Submit manuscript...
Advances in
eISSN: 2377-4290

Ophthalmology & Visual System

Research Article Volume 12 Issue 3

Krukenberg spindle and its implications

Ana Silvina Nasif Maida,1 Soledad Varas,1 Roque Valerio Jerabek1,2

1Jerabek-Zabalo Rio Cuarto Ophthalmological Network, Córdoba, Argentina
2Nueva Visión Rio Cuarto Private Eye Clinic, Córdoba, Argentina

Correspondence: Ana Silvina Nasif Maida, Ophthalmology Network, Córdoba, Argentina, Belgrano 417b-New Vision Rio Cuarto Private Eye Clinic, Córdoba, Argentina

Received: November 04, 2022 | Published: November 16, 2022

Citation: Maida ASN, Varas S, Jerabek RV. Krukenberg spindle and its implications. Adv Ophthalmol Vis Syst. 2022;12(3):81-85. DOI: 10.15406/aovs.2022.12.00425

Download PDF

Introduction

Pigment dispersion syndrome (PDS) and pigmentary glaucoma (PG) constitute a spectrum of diseases characterized by excessive release of pigment from the iris. PDS is typically bilateral and most often affects young, myopic men. The classic findings, “Classic Triad”, of the anterior segment include pigment deposition in the corneal endothelium (Krukenberg spindle), dense pigmentation of the trabecular meshwork (TM) and transillumination defects of the iris in the midperiphery.1,2 A characteristic concave iris configuration has also been described to facilitate pigment release through increased iridozonular contact.3–5 Over time, the chronic release of pigment can lead to an increase in intraocular pressure, which can evolve into a PG. The etiology is congenital, one theory is that there is congenital mesodermal dysgenesis or degeneration of the primary iris, although it is thought that the best theory is an affection of the middle third of the eye during the third trimester, which could explain the association with retinal conditions such as lattice degeneration, retinal tears, and retinal detachment (RD). The incidence of DR in patients with PDS/GP is as high as 12% Vs normal population 0.001%. The rate or risk of progression to GP among patients with PDS has been reported to be 10% at 5 years and 15% at 15 years in a prospective trial showing that intraocular pressure (IOP) > 21 mmHg at presentation is a key risk factor for the progression of this disease.

In the following work, a clinical case of a 32-year-old patient with PDS is presented. At the time of consultation, he only reported having had episodes of sporadic intense headaches accompanied by blurred vision. It was decided to carry out an exhaustive study to rule out different differential diagnoses as well as that he was not undergoing a PG, and to determine the need to perform a prophylactic laser peripheral iridotomy (LPI).

Objectives

  1. Introduce a clinical case of a patient with pigment dispersion syndrome (PDS).
  2. Determine if it is a primary pigment dispersion syndrome (PPPS) or secondary to another pathology.
  3. Demonstrate through complementary studies that the patient does not present damage to the optic nerve and/or visual field, thus ruling out pigmentary glaucoma.
  4. Assess the need forperform laser peripheral iridotomy (IPL) as a preventive treatment to prevent disease progression.

Material and methods

  1. Presentation of a clinical case of apatient with pigment dispersion syndrome.
  2. Clinical evaluation and complementary studies to rule out secondary and pigmentary ocular hypertension (OPHT) and/or pigmentary glaucoma.
  3. Iconographies of optic papillae in both eyes (AO) for clinical registration and subsequent follow-up of the disease.

Results

A 32-year-old male patient presented for a routine ophthalmological check-up. He reported episodes of sporadic intense headaches accompanied by blurred vision. He denies pathological personal history (PPA) and ophthalmological personal history (APO).

On examination, visual acuity without optical correction was 10/10 AO.

Refraction right eye (RE) +0.25 -0.25x25° left eye (LE) +0.25 -0.50X35°.

Biomicroscopy (BMC) showed a spindle-shaped pigment deposit in the bilateral corneal endothelium (Krukenberg's spindle). 

Figure 1 Intraocular pressure (IOP) Goldmann tonometry (11 am) RE 17 mmHg LE 15 mmHg.

Figure 1 Pigmentary deposit is observed at the level of the corneal endothelium arranged vertically or in a spindle (Krukenberg spindle) in BE.

