Submit manuscript...
Advances in
eISSN: 2377-4290

Ophthalmology & Visual System

Case Series Volume 15 Issue 3

Effect of vision therapy on cerebral visual impairment: Insights from three pediatric cases

Shoubhik Chakraborty,1 Shrutakirty Parida,1 Mantu Mallick,1 Santanu Ray2

1Department of Ophthalmology, Kalinga Institute of Medical Sciences, Bhubaneswar, Odisha, India
2Department of Optometry, NSHM Knowledge Campus, Kolkata, West Bengal, India

Correspondence: Shoubhik Chakraborty, Department of Ophthalmology, Kalinga Institute of Medical Sciences, Bhubaneswar, Odisha, India

Received: August 14, 2025 | Published: September 30, 2025

Citation: Chakraborty S, Parida S, Mohanty SK, et al. Effect of vision therapy on cerebral visual impairment: Insights from three pediatric cases. Adv Ophthalmol Vis Syst. 2025;15(3):82-85. DOI: 10.15406/aovs.2025.15.00491

Download PDF

Abstract

Cerebral visual impairment (CVI) is a complex neurodevelopmental disorder that leads to visual impairment due to damage in the brain. The clinical features of CVI can include light gazing, preferences for certain movements, selective visual field preferences, inability to reach for objects using vision, and poor eye contact. In our presented cases, we observed the heterogeneity of CVI, which resulted in variable outcomes among the subjects. Out of the three cases, two demonstrated significant improvement. The one case that showed less improvement may be attributed to uncontrolled seizures despite treatment with multiple antiepileptic medications. Vision therapy, which utilizes colourful, high-contrast objects along with multisensory cues such as tactile and auditory stimuli, has been shown to enhance vision. These methods can promote visual interest, which is the engagement of the visual system and the development of attention. As a result, vision therapy can help children with CVI maximize their visual potential.

Keywords: cerebral visual impairment, vision therapy, hypoxic ischemic encephalopathy, pediatric ophthalmology, functional vision outcomes

Introduction

Cerebral visual impairment (CVI) is a spectrum of visual impairment resulting from an underlying brain abnormality that affects the development of visual processing pathways, characterized by deficits in visual function and functional vision.1 The increased survival rate of preterm babies with compromised brain due to high neonatal intensive care unit (NICU) is the major cause of increasing prevalence of CVI in developing and developed countries.2 The role of vision therapy and its effect on children with CVI is a complex and challenging issue, given the variable and heterogeneous nature of the condition. We report three cases that allow us to explore this complexity and challenge in influencing visual development through vision therapy. Consent was obtained from each parent of the patient.

Case series

Case 1

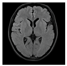
A 9-month-old infant was brought to our hospital by her mother, who noted that the child doesn’t look at her or respond to her calls. The prenatal history was normal; she was born at term with a birth weight of 2.8 kg, but there was a delay in the birth cry and a 5-day NICU stay due to hypoxia during delivery. The infant was diagnosed with developmental delay, as she achieved head control at six months but had not yet sat or crawled. She also didn’t reach for objects, typically expected by six months. An MRI showed periventricular leukomalacia due to hypoxic ischemic encephalopathy (Figure 1). Visual testing revealed her acuity at 20/2000, but she responded positively to the Hiding Heidi low-contrast face test. The child’s gaze was downturned, and she could not follow objects or reach for them; however, her anterior and posterior segment of eye was normal, and her refractive error was mild at +2.00 diopter. We diagnosed her with Cortical Visual Impairment (CVI) and referred her for vision therapy.

Figure 1 An MRI showed periventricular leukomalacia due to hypoxic ischemic encephalopathy.

After one month of therapy, six times a week for thirty minutes, her acuity improved to 20/240, and she began responding to a lower contrast level. After another month, her acuity improved to 20/84, and she started reaching for objects and making eye contact. We then tapered her therapy over three months, and upon re-evaluation, her final visual acuity was 20/63 with stable contrast sensitivity. Her Nutech Functional score improved from level 1 to level 5, marking significant progress in her visual milestones.3

Case 2

A 7-month-old Infant came to our hospital with her parent complaining that their child is not looking at objects, and her birth history revealed she was delivered at 34 weeks with a lower segment caesarean section (LSCS), her birth weight was 2.4 kg, and she cried immediately after birth. She was advised to undergo an MRI, which revealed normal (Figure 2). We examined her, and her anterior segment was within normal limits; no significant refractive error was found under cycloplegic examination performed with 1% cyclopentolate. However, her posterior segment examination revealed diffuse disc pallor in both eyes. Her visual acuity at the first presentation was unable to fix and follow objects, and she did not respond to the Lea paddle and Teller acuity card. Therefore, she was referred to a vision therapy clinic for further intervention. After one month of daily thirty-minute vision therapy for six weeks, the child's vision improved to 20/84, and they began to maintain eye contact and reach for objects (Figure 3). According to the clinical features of CVI, we have diagnosed this case as CVI, despite no abnormalities being found on MRI. Again, for this child, the pre-therapy Nutech score was 1, and after therapy, it increased to 5. We followed up on the case for up to six months with no other intervention, as she achieved her visual milestone, and no further deterioration was noted. Her final visual acuity was 20/41, and she was responding to the 1.25% Hiding Heidi chart and maintaining eye contact, with gross reaching being appropriate.

Figure 2 Undergone of MRI, which revealed normal.

Figure 3 The one month of daily thirty-minute vision therapy for six weeks, the child's vision improved to 20/84, and they began to maintain eye contact and reach for objects.

Case 3

A thirteen-month-old male child, his mother came with a complaint that the child is lacking eye contact and not holding things by himself. His birth history revealed that during his birth, due to poor road communication, his mother was in labour pain for four hours, and his birth weight was 2.9kg, delivered at 39 weeks with a lower segment caesarean section (LSCS). There was a delay in his birth cry for sixteen minutes, and from birth, he has had a history of seizures. His MRI report reveals symmetrical bilateral cerebrum subcortical and deep white matter hyperintensity with parieto-occipital lobe predominantly suggestive of hypoxic changes. His electroencephalography (EEG) revealed multifocal epileptiform activities with secondary generalization, as demonstrated in (Figure 4). Despite being put on multiple anti-epileptic medications, the patient continues to struggle with poorly controlled seizures. Our functional vision assessment revealed that he is unable to fix and follow light or objects. His anterior and posterior segment evaluations were within normal limits, and he did not respond to the Teller acuity card, indicating no perception of light. We advised him to undergo vision therapy for a period of three months. After three months, he could follow light only. We referred him to repeat the EEG, which revealed the findings. We continued the therapy for three more months, and after that, he started tracking fully illuminated objects only in a dark room. The presence of seizures can have a potential effect on the outcome of vision therapy. In this case, the child improved from Nutech Level 1 to Level 2, representing very minimal improvement.

Figure 4 Electroencephalography (EEG) revealed multifocal epileptiform activities with secondary generalization, as demonstrated.

Discussion

The findings across the three cases emphasize the role of perinatal incident and the occurrence of hypoxic incidents leading to delayed birth cry, which is causing permanent brain damage.4 CVI is a brain-based visual impairment, and hypoxic ischemic encephalopathy is the primary cause of CVI.2 Among the three patients, two have a history of HIE, and one presented to us with a normal MRI and CVI features. We primarily followed the management approach for vision therapy as outlined by McKillop et al. and Azad et al.5,6 Active vision stimulation as an early intervention can accelerate visual development. The heterogeneous nature of CVI often restricts clinicians from following a protocol; therefore, a tailored approach, as guided by Gordon Dutton, helps each child develop an interest in visual stimulation and improve their visual function, ultimately enhancing functional vision.7 Eyes are the receptors that receive the information, and the brain processes it. In our cases, although the eyes are normal, the main problem was that the child could not process the information related to vision.8 Vision is recognized as the dominant sensory modality, playing a pivotal role in the motor and cognitive development of young children. Multiple studies have demonstrated strong associations between visual function and motor skills, as well as early cognitive outcomes.9 Visual stimulation enhances visual curiosity and systemic stimulation by engaging various visually appealing targets, which can aid in the development of visual function. The control of epilepsy is required to improve the overall function of a child with CVI, as continuous exposure to seizures can hamper overall brain function to process sensory input. Our case also showed minimal improvement in this situation.10 (Table 1) provides a comprehensive summary of all three cases. The Nutech scores also reflected these significant clinical changes, progressing from level 1-2 to level 5. Case 2 highlights that even without MRI changes, a child can develop CVI, with recovery occurring at a faster rate compared to other children. However, case 3 serves as a stark reminder of the impact of uncontrolled seizures on progress, as evidenced by minimal visual improvement despite continuous therapy. A particularly important observation from our series was the limited improvement in a child with persistent uncontrolled seizures. This finding aligns with reports that epilepsy impedes neural plasticity and visual processing, thereby diminishing the effectiveness of visual rehabilitation. Conversely, the case with normal MRI findings but clear CVI features showed rapid improvement, reinforcing that neuroimaging alone may not fully explain functional visual deficits in CVI.

Case

Ageat presentation

Birth history

MRI findings

Initial visual acuity

Finalvisual acuity

Contrast sensitivity improvement

Nutech score (pre to post)

Therapy outcome

Case 1

9 months

Full term, delayed birth cry, NICU 5 days (hypoxia), BW 2.8kg

Periventricular leukomalacia (HIE changes)

20/2000

20/63

100% to 1.25% Hiding Heidi

1 to 5

Significant improvement in VA, fixation & reaching

Case 2

7 months

Preterm (34 weeks), LSCS, cried immediately, BW 2.4kg

Normal MRI

Unable to fix/follow

20/41

Not measurable to 1.25%

1 to 5

Marked improvement despite normal MRI

Case 3

13 months

Full term (39 weeks), LSCS, delayed cry (16 min), history of seizures, BW 2.9kg

Bilateral subcortical & parieto-occipital hypoxic changes

No perception of light

Light perception only/minimal tracking

Not responding to 100% also

1 to 2

Minimal improvement due to uncontrolled seizures

Table 1 Summary of three pediatric CVI Cases: birth history, neuroimaging findings, visual outcomes, and therapy response

VA, visual acuity; BW, birth weight; HIE, hypoxic ischemic encephalopathy; LSCS, lower segment caesarean section; NICU, neonatal intensive care unit. Contrast sensitivity measured using Hiding Heidi test. Nutech Functional Score used for pre- and post-therapy comparison.

Our results highlight the value of office-based, structured vision therapy delivered under professional supervision. Individualized, multisensory stimulation programs foster visual curiosity and engagement, supporting both visual and motor development. The small sample size and retrospective nature of this series are limitations, but the observed outcomes support the role of vision therapy as a practical and impactful intervention.11 Future studies with larger cohorts and standardized follow-up are warranted to strengthen the evidence base for vision therapy in CVI.

Conclusion

The survival rate of neuro-compromised and preterm babies has increased, leading to a higher prevalence of CVI. In cases where no pathology is evident on the MRI but the child exhibits CVI features, significant and rapid improvement is achieved. HIE cases without seizures have shown clinically important improvement with continuous tailored vision therapy, but cases with persisting epilepsy have shown less substantial improvement. The role of vision therapy in cases of delayed development is less explored, although vision can play a significant role in accelerating overall development. We recommend that proper, monitored vision stimulation can accelerate visual recovery for children with CVI, thereby improving their overall function.

Acknowledgments

None.

Conflicts of interest

The author declares that there are no conflicts of interest.

Funding

None.

References

  1. Chang MY, Merabet LB. CVI Working Group. Special commentary: Cerebral/cortical visual impairment working definition: A report from the National Institutes of Health CVI Workshop. Ophthalmology. 2024;131(12):1359–1365.
  2. Pehere NK, Narasaiah A, Dutton GN. Cerebral visual impairment is a major cause of profound visual impairment in children aged less than 3 years: A study from a tertiary eye care center in South India. Indian J Ophthalmol. 2019;67(10):1544–1547.
  3. Delay A, Rice M, Bush E, et al. Interventions for children with cerebral visual impairment: A scoping review. Dev Med Child Neurol. 2023;65(4):469–478.
  4. Nagy E, Self J, Williams C, et al. Disorders of vision in neonatal hypoxic-ischaemic encephalopathy: A systematic review. Arch Dis Child Fetal Neonatal Ed. 2021;106(4):357–362.
  5. McKillop E, Dutton GN. Impairment of vision in children due to damage to the brain: A practical approach. Br IR Orthop J. 2008;5:8–14.
  6. Azad R, Gilbert C, Gangwe AB, et al. Retinopathy of prematurity: How to prevent the third epidemic in developing countries. Asia Pac J Ophthalmol (Phila). 2020;9(5):440–448.
  7. Dutton G, Bax M, editors. Visual impairment in children due to damage to the brain. Chichester: John Wiley & Sons; 2010.
  8. Stone JV. Vision and brain: How we perceive the world. Cambridge (MA): MIT Press; 2012.
  9. Sánchez-González MC, Palomo-Carrión R, De-Hita-Cantalejo C, et al. Visual system and motor development in children: A systematic review. Acta Ophthalmol. 2022;100(7):e1356–69.
  10. Sayed NM, Aldin MT, Ali SE, et al. Cognitive functions and epilepsy-related characteristics in patients with generalized tonic–clonic epilepsy: A cross-sectional study. Middle East Curr Psychiatry. 2023;30:15.
  11. Chakraborty S, Sarbajna P, Vinekar A, et al. Outcomes of vision therapy among infants with cerebral visual impairment: A retrospective study. Optom Vis Perf. 2024;12(1):35–40.
Creative Commons Attribution License

©2025 Chakraborty, et al. This is an open access article distributed under the terms of the, which permits unrestricted use, distribution, and build upon your work non-commercially.