been using an injectable anabolic steroid for 11 months, every 60 days, alternating between testosterone undecylate testosterone undecylate 250mg and testosterone cypionate 200mg, being monitored by an endocrinologist for aesthetic purposes, according to the information collected. He had no relevant family history. On ophthalmologic examination, the patient had visual acuity of 20/20 with refraction of -1.50 spherical in the right eye, and visual acuity of 20/20 with refraction of -1.25 spherical in the left eye, no significant alterations on biomicroscopy and intraocular pressure of 14mmHg in both eyes, fundoscopy in the right eye showed a normal optic disc, 0.3 x 0.3 excavation, regular and clear borders and contours, macula with preserved brightness and absence of fluid, normal vessels and preserved caliber, retina with normal coloration and application (Figure 1) and in the left eye, the optic disc was normal, excavation 0.4x0.4, edges and contours regular and clear, macula with preserved brightness and absence of fluid, venous engorgement in the superior temporal arcade associated with collateral vascularization, increased tortuosity and microaneurysms, vessels in the inferior temporal arcade were normal with preserved caliber, retina with normal coloration and application (Figure 2). Because of these alterations, he was urgently referred to a cardiologist for a blood pressure assessment and a carotid Doppler ultrasound was requested.
The patient returned after 15 days with a diagnosis of systemic arterial hypertension, with no alterations on ultrasound with carotid doppler, and with the start of treatment with oral hypertensive drugs and suspension of the use of anabolic steroids, along with periodic follow-up with a cardiologist. We also recommend six-monthly follow-ups with the ophthalmology team to reassess the need for additional tests and the therapeutic approach.
It is common knowledge that chronic hypertension affects numerous systems in the human body, not just the cardiovascular system. The most frequently reported ophthalmological alterations are related to direct effects on the vascularization of the retina, choroid and optic nerve, with hypertensive retinopathy being the most prevalent, and hypertension is also related as a risk factor for other important pathologies, such as retinal vascular occlusions and ischemic optic neuropathy.8
Extending knowledge about ophthalmic changes in patients with hypertension to all health professionals is essential. By being aware of the ophthalmic changes associated with hypertension, their risk factors and consequences for quality of life, they can play a crucial role in the early identification, appropriate referral and monitoring of these conditions.9,10
The direct relationship between testosterone use and ocular changes is not well established, but hypertension can play a significant role in the ocular health of these patients and is a well-established side effect of testosterone use.3,11 Patients on testosterone hormone replacement therapy may experience an increase in blood pressure levels. Chronic hypertension can have a negative impact on the blood vessels of the eye, leading to various ophthalmological changes. It is important to emphasize that testosterone use itself is not the direct cause of these ophthalmological changes, but rather the combination of testosterone use and the development of hypertension.11,12
Looking at the current scenario, the use of testosterone for aesthetic purposes is a controversial topic due to the increase in its use and the dissemination of information in the media. On April 26, 2023, the Federal Council of Medicine issued a clarification note to doctors and the public about Resolution No. 2333/23, which "prohibited the prescription of these substances for aesthetic purposes, gaining muscle mass for aesthetic purposes and improving sports performance, without prohibiting their indication for the treatment of diseases".13 Therefore, this resolution has opened up several discussions about the fact that patients seek out their own means to carry out such therapy or seek out other non-medical health professionals, and are not trained to recognize and treat the side effects.
It is extremely important for all health professionals to be aware of the side effects associated with testosterone use in order to provide comprehensive, quality care to their patients. The best approach to avoiding or minimizing ophthalmological changes in patients who use testosterone and develop hypertension is proper, integrated monitoring of these conditions. This involves working in collaboration with a multidisciplinary medical team, including endocrinologists, ophthalmologists and general practitioners.12,14 The use of testosterone, whether for hormone replacement therapy or other purposes, can have a number of side effects that can affect the physical and mental health of patients.15 By being aware of these possible side effects, healthcare professionals can monitor their patients more effectively, identify any complications or unwanted effects early on, adjust treatment if necessary and avoid compromising their patients' quality of life.
None.
The authors declares that there are no conflicts of interest.
©2024 de, et al. This is an open access article distributed under the terms of the, which permits unrestricted use, distribution, and build upon your work non-commercially.