Possible differential diagnoses that could occur with pigment deposit in the corneal endothelium (Krukenberg spindle) were considered; 1.2

  1. Pigment dispersion syndrome (PDS).
  2. Pigmented ocular hypertension (OPHT).
  3. Pigmentary glaucoma (GP).
  4. Glaucomapseudoexfoliative (GPEX) or Overlapping.
  5. Intraocular surgery or trauma (blunt or penetrating).
  6. Uveitic glaucoma.
  7. YOUR. Pigmented intraocular (cysts, melanoma).

Gonioscopy: in the iridocorneal angle, angular hyperpigmentation was observed at the level of the bilateral trabeculum, homogeneous and occupying 360°.

Intraocular pressure curve

Figure 2


Figure 2 Iridocorneal angle: hyperpigmentation of the bilateral, homogeneous trabecular meshwork is observed, occupying 360°.

6am: DO: 19mmHg

LE: 17 mmHg

8am: DO: 18mmHg

LE: 16 mmHg

11am: OD: 17mmHg

LE: 16 mmHg

17pm: DO: 16mmHg

LE: 14 mmHg

Pachymetric correction

DO: 21mmHg

LE: 18 mmHg

Pachymetry: 

In the eye fundus, pink papillae with clear edges were observed, slight asymmetry of papillary excavation, RE 2/6 and LE 3/6, macula s/p, periphery, no predisposing lesions for DR were observed in BE.

Due to the papillary cup asymmetry, it was decided to perform optical coherence tomography (OCT) of the papillae, where a normality of the nerve fiber layer (NFL) in BE was confirmed (Figure 3–8).


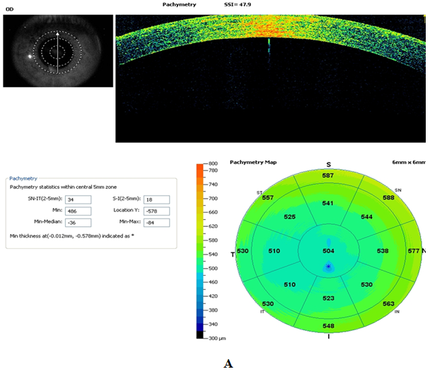
Figure 3 RE and LE 504/512 pachymetry are observed, respectively.

Figure 4 Krukrenberg spindle is observed by retroillumination in a slit lamp.

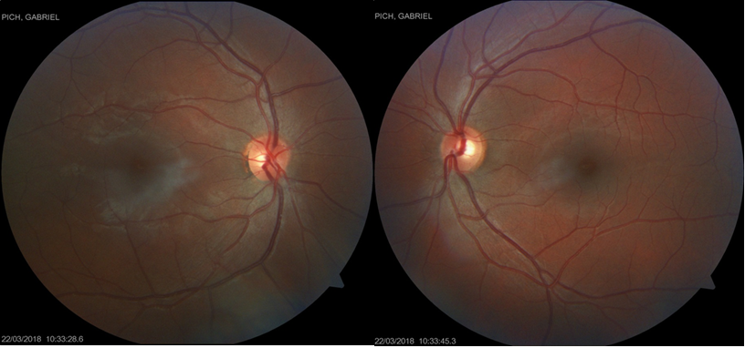
Figure 5 AO color retinography, pink papillae with clear edges are observed, slight asymmetry of papillary excavation. Excavation OD 2/6 and OI 3/6.


Figure 6 OCT of RE and LE papillae, respectively, normal nerve fiber layer, NFL is observed in AO.

Figure 7 Frequency double perimetry (FDT) shows a normal result in AO.

Figure 8 Computerized visual field (CVC) OCTOPUS, TOP program, a normal result is observed in AO, normal Bebie curve AO.

Discussion

Pigment dispersion syndrome (PDS) can be associated with ocular hypertension (OH) or glaucoma (GP) and is usually bilateral. Pigmented ocular hypertension (HOP): It is defined as PDS with elevated IOP and without glaucomatous optic neuropathy.

Pigmentary glaucoma (GP): It is defined as a PDS with a glaucomatous optic neuropathy.

The results of the studies carried out on the patient made it possible to rule out PHTH and PG, since he had IOP < 21 mmHg in the daily curve and did not present optic neuropathy or CVC alterations.7

Anterior uveitis can cause pigmented epitheliitis of the iris with pigment release and deposition in ocular structures. A post-tubeitis pigment dispersion was ruled out as there was no positive APO, and no pupillary alterations or anterior and/or posterior and angular synechiae were found on examination.7–9 Intraocular surgery, in particular, lenses fixed in the sulcus (closer to the iris) or trauma (blunt or penetrating) may present features similar to SSD, with defects in transillumination of the iris, pigmented cells in the anterior chamber, increased pigmentation in MT and elevated IOP. However, the patient did not present APO from ocular trauma or intraocular surgeries.1,7,8,10,11

Pseudoexfoliation syndrome may be associated with iris translumination defects, increased pigmentation of the patchy type TM by 50%, usually unilateral, and elevated IOP. However, the patient did not present deposits of pseudoexfoliation, nor transillumination defects of the iris and the angular pigment dispersion was homogeneous and occupied 360° and was bilateral.7,12 The presence of a pigmented intraocular tumor was also ruled out by gonioscopy and UBM, where it was also possible to appreciate a posterior concavity of the iris and an intimate iridozonular contact.1,7,9

Therefore, we can deduce that the patient presented PPPS, whose classic triad is the presence of pigment in the corneal endothelium (Krukenberg spindle), increased pigmentation of the homogeneous type TM and occupying 360° in AO and transillumination of the iris in mid-periphery.1–3 However, he did not present the latter sign, but recent studies updating the signs of PDS and GP carried out by Kingsley show that some people with highly pigmented irises may have difficulty visualizing this sign. In terms of epidemiology, young patients (30-50 years), Caucasian and myopic suffer more from it.1–3 Although the patient was emmetropic, this study also shows us that 12-42% of people with this disease may be emmetropic (-1D / +1D). A doubtful symptom of this disease was the presence of transient sporadic intense headaches accompanied by blurred vision, but the patient denied that their appearance was after physical exercise. All studies report that it occurs after it, Haynes explains that there is a large release of pigment due to an increase in iridozonular friction, corneal edema and very high IOP that would justify the symptoms and diurnal fluctuations in IOP of these patients with compared to other types of glaucoma.17,18

The treatment (TTO) of PDS and GP depends on the classification of Richter et al. Defined in several stages: (3.19)

  1. “Inactive” pigment dispersion with stable IOP;
  2. “Active” pigment dispersion with stable IOP;
  3. Active pigment dispersion with progressive glaucoma and elevated IOP;
  4. Inactive pigment dispersion with progressive glaucoma and normal or elevated IOP.

Pigment dispersion was defined as active when there is a:

  1. Increased transillumination of the iris,
  2. Increased corneal pigmentation
  3. Appearance of pigment granules on the surface of the crystalline

If pigment dispersion is inactive and IOP is stable, TTO is expectant and IOP controls should be performed using pressure curves and detection of changes that indicate active pigment dispersion. If, on the other hand, there is active pigment dispersion with stable IOP and the presence of inverse pupillary block (iridian concavity), expectant TTO can be performed or, highly controversial, the use of pilocarpine or peripheral laser iridotomy (IPL). Pilocarpine is the ideal therapy, but its use is highly controversial since it lowers IOP, reduces iridozonular friction through pupillary constriction and increases aqueous humor outflow, but it can produce accommodative spasm; increases the risk of DR and can lead to cataract formation. Kurwa was the first to report the successful use of IPL as a therapy for SSD and GP in 1984.13,14 However, iridotomy was not widely accepted as a treatment because no pathophysiological explanation could be offered. It was not until 1991 that IPL was popularized by Campbell.15 when he observed that the effect it produced was a flattening of the iris. Campbell's5 and Karickhoff's20 concept of posterior iris concavity and reverse pupillary block as the cause of pigment dispersion provided the explanation for the IPL treatment effect. IPL equalizes the pressure between the anterior and posterior chambers, relieving reverse pupillary block, flattening the iris, and reversing the posterior tilt of the iris.19–22 Figure 9 such that prevents further release of pigment.23


Figure 9 Ultrabiomicroscopy shows posterior concavity of the iris and greater iridozonular contact in BE, rest of the structures S/P.

Gandolfi and Vecchi24 have shown that IPL prevented long-term increases in IOP in patients with PDS. In their study, only 5% of eyes randomized to IPL treatment had an increase in IOP greater than 5 mmHg, compared to 52% of the control group, over a 2-year period. The advantageous effect of iridotomy was more significant in patients <40 years of age, probably because the disease is in an active phase in younger patients. An IPL alone is not the ideal treatment for PDS/GP, unfortunately it is not successful in all cases. No benefit in preventing or reducing long-term CVC progression was seen in SSD and GP.25,26 There is no scientific evidence, to date, to perform IPL as a treatment in patients with PDS or GP, since the effect of IPL is likely to be useful only in active stages of the disease and if iridian concavity is present. Significant later IPL is unlikely to be of benefit in eyes that already have permanent trabecular damage and/or progressive Glaucoma because it does not lower IOP.27 Therefore, IPL is likely to be beneficial before the development of GP, offering patients with PDS an appropriate prophylactic procedure. However, performing this procedure in a patient without overt disease remains controversial, particularly because IPL generates pigment dispersion that can further damage the MT and/or cause elevated IOP spikes as an adverse or secondary effect.

Conclusion

It was concluded, therefore, that the patient presented PPPS in the inactive phase. In this case, we must control the possible appearance of the active pigment dispersion stage and the IOP figures by means of pressure curves to determine when to perform an IPL as a prophylactic treatment.28,29 The ideal eye to be treated with IPL would be one that presents PDS with a posterior iridian concavity and an increase in pigment dispersion (active phase) or an increase in IOP with exercise or pupillary dilation with phenylephrine that is corroborated in the office.30 Carry out a follow-up through complementary studies for the early detection of alterations in the optic nerve and/or CVC.

Acknowledgments

None.

Conflicts of interest

The authors declare no conflicts of interest.

References

  1. Kavitha RS, Chirag GP, Thasarat SV, et al. Secondary pigmentary glaucoma in patients with underlying primary pigment dispersion syndrome. Clin Ophthalmol. 2013;7:561–566.
  2. Gomez GHF, Hernandez Mendieta, Rodriguez D, et al. Pigment dispersion syndrome progression to pigmentary glaucoma in a latin American population. J Curr Glaucoma Pract. 2015;9(3):69–72.
  3. Kingsley Okafora, Kateki Vinodb, Steven JG. Update on pigment dispersion syndrome and pigmentary glaucoma. Curr Opin Opthalmol. 2017;28(2):154–160.
  4. Siddiqui Y, Ten Hulzen RD, Cameron JD, et al. What is the risk of developing pigmentary glaucoma from pigment dispersion syndrome? Am J Ophthalmol. 2003;135(6):794–799.
  5. Campbell DG. Pigmentary dispersion and glaucoma. A new theory. Arch Ophthalmol. 1979;97(9):1667–1672.
  6. Liu L, Ong EL, Crowston J. The concave iris in pigment dispersion syndrome. Ophthalmology. 2011;118(1):66–70.
  7. Nuwan Niyadurupola, David CB. Pigment dispersion syndrome and pigmentary glaucoma a major review. Clin Exp Ophthalmol. 2008;36(9):868–882.
  8. Thakur M, Bhatia P, Chandrasekhar G, et al. Recurrent uveitis and pigment dispersion in an eye with in the bag acrylic foldable intraocular lens. BMJ Case Rep. 2016;26:2015213968.
  9. Stadigh A, Puska P, Vesti E, et al. Ring melanoma of the anterior chamber angle as a mimicker of pigmentary glaucoma. Surv Ophthalmol. 2017;62(5):670–676.
  10. Calugaru D, Mang A, Calugaru M. Secondary open angle pigmentary glaucoma resulting from pseudophakia. case report. Rom J Ophthalmol. 2016;60(2):125–130.
  11. Veerwal V, Goyal JL, Jain P, et al. Pigment dispersion syndrome associated with spontaneous subluxation of crystalline lens. Oman J Ophthalmol. 2017;10(1):52–53.
  12. Pokrovskaya O, O Brien C. What's in a Gene? Pseudoexfoliation syndrome and pigment dispersion syndrome in the same patient. Case Rep Ophthalmol. 2016;7(1):54–60.
  13. Buffault J, Leray B, Bouillot A, et al. Role of laser peripheral iridotomy in pigmentary glaucoma and pigment dispersion syndrome: A review of the literature. J Fr Ophthalmol. 2017;40(9):315–321.
  14. Kurwa B. Presented at residents' day, university of texas at Galveston, 1984.
  15. Campbell DG. Presented at the university of Virginia, humphrey lecture, and the fourth American glaucoma society in San Diego, 1991.
  16. Karickhoff JR. Reverse papillary block in pigmentary glaucoma: follow up and new developments. Ophthalmic Surg. 1993;24(8):562–563.
  17. Huchzermeyer C, Reulbach U, Horn F, et al. Longitudinal stability of the diurnal rhythm of intraocular pressure in subjects with healthy eyes, ocular hypertension and pigment dispersion syndrome. BMC Ophthalmol. 2014;14:122.
  18. William LH, Tim Johnson, W Alward. Effects of jogging exercise on patients with the pigmentary dispersion syndrome and pigmentary glaucoma. Opthalmology. 1992;99(7):1096–1103.
  19. Richter CU, Richardson TM, Grant WM. Pigmentary dispersion syndrome and pigmentary glaucoma. a prospective study of natural history. Arch Ophthalmol. 1986;104(2):211–215.
  20. Karickhoff JR. Pigmentary dispersion syndrome and pigmentary glaucoma: a new mechanism concept, a new treatment and a new technique. Ophthalmic Surg. 1992;23(4):269–277.
  21. Chen MJ, Lin SC, Chen MJ. Effect of a YAG laser iridotomy on intraocular pressure in pigmentary glaucoma. Br J Ophthalmol. 2002;86(14):1443–1444.
  22. Scott A, Kotecha A, Bunce C, et al. YAG laser peripheral iridotomy for the prevention of pigment dispersion glaucoma a prospective, randomized, controlled trial. Ophthalmology. 2011;118(3):468–473.
  23. Küchle M, Nguyen NX, Mardin CY, et al. Effect of neodymium: YAG laser iridotomy on number of aqueous melanin granules in primary pigment dispersion syndrome. Graefes Arch Clin Exp Ophthalmol. 2001;239(6):411–415.
  24. Gandolfi SA, Vecchi M. Effect of a YAG laser iridotomy on intraocular pressure in pigment dispersion syndrome. Ophthalmology. 1996;103(10):1693–1695.
  25. Buffault J, Leray B, Bouillot A, et al. Role of laser peripheral iridotomy in pigmentary glaucoma and pigment dispersion syndrome: a review of the literature. J Fr Ophthalmol. 2017;40(9):315–321.
  26. Manuele M, Kristina L. Peripheral iridotomy for pigmentary glaucoma. Cochrane Database Syst Rev. 2016;2(2):005655.
  27. Reistad CE, Shields MB, Campbell DG, et al. The influence of peripheral iridotomy on the intraocular pressure course in patients with pigmentary glaucoma. J Glaucoma. 2005;14(4):255–259.
  28. Lascaratos G, Shah A, Garway DF. The genetics of pigment dispersion syndrome and pigmentary glaucoma. The genetics of pigment dispersion syndrome and pigmentary glaucoma. Surv Ophthalmol. 2013;58(2):164–175.
  29. Sampaolesi R. Retinal detachment and pigment dispersion syndrome. Klin Monbl Augenheilkd. 1995;206(1):29–32.
  30. Gandolfi SA, Ungaro N, Tardini MG, et al. A 10 year follow up to determine the effect of YAG laser iridotomy on the natural history of pigment dispersion syndrome: a randomized clinical trial. JAMA Ophthalmol. 2014;132(12):1433–1438.
Creative Commons Attribution License

©2022 Maida, et al. This is an open access article distributed under the terms of the, which permits unrestricted use, distribution, and build upon your work non-commercially